结节性黑色素瘤和上皮样细胞黑色素瘤同步表现:1例报告。

IF 0.6 Q4 ONCOLOGY
Case Reports in Oncological Medicine Pub Date : 2025-07-15 eCollection Date: 2025-01-01 DOI:10.1155/crom/6396505
Gianluca Gizzi, Dario Didona, Serge C Thal, Luca Scarsella
{"title":"结节性黑色素瘤和上皮样细胞黑色素瘤同步表现:1例报告。","authors":"Gianluca Gizzi, Dario Didona, Serge C Thal, Luca Scarsella","doi":"10.1155/crom/6396505","DOIUrl":null,"url":null,"abstract":"<p><p><b>Introduction:</b> The synchronous occurrence of melanomas of varying histological types is an uncommon event, with reported incidences ranging from 0.2% to 8.6%. <b>Case Report:</b> We present the case of a patient diagnosed with Stage IIB nodular melanoma and Stage IIIC epithelioid cell melanoma within a 3-month period. After surgical excision of both lesions, lymph node enlargement was observed in the obturator region, indicating metastatic spread. As a result, combined immunotherapy with nivolumab and ipilimumab was initiated. Nivolumab and ipilimumab were administered at doses of 1 and 3 mg/kg, respectively, every 3 weeks for a total of four doses. Thereafter, treatment was continued with nivolumab alone at a dose of 3 mg/kg every 2 weeks. The patient underwent three cycles of immunotherapy, initially combined with intravenous methylprednisolone, later transitioned to an oral regimen with dexamethasone. The patient initially demonstrated a favorable clinical response without adverse effects. However, after the third infusion, severe diarrhea developed, leading to daily fluid losses exceeding 8 L and associated hypokalemia. Therefore, methylprednisolone was administered intravenously (2 mg/kg/day). Additionally, the patient experienced a splenic infarction that resolved spontaneously without resulting in asplenia. At the most recent follow-up evaluation, no lymph node enlargement was detected, and surveillance continues at 3-month intervals. <b>Discussion:</b> Although rare, the simultaneous emergence of melanomas at distinct anatomical sites underscores the necessity for increased patient vigilance and comprehensive clinical monitoring to facilitate early detection and timely intervention. <b>Conclusion:</b> Prompt initiation of targeted immunotherapy may improve patient prognosis and outcomes.</p>","PeriodicalId":9636,"journal":{"name":"Case Reports in Oncological Medicine","volume":"2025 ","pages":"6396505"},"PeriodicalIF":0.6000,"publicationDate":"2025-07-15","publicationTypes":"Journal Article","fieldsOfStudy":null,"isOpenAccess":false,"openAccessPdf":"https://www.ncbi.nlm.nih.gov/pmc/articles/PMC12283181/pdf/","citationCount":"0","resultStr":"{\"title\":\"Synchronous Presentation of Nodular Melanoma and Epithelioid Cell Melanoma: Case Report.\",\"authors\":\"Gianluca Gizzi, Dario Didona, Serge C Thal, Luca Scarsella\",\"doi\":\"10.1155/crom/6396505\",\"DOIUrl\":null,\"url\":null,\"abstract\":\"<p><p><b>Introduction:</b> The synchronous occurrence of melanomas of varying histological types is an uncommon event, with reported incidences ranging from 0.2% to 8.6%. <b>Case Report:</b> We present the case of a patient diagnosed with Stage IIB nodular melanoma and Stage IIIC epithelioid cell melanoma within a 3-month period. After surgical excision of both lesions, lymph node enlargement was observed in the obturator region, indicating metastatic spread. As a result, combined immunotherapy with nivolumab and ipilimumab was initiated. Nivolumab and ipilimumab were administered at doses of 1 and 3 mg/kg, respectively, every 3 weeks for a total of four doses. Thereafter, treatment was continued with nivolumab alone at a dose of 3 mg/kg every 2 weeks. The patient underwent three cycles of immunotherapy, initially combined with intravenous methylprednisolone, later transitioned to an oral regimen with dexamethasone. The patient initially demonstrated a favorable clinical response without adverse effects. However, after the third infusion, severe diarrhea developed, leading to daily fluid losses exceeding 8 L and associated hypokalemia. Therefore, methylprednisolone was administered intravenously (2 mg/kg/day). Additionally, the patient experienced a splenic infarction that resolved spontaneously without resulting in asplenia. At the most recent follow-up evaluation, no lymph node enlargement was detected, and surveillance continues at 3-month intervals. <b>Discussion:</b> Although rare, the simultaneous emergence of melanomas at distinct anatomical sites underscores the necessity for increased patient vigilance and comprehensive clinical monitoring to facilitate early detection and timely intervention. <b>Conclusion:</b> Prompt initiation of targeted immunotherapy may improve patient prognosis and outcomes.</p>\",\"PeriodicalId\":9636,\"journal\":{\"name\":\"Case Reports in Oncological Medicine\",\"volume\":\"2025 \",\"pages\":\"6396505\"},\"PeriodicalIF\":0.6000,\"publicationDate\":\"2025-07-15\",\"publicationTypes\":\"Journal Article\",\"fieldsOfStudy\":null,\"isOpenAccess\":false,\"openAccessPdf\":\"https://www.ncbi.nlm.nih.gov/pmc/articles/PMC12283181/pdf/\",\"citationCount\":\"0\",\"resultStr\":null,\"platform\":\"Semanticscholar\",\"paperid\":null,\"PeriodicalName\":\"Case Reports in Oncological Medicine\",\"FirstCategoryId\":\"1085\",\"ListUrlMain\":\"https://doi.org/10.1155/crom/6396505\",\"RegionNum\":0,\"RegionCategory\":null,\"ArticlePicture\":[],\"TitleCN\":null,\"AbstractTextCN\":null,\"PMCID\":null,\"EPubDate\":\"2025/1/1 0:00:00\",\"PubModel\":\"eCollection\",\"JCR\":\"Q4\",\"JCRName\":\"ONCOLOGY\",\"Score\":null,\"Total\":0}","platform":"Semanticscholar","paperid":null,"PeriodicalName":"Case Reports in Oncological Medicine","FirstCategoryId":"1085","ListUrlMain":"https://doi.org/10.1155/crom/6396505","RegionNum":0,"RegionCategory":null,"ArticlePicture":[],"TitleCN":null,"AbstractTextCN":null,"PMCID":null,"EPubDate":"2025/1/1 0:00:00","PubModel":"eCollection","JCR":"Q4","JCRName":"ONCOLOGY","Score":null,"Total":0}
引用次数: 0

摘要

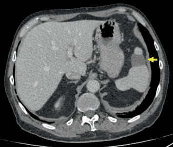
简介:不同组织学类型的黑色素瘤同时发生是一种罕见的事件,报道的发病率为0.2%至8.6%。病例报告:我们提出一个病例的病人诊断为阶段IIB结节性黑色素瘤和阶段IIIC上皮样细胞黑色素瘤在3个月内。手术切除两个病变后,在闭孔区观察到淋巴结肿大,表明转移扩散。因此,开始了纳武单抗和伊匹单抗联合免疫治疗。Nivolumab和ipilimumab的剂量分别为1和3mg /kg,每3周给药,共4次。此后,继续使用纳武单抗单独治疗,剂量为每2周3mg /kg。患者接受了三个周期的免疫治疗,最初联合静脉注射甲基强的松龙,后来过渡到口服地塞米松方案。患者最初表现出良好的临床反应,无不良反应。然而,在第三次输注后,出现了严重的腹泻,导致每日液体损失超过8l并伴有低钾血症。因此,甲基强的松龙被静脉注射(2mg /kg/天)。此外,患者经历了脾梗死,自发性消退,没有导致脾功能不全。在最近的随访评估中,未发现淋巴结肿大,每隔3个月继续进行监测。讨论:虽然罕见,但同时出现在不同解剖部位的黑色素瘤强调了提高患者警惕和全面临床监测的必要性,以促进早期发现和及时干预。结论:及时启动靶向免疫治疗可改善患者预后和转归。
本文章由计算机程序翻译,如有差异,请以英文原文为准。

Synchronous Presentation of Nodular Melanoma and Epithelioid Cell Melanoma: Case Report.

Synchronous Presentation of Nodular Melanoma and Epithelioid Cell Melanoma: Case Report.

Synchronous Presentation of Nodular Melanoma and Epithelioid Cell Melanoma: Case Report.

Introduction: The synchronous occurrence of melanomas of varying histological types is an uncommon event, with reported incidences ranging from 0.2% to 8.6%. Case Report: We present the case of a patient diagnosed with Stage IIB nodular melanoma and Stage IIIC epithelioid cell melanoma within a 3-month period. After surgical excision of both lesions, lymph node enlargement was observed in the obturator region, indicating metastatic spread. As a result, combined immunotherapy with nivolumab and ipilimumab was initiated. Nivolumab and ipilimumab were administered at doses of 1 and 3 mg/kg, respectively, every 3 weeks for a total of four doses. Thereafter, treatment was continued with nivolumab alone at a dose of 3 mg/kg every 2 weeks. The patient underwent three cycles of immunotherapy, initially combined with intravenous methylprednisolone, later transitioned to an oral regimen with dexamethasone. The patient initially demonstrated a favorable clinical response without adverse effects. However, after the third infusion, severe diarrhea developed, leading to daily fluid losses exceeding 8 L and associated hypokalemia. Therefore, methylprednisolone was administered intravenously (2 mg/kg/day). Additionally, the patient experienced a splenic infarction that resolved spontaneously without resulting in asplenia. At the most recent follow-up evaluation, no lymph node enlargement was detected, and surveillance continues at 3-month intervals. Discussion: Although rare, the simultaneous emergence of melanomas at distinct anatomical sites underscores the necessity for increased patient vigilance and comprehensive clinical monitoring to facilitate early detection and timely intervention. Conclusion: Prompt initiation of targeted immunotherapy may improve patient prognosis and outcomes.

求助全文
通过发布文献求助,成功后即可免费获取论文全文。 去求助
来源期刊
自引率
0.00%
发文量
11
审稿时长
16 weeks
期刊介绍: Case Reports in Oncological Medicine is a peer-reviewed, Open Access journal that publishes case reports and case series related to breast cancer, lung cancer, gastrointestinal cancer, skin cancer, head and neck cancer, paediatric oncology, neurooncology as well as genitourinary cancer.
×
引用
GB/T 7714-2015
复制
MLA
复制
APA
复制
导出至
BibTeX EndNote RefMan NoteFirst NoteExpress
×
提示
您的信息不完整,为了账户安全,请先补充。
现在去补充
×
提示
您因"违规操作"
具体请查看互助需知
我知道了
×
提示
确定
请完成安全验证×
copy
已复制链接
快去分享给好友吧!
我知道了
右上角分享
点击右上角分享
0
联系我们:info@booksci.cn Book学术提供免费学术资源搜索服务,方便国内外学者检索中英文文献。致力于提供最便捷和优质的服务体验。 Copyright © 2023 布克学术 All rights reserved.
京ICP备2023020795号-1
ghs 京公网安备 11010802042870号
Book学术文献互助
Book学术文献互助群
群 号:604180095
Book学术官方微信