脑干脑炎是菊池-藤本病后的非典型神经并发症。

IF 0.9 Q4 CLINICAL NEUROLOGY
Case Reports in Neurological Medicine Pub Date : 2025-07-14 eCollection Date: 2025-01-01 DOI:10.1155/crnm/3086387
Youjiang Tan, Tyngyu Chuah
{"title":"脑干脑炎是菊池-藤本病后的非典型神经并发症。","authors":"Youjiang Tan, Tyngyu Chuah","doi":"10.1155/crnm/3086387","DOIUrl":null,"url":null,"abstract":"<p><p>We report an uncommon and peculiar case of a patient who developed brainstem encephalitis between three and four months after recovering from an episode of Kikuchi-Fujimoto disease (KFD). She presented acutely with oscillopsia and persistent irrepressible hiccups, for which brainstem stroke was initially suspected. Brain magnetic resonance imaging was negative for ischemic strokes but demonstrated an enhancing T2-hyperintense lesion within the area postrema of the medulla oblongata extending into the upper cervical cord. Workup for infections etiologies and demyelinating disorders of the central nervous system including neuromyelitis optica, multiple sclerosis, and antimyelin oligodendrocyte glycoprotein antibody disease, were unremarkable. Prior to the administration of immunosuppressive treatment, she spontaneously and rapidly recovered, remaining well over a 3-year period of follow-up. We reviewed prevailing scientific literature and identified similar, albeit rare, cases of encephalitis which were attributed to KFD, which we added to our discussion.</p>","PeriodicalId":9615,"journal":{"name":"Case Reports in Neurological Medicine","volume":"2025 ","pages":"3086387"},"PeriodicalIF":0.9000,"publicationDate":"2025-07-14","publicationTypes":"Journal Article","fieldsOfStudy":null,"isOpenAccess":false,"openAccessPdf":"https://www.ncbi.nlm.nih.gov/pmc/articles/PMC12279417/pdf/","citationCount":"0","resultStr":"{\"title\":\"Brainstem Encephalitis as an Atypical Neurologic Complication Following Kikuchi-Fujimoto Disease.\",\"authors\":\"Youjiang Tan, Tyngyu Chuah\",\"doi\":\"10.1155/crnm/3086387\",\"DOIUrl\":null,\"url\":null,\"abstract\":\"<p><p>We report an uncommon and peculiar case of a patient who developed brainstem encephalitis between three and four months after recovering from an episode of Kikuchi-Fujimoto disease (KFD). She presented acutely with oscillopsia and persistent irrepressible hiccups, for which brainstem stroke was initially suspected. Brain magnetic resonance imaging was negative for ischemic strokes but demonstrated an enhancing T2-hyperintense lesion within the area postrema of the medulla oblongata extending into the upper cervical cord. Workup for infections etiologies and demyelinating disorders of the central nervous system including neuromyelitis optica, multiple sclerosis, and antimyelin oligodendrocyte glycoprotein antibody disease, were unremarkable. Prior to the administration of immunosuppressive treatment, she spontaneously and rapidly recovered, remaining well over a 3-year period of follow-up. We reviewed prevailing scientific literature and identified similar, albeit rare, cases of encephalitis which were attributed to KFD, which we added to our discussion.</p>\",\"PeriodicalId\":9615,\"journal\":{\"name\":\"Case Reports in Neurological Medicine\",\"volume\":\"2025 \",\"pages\":\"3086387\"},\"PeriodicalIF\":0.9000,\"publicationDate\":\"2025-07-14\",\"publicationTypes\":\"Journal Article\",\"fieldsOfStudy\":null,\"isOpenAccess\":false,\"openAccessPdf\":\"https://www.ncbi.nlm.nih.gov/pmc/articles/PMC12279417/pdf/\",\"citationCount\":\"0\",\"resultStr\":null,\"platform\":\"Semanticscholar\",\"paperid\":null,\"PeriodicalName\":\"Case Reports in Neurological Medicine\",\"FirstCategoryId\":\"1085\",\"ListUrlMain\":\"https://doi.org/10.1155/crnm/3086387\",\"RegionNum\":0,\"RegionCategory\":null,\"ArticlePicture\":[],\"TitleCN\":null,\"AbstractTextCN\":null,\"PMCID\":null,\"EPubDate\":\"2025/1/1 0:00:00\",\"PubModel\":\"eCollection\",\"JCR\":\"Q4\",\"JCRName\":\"CLINICAL NEUROLOGY\",\"Score\":null,\"Total\":0}","platform":"Semanticscholar","paperid":null,"PeriodicalName":"Case Reports in Neurological Medicine","FirstCategoryId":"1085","ListUrlMain":"https://doi.org/10.1155/crnm/3086387","RegionNum":0,"RegionCategory":null,"ArticlePicture":[],"TitleCN":null,"AbstractTextCN":null,"PMCID":null,"EPubDate":"2025/1/1 0:00:00","PubModel":"eCollection","JCR":"Q4","JCRName":"CLINICAL NEUROLOGY","Score":null,"Total":0}
引用次数: 0

摘要

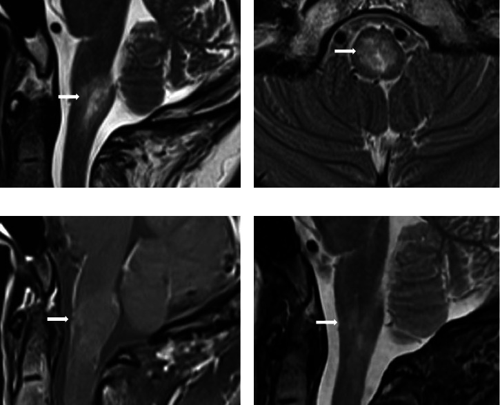
我们报告一个不常见的和特殊的情况下,谁发展脑干脑炎之间的3和4个月后,从一集的九池藤本病(KFD)恢复。她表现出急性脑振荡和持续的无法抑制的打嗝,最初怀疑脑干中风。脑磁共振成像对缺血性中风呈阴性,但在延髓后区显示强化的t2高信号病变,并延伸至上颈髓。对感染病因和中枢神经系统脱髓鞘疾病(包括视神经脊髓炎、多发性硬化症和抗髓磷脂少突胶质细胞糖蛋白抗体病)的检查无显著差异。在给予免疫抑制治疗之前,患者自行迅速恢复,并在3年随访期间保持良好状态。我们回顾了流行的科学文献,发现了类似的,尽管罕见的,脑炎病例,这些病例归因于KFD,我们将其添加到我们的讨论中。
本文章由计算机程序翻译,如有差异,请以英文原文为准。

Brainstem Encephalitis as an Atypical Neurologic Complication Following Kikuchi-Fujimoto Disease.

Brainstem Encephalitis as an Atypical Neurologic Complication Following Kikuchi-Fujimoto Disease.

We report an uncommon and peculiar case of a patient who developed brainstem encephalitis between three and four months after recovering from an episode of Kikuchi-Fujimoto disease (KFD). She presented acutely with oscillopsia and persistent irrepressible hiccups, for which brainstem stroke was initially suspected. Brain magnetic resonance imaging was negative for ischemic strokes but demonstrated an enhancing T2-hyperintense lesion within the area postrema of the medulla oblongata extending into the upper cervical cord. Workup for infections etiologies and demyelinating disorders of the central nervous system including neuromyelitis optica, multiple sclerosis, and antimyelin oligodendrocyte glycoprotein antibody disease, were unremarkable. Prior to the administration of immunosuppressive treatment, she spontaneously and rapidly recovered, remaining well over a 3-year period of follow-up. We reviewed prevailing scientific literature and identified similar, albeit rare, cases of encephalitis which were attributed to KFD, which we added to our discussion.

求助全文
通过发布文献求助,成功后即可免费获取论文全文。 去求助
来源期刊
自引率
0.00%
发文量
26
审稿时长
11 weeks
×
引用
GB/T 7714-2015
复制
MLA
复制
APA
复制
导出至
BibTeX EndNote RefMan NoteFirst NoteExpress
×
提示
您的信息不完整,为了账户安全,请先补充。
现在去补充
×
提示
您因"违规操作"
具体请查看互助需知
我知道了
×
提示
确定
请完成安全验证×
copy
已复制链接
快去分享给好友吧!
我知道了
右上角分享
点击右上角分享
0
联系我们:info@booksci.cn Book学术提供免费学术资源搜索服务,方便国内外学者检索中英文文献。致力于提供最便捷和优质的服务体验。 Copyright © 2023 布克学术 All rights reserved.
京ICP备2023020795号-1
ghs 京公网安备 11010802042870号
Book学术文献互助
Book学术文献互助群
群 号:604180095
Book学术官方微信