猫纵隔嗜酸性粒细胞硬化性纤维增生伴金黄色葡萄球菌感染。

IF 0.7 Q3 VETERINARY SCIENCES
Journal of Feline Medicine and Surgery Open Reports Pub Date : 2025-07-20 eCollection Date: 2025-07-01 DOI:10.1177/20551169251347945
Celia van Grieken, Nerea Cuesta, Mireia Fernandez
{"title":"猫纵隔嗜酸性粒细胞硬化性纤维增生伴金黄色葡萄球菌感染。","authors":"Celia van Grieken, Nerea Cuesta, Mireia Fernandez","doi":"10.1177/20551169251347945","DOIUrl":null,"url":null,"abstract":"<p><strong>Case summary: </strong>A 7-year-old female spayed domestic shorthair cat presented with respiratory distress. Initial diagnostics revealed a large cystic mass in the mediastinum and moderate hyperglobulinaemia. Additional abnormalities were ruled out through thoracic and abdominal CT. The mass was surgically removed, and antibiotic treatment was started based on cytological findings of intralesional bacteria. Histopathology and microbiology confirmed a severe inflammatory reaction pattern compatible with feline eosinophilic sclerosing fibroplasia (FESF) associated with <i>Staphylococcus aureus</i>. After surgery and antibiotic therapy, clinical signs and related abnormalities fully resolved. At the time of writing, 24 months postoperatively, the patient shows no evidence of relapse.</p><p><strong>Relevance and novel information: </strong>FESF, initially described as an inflammatory condition affecting the gastrointestinal tract, has also been anecdotally reported in other locations, including the retroperitoneum, retropharyngeal region and mediastinum. This report is the second to document a mediastinal presentation without concurrent abdominal involvement, and the first to achieve long-term remission without the use of immunosuppressants. It supports the hypothesis that FESF may represent a characteristic pattern of inflammation secondary to a range of triggers rather than a distinct disease process, indicating that treatment should probably target the specific underlying cause.</p>","PeriodicalId":36588,"journal":{"name":"Journal of Feline Medicine and Surgery Open Reports","volume":"11 2","pages":"20551169251347945"},"PeriodicalIF":0.7000,"publicationDate":"2025-07-20","publicationTypes":"Journal Article","fieldsOfStudy":null,"isOpenAccess":false,"openAccessPdf":"https://www.ncbi.nlm.nih.gov/pmc/articles/PMC12277670/pdf/","citationCount":"0","resultStr":"{\"title\":\"Mediastinal eosinophilic sclerosing fibroplasia associated with <i>Staphylococcus aureus</i> infection in a cat.\",\"authors\":\"Celia van Grieken, Nerea Cuesta, Mireia Fernandez\",\"doi\":\"10.1177/20551169251347945\",\"DOIUrl\":null,\"url\":null,\"abstract\":\"<p><strong>Case summary: </strong>A 7-year-old female spayed domestic shorthair cat presented with respiratory distress. Initial diagnostics revealed a large cystic mass in the mediastinum and moderate hyperglobulinaemia. Additional abnormalities were ruled out through thoracic and abdominal CT. The mass was surgically removed, and antibiotic treatment was started based on cytological findings of intralesional bacteria. Histopathology and microbiology confirmed a severe inflammatory reaction pattern compatible with feline eosinophilic sclerosing fibroplasia (FESF) associated with <i>Staphylococcus aureus</i>. After surgery and antibiotic therapy, clinical signs and related abnormalities fully resolved. At the time of writing, 24 months postoperatively, the patient shows no evidence of relapse.</p><p><strong>Relevance and novel information: </strong>FESF, initially described as an inflammatory condition affecting the gastrointestinal tract, has also been anecdotally reported in other locations, including the retroperitoneum, retropharyngeal region and mediastinum. This report is the second to document a mediastinal presentation without concurrent abdominal involvement, and the first to achieve long-term remission without the use of immunosuppressants. It supports the hypothesis that FESF may represent a characteristic pattern of inflammation secondary to a range of triggers rather than a distinct disease process, indicating that treatment should probably target the specific underlying cause.</p>\",\"PeriodicalId\":36588,\"journal\":{\"name\":\"Journal of Feline Medicine and Surgery Open Reports\",\"volume\":\"11 2\",\"pages\":\"20551169251347945\"},\"PeriodicalIF\":0.7000,\"publicationDate\":\"2025-07-20\",\"publicationTypes\":\"Journal Article\",\"fieldsOfStudy\":null,\"isOpenAccess\":false,\"openAccessPdf\":\"https://www.ncbi.nlm.nih.gov/pmc/articles/PMC12277670/pdf/\",\"citationCount\":\"0\",\"resultStr\":null,\"platform\":\"Semanticscholar\",\"paperid\":null,\"PeriodicalName\":\"Journal of Feline Medicine and Surgery Open Reports\",\"FirstCategoryId\":\"1085\",\"ListUrlMain\":\"https://doi.org/10.1177/20551169251347945\",\"RegionNum\":0,\"RegionCategory\":null,\"ArticlePicture\":[],\"TitleCN\":null,\"AbstractTextCN\":null,\"PMCID\":null,\"EPubDate\":\"2025/7/1 0:00:00\",\"PubModel\":\"eCollection\",\"JCR\":\"Q3\",\"JCRName\":\"VETERINARY SCIENCES\",\"Score\":null,\"Total\":0}","platform":"Semanticscholar","paperid":null,"PeriodicalName":"Journal of Feline Medicine and Surgery Open Reports","FirstCategoryId":"1085","ListUrlMain":"https://doi.org/10.1177/20551169251347945","RegionNum":0,"RegionCategory":null,"ArticlePicture":[],"TitleCN":null,"AbstractTextCN":null,"PMCID":null,"EPubDate":"2025/7/1 0:00:00","PubModel":"eCollection","JCR":"Q3","JCRName":"VETERINARY SCIENCES","Score":null,"Total":0}
引用次数: 0

摘要

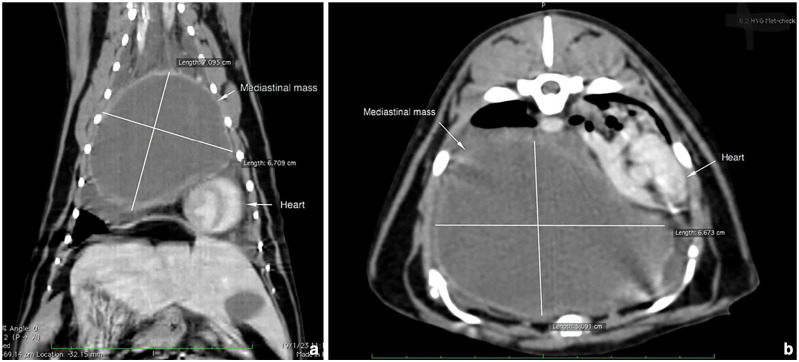
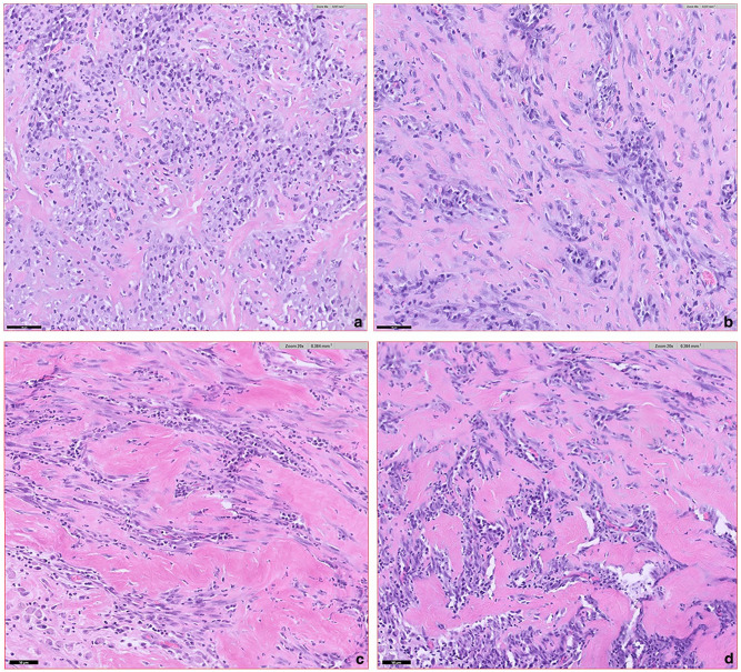
病例总结:一只7岁雌性家养短毛猫出现呼吸窘迫。初步诊断显示纵隔有一个大的囊性肿块和中度高球蛋白血症。通过胸部和腹部CT排除了其他异常。手术切除肿块,并根据病变内细菌的细胞学发现开始抗生素治疗。组织病理学和微生物学证实了严重的炎症反应模式与与金黄色葡萄球菌相关的猫嗜酸性硬化性纤维增生(FESF)相容。经过手术和抗生素治疗,临床症状和相关异常完全消除。在撰写本文时,术后24个月,患者无复发迹象。相关性和新信息:FESF最初被描述为一种影响胃肠道的炎症性疾病,在其他部位也有轶事报道,包括腹膜后、咽后区域和纵隔。该报告是第二个记录纵隔表现而不同时累及腹部的报告,也是第一个在不使用免疫抑制剂的情况下获得长期缓解的报告。它支持了FESF可能代表继发于一系列诱因的炎症的特征性模式,而不是一个独特的疾病过程的假设,表明治疗可能应该针对特定的潜在原因。
本文章由计算机程序翻译,如有差异,请以英文原文为准。

Mediastinal eosinophilic sclerosing fibroplasia associated with <i>Staphylococcus aureus</i> infection in a cat.

Mediastinal eosinophilic sclerosing fibroplasia associated with <i>Staphylococcus aureus</i> infection in a cat.

Mediastinal eosinophilic sclerosing fibroplasia associated with <i>Staphylococcus aureus</i> infection in a cat.

Mediastinal eosinophilic sclerosing fibroplasia associated with Staphylococcus aureus infection in a cat.

Case summary: A 7-year-old female spayed domestic shorthair cat presented with respiratory distress. Initial diagnostics revealed a large cystic mass in the mediastinum and moderate hyperglobulinaemia. Additional abnormalities were ruled out through thoracic and abdominal CT. The mass was surgically removed, and antibiotic treatment was started based on cytological findings of intralesional bacteria. Histopathology and microbiology confirmed a severe inflammatory reaction pattern compatible with feline eosinophilic sclerosing fibroplasia (FESF) associated with Staphylococcus aureus. After surgery and antibiotic therapy, clinical signs and related abnormalities fully resolved. At the time of writing, 24 months postoperatively, the patient shows no evidence of relapse.

Relevance and novel information: FESF, initially described as an inflammatory condition affecting the gastrointestinal tract, has also been anecdotally reported in other locations, including the retroperitoneum, retropharyngeal region and mediastinum. This report is the second to document a mediastinal presentation without concurrent abdominal involvement, and the first to achieve long-term remission without the use of immunosuppressants. It supports the hypothesis that FESF may represent a characteristic pattern of inflammation secondary to a range of triggers rather than a distinct disease process, indicating that treatment should probably target the specific underlying cause.

求助全文
通过发布文献求助,成功后即可免费获取论文全文。 去求助
来源期刊
CiteScore
1.30
自引率
14.30%
发文量
57
审稿时长
15 weeks
×
引用
GB/T 7714-2015
复制
MLA
复制
APA
复制
导出至
BibTeX EndNote RefMan NoteFirst NoteExpress
×
提示
您的信息不完整,为了账户安全,请先补充。
现在去补充
×
提示
您因"违规操作"
具体请查看互助需知
我知道了
×
提示
确定
请完成安全验证×
copy
已复制链接
快去分享给好友吧!
我知道了
右上角分享
点击右上角分享
0
联系我们:info@booksci.cn Book学术提供免费学术资源搜索服务,方便国内外学者检索中英文文献。致力于提供最便捷和优质的服务体验。 Copyright © 2023 布克学术 All rights reserved.
京ICP备2023020795号-1
ghs 京公网安备 11010802042870号
Book学术文献互助
Book学术文献互助群
群 号:604180095
Book学术官方微信