9岁女童乳头内出血合并相邻乳头周围视网膜下出血1例。

IF 0.6 Q4 OPHTHALMOLOGY
Case Reports in Ophthalmology Pub Date : 2025-06-17 eCollection Date: 2025-01-01 DOI:10.1159/000546984
Chiaki Nakamura, Tadashi Matsumoto, Norihiro Watanabe, Shinichiro Kobayakawa
{"title":"9岁女童乳头内出血合并相邻乳头周围视网膜下出血1例。","authors":"Chiaki Nakamura, Tadashi Matsumoto, Norihiro Watanabe, Shinichiro Kobayakawa","doi":"10.1159/000546984","DOIUrl":null,"url":null,"abstract":"<p><strong>Introduction: </strong>Intrapapillary hemorrhage with adjacent peripapillary subretinal hemorrhage (IHAPSH) is a syndrome associated with intrapapillary hemorrhage and peripapillary subretinal hemorrhage that commonly occurs in myopic women. There have been no reports of patients younger than 10 years. We report a case of typical IHAPSH that occurred in a 9-year-old girl in the advanced stages of myopia.</p><p><strong>Case presentation: </strong>A 9-year-old girl presented with gradually decreasing uncorrected visual acuity in the left eye over the past year, without complaints of floaters or blurred vision. Uncorrected visual acuity was 20/16 in the right eye and approximately 20/285 in the left eye, improving to 20/16 with -4.50 diopters sphere and -0.50 diopters cylinder at 165°. Ophthalmoscopic examination revealed intrapapillary hemorrhage and nasal peripapillary subretinal hemorrhage in her left eye. The left eye had a small, tilted papilla. Fluorescein angiography showed no leakage from the papilla. The length of the ocular axis was elongated to 24.87 mm in the left, compared to 23.15 mm in the right. We diagnosed IHAPSH and decided to follow the patient. After 8 weeks, the hemorrhage was almost completely absorbed. No recurrence has been observed since then.</p><p><strong>Conclusion: </strong>To our knowledge, this is the youngest reported case of IHAPSH. This case underscores the potential contribution of optic disc morphology and progressive myopia to IHAPSH pathogenesis and highlights the importance of considering this condition in the differential diagnosis of optic disc hemorrhage in school-aged children.</p>","PeriodicalId":9635,"journal":{"name":"Case Reports in Ophthalmology","volume":"16 1","pages":"528-534"},"PeriodicalIF":0.6000,"publicationDate":"2025-06-17","publicationTypes":"Journal Article","fieldsOfStudy":null,"isOpenAccess":false,"openAccessPdf":"https://www.ncbi.nlm.nih.gov/pmc/articles/PMC12279344/pdf/","citationCount":"0","resultStr":"{\"title\":\"Intrapapillary Hemorrhage with Adjacent Peripapillary Subretinal Hemorrhage in a 9-Year-Old Girl: A Case Report.\",\"authors\":\"Chiaki Nakamura, Tadashi Matsumoto, Norihiro Watanabe, Shinichiro Kobayakawa\",\"doi\":\"10.1159/000546984\",\"DOIUrl\":null,\"url\":null,\"abstract\":\"<p><strong>Introduction: </strong>Intrapapillary hemorrhage with adjacent peripapillary subretinal hemorrhage (IHAPSH) is a syndrome associated with intrapapillary hemorrhage and peripapillary subretinal hemorrhage that commonly occurs in myopic women. There have been no reports of patients younger than 10 years. We report a case of typical IHAPSH that occurred in a 9-year-old girl in the advanced stages of myopia.</p><p><strong>Case presentation: </strong>A 9-year-old girl presented with gradually decreasing uncorrected visual acuity in the left eye over the past year, without complaints of floaters or blurred vision. Uncorrected visual acuity was 20/16 in the right eye and approximately 20/285 in the left eye, improving to 20/16 with -4.50 diopters sphere and -0.50 diopters cylinder at 165°. Ophthalmoscopic examination revealed intrapapillary hemorrhage and nasal peripapillary subretinal hemorrhage in her left eye. The left eye had a small, tilted papilla. Fluorescein angiography showed no leakage from the papilla. The length of the ocular axis was elongated to 24.87 mm in the left, compared to 23.15 mm in the right. We diagnosed IHAPSH and decided to follow the patient. After 8 weeks, the hemorrhage was almost completely absorbed. No recurrence has been observed since then.</p><p><strong>Conclusion: </strong>To our knowledge, this is the youngest reported case of IHAPSH. This case underscores the potential contribution of optic disc morphology and progressive myopia to IHAPSH pathogenesis and highlights the importance of considering this condition in the differential diagnosis of optic disc hemorrhage in school-aged children.</p>\",\"PeriodicalId\":9635,\"journal\":{\"name\":\"Case Reports in Ophthalmology\",\"volume\":\"16 1\",\"pages\":\"528-534\"},\"PeriodicalIF\":0.6000,\"publicationDate\":\"2025-06-17\",\"publicationTypes\":\"Journal Article\",\"fieldsOfStudy\":null,\"isOpenAccess\":false,\"openAccessPdf\":\"https://www.ncbi.nlm.nih.gov/pmc/articles/PMC12279344/pdf/\",\"citationCount\":\"0\",\"resultStr\":null,\"platform\":\"Semanticscholar\",\"paperid\":null,\"PeriodicalName\":\"Case Reports in Ophthalmology\",\"FirstCategoryId\":\"1085\",\"ListUrlMain\":\"https://doi.org/10.1159/000546984\",\"RegionNum\":0,\"RegionCategory\":null,\"ArticlePicture\":[],\"TitleCN\":null,\"AbstractTextCN\":null,\"PMCID\":null,\"EPubDate\":\"2025/1/1 0:00:00\",\"PubModel\":\"eCollection\",\"JCR\":\"Q4\",\"JCRName\":\"OPHTHALMOLOGY\",\"Score\":null,\"Total\":0}","platform":"Semanticscholar","paperid":null,"PeriodicalName":"Case Reports in Ophthalmology","FirstCategoryId":"1085","ListUrlMain":"https://doi.org/10.1159/000546984","RegionNum":0,"RegionCategory":null,"ArticlePicture":[],"TitleCN":null,"AbstractTextCN":null,"PMCID":null,"EPubDate":"2025/1/1 0:00:00","PubModel":"eCollection","JCR":"Q4","JCRName":"OPHTHALMOLOGY","Score":null,"Total":0}
引用次数: 0

摘要

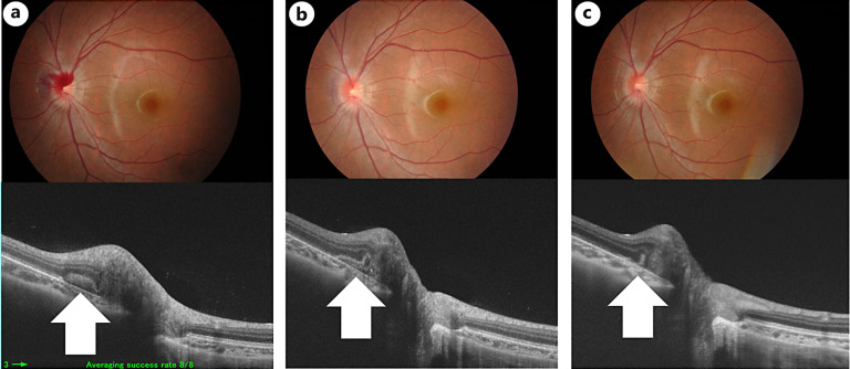
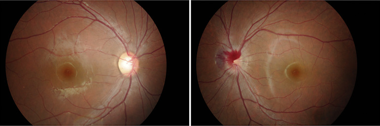
简介:乳头内出血合并相邻乳头周围视网膜下出血(IHAPSH)是一种与乳头内出血和乳头周围视网膜下出血相关的综合征,常见于近视女性。目前还没有10岁以下患者的报告。我们报告一例典型的IHAPSH,发生在一名近视晚期的9岁女孩。病例介绍:一名九岁女孩,过去一年左眼未矫正视力逐渐下降,无飞蚊症或视力模糊。未矫正的右眼视力为20/16,左眼视力约为20/285,165°处球面-4.50屈光度和柱面-0.50屈光度改善至20/16。眼底检查发现左眼乳头内出血及鼻乳头周围视网膜下出血。左眼有一个小而倾斜的乳头。荧光素血管造影未见乳头渗漏。左眼轴延长至24.87 mm,右眼轴延长至23.15 mm。我们诊断为IHAPSH并决定随访患者。8周后,出血几乎完全吸收。此后未见复发。结论:据我们所知,这是最年轻的IHAPSH病例。本病例强调视盘形态和进行性近视对IHAPSH发病机制的潜在贡献,并强调在学龄儿童视盘出血的鉴别诊断中考虑这种情况的重要性。
本文章由计算机程序翻译,如有差异,请以英文原文为准。

Intrapapillary Hemorrhage with Adjacent Peripapillary Subretinal Hemorrhage in a 9-Year-Old Girl: A Case Report.

Intrapapillary Hemorrhage with Adjacent Peripapillary Subretinal Hemorrhage in a 9-Year-Old Girl: A Case Report.

Intrapapillary Hemorrhage with Adjacent Peripapillary Subretinal Hemorrhage in a 9-Year-Old Girl: A Case Report.

Intrapapillary Hemorrhage with Adjacent Peripapillary Subretinal Hemorrhage in a 9-Year-Old Girl: A Case Report.

Introduction: Intrapapillary hemorrhage with adjacent peripapillary subretinal hemorrhage (IHAPSH) is a syndrome associated with intrapapillary hemorrhage and peripapillary subretinal hemorrhage that commonly occurs in myopic women. There have been no reports of patients younger than 10 years. We report a case of typical IHAPSH that occurred in a 9-year-old girl in the advanced stages of myopia.

Case presentation: A 9-year-old girl presented with gradually decreasing uncorrected visual acuity in the left eye over the past year, without complaints of floaters or blurred vision. Uncorrected visual acuity was 20/16 in the right eye and approximately 20/285 in the left eye, improving to 20/16 with -4.50 diopters sphere and -0.50 diopters cylinder at 165°. Ophthalmoscopic examination revealed intrapapillary hemorrhage and nasal peripapillary subretinal hemorrhage in her left eye. The left eye had a small, tilted papilla. Fluorescein angiography showed no leakage from the papilla. The length of the ocular axis was elongated to 24.87 mm in the left, compared to 23.15 mm in the right. We diagnosed IHAPSH and decided to follow the patient. After 8 weeks, the hemorrhage was almost completely absorbed. No recurrence has been observed since then.

Conclusion: To our knowledge, this is the youngest reported case of IHAPSH. This case underscores the potential contribution of optic disc morphology and progressive myopia to IHAPSH pathogenesis and highlights the importance of considering this condition in the differential diagnosis of optic disc hemorrhage in school-aged children.

求助全文
通过发布文献求助,成功后即可免费获取论文全文。 去求助
来源期刊
CiteScore
0.90
自引率
0.00%
发文量
129
审稿时长
12 weeks
期刊介绍: This peer-reviewed online-only journal publishes original case reports covering the entire spectrum of ophthalmology, including prevention, diagnosis, treatment, toxicities of therapy, supportive care, quality-of-life, and survivorship issues. The submission of negative results is strongly encouraged. The journal will also accept case reports dealing with the use of novel technologies, both in the arena of diagnosis and treatment. Supplementary material is welcomed. The intent of the journal is to provide clinicians and researchers with a tool to disseminate their personal experiences to a wider public as well as to review interesting cases encountered by colleagues all over the world. Universally used terms can be searched across the entire growing collection of case reports, further facilitating the retrieval of specific information. Following the open access principle, the entire contents can be retrieved at no charge, guaranteeing easy access to this valuable source of anecdotal information at all times.
×
引用
GB/T 7714-2015
复制
MLA
复制
APA
复制
导出至
BibTeX EndNote RefMan NoteFirst NoteExpress
×
提示
您的信息不完整,为了账户安全,请先补充。
现在去补充
×
提示
您因"违规操作"
具体请查看互助需知
我知道了
×
提示
确定
请完成安全验证×
copy
已复制链接
快去分享给好友吧!
我知道了
右上角分享
点击右上角分享
0
联系我们:info@booksci.cn Book学术提供免费学术资源搜索服务,方便国内外学者检索中英文文献。致力于提供最便捷和优质的服务体验。 Copyright © 2023 布克学术 All rights reserved.
京ICP备2023020795号-1
ghs 京公网安备 11010802042870号
Book学术文献互助
Book学术文献互助群
群 号:604180095
Book学术官方微信