骨骼外尤因肉瘤伴EWSR1::ERG易位1例。

IF 2.3 3区 医学 Q2 PATHOLOGY
Weiping Li, Yingjun Wu, Xingmei Dong, Xinmin Qiu, Guangjuan Zheng, Yu Zhang
{"title":"骨骼外尤因肉瘤伴EWSR1::ERG易位1例。","authors":"Weiping Li, Yingjun Wu, Xingmei Dong, Xinmin Qiu, Guangjuan Zheng, Yu Zhang","doi":"10.1186/s13000-025-01692-5","DOIUrl":null,"url":null,"abstract":"<p><strong>Background: </strong>Ewing's sarcoma (ES), first described by Ewing in 1921, is a highly malignant small blue round cell tumor that arises in bone or extraskeletal soft tissues. It predominantly affects patients aged 10 to 30 years. Approximately 12% of cases involve solid organs, often presenting as rapidly growing masses in deep soft tissues. The most common genetic alteration in ES is the t(11;22)(q24;q12) translocation, resulting in the EWSR1::FLI1 fusion gene, which accounts for 90% of tumors. Extraskeletal Ewing's sarcoma (EES) presented as a breast mass is extremely rare, with only a handful of cases documented in the literature. Notably, a primary breast ES harboring the EWSR1::ERG fusion gene has never been reported previously.</p><p><strong>Case presentation: </strong>A 23-year-old woman presented to our hospital with a rapidly growing, palpable left breast mass. Histopathological examination of the surgical specimens (including histological features, immunohistochemical staining, and molecular analysis) confirmed the diagnosis of primary EES with EWSR1::ERG translocation in the breast. Despite receiving multimodal adjuvant therapy (surgery, chemotherapy and radiotherapy), the patient experienced two disease relapses within 15 months.</p><p><strong>Conclusions: </strong>Our report establishes the first molecularly confirmed case of ES harboring the rare EWSR1::ERG translocation presenting as a primary breast mass. Primary breast ES can demonstrate significant morphologic and immunohistochemical overlap with other small round cell tumors. This case highlights that next-generation sequencing (NGS) is the gold standard for definitive diagnosis, as it reliably detects fusion partners-especially in rare tumors arising in uncommon locations.</p>","PeriodicalId":11237,"journal":{"name":"Diagnostic Pathology","volume":"20 1","pages":"87"},"PeriodicalIF":2.3000,"publicationDate":"2025-07-22","publicationTypes":"Journal Article","fieldsOfStudy":null,"isOpenAccess":false,"openAccessPdf":"https://www.ncbi.nlm.nih.gov/pmc/articles/PMC12281681/pdf/","citationCount":"0","resultStr":"{\"title\":\"Extra-skeletal Ewing's sarcoma with EWSR1::ERG translocation of the breast: a case report.\",\"authors\":\"Weiping Li, Yingjun Wu, Xingmei Dong, Xinmin Qiu, Guangjuan Zheng, Yu Zhang\",\"doi\":\"10.1186/s13000-025-01692-5\",\"DOIUrl\":null,\"url\":null,\"abstract\":\"<p><strong>Background: </strong>Ewing's sarcoma (ES), first described by Ewing in 1921, is a highly malignant small blue round cell tumor that arises in bone or extraskeletal soft tissues. It predominantly affects patients aged 10 to 30 years. Approximately 12% of cases involve solid organs, often presenting as rapidly growing masses in deep soft tissues. The most common genetic alteration in ES is the t(11;22)(q24;q12) translocation, resulting in the EWSR1::FLI1 fusion gene, which accounts for 90% of tumors. Extraskeletal Ewing's sarcoma (EES) presented as a breast mass is extremely rare, with only a handful of cases documented in the literature. Notably, a primary breast ES harboring the EWSR1::ERG fusion gene has never been reported previously.</p><p><strong>Case presentation: </strong>A 23-year-old woman presented to our hospital with a rapidly growing, palpable left breast mass. Histopathological examination of the surgical specimens (including histological features, immunohistochemical staining, and molecular analysis) confirmed the diagnosis of primary EES with EWSR1::ERG translocation in the breast. Despite receiving multimodal adjuvant therapy (surgery, chemotherapy and radiotherapy), the patient experienced two disease relapses within 15 months.</p><p><strong>Conclusions: </strong>Our report establishes the first molecularly confirmed case of ES harboring the rare EWSR1::ERG translocation presenting as a primary breast mass. Primary breast ES can demonstrate significant morphologic and immunohistochemical overlap with other small round cell tumors. This case highlights that next-generation sequencing (NGS) is the gold standard for definitive diagnosis, as it reliably detects fusion partners-especially in rare tumors arising in uncommon locations.</p>\",\"PeriodicalId\":11237,\"journal\":{\"name\":\"Diagnostic Pathology\",\"volume\":\"20 1\",\"pages\":\"87\"},\"PeriodicalIF\":2.3000,\"publicationDate\":\"2025-07-22\",\"publicationTypes\":\"Journal Article\",\"fieldsOfStudy\":null,\"isOpenAccess\":false,\"openAccessPdf\":\"https://www.ncbi.nlm.nih.gov/pmc/articles/PMC12281681/pdf/\",\"citationCount\":\"0\",\"resultStr\":null,\"platform\":\"Semanticscholar\",\"paperid\":null,\"PeriodicalName\":\"Diagnostic Pathology\",\"FirstCategoryId\":\"3\",\"ListUrlMain\":\"https://doi.org/10.1186/s13000-025-01692-5\",\"RegionNum\":3,\"RegionCategory\":\"医学\",\"ArticlePicture\":[],\"TitleCN\":null,\"AbstractTextCN\":null,\"PMCID\":null,\"EPubDate\":\"\",\"PubModel\":\"\",\"JCR\":\"Q2\",\"JCRName\":\"PATHOLOGY\",\"Score\":null,\"Total\":0}","platform":"Semanticscholar","paperid":null,"PeriodicalName":"Diagnostic Pathology","FirstCategoryId":"3","ListUrlMain":"https://doi.org/10.1186/s13000-025-01692-5","RegionNum":3,"RegionCategory":"医学","ArticlePicture":[],"TitleCN":null,"AbstractTextCN":null,"PMCID":null,"EPubDate":"","PubModel":"","JCR":"Q2","JCRName":"PATHOLOGY","Score":null,"Total":0}
引用次数: 0

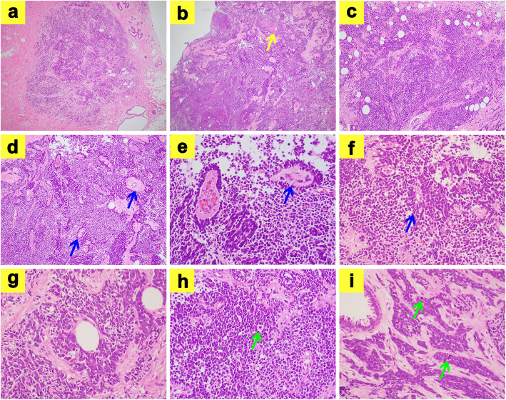
摘要

背景:尤因肉瘤(Ewing’s sarcoma, ES),由尤因于1921年首次描述,是一种发生在骨骼或骨骼外软组织的高度恶性的小蓝圆细胞肿瘤。它主要影响10至30岁的患者。约12%的病例涉及实体器官,通常表现为深部软组织快速生长的肿块。ES中最常见的遗传改变是t(11;22)(q24;q12)易位,导致EWSR1::FLI1融合基因,占肿瘤的90%。骨骼外尤因肉瘤(EES)表现为乳房肿块是极其罕见的,只有少数病例记录在文献中。值得注意的是,以前从未报道过含有EWSR1::ERG融合基因的原发性乳腺ES。病例介绍:一名23岁女性因左侧乳房肿块快速增长,可触及。手术标本的组织病理学检查(包括组织学特征、免疫组织化学染色和分子分析)证实原发性EES伴有乳腺EWSR1::ERG易位。尽管接受了多模式辅助治疗(手术、化疗和放疗),患者在15个月内经历了两次疾病复发。结论:我们的报告建立了第一个分子确诊的ES病例,其中包含罕见的EWSR1::ERG易位,表现为原发性乳腺肿块。原发性乳腺ES与其他小圆细胞瘤在形态和免疫组织化学上有明显的重叠。这个病例强调了下一代测序(NGS)是明确诊断的金标准,因为它能可靠地检测融合伴侣,尤其是在不常见部位出现的罕见肿瘤。
本文章由计算机程序翻译,如有差异,请以英文原文为准。

Extra-skeletal Ewing's sarcoma with EWSR1::ERG translocation of the breast: a case report.

Extra-skeletal Ewing's sarcoma with EWSR1::ERG translocation of the breast: a case report.

Extra-skeletal Ewing's sarcoma with EWSR1::ERG translocation of the breast: a case report.

Extra-skeletal Ewing's sarcoma with EWSR1::ERG translocation of the breast: a case report.

Background: Ewing's sarcoma (ES), first described by Ewing in 1921, is a highly malignant small blue round cell tumor that arises in bone or extraskeletal soft tissues. It predominantly affects patients aged 10 to 30 years. Approximately 12% of cases involve solid organs, often presenting as rapidly growing masses in deep soft tissues. The most common genetic alteration in ES is the t(11;22)(q24;q12) translocation, resulting in the EWSR1::FLI1 fusion gene, which accounts for 90% of tumors. Extraskeletal Ewing's sarcoma (EES) presented as a breast mass is extremely rare, with only a handful of cases documented in the literature. Notably, a primary breast ES harboring the EWSR1::ERG fusion gene has never been reported previously.

Case presentation: A 23-year-old woman presented to our hospital with a rapidly growing, palpable left breast mass. Histopathological examination of the surgical specimens (including histological features, immunohistochemical staining, and molecular analysis) confirmed the diagnosis of primary EES with EWSR1::ERG translocation in the breast. Despite receiving multimodal adjuvant therapy (surgery, chemotherapy and radiotherapy), the patient experienced two disease relapses within 15 months.

Conclusions: Our report establishes the first molecularly confirmed case of ES harboring the rare EWSR1::ERG translocation presenting as a primary breast mass. Primary breast ES can demonstrate significant morphologic and immunohistochemical overlap with other small round cell tumors. This case highlights that next-generation sequencing (NGS) is the gold standard for definitive diagnosis, as it reliably detects fusion partners-especially in rare tumors arising in uncommon locations.

求助全文
通过发布文献求助,成功后即可免费获取论文全文。 去求助
来源期刊
Diagnostic Pathology
Diagnostic Pathology 医学-病理学
CiteScore
4.60
自引率
0.00%
发文量
93
审稿时长
1 months
期刊介绍: Diagnostic Pathology is an open access, peer-reviewed, online journal that considers research in surgical and clinical pathology, immunology, and biology, with a special focus on cutting-edge approaches in diagnostic pathology and tissue-based therapy. The journal covers all aspects of surgical pathology, including classic diagnostic pathology, prognosis-related diagnosis (tumor stages, prognosis markers, such as MIB-percentage, hormone receptors, etc.), and therapy-related findings. The journal also focuses on the technological aspects of pathology, including molecular biology techniques, morphometry aspects (stereology, DNA analysis, syntactic structure analysis), communication aspects (telecommunication, virtual microscopy, virtual pathology institutions, etc.), and electronic education and quality assurance (for example interactive publication, on-line references with automated updating, etc.).
×
引用
GB/T 7714-2015
复制
MLA
复制
APA
复制
导出至
BibTeX EndNote RefMan NoteFirst NoteExpress
×
提示
您的信息不完整,为了账户安全,请先补充。
现在去补充
×
提示
您因"违规操作"
具体请查看互助需知
我知道了
×
提示
确定
请完成安全验证×
copy
已复制链接
快去分享给好友吧!
我知道了
右上角分享
点击右上角分享
0
联系我们:info@booksci.cn Book学术提供免费学术资源搜索服务,方便国内外学者检索中英文文献。致力于提供最便捷和优质的服务体验。 Copyright © 2023 布克学术 All rights reserved.
京ICP备2023020795号-1
ghs 京公网安备 11010802042870号
Book学术文献互助
Book学术文献互助群
群 号:604180095
Book学术官方微信