磁共振成像在htlv -1相关性脊髓病诊断中的应用。

IF 1.6 4区 医学 Q4 NEUROSCIENCES
Arquivos de neuro-psiquiatria Pub Date : 2025-07-01 Epub Date: 2025-07-22 DOI:10.1055/s-0045-1809935
João Marcos Carvalho, Sheila Nunes Ferraz, José Abraão Neto, Saul Schnitman, Augusto M Carvalho, Edgar M Carvalho
{"title":"磁共振成像在htlv -1相关性脊髓病诊断中的应用。","authors":"João Marcos Carvalho, Sheila Nunes Ferraz, José Abraão Neto, Saul Schnitman, Augusto M Carvalho, Edgar M Carvalho","doi":"10.1055/s-0045-1809935","DOIUrl":null,"url":null,"abstract":"<p><p>The main neurologic manifestation of definitive human T-lymphotropic virus 1 (HTLV-1)-associated myelopathy (HAM) is spastic paraparesis, but it only occurs in 5% of the patients. In contrast, about 40% of HTLV-1-infected subjects present symptoms of urologic dysfunction, including nocturia, urgency, and incontinence, which may progress to an inability to void urine. As these patients do not present motor dysfunction, they are classified as <i>probable HAM</i>. Atrophy of the thoracic spinal cord (SC) is the main abnormality found on magnetic resonance image (MRI) scans of patients with definitive HAM, but damage to the SC has not been reported in patients with probable HAM.To determine if, through an evaluation of the metrics of conventional MRI, we can detect a decrease in the area of the SC in patients with probable HAM.Infection by HTLV-1 was herein diagnosed by a Western blot, and the MRI scan was performed using a 1.5-T scanner. Atrophy was considered when the SC area was less than 25% of the intrathecal area.We observed a progressive reduction in all segments of the SC area among HTLV-1 carriers, patients with probable and definitive HAM. Significantly, 48.3% of patients with probable HAM presented atrophy of the lumbar area.Using MRI metrics, the present study shows the atrophy of lumbar segments of the SC area in patients who present urinary symptoms associated with HTLV-1 but without motor dysfunction.</p>","PeriodicalId":8694,"journal":{"name":"Arquivos de neuro-psiquiatria","volume":"83 7","pages":"1-8"},"PeriodicalIF":1.6000,"publicationDate":"2025-07-01","publicationTypes":"Journal Article","fieldsOfStudy":null,"isOpenAccess":false,"openAccessPdf":"https://www.ncbi.nlm.nih.gov/pmc/articles/PMC12283221/pdf/","citationCount":"0","resultStr":"{\"title\":\"Magnetic resonance imaging in the diagnosis of HTLV-1-associated myelopathy.\",\"authors\":\"João Marcos Carvalho, Sheila Nunes Ferraz, José Abraão Neto, Saul Schnitman, Augusto M Carvalho, Edgar M Carvalho\",\"doi\":\"10.1055/s-0045-1809935\",\"DOIUrl\":null,\"url\":null,\"abstract\":\"<p><p>The main neurologic manifestation of definitive human T-lymphotropic virus 1 (HTLV-1)-associated myelopathy (HAM) is spastic paraparesis, but it only occurs in 5% of the patients. In contrast, about 40% of HTLV-1-infected subjects present symptoms of urologic dysfunction, including nocturia, urgency, and incontinence, which may progress to an inability to void urine. As these patients do not present motor dysfunction, they are classified as <i>probable HAM</i>. Atrophy of the thoracic spinal cord (SC) is the main abnormality found on magnetic resonance image (MRI) scans of patients with definitive HAM, but damage to the SC has not been reported in patients with probable HAM.To determine if, through an evaluation of the metrics of conventional MRI, we can detect a decrease in the area of the SC in patients with probable HAM.Infection by HTLV-1 was herein diagnosed by a Western blot, and the MRI scan was performed using a 1.5-T scanner. Atrophy was considered when the SC area was less than 25% of the intrathecal area.We observed a progressive reduction in all segments of the SC area among HTLV-1 carriers, patients with probable and definitive HAM. Significantly, 48.3% of patients with probable HAM presented atrophy of the lumbar area.Using MRI metrics, the present study shows the atrophy of lumbar segments of the SC area in patients who present urinary symptoms associated with HTLV-1 but without motor dysfunction.</p>\",\"PeriodicalId\":8694,\"journal\":{\"name\":\"Arquivos de neuro-psiquiatria\",\"volume\":\"83 7\",\"pages\":\"1-8\"},\"PeriodicalIF\":1.6000,\"publicationDate\":\"2025-07-01\",\"publicationTypes\":\"Journal Article\",\"fieldsOfStudy\":null,\"isOpenAccess\":false,\"openAccessPdf\":\"https://www.ncbi.nlm.nih.gov/pmc/articles/PMC12283221/pdf/\",\"citationCount\":\"0\",\"resultStr\":null,\"platform\":\"Semanticscholar\",\"paperid\":null,\"PeriodicalName\":\"Arquivos de neuro-psiquiatria\",\"FirstCategoryId\":\"3\",\"ListUrlMain\":\"https://doi.org/10.1055/s-0045-1809935\",\"RegionNum\":4,\"RegionCategory\":\"医学\",\"ArticlePicture\":[],\"TitleCN\":null,\"AbstractTextCN\":null,\"PMCID\":null,\"EPubDate\":\"2025/7/22 0:00:00\",\"PubModel\":\"Epub\",\"JCR\":\"Q4\",\"JCRName\":\"NEUROSCIENCES\",\"Score\":null,\"Total\":0}","platform":"Semanticscholar","paperid":null,"PeriodicalName":"Arquivos de neuro-psiquiatria","FirstCategoryId":"3","ListUrlMain":"https://doi.org/10.1055/s-0045-1809935","RegionNum":4,"RegionCategory":"医学","ArticlePicture":[],"TitleCN":null,"AbstractTextCN":null,"PMCID":null,"EPubDate":"2025/7/22 0:00:00","PubModel":"Epub","JCR":"Q4","JCRName":"NEUROSCIENCES","Score":null,"Total":0}
引用次数: 0

摘要

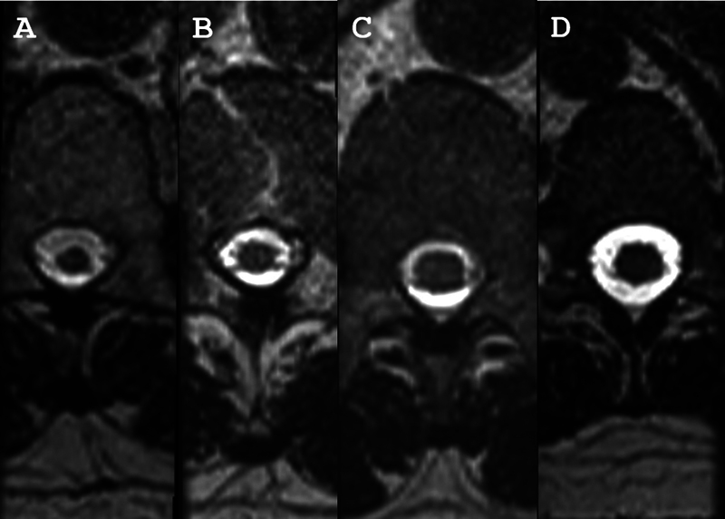
人类嗜t淋巴病毒1 (HTLV-1)相关脊髓病(HAM)的主要神经系统表现为痉挛性截瘫,但仅发生在5%的患者中。相比之下,约40%的htlv -1感染者出现泌尿系统功能障碍的症状,包括夜尿症、尿急和尿失禁,并可能发展为无法排尿。由于这些患者没有出现运动功能障碍,他们被归类为可能的HAM。胸椎脊髓(SC)萎缩是确诊性HAM患者磁共振成像(MRI)扫描中发现的主要异常,但在疑似HAM患者中尚未见SC损伤的报道。为了确定,通过对常规MRI指标的评估,我们可以检测到疑似HAM患者SC面积的减少。通过Western blot诊断HTLV-1感染,并使用1.5 t扫描仪进行MRI扫描。当SC面积小于鞘内面积的25%时考虑萎缩。我们观察到HTLV-1携带者、疑似和确诊HAM患者中SC区域的所有节段逐渐减少。值得注意的是,48.3%的疑似HAM患者表现为腰椎萎缩。使用MRI指标,本研究显示,在出现HTLV-1相关泌尿系统症状但无运动功能障碍的患者中,SC区腰椎节段萎缩。
本文章由计算机程序翻译,如有差异,请以英文原文为准。

Magnetic resonance imaging in the diagnosis of HTLV-1-associated myelopathy.

Magnetic resonance imaging in the diagnosis of HTLV-1-associated myelopathy.

Magnetic resonance imaging in the diagnosis of HTLV-1-associated myelopathy.

The main neurologic manifestation of definitive human T-lymphotropic virus 1 (HTLV-1)-associated myelopathy (HAM) is spastic paraparesis, but it only occurs in 5% of the patients. In contrast, about 40% of HTLV-1-infected subjects present symptoms of urologic dysfunction, including nocturia, urgency, and incontinence, which may progress to an inability to void urine. As these patients do not present motor dysfunction, they are classified as probable HAM. Atrophy of the thoracic spinal cord (SC) is the main abnormality found on magnetic resonance image (MRI) scans of patients with definitive HAM, but damage to the SC has not been reported in patients with probable HAM.To determine if, through an evaluation of the metrics of conventional MRI, we can detect a decrease in the area of the SC in patients with probable HAM.Infection by HTLV-1 was herein diagnosed by a Western blot, and the MRI scan was performed using a 1.5-T scanner. Atrophy was considered when the SC area was less than 25% of the intrathecal area.We observed a progressive reduction in all segments of the SC area among HTLV-1 carriers, patients with probable and definitive HAM. Significantly, 48.3% of patients with probable HAM presented atrophy of the lumbar area.Using MRI metrics, the present study shows the atrophy of lumbar segments of the SC area in patients who present urinary symptoms associated with HTLV-1 but without motor dysfunction.

求助全文
通过发布文献求助,成功后即可免费获取论文全文。 去求助
来源期刊
Arquivos de neuro-psiquiatria
Arquivos de neuro-psiquiatria 医学-精神病学
CiteScore
2.10
自引率
7.10%
发文量
262
审稿时长
4-8 weeks
期刊介绍: Arquivos de Neuro-Psiquiatria is the official journal of the Brazilian Academy of Neurology. The mission of the journal is to provide neurologists, specialists and researchers in Neurology and related fields with open access to original articles (clinical and translational research), editorials, reviews, historical papers, neuroimages and letters about published manuscripts. It also publishes the consensus and guidelines on Neurology, as well as educational and scientific material from the different scientific departments of the Brazilian Academy of Neurology. The ultimate goals of the journal are to contribute to advance knowledge in the areas of Neurology and Neuroscience, and to provide valuable material for training and continuing education for neurologists and other health professionals working in the area. These goals might contribute to improving care for patients with neurological diseases. We aim to be the best Neuroscience journal in Latin America within the peer review system.
×
引用
GB/T 7714-2015
复制
MLA
复制
APA
复制
导出至
BibTeX EndNote RefMan NoteFirst NoteExpress
×
提示
您的信息不完整,为了账户安全,请先补充。
现在去补充
×
提示
您因"违规操作"
具体请查看互助需知
我知道了
×
提示
确定
请完成安全验证×
copy
已复制链接
快去分享给好友吧!
我知道了
右上角分享
点击右上角分享
0
联系我们:info@booksci.cn Book学术提供免费学术资源搜索服务,方便国内外学者检索中英文文献。致力于提供最便捷和优质的服务体验。 Copyright © 2023 布克学术 All rights reserved.
京ICP备2023020795号-1
ghs 京公网安备 11010802042870号
Book学术文献互助
Book学术文献互助群
群 号:604180095
Book学术官方微信