毛少症14:5个中国家庭中LSS基因的新变异及文献综述。

IF 4.3 3区 医学 Q2 GENETICS & HEREDITY
Yujing Zhang, Mengxi Zhao, Xiangqian Li, Yongping Zhao, Yijie Sun, Jianzhong Zhang, Cong Yu, Cheng Zhou
{"title":"毛少症14:5个中国家庭中LSS基因的新变异及文献综述。","authors":"Yujing Zhang, Mengxi Zhao, Xiangqian Li, Yongping Zhao, Yijie Sun, Jianzhong Zhang, Cong Yu, Cheng Zhou","doi":"10.1186/s40246-025-00798-7","DOIUrl":null,"url":null,"abstract":"<p><strong>Background: </strong>Congenital hypotrichosis 14 is a nonsyndromic form of alopecia associated with pathogenic variants in the lanosterol synthase (LSS) gene. Recent studies have expanded the spectrum of LSS-related phenotypes, including congenital cataracts, alopecia-intellectual disability syndrome, and palmoplantar keratoderma. Currently, investigations into this disease are still limited, and its treatment remains elusive.</p><p><strong>Methods: </strong>In this study, we aimed to report six Chinese patients who were diagnosed with hypotrichosis 14, whose conditions were attributed to five novel and recurrent variants in the LSS gene identified via whole exome sequencing. Moreover, the reported LSS gene has also been summarized.</p><p><strong>Results: </strong>We described six patients in five Chinese families with hair loss, and one of whom had a rare accompanying phenotype of hypergonadotropic hypogonadism, which has rarely been reported. Five novel variants were discovered in the LSS gene, including c.919_921del (p.His307del), c.1987 C > T (p.Arg663Trp), c.982 C > T (p.Arg328*), c.1405_1407del (p.Glu469del) and c.193_200dup (p.Pro68Argfs*14).</p><p><strong>Conclusions: </strong>Our comprehensive summary of phenotypes caused by LSS gene variants not only enriches the existing knowledge on congenital hypotrichosis 14 but also provides crucial guidance for more accurate genetic counseling and potentially new directions for future research in understanding the disease mechanism and developing targeted therapies.</p>","PeriodicalId":13183,"journal":{"name":"Human Genomics","volume":"19 1","pages":"84"},"PeriodicalIF":4.3000,"publicationDate":"2025-07-22","publicationTypes":"Journal Article","fieldsOfStudy":null,"isOpenAccess":false,"openAccessPdf":"https://www.ncbi.nlm.nih.gov/pmc/articles/PMC12285103/pdf/","citationCount":"0","resultStr":"{\"title\":\"Hypotrichosis 14: novel variants of the LSS gene in five Chinese families and insights from literature review.\",\"authors\":\"Yujing Zhang, Mengxi Zhao, Xiangqian Li, Yongping Zhao, Yijie Sun, Jianzhong Zhang, Cong Yu, Cheng Zhou\",\"doi\":\"10.1186/s40246-025-00798-7\",\"DOIUrl\":null,\"url\":null,\"abstract\":\"<p><strong>Background: </strong>Congenital hypotrichosis 14 is a nonsyndromic form of alopecia associated with pathogenic variants in the lanosterol synthase (LSS) gene. Recent studies have expanded the spectrum of LSS-related phenotypes, including congenital cataracts, alopecia-intellectual disability syndrome, and palmoplantar keratoderma. Currently, investigations into this disease are still limited, and its treatment remains elusive.</p><p><strong>Methods: </strong>In this study, we aimed to report six Chinese patients who were diagnosed with hypotrichosis 14, whose conditions were attributed to five novel and recurrent variants in the LSS gene identified via whole exome sequencing. Moreover, the reported LSS gene has also been summarized.</p><p><strong>Results: </strong>We described six patients in five Chinese families with hair loss, and one of whom had a rare accompanying phenotype of hypergonadotropic hypogonadism, which has rarely been reported. Five novel variants were discovered in the LSS gene, including c.919_921del (p.His307del), c.1987 C > T (p.Arg663Trp), c.982 C > T (p.Arg328*), c.1405_1407del (p.Glu469del) and c.193_200dup (p.Pro68Argfs*14).</p><p><strong>Conclusions: </strong>Our comprehensive summary of phenotypes caused by LSS gene variants not only enriches the existing knowledge on congenital hypotrichosis 14 but also provides crucial guidance for more accurate genetic counseling and potentially new directions for future research in understanding the disease mechanism and developing targeted therapies.</p>\",\"PeriodicalId\":13183,\"journal\":{\"name\":\"Human Genomics\",\"volume\":\"19 1\",\"pages\":\"84\"},\"PeriodicalIF\":4.3000,\"publicationDate\":\"2025-07-22\",\"publicationTypes\":\"Journal Article\",\"fieldsOfStudy\":null,\"isOpenAccess\":false,\"openAccessPdf\":\"https://www.ncbi.nlm.nih.gov/pmc/articles/PMC12285103/pdf/\",\"citationCount\":\"0\",\"resultStr\":null,\"platform\":\"Semanticscholar\",\"paperid\":null,\"PeriodicalName\":\"Human Genomics\",\"FirstCategoryId\":\"3\",\"ListUrlMain\":\"https://doi.org/10.1186/s40246-025-00798-7\",\"RegionNum\":3,\"RegionCategory\":\"医学\",\"ArticlePicture\":[],\"TitleCN\":null,\"AbstractTextCN\":null,\"PMCID\":null,\"EPubDate\":\"\",\"PubModel\":\"\",\"JCR\":\"Q2\",\"JCRName\":\"GENETICS & HEREDITY\",\"Score\":null,\"Total\":0}","platform":"Semanticscholar","paperid":null,"PeriodicalName":"Human Genomics","FirstCategoryId":"3","ListUrlMain":"https://doi.org/10.1186/s40246-025-00798-7","RegionNum":3,"RegionCategory":"医学","ArticlePicture":[],"TitleCN":null,"AbstractTextCN":null,"PMCID":null,"EPubDate":"","PubModel":"","JCR":"Q2","JCRName":"GENETICS & HEREDITY","Score":null,"Total":0}
引用次数: 0

摘要

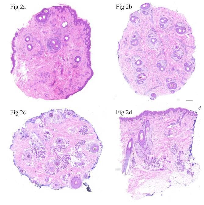
背景:先天性毛少症14是一种与羊毛甾醇合成酶(LSS)基因致病变异相关的非综合征型脱发。最近的研究扩大了lss相关表型的范围,包括先天性白内障、脱发-智力残疾综合征和掌跖角化病。目前,对这种疾病的调查仍然有限,其治疗仍然难以捉摸。方法:在这项研究中,我们旨在报告6名被诊断为毛少症14的中国患者,其病情归因于通过全外显子组测序鉴定的LSS基因的5种新的和复发性变异。此外,对已报道的LSS基因也进行了综述。结果:我们描述了来自5个中国家庭的6例脱发患者,其中1例伴有罕见的促性腺激素亢进性性腺功能减退,这一表型很少被报道。在LSS基因中发现了5个新的变异,包括c.919_921del (p.His307del), c.1987C > T (p.Arg663Trp), C .982C > T (p.Arg328*), C .1405_1407del (p.Glu469del)和C .193_200dup (p.Pro68Argfs*14)。结论:我们对LSS基因变异引起的表型进行了全面的总结,不仅丰富了现有的关于先天性少毛症的知识,而且为更准确的遗传咨询提供了重要的指导,并可能为未来的研究提供新的方向,以了解疾病机制和开发靶向治疗。
本文章由计算机程序翻译,如有差异,请以英文原文为准。

Hypotrichosis 14: novel variants of the LSS gene in five Chinese families and insights from literature review.

Hypotrichosis 14: novel variants of the LSS gene in five Chinese families and insights from literature review.

Hypotrichosis 14: novel variants of the LSS gene in five Chinese families and insights from literature review.

Hypotrichosis 14: novel variants of the LSS gene in five Chinese families and insights from literature review.

Background: Congenital hypotrichosis 14 is a nonsyndromic form of alopecia associated with pathogenic variants in the lanosterol synthase (LSS) gene. Recent studies have expanded the spectrum of LSS-related phenotypes, including congenital cataracts, alopecia-intellectual disability syndrome, and palmoplantar keratoderma. Currently, investigations into this disease are still limited, and its treatment remains elusive.

Methods: In this study, we aimed to report six Chinese patients who were diagnosed with hypotrichosis 14, whose conditions were attributed to five novel and recurrent variants in the LSS gene identified via whole exome sequencing. Moreover, the reported LSS gene has also been summarized.

Results: We described six patients in five Chinese families with hair loss, and one of whom had a rare accompanying phenotype of hypergonadotropic hypogonadism, which has rarely been reported. Five novel variants were discovered in the LSS gene, including c.919_921del (p.His307del), c.1987 C > T (p.Arg663Trp), c.982 C > T (p.Arg328*), c.1405_1407del (p.Glu469del) and c.193_200dup (p.Pro68Argfs*14).

Conclusions: Our comprehensive summary of phenotypes caused by LSS gene variants not only enriches the existing knowledge on congenital hypotrichosis 14 but also provides crucial guidance for more accurate genetic counseling and potentially new directions for future research in understanding the disease mechanism and developing targeted therapies.

求助全文
通过发布文献求助,成功后即可免费获取论文全文。 去求助
来源期刊
Human Genomics
Human Genomics GENETICS & HEREDITY-
CiteScore
6.00
自引率
2.20%
发文量
55
审稿时长
11 weeks
期刊介绍: Human Genomics is a peer-reviewed, open access, online journal that focuses on the application of genomic analysis in all aspects of human health and disease, as well as genomic analysis of drug efficacy and safety, and comparative genomics. Topics covered by the journal include, but are not limited to: pharmacogenomics, genome-wide association studies, genome-wide sequencing, exome sequencing, next-generation deep-sequencing, functional genomics, epigenomics, translational genomics, expression profiling, proteomics, bioinformatics, animal models, statistical genetics, genetic epidemiology, human population genetics and comparative genomics.
×
引用
GB/T 7714-2015
复制
MLA
复制
APA
复制
导出至
BibTeX EndNote RefMan NoteFirst NoteExpress
×
提示
您的信息不完整,为了账户安全,请先补充。
现在去补充
×
提示
您因"违规操作"
具体请查看互助需知
我知道了
×
提示
确定
请完成安全验证×
copy
已复制链接
快去分享给好友吧!
我知道了
右上角分享
点击右上角分享
0
联系我们:info@booksci.cn Book学术提供免费学术资源搜索服务,方便国内外学者检索中英文文献。致力于提供最便捷和优质的服务体验。 Copyright © 2023 布克学术 All rights reserved.
京ICP备2023020795号-1
ghs 京公网安备 11010802042870号
Book学术文献互助
Book学术文献互助群
群 号:604180095
Book学术官方微信