包括腓骨缺损患者在内的失败踝关节融合术转为全踝关节置换术的中期结果。

Foot & Ankle Orthopaedics Pub Date : 2025-07-21 eCollection Date: 2025-07-01 DOI:10.1177/24730114251351636
George Lian, William Ip, Andrea Hankins, Michele Guillen, Carol Parise
{"title":"包括腓骨缺损患者在内的失败踝关节融合术转为全踝关节置换术的中期结果。","authors":"George Lian, William Ip, Andrea Hankins, Michele Guillen, Carol Parise","doi":"10.1177/24730114251351636","DOIUrl":null,"url":null,"abstract":"<p><strong>Background: </strong>Previous studies of conversion of failed ankle arthrodesis to total ankle arthroplasty showed failure in patients with an absent distal fibula, and more recently that has been considered a contraindication. However, these conclusions were based on limited case series with older prosthetic designs, and the potential for successful conversion in this challenging patient population remains unclear. This retrospective study examines the midterm follow-up of 21 patients treated for a conversion of failed ankle arthrodesis by a single surgeon using a standard technique with a single prosthesis, with a focus on the treatment of 5 patients with a deficient distal fibula.</p><p><strong>Methods: </strong>Between May 2010 and August 2019, 27 patients underwent conversion using a prosthesis with an intramedullary tibial component, 21 of which were available for the study. Six patients had a deficient distal fibula, and 5 were available for follow-up. Our primary outcome measure was having a total ankle arthroplasty in place. Secondary outcomes were evaluated postoperatively with a visual analog scale, the American Orthopaedic Foot & Ankle Society (AOFAS) ankle and hindfoot score, a satisfaction survey, and radiographic assessment of the arthroplasty and any concomitant hindfoot fusions.</p><p><strong>Results: </strong>Mean follow-up for all patients was 7.6 (2.6-11.8) years, with follow-up of the deficient fibula group of 8.2 (4.9-11.8) years. Complications included malleolar fracture with or without subsequent surgery (n = 5), varus deformity (n = 1), and wound dehiscence or infection (n = 2). At final follow-up, all patients, including the 5 with a deficient distal fibula, had an intact ankle arthroplasty, although 3 with intact fibulas had undergone prosthetic revision. Postoperative dorsiflexion was 4.5 ± 5.1 degrees and plantarflexion 20.9 ± 13.37 degrees. There were no pseudarthroses in the 11 patients with concomitant hindfoot arthrodesis. Mean (±SD) VAS score was 4.4 ± 3.0 and AOFAS score was 71.2 ± 21.7. Sixty-seven percent reported that they were satisfied or very satisfied, with 16% dissatisfied or very dissatisfied. One of the deficient fibula patients was very dissatisfied. Seventy-six percent had no limitations with activities of daily living and two-thirds of those had no limitations at all.</p><p><strong>Conclusion: </strong>Consistent with previous studies, we find that total ankle arthroplasty can be a satisfactory salvage procedure for patients with a failed ankle arthrodesis. Unlike previous reports, we observed high prosthetic retention in patients with a deficient fibula, although pain relief and range of motion outcomes were mixed, and some patients required revision surgery. These findings should be interpreted in light of the intrinsic limitations of a small sample size, lack of preoperative comparison data, and incomplete follow-up in the deficient fibula group.</p><p><strong>Level of evidence: </strong>Level IV, clinical research.</p>","PeriodicalId":12429,"journal":{"name":"Foot & Ankle Orthopaedics","volume":"10 3","pages":"24730114251351636"},"PeriodicalIF":0.0000,"publicationDate":"2025-07-21","publicationTypes":"Journal Article","fieldsOfStudy":null,"isOpenAccess":false,"openAccessPdf":"https://www.ncbi.nlm.nih.gov/pmc/articles/PMC12280269/pdf/","citationCount":"0","resultStr":"{\"title\":\"Midterm Outcomes Following Conversion of Failed Ankle Arthrodesis to Total Ankle Arthroplasty, Including Patients With a Deficient Fibula.\",\"authors\":\"George Lian, William Ip, Andrea Hankins, Michele Guillen, Carol Parise\",\"doi\":\"10.1177/24730114251351636\",\"DOIUrl\":null,\"url\":null,\"abstract\":\"<p><strong>Background: </strong>Previous studies of conversion of failed ankle arthrodesis to total ankle arthroplasty showed failure in patients with an absent distal fibula, and more recently that has been considered a contraindication. However, these conclusions were based on limited case series with older prosthetic designs, and the potential for successful conversion in this challenging patient population remains unclear. This retrospective study examines the midterm follow-up of 21 patients treated for a conversion of failed ankle arthrodesis by a single surgeon using a standard technique with a single prosthesis, with a focus on the treatment of 5 patients with a deficient distal fibula.</p><p><strong>Methods: </strong>Between May 2010 and August 2019, 27 patients underwent conversion using a prosthesis with an intramedullary tibial component, 21 of which were available for the study. Six patients had a deficient distal fibula, and 5 were available for follow-up. Our primary outcome measure was having a total ankle arthroplasty in place. Secondary outcomes were evaluated postoperatively with a visual analog scale, the American Orthopaedic Foot & Ankle Society (AOFAS) ankle and hindfoot score, a satisfaction survey, and radiographic assessment of the arthroplasty and any concomitant hindfoot fusions.</p><p><strong>Results: </strong>Mean follow-up for all patients was 7.6 (2.6-11.8) years, with follow-up of the deficient fibula group of 8.2 (4.9-11.8) years. Complications included malleolar fracture with or without subsequent surgery (n = 5), varus deformity (n = 1), and wound dehiscence or infection (n = 2). At final follow-up, all patients, including the 5 with a deficient distal fibula, had an intact ankle arthroplasty, although 3 with intact fibulas had undergone prosthetic revision. Postoperative dorsiflexion was 4.5 ± 5.1 degrees and plantarflexion 20.9 ± 13.37 degrees. There were no pseudarthroses in the 11 patients with concomitant hindfoot arthrodesis. Mean (±SD) VAS score was 4.4 ± 3.0 and AOFAS score was 71.2 ± 21.7. Sixty-seven percent reported that they were satisfied or very satisfied, with 16% dissatisfied or very dissatisfied. One of the deficient fibula patients was very dissatisfied. Seventy-six percent had no limitations with activities of daily living and two-thirds of those had no limitations at all.</p><p><strong>Conclusion: </strong>Consistent with previous studies, we find that total ankle arthroplasty can be a satisfactory salvage procedure for patients with a failed ankle arthrodesis. Unlike previous reports, we observed high prosthetic retention in patients with a deficient fibula, although pain relief and range of motion outcomes were mixed, and some patients required revision surgery. These findings should be interpreted in light of the intrinsic limitations of a small sample size, lack of preoperative comparison data, and incomplete follow-up in the deficient fibula group.</p><p><strong>Level of evidence: </strong>Level IV, clinical research.</p>\",\"PeriodicalId\":12429,\"journal\":{\"name\":\"Foot & Ankle Orthopaedics\",\"volume\":\"10 3\",\"pages\":\"24730114251351636\"},\"PeriodicalIF\":0.0000,\"publicationDate\":\"2025-07-21\",\"publicationTypes\":\"Journal Article\",\"fieldsOfStudy\":null,\"isOpenAccess\":false,\"openAccessPdf\":\"https://www.ncbi.nlm.nih.gov/pmc/articles/PMC12280269/pdf/\",\"citationCount\":\"0\",\"resultStr\":null,\"platform\":\"Semanticscholar\",\"paperid\":null,\"PeriodicalName\":\"Foot & Ankle Orthopaedics\",\"FirstCategoryId\":\"1085\",\"ListUrlMain\":\"https://doi.org/10.1177/24730114251351636\",\"RegionNum\":0,\"RegionCategory\":null,\"ArticlePicture\":[],\"TitleCN\":null,\"AbstractTextCN\":null,\"PMCID\":null,\"EPubDate\":\"2025/7/1 0:00:00\",\"PubModel\":\"eCollection\",\"JCR\":\"\",\"JCRName\":\"\",\"Score\":null,\"Total\":0}","platform":"Semanticscholar","paperid":null,"PeriodicalName":"Foot & Ankle Orthopaedics","FirstCategoryId":"1085","ListUrlMain":"https://doi.org/10.1177/24730114251351636","RegionNum":0,"RegionCategory":null,"ArticlePicture":[],"TitleCN":null,"AbstractTextCN":null,"PMCID":null,"EPubDate":"2025/7/1 0:00:00","PubModel":"eCollection","JCR":"","JCRName":"","Score":null,"Total":0}
引用次数: 0

摘要

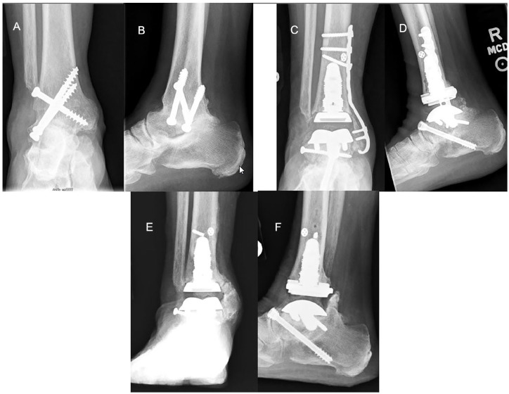
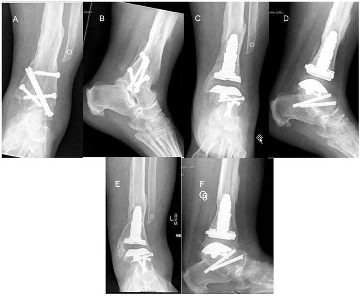
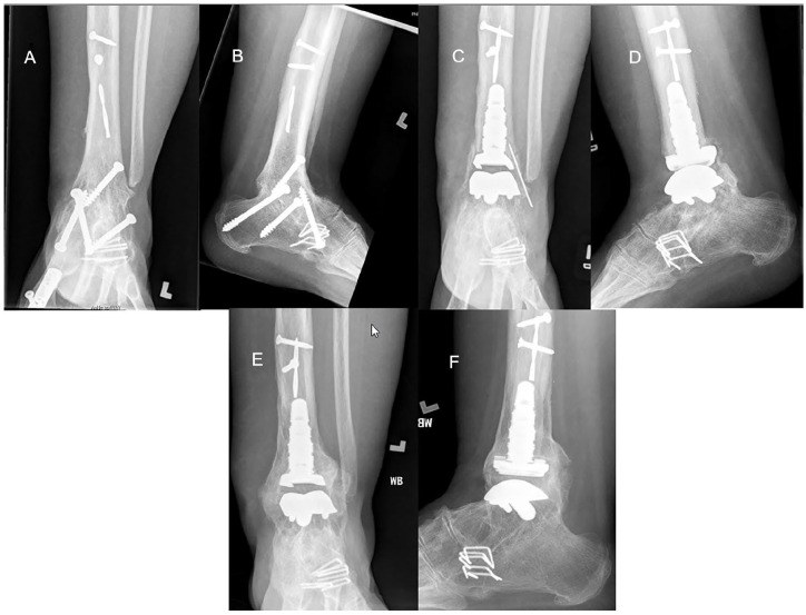
背景:以前的研究表明,失败的踝关节融合术转化为全踝关节置换术的患者腓骨远端缺失,最近被认为是一种禁忌症。然而,这些结论是基于有限的旧假体设计的病例序列,并且在这一具有挑战性的患者群体中成功转换的潜力仍不清楚。本回顾性研究对21例踝关节融合术失败的患者进行中期随访,该患者由同一位外科医生使用标准技术和单个假体进行转换,重点关注5例腓骨远端缺损患者的治疗。方法:2010年5月至2019年8月期间,27例患者使用带髓内胫骨构件的假体进行了转换,其中21例可用于研究。6例腓骨远端缺损,5例随访。我们的主要结果测量是全踝关节置换术。次要结果通过视觉模拟量表、美国矫形足踝协会(AOFAS)踝关节和后足评分、满意度调查以及关节置换术和任何伴随的后足融合的影像学评估来评估。结果:所有患者的平均随访时间为7.6(2.6-11.8)年,腓骨缺损组的随访时间为8.2(4.9-11.8)年。并发症包括踝部骨折伴或不伴手术(n = 5)、内翻畸形(n = 1)和伤口裂开或感染(n = 2)。在最后的随访中,所有患者,包括5例腓骨远端缺损的患者,都进行了完整的踝关节置换术,尽管3例腓骨完整的患者进行了假体翻修。术后背屈为4.5±5.1度,跖屈为20.9±13.37度。11例合并后足关节融合术患者无假关节。平均(±SD) VAS评分为4.4±3.0分,AOFAS评分为71.2±21.7分。67%的人表示满意或非常满意,16%的人不满意或非常不满意。其中一名腓骨缺损患者非常不满意。76%的人在日常生活活动方面没有限制,其中三分之二的人完全没有限制。结论:与以往的研究结果一致,我们发现全踝关节置换术是踝关节融合术失败患者的一种满意的挽救方法。与之前的报道不同,我们观察到腓骨缺损患者的假体潴留率很高,尽管疼痛缓解和活动范围的结果好坏参半,一些患者需要翻修手术。这些发现应考虑到小样本量的固有局限性,缺乏术前比较数据,以及腓骨缺陷组随访不完整。证据等级:四级,临床研究。
本文章由计算机程序翻译,如有差异,请以英文原文为准。

Midterm Outcomes Following Conversion of Failed Ankle Arthrodesis to Total Ankle Arthroplasty, Including Patients With a Deficient Fibula.

Midterm Outcomes Following Conversion of Failed Ankle Arthrodesis to Total Ankle Arthroplasty, Including Patients With a Deficient Fibula.

Midterm Outcomes Following Conversion of Failed Ankle Arthrodesis to Total Ankle Arthroplasty, Including Patients With a Deficient Fibula.

Midterm Outcomes Following Conversion of Failed Ankle Arthrodesis to Total Ankle Arthroplasty, Including Patients With a Deficient Fibula.

Background: Previous studies of conversion of failed ankle arthrodesis to total ankle arthroplasty showed failure in patients with an absent distal fibula, and more recently that has been considered a contraindication. However, these conclusions were based on limited case series with older prosthetic designs, and the potential for successful conversion in this challenging patient population remains unclear. This retrospective study examines the midterm follow-up of 21 patients treated for a conversion of failed ankle arthrodesis by a single surgeon using a standard technique with a single prosthesis, with a focus on the treatment of 5 patients with a deficient distal fibula.

Methods: Between May 2010 and August 2019, 27 patients underwent conversion using a prosthesis with an intramedullary tibial component, 21 of which were available for the study. Six patients had a deficient distal fibula, and 5 were available for follow-up. Our primary outcome measure was having a total ankle arthroplasty in place. Secondary outcomes were evaluated postoperatively with a visual analog scale, the American Orthopaedic Foot & Ankle Society (AOFAS) ankle and hindfoot score, a satisfaction survey, and radiographic assessment of the arthroplasty and any concomitant hindfoot fusions.

Results: Mean follow-up for all patients was 7.6 (2.6-11.8) years, with follow-up of the deficient fibula group of 8.2 (4.9-11.8) years. Complications included malleolar fracture with or without subsequent surgery (n = 5), varus deformity (n = 1), and wound dehiscence or infection (n = 2). At final follow-up, all patients, including the 5 with a deficient distal fibula, had an intact ankle arthroplasty, although 3 with intact fibulas had undergone prosthetic revision. Postoperative dorsiflexion was 4.5 ± 5.1 degrees and plantarflexion 20.9 ± 13.37 degrees. There were no pseudarthroses in the 11 patients with concomitant hindfoot arthrodesis. Mean (±SD) VAS score was 4.4 ± 3.0 and AOFAS score was 71.2 ± 21.7. Sixty-seven percent reported that they were satisfied or very satisfied, with 16% dissatisfied or very dissatisfied. One of the deficient fibula patients was very dissatisfied. Seventy-six percent had no limitations with activities of daily living and two-thirds of those had no limitations at all.

Conclusion: Consistent with previous studies, we find that total ankle arthroplasty can be a satisfactory salvage procedure for patients with a failed ankle arthrodesis. Unlike previous reports, we observed high prosthetic retention in patients with a deficient fibula, although pain relief and range of motion outcomes were mixed, and some patients required revision surgery. These findings should be interpreted in light of the intrinsic limitations of a small sample size, lack of preoperative comparison data, and incomplete follow-up in the deficient fibula group.

Level of evidence: Level IV, clinical research.

求助全文
通过发布文献求助,成功后即可免费获取论文全文。 去求助
来源期刊
Foot & Ankle Orthopaedics
Foot & Ankle Orthopaedics Medicine-Orthopedics and Sports Medicine
CiteScore
1.20
自引率
0.00%
发文量
1152
×
引用
GB/T 7714-2015
复制
MLA
复制
APA
复制
导出至
BibTeX EndNote RefMan NoteFirst NoteExpress
×
提示
您的信息不完整,为了账户安全,请先补充。
现在去补充
×
提示
您因"违规操作"
具体请查看互助需知
我知道了
×
提示
确定
请完成安全验证×
copy
已复制链接
快去分享给好友吧!
我知道了
右上角分享
点击右上角分享
0
联系我们:info@booksci.cn Book学术提供免费学术资源搜索服务,方便国内外学者检索中英文文献。致力于提供最便捷和优质的服务体验。 Copyright © 2023 布克学术 All rights reserved.
京ICP备2023020795号-1
ghs 京公网安备 11010802042870号
Book学术文献互助
Book学术文献互助群
群 号:604180095
Book学术官方微信