基于磁共振成像和临床放射学因素的放射组学图预测HCC TACE难治性的发展和验证。

IF 2.6 4区 医学 Q3 ONCOLOGY
Cancer Management and Research Pub Date : 2025-07-17 eCollection Date: 2025-01-01 DOI:10.2147/CMAR.S486561
YuHan Dong, Jihong Hu, Xuerou Meng, Bin Yang, Chao Peng, Wei Zhao
{"title":"基于磁共振成像和临床放射学因素的放射组学图预测HCC TACE难治性的发展和验证。","authors":"YuHan Dong, Jihong Hu, Xuerou Meng, Bin Yang, Chao Peng, Wei Zhao","doi":"10.2147/CMAR.S486561","DOIUrl":null,"url":null,"abstract":"<p><strong>Purpose: </strong>This study constructs a predictive model for hepatocellular carcinoma (HCC) transarterial chemoembolization (TACE) refractoriness using a machine learning (ML) algorithm and verifies the predictive performance of different algorithms.</p><p><strong>Patients and methods: </strong>Clinical and magnetic resonance imaging (MRI) data of 131 patients (48 with TACE refractoriness) who underwent repeated TACE treatment for HCC were retrospectively collected. The training and validation cohorts comprised 104 and 27 cases, respectively, following an 8:2 ratio. Clinical imaging characteristics related to TACE refractoriness were identified through logistic regression analysis. HCC lesions on arterial phase, portal phase, delayed phase, and T2-weighted fat suppression MRI images before the first TACE were manually delineated as regions of interest. Dimension reduction was conducted using variance threshold, univariate selection, and least absolute shrinkage and selection operator methods. Relevant indices of TACE refractoriness were selected. ML algorithms, including a support vector machine, random forest, logistic regression and adaptive boosting, were used to construct the radiomics, clinical prediction, and combined models. The predictive performance of these models was evaluated using receiver operating characteristic curves. The optimal model was presented as a nomogram and verified through calibration and decision curve analyses.</p><p><strong>Results: </strong>In evaluating radiomics models for predicting TACE refractoriness in HCC, the LR-developed portal venous phase (VP) model achieved optimal single-sequence performance (training AUC: 0.896, 95% CI: 0.843-0.941; validation: 0.853, 0.727-0.965). Multisequence models significantly surpassed single-sequence counterparts, with the T2WI-FS+AP+VP+DP multisequence LR model demonstrating peak efficacy (training: 0.905, 0.853-0.949; validation: 0.876, 0.773-0.976). The integrated clinical-radiomics model demonstrated robust predictive performance, achieving a training cohort AUC of 0.955 (95% CI: 0.918-0.984) with 0.885 accuracy, 0.921 sensitivity, and 0.864 specificity, and maintained strong validation performance (AUC=0.941, 95% CI: 0.880-0.991).</p><p><strong>Conclusion: </strong>Multisequence clinical-radiomics model accurately predicts TACE refractoriness in hepatocellular carcinoma.</p>","PeriodicalId":9479,"journal":{"name":"Cancer Management and Research","volume":"17 ","pages":"1441-1455"},"PeriodicalIF":2.6000,"publicationDate":"2025-07-17","publicationTypes":"Journal Article","fieldsOfStudy":null,"isOpenAccess":false,"openAccessPdf":"https://www.ncbi.nlm.nih.gov/pmc/articles/PMC12279063/pdf/","citationCount":"0","resultStr":"{\"title\":\"Development and Validation of a Radiomics Nomogram Based on Magnetic Resonance Imaging and Clinicoradiological Factors to Predict HCC TACE Refractoriness.\",\"authors\":\"YuHan Dong, Jihong Hu, Xuerou Meng, Bin Yang, Chao Peng, Wei Zhao\",\"doi\":\"10.2147/CMAR.S486561\",\"DOIUrl\":null,\"url\":null,\"abstract\":\"<p><strong>Purpose: </strong>This study constructs a predictive model for hepatocellular carcinoma (HCC) transarterial chemoembolization (TACE) refractoriness using a machine learning (ML) algorithm and verifies the predictive performance of different algorithms.</p><p><strong>Patients and methods: </strong>Clinical and magnetic resonance imaging (MRI) data of 131 patients (48 with TACE refractoriness) who underwent repeated TACE treatment for HCC were retrospectively collected. The training and validation cohorts comprised 104 and 27 cases, respectively, following an 8:2 ratio. Clinical imaging characteristics related to TACE refractoriness were identified through logistic regression analysis. HCC lesions on arterial phase, portal phase, delayed phase, and T2-weighted fat suppression MRI images before the first TACE were manually delineated as regions of interest. Dimension reduction was conducted using variance threshold, univariate selection, and least absolute shrinkage and selection operator methods. Relevant indices of TACE refractoriness were selected. ML algorithms, including a support vector machine, random forest, logistic regression and adaptive boosting, were used to construct the radiomics, clinical prediction, and combined models. The predictive performance of these models was evaluated using receiver operating characteristic curves. The optimal model was presented as a nomogram and verified through calibration and decision curve analyses.</p><p><strong>Results: </strong>In evaluating radiomics models for predicting TACE refractoriness in HCC, the LR-developed portal venous phase (VP) model achieved optimal single-sequence performance (training AUC: 0.896, 95% CI: 0.843-0.941; validation: 0.853, 0.727-0.965). Multisequence models significantly surpassed single-sequence counterparts, with the T2WI-FS+AP+VP+DP multisequence LR model demonstrating peak efficacy (training: 0.905, 0.853-0.949; validation: 0.876, 0.773-0.976). The integrated clinical-radiomics model demonstrated robust predictive performance, achieving a training cohort AUC of 0.955 (95% CI: 0.918-0.984) with 0.885 accuracy, 0.921 sensitivity, and 0.864 specificity, and maintained strong validation performance (AUC=0.941, 95% CI: 0.880-0.991).</p><p><strong>Conclusion: </strong>Multisequence clinical-radiomics model accurately predicts TACE refractoriness in hepatocellular carcinoma.</p>\",\"PeriodicalId\":9479,\"journal\":{\"name\":\"Cancer Management and Research\",\"volume\":\"17 \",\"pages\":\"1441-1455\"},\"PeriodicalIF\":2.6000,\"publicationDate\":\"2025-07-17\",\"publicationTypes\":\"Journal Article\",\"fieldsOfStudy\":null,\"isOpenAccess\":false,\"openAccessPdf\":\"https://www.ncbi.nlm.nih.gov/pmc/articles/PMC12279063/pdf/\",\"citationCount\":\"0\",\"resultStr\":null,\"platform\":\"Semanticscholar\",\"paperid\":null,\"PeriodicalName\":\"Cancer Management and Research\",\"FirstCategoryId\":\"3\",\"ListUrlMain\":\"https://doi.org/10.2147/CMAR.S486561\",\"RegionNum\":4,\"RegionCategory\":\"医学\",\"ArticlePicture\":[],\"TitleCN\":null,\"AbstractTextCN\":null,\"PMCID\":null,\"EPubDate\":\"2025/1/1 0:00:00\",\"PubModel\":\"eCollection\",\"JCR\":\"Q3\",\"JCRName\":\"ONCOLOGY\",\"Score\":null,\"Total\":0}","platform":"Semanticscholar","paperid":null,"PeriodicalName":"Cancer Management and Research","FirstCategoryId":"3","ListUrlMain":"https://doi.org/10.2147/CMAR.S486561","RegionNum":4,"RegionCategory":"医学","ArticlePicture":[],"TitleCN":null,"AbstractTextCN":null,"PMCID":null,"EPubDate":"2025/1/1 0:00:00","PubModel":"eCollection","JCR":"Q3","JCRName":"ONCOLOGY","Score":null,"Total":0}
引用次数: 0

摘要

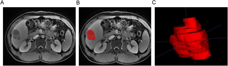
目的:本研究利用机器学习(ML)算法构建肝细胞癌(HCC)经动脉化疗栓塞(TACE)难治性预测模型,并验证不同算法的预测性能。患者与方法:回顾性收集131例HCC反复接受TACE治疗的患者(48例TACE难治性)的临床及磁共振成像(MRI)资料。训练组和验证组分别包括104例和27例,比例为8:2。通过logistic回归分析确定与TACE难治性相关的临床影像学特征。在第一次TACE之前,动脉期、门脉期、延迟期和t2加权脂肪抑制MRI图像上的HCC病变被人工划定为感兴趣的区域。使用方差阈值、单变量选择、最小绝对收缩和选择算子方法进行降维。选择了TACE耐火度的相关指标。ML算法包括支持向量机、随机森林、逻辑回归和自适应增强,用于构建放射组学、临床预测和组合模型。这些模型的预测性能通过受试者工作特征曲线进行评估。通过标定和决策曲线分析对模型进行了验证。结果:在评估放射组学模型预测肝癌TACE难治性时,lr开发的门静脉相(VP)模型获得了最佳的单序列表现(训练AUC: 0.896, 95% CI: 0.843-0.941;验证:0.853,0.727-0.965)。多序列模型显著优于单序列模型,T2WI-FS+AP+VP+DP多序列LR模型表现出最高的疗效(训练:0.905,0.853-0.949;验证:0.876,0.773-0.976)。综合临床-放射组学模型显示出稳健的预测性能,训练队列AUC为0.955 (95% CI: 0.918-0.984),准确率为0.885,灵敏度为0.921,特异性为0.864,并保持了较强的验证性能(AUC=0.941, 95% CI: 0.880-0.991)。结论:多序列临床放射组学模型能准确预测肝癌TACE的难治性。
本文章由计算机程序翻译,如有差异,请以英文原文为准。

Development and Validation of a Radiomics Nomogram Based on Magnetic Resonance Imaging and Clinicoradiological Factors to Predict HCC TACE Refractoriness.

Development and Validation of a Radiomics Nomogram Based on Magnetic Resonance Imaging and Clinicoradiological Factors to Predict HCC TACE Refractoriness.

Development and Validation of a Radiomics Nomogram Based on Magnetic Resonance Imaging and Clinicoradiological Factors to Predict HCC TACE Refractoriness.

Development and Validation of a Radiomics Nomogram Based on Magnetic Resonance Imaging and Clinicoradiological Factors to Predict HCC TACE Refractoriness.

Purpose: This study constructs a predictive model for hepatocellular carcinoma (HCC) transarterial chemoembolization (TACE) refractoriness using a machine learning (ML) algorithm and verifies the predictive performance of different algorithms.

Patients and methods: Clinical and magnetic resonance imaging (MRI) data of 131 patients (48 with TACE refractoriness) who underwent repeated TACE treatment for HCC were retrospectively collected. The training and validation cohorts comprised 104 and 27 cases, respectively, following an 8:2 ratio. Clinical imaging characteristics related to TACE refractoriness were identified through logistic regression analysis. HCC lesions on arterial phase, portal phase, delayed phase, and T2-weighted fat suppression MRI images before the first TACE were manually delineated as regions of interest. Dimension reduction was conducted using variance threshold, univariate selection, and least absolute shrinkage and selection operator methods. Relevant indices of TACE refractoriness were selected. ML algorithms, including a support vector machine, random forest, logistic regression and adaptive boosting, were used to construct the radiomics, clinical prediction, and combined models. The predictive performance of these models was evaluated using receiver operating characteristic curves. The optimal model was presented as a nomogram and verified through calibration and decision curve analyses.

Results: In evaluating radiomics models for predicting TACE refractoriness in HCC, the LR-developed portal venous phase (VP) model achieved optimal single-sequence performance (training AUC: 0.896, 95% CI: 0.843-0.941; validation: 0.853, 0.727-0.965). Multisequence models significantly surpassed single-sequence counterparts, with the T2WI-FS+AP+VP+DP multisequence LR model demonstrating peak efficacy (training: 0.905, 0.853-0.949; validation: 0.876, 0.773-0.976). The integrated clinical-radiomics model demonstrated robust predictive performance, achieving a training cohort AUC of 0.955 (95% CI: 0.918-0.984) with 0.885 accuracy, 0.921 sensitivity, and 0.864 specificity, and maintained strong validation performance (AUC=0.941, 95% CI: 0.880-0.991).

Conclusion: Multisequence clinical-radiomics model accurately predicts TACE refractoriness in hepatocellular carcinoma.

求助全文
通过发布文献求助,成功后即可免费获取论文全文。 去求助
来源期刊
Cancer Management and Research
Cancer Management and Research Medicine-Oncology
CiteScore
7.40
自引率
0.00%
发文量
448
审稿时长
16 weeks
期刊介绍: Cancer Management and Research is an international, peer reviewed, open access journal focusing on cancer research and the optimal use of preventative and integrated treatment interventions to achieve improved outcomes, enhanced survival, and quality of life for cancer patients. Specific topics covered in the journal include: ◦Epidemiology, detection and screening ◦Cellular research and biomarkers ◦Identification of biotargets and agents with novel mechanisms of action ◦Optimal clinical use of existing anticancer agents, including combination therapies ◦Radiation and surgery ◦Palliative care ◦Patient adherence, quality of life, satisfaction The journal welcomes submitted papers covering original research, basic science, clinical & epidemiological studies, reviews & evaluations, guidelines, expert opinion and commentary, and case series that shed novel insights on a disease or disease subtype.
×
引用
GB/T 7714-2015
复制
MLA
复制
APA
复制
导出至
BibTeX EndNote RefMan NoteFirst NoteExpress
×
提示
您的信息不完整,为了账户安全,请先补充。
现在去补充
×
提示
您因"违规操作"
具体请查看互助需知
我知道了
×
提示
确定
请完成安全验证×
copy
已复制链接
快去分享给好友吧!
我知道了
右上角分享
点击右上角分享
0
联系我们:info@booksci.cn Book学术提供免费学术资源搜索服务,方便国内外学者检索中英文文献。致力于提供最便捷和优质的服务体验。 Copyright © 2023 布克学术 All rights reserved.
京ICP备2023020795号-1
ghs 京公网安备 11010802042870号
Book学术文献互助
Book学术文献互助群
群 号:604180095
Book学术官方微信