子宫颈癌MRI放射组学分析与肿瘤微环境的关系。

IF 2.8 3区 医学 Q3 ONCOLOGY
Hans-Jonas Meyer, Jakob Leonhardi, Anne-Kathrin Höhn, Noura Kabbani, Silke Zimmermann, Jan Borggrefe, Alexey Surov
{"title":"子宫颈癌MRI放射组学分析与肿瘤微环境的关系。","authors":"Hans-Jonas Meyer, Jakob Leonhardi, Anne-Kathrin Höhn, Noura Kabbani, Silke Zimmermann, Jan Borggrefe, Alexey Surov","doi":"10.1007/s00432-025-06253-3","DOIUrl":null,"url":null,"abstract":"<p><strong>Purpose: </strong>The complex interactions of the tumor micromilieu could be reflected by magnetic resonance imaging (MRI) when analyzed with the radiomics approach. For several tumor entities, it has been shown that radiomics derived from MRI can reflect important characteristics of the tumors. The present study investigated the association radiomics derived from MRI images and histopathological features in uterine cervical cancer.</p><p><strong>Methods: </strong>The MRI before any treatment was used to extract the radiomics features of T1- and T2-weighted images. The biopsy specimens were stained for Ki 67, e-cadherin, vimentin, programmed-death ligand 1, and tumor-infiltrating lymphocytes (TIL, all CD45 positive cells). Tumor-stroma ratio (TSR) was calculated on routine H&E specimen. Spearman's correlation analysis and discrimination analyses were performed as statistical analyses.</p><p><strong>Results: </strong>The patient sample was comprised of 89 female patients with a mean age of 49.3 years ± 14.6 (range 27-77 years) with squamous cell cervical carcinoma. \"Kurtosis\" derived from T1-weighted images after contrast media application correlated with the Ki-67 index (r = 0.28, p = 0.02). \"WavEnHL_s-4\" derived from T2-weighted images and \"S(1.0)Contrast\" derived from T1-weighted images after contrast media application showed correlations with TSR (r = - 0.24, p = 0.04, each). Several associations were identified between the radiomics features with immune scores defined by programmed-death ligand 1, the highest correlation showed Teta1 derived from T2-weighted images with the combined positive score (r = - 0.38, p < 0.01). There were several associations with vimentin expression, the highest showed \"Variance\" derived from T1-weighted images after contrast media application (r = 0.46, p < 0.01).</p><p><strong>Conclusions: </strong>Radiomics features derived from MRI can reflect tumor characteristics of UCC. Especially immune-related features were reflected by the MRI texture features. Proliferation potential, composition of the extracellular matrix and tumor-stroma ratio were also significantly associated with radiomics features. These presented results need to be evaluated in an independent cohort to test their stability.</p>","PeriodicalId":15118,"journal":{"name":"Journal of Cancer Research and Clinical Oncology","volume":"151 7","pages":"219"},"PeriodicalIF":2.8000,"publicationDate":"2025-07-21","publicationTypes":"Journal Article","fieldsOfStudy":null,"isOpenAccess":false,"openAccessPdf":"https://www.ncbi.nlm.nih.gov/pmc/articles/PMC12279667/pdf/","citationCount":"0","resultStr":"{\"title\":\"Associations between MRI radiomics analysis and tumor-micro milieu in uterine cervical cancer.\",\"authors\":\"Hans-Jonas Meyer, Jakob Leonhardi, Anne-Kathrin Höhn, Noura Kabbani, Silke Zimmermann, Jan Borggrefe, Alexey Surov\",\"doi\":\"10.1007/s00432-025-06253-3\",\"DOIUrl\":null,\"url\":null,\"abstract\":\"<p><strong>Purpose: </strong>The complex interactions of the tumor micromilieu could be reflected by magnetic resonance imaging (MRI) when analyzed with the radiomics approach. For several tumor entities, it has been shown that radiomics derived from MRI can reflect important characteristics of the tumors. The present study investigated the association radiomics derived from MRI images and histopathological features in uterine cervical cancer.</p><p><strong>Methods: </strong>The MRI before any treatment was used to extract the radiomics features of T1- and T2-weighted images. The biopsy specimens were stained for Ki 67, e-cadherin, vimentin, programmed-death ligand 1, and tumor-infiltrating lymphocytes (TIL, all CD45 positive cells). Tumor-stroma ratio (TSR) was calculated on routine H&E specimen. Spearman's correlation analysis and discrimination analyses were performed as statistical analyses.</p><p><strong>Results: </strong>The patient sample was comprised of 89 female patients with a mean age of 49.3 years ± 14.6 (range 27-77 years) with squamous cell cervical carcinoma. \\\"Kurtosis\\\" derived from T1-weighted images after contrast media application correlated with the Ki-67 index (r = 0.28, p = 0.02). \\\"WavEnHL_s-4\\\" derived from T2-weighted images and \\\"S(1.0)Contrast\\\" derived from T1-weighted images after contrast media application showed correlations with TSR (r = - 0.24, p = 0.04, each). Several associations were identified between the radiomics features with immune scores defined by programmed-death ligand 1, the highest correlation showed Teta1 derived from T2-weighted images with the combined positive score (r = - 0.38, p < 0.01). There were several associations with vimentin expression, the highest showed \\\"Variance\\\" derived from T1-weighted images after contrast media application (r = 0.46, p < 0.01).</p><p><strong>Conclusions: </strong>Radiomics features derived from MRI can reflect tumor characteristics of UCC. Especially immune-related features were reflected by the MRI texture features. Proliferation potential, composition of the extracellular matrix and tumor-stroma ratio were also significantly associated with radiomics features. These presented results need to be evaluated in an independent cohort to test their stability.</p>\",\"PeriodicalId\":15118,\"journal\":{\"name\":\"Journal of Cancer Research and Clinical Oncology\",\"volume\":\"151 7\",\"pages\":\"219\"},\"PeriodicalIF\":2.8000,\"publicationDate\":\"2025-07-21\",\"publicationTypes\":\"Journal Article\",\"fieldsOfStudy\":null,\"isOpenAccess\":false,\"openAccessPdf\":\"https://www.ncbi.nlm.nih.gov/pmc/articles/PMC12279667/pdf/\",\"citationCount\":\"0\",\"resultStr\":null,\"platform\":\"Semanticscholar\",\"paperid\":null,\"PeriodicalName\":\"Journal of Cancer Research and Clinical Oncology\",\"FirstCategoryId\":\"3\",\"ListUrlMain\":\"https://doi.org/10.1007/s00432-025-06253-3\",\"RegionNum\":3,\"RegionCategory\":\"医学\",\"ArticlePicture\":[],\"TitleCN\":null,\"AbstractTextCN\":null,\"PMCID\":null,\"EPubDate\":\"\",\"PubModel\":\"\",\"JCR\":\"Q3\",\"JCRName\":\"ONCOLOGY\",\"Score\":null,\"Total\":0}","platform":"Semanticscholar","paperid":null,"PeriodicalName":"Journal of Cancer Research and Clinical Oncology","FirstCategoryId":"3","ListUrlMain":"https://doi.org/10.1007/s00432-025-06253-3","RegionNum":3,"RegionCategory":"医学","ArticlePicture":[],"TitleCN":null,"AbstractTextCN":null,"PMCID":null,"EPubDate":"","PubModel":"","JCR":"Q3","JCRName":"ONCOLOGY","Score":null,"Total":0}
引用次数: 0

摘要

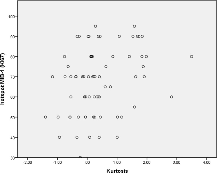
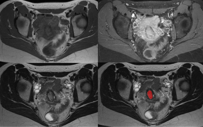
目的:用放射组学方法分析肿瘤微环境时,磁共振成像(MRI)可以反映肿瘤微环境的复杂相互作用。对于一些肿瘤实体,已经证明来自MRI的放射组学可以反映肿瘤的重要特征。本研究探讨了子宫癌MRI影像与组织病理学特征的相关性。方法:采用治疗前MRI提取T1和t2加权图像的放射组学特征。活检标本进行Ki 67、e-cadherin、vimentin、程序性死亡配体1和肿瘤浸润淋巴细胞(TIL,均为CD45阳性细胞)染色。计算常规H&E标本的肿瘤间质比(TSR)。采用Spearman相关分析和判别分析进行统计分析。结果:89例宫颈鳞状细胞癌女性患者,平均年龄49.3岁±14.6岁(27 ~ 77岁)。造影剂应用后t1加权图像的“峰度”与Ki-67指数相关(r = 0.28, p = 0.02)。造影剂应用后t2加权图像的“WavEnHL_s-4”和t1加权图像的“S(1.0)Contrast”与TSR呈相关性(r = - 0.24, p = 0.04)。研究发现,放射性组学特征与程序性死亡配体1定义的免疫评分之间存在一定的相关性,相关性最高的是t2加权图像获得的Teta1与综合阳性评分(r = - 0.38, p)。尤其是免疫相关特征可以通过MRI的纹理特征反映出来。增殖潜能、细胞外基质组成和肿瘤间质比也与放射组学特征显著相关。这些结果需要在一个独立的队列中进行评估,以检验其稳定性。
本文章由计算机程序翻译,如有差异,请以英文原文为准。

Associations between MRI radiomics analysis and tumor-micro milieu in uterine cervical cancer.

Associations between MRI radiomics analysis and tumor-micro milieu in uterine cervical cancer.

Associations between MRI radiomics analysis and tumor-micro milieu in uterine cervical cancer.

Associations between MRI radiomics analysis and tumor-micro milieu in uterine cervical cancer.

Purpose: The complex interactions of the tumor micromilieu could be reflected by magnetic resonance imaging (MRI) when analyzed with the radiomics approach. For several tumor entities, it has been shown that radiomics derived from MRI can reflect important characteristics of the tumors. The present study investigated the association radiomics derived from MRI images and histopathological features in uterine cervical cancer.

Methods: The MRI before any treatment was used to extract the radiomics features of T1- and T2-weighted images. The biopsy specimens were stained for Ki 67, e-cadherin, vimentin, programmed-death ligand 1, and tumor-infiltrating lymphocytes (TIL, all CD45 positive cells). Tumor-stroma ratio (TSR) was calculated on routine H&E specimen. Spearman's correlation analysis and discrimination analyses were performed as statistical analyses.

Results: The patient sample was comprised of 89 female patients with a mean age of 49.3 years ± 14.6 (range 27-77 years) with squamous cell cervical carcinoma. "Kurtosis" derived from T1-weighted images after contrast media application correlated with the Ki-67 index (r = 0.28, p = 0.02). "WavEnHL_s-4" derived from T2-weighted images and "S(1.0)Contrast" derived from T1-weighted images after contrast media application showed correlations with TSR (r = - 0.24, p = 0.04, each). Several associations were identified between the radiomics features with immune scores defined by programmed-death ligand 1, the highest correlation showed Teta1 derived from T2-weighted images with the combined positive score (r = - 0.38, p < 0.01). There were several associations with vimentin expression, the highest showed "Variance" derived from T1-weighted images after contrast media application (r = 0.46, p < 0.01).

Conclusions: Radiomics features derived from MRI can reflect tumor characteristics of UCC. Especially immune-related features were reflected by the MRI texture features. Proliferation potential, composition of the extracellular matrix and tumor-stroma ratio were also significantly associated with radiomics features. These presented results need to be evaluated in an independent cohort to test their stability.

求助全文
通过发布文献求助,成功后即可免费获取论文全文。 去求助
来源期刊
CiteScore
4.00
自引率
2.80%
发文量
577
审稿时长
2 months
期刊介绍: The "Journal of Cancer Research and Clinical Oncology" publishes significant and up-to-date articles within the fields of experimental and clinical oncology. The journal, which is chiefly devoted to Original papers, also includes Reviews as well as Editorials and Guest editorials on current, controversial topics. The section Letters to the editors provides a forum for a rapid exchange of comments and information concerning previously published papers and topics of current interest. Meeting reports provide current information on the latest results presented at important congresses. The following fields are covered: carcinogenesis - etiology, mechanisms; molecular biology; recent developments in tumor therapy; general diagnosis; laboratory diagnosis; diagnostic and experimental pathology; oncologic surgery; and epidemiology.
×
引用
GB/T 7714-2015
复制
MLA
复制
APA
复制
导出至
BibTeX EndNote RefMan NoteFirst NoteExpress
×
提示
您的信息不完整,为了账户安全,请先补充。
现在去补充
×
提示
您因"违规操作"
具体请查看互助需知
我知道了
×
提示
确定
请完成安全验证×
copy
已复制链接
快去分享给好友吧!
我知道了
右上角分享
点击右上角分享
0
联系我们:info@booksci.cn Book学术提供免费学术资源搜索服务,方便国内外学者检索中英文文献。致力于提供最便捷和优质的服务体验。 Copyright © 2023 布克学术 All rights reserved.
京ICP备2023020795号-1
ghs 京公网安备 11010802042870号
Book学术文献互助
Book学术文献互助群
群 号:604180095
Book学术官方微信