低剂量螺旋CT联合血清CEA在早期肺癌鉴别诊断中的临床价值。

IF 2.6 4区 医学 Q3 ONCOLOGY
Cancer Management and Research Pub Date : 2025-07-17 eCollection Date: 2025-01-01 DOI:10.2147/CMAR.S516235
Jianguo Jin, Liping Wu
{"title":"低剂量螺旋CT联合血清CEA在早期肺癌鉴别诊断中的临床价值。","authors":"Jianguo Jin, Liping Wu","doi":"10.2147/CMAR.S516235","DOIUrl":null,"url":null,"abstract":"<p><strong>Purpose: </strong>Early detection of lung cancer is critical to improving prognosis, yet current screening methods such as low-dose spiral CT and serum CEA each have diagnostic limitations. This study aims to analyze the clinical value of low-dose spiral CT combined with serum CEA in the differential diagnosis of early lung cancer.</p><p><strong>Materials and methods: </strong>In this retrospective study, 62 patients diagnosed with early lung cancer in our hospital from April 2022 to October 2023 were selected as the case group, and 50 patients diagnosed with benign pulmonary lesions during the same period were selected as the control group. Data from low-dose spiral CT and serum CEA levels were compared. The efficacy of low-dose spiral CT alone, serum CEA alone, and the combination of both in discriminating early lung cancer was assessed using ROC curves.</p><p><strong>Results: </strong>Low-dose spiral CT showed a sensitivity of 77.42%, a specificity of 94.00%, and an AUC of 0.8571 (95% CI: 0.7832-0.9310) in detecting early lung cancer. Serum CEA levels were significantly higher in the case group compared to the control group (P<0.05). Serum CEA yielded an AUC of 0.8661 (95% CI: 0.7964-0.9359) in distinguishing early lung cancer (P<0.0001). Low-dose spiral CT combined with serum CEA detection achieved an AUC of 0.9137 (95% CI: 0.8624-0.9650), significantly increasing the early lung cancer detection rate from 82.26% to 95.16% (P<0.05).</p><p><strong>Conclusion: </strong>Patients with early lung cancer show distinct alterations in low-dose spiral CT signs, and their serum CEA levels demonstrate a notable increase compared with those with benign pulmonary lesions. The combination of low-dose spiral CT with serum CEA can be considered in the discrimination of early lung cancer, which can markedly enhance the positive detection rate while maintaining a minimal rise in false-positive rates.</p>","PeriodicalId":9479,"journal":{"name":"Cancer Management and Research","volume":"17 ","pages":"1421-1432"},"PeriodicalIF":2.6000,"publicationDate":"2025-07-17","publicationTypes":"Journal Article","fieldsOfStudy":null,"isOpenAccess":false,"openAccessPdf":"https://www.ncbi.nlm.nih.gov/pmc/articles/PMC12278964/pdf/","citationCount":"0","resultStr":"{\"title\":\"Clinical Value of Low-Dose Spiral CT Combined with Serum CEA in the Differential Diagnosis of Early Lung Cancer.\",\"authors\":\"Jianguo Jin, Liping Wu\",\"doi\":\"10.2147/CMAR.S516235\",\"DOIUrl\":null,\"url\":null,\"abstract\":\"<p><strong>Purpose: </strong>Early detection of lung cancer is critical to improving prognosis, yet current screening methods such as low-dose spiral CT and serum CEA each have diagnostic limitations. This study aims to analyze the clinical value of low-dose spiral CT combined with serum CEA in the differential diagnosis of early lung cancer.</p><p><strong>Materials and methods: </strong>In this retrospective study, 62 patients diagnosed with early lung cancer in our hospital from April 2022 to October 2023 were selected as the case group, and 50 patients diagnosed with benign pulmonary lesions during the same period were selected as the control group. Data from low-dose spiral CT and serum CEA levels were compared. The efficacy of low-dose spiral CT alone, serum CEA alone, and the combination of both in discriminating early lung cancer was assessed using ROC curves.</p><p><strong>Results: </strong>Low-dose spiral CT showed a sensitivity of 77.42%, a specificity of 94.00%, and an AUC of 0.8571 (95% CI: 0.7832-0.9310) in detecting early lung cancer. Serum CEA levels were significantly higher in the case group compared to the control group (P<0.05). Serum CEA yielded an AUC of 0.8661 (95% CI: 0.7964-0.9359) in distinguishing early lung cancer (P<0.0001). Low-dose spiral CT combined with serum CEA detection achieved an AUC of 0.9137 (95% CI: 0.8624-0.9650), significantly increasing the early lung cancer detection rate from 82.26% to 95.16% (P<0.05).</p><p><strong>Conclusion: </strong>Patients with early lung cancer show distinct alterations in low-dose spiral CT signs, and their serum CEA levels demonstrate a notable increase compared with those with benign pulmonary lesions. The combination of low-dose spiral CT with serum CEA can be considered in the discrimination of early lung cancer, which can markedly enhance the positive detection rate while maintaining a minimal rise in false-positive rates.</p>\",\"PeriodicalId\":9479,\"journal\":{\"name\":\"Cancer Management and Research\",\"volume\":\"17 \",\"pages\":\"1421-1432\"},\"PeriodicalIF\":2.6000,\"publicationDate\":\"2025-07-17\",\"publicationTypes\":\"Journal Article\",\"fieldsOfStudy\":null,\"isOpenAccess\":false,\"openAccessPdf\":\"https://www.ncbi.nlm.nih.gov/pmc/articles/PMC12278964/pdf/\",\"citationCount\":\"0\",\"resultStr\":null,\"platform\":\"Semanticscholar\",\"paperid\":null,\"PeriodicalName\":\"Cancer Management and Research\",\"FirstCategoryId\":\"3\",\"ListUrlMain\":\"https://doi.org/10.2147/CMAR.S516235\",\"RegionNum\":4,\"RegionCategory\":\"医学\",\"ArticlePicture\":[],\"TitleCN\":null,\"AbstractTextCN\":null,\"PMCID\":null,\"EPubDate\":\"2025/1/1 0:00:00\",\"PubModel\":\"eCollection\",\"JCR\":\"Q3\",\"JCRName\":\"ONCOLOGY\",\"Score\":null,\"Total\":0}","platform":"Semanticscholar","paperid":null,"PeriodicalName":"Cancer Management and Research","FirstCategoryId":"3","ListUrlMain":"https://doi.org/10.2147/CMAR.S516235","RegionNum":4,"RegionCategory":"医学","ArticlePicture":[],"TitleCN":null,"AbstractTextCN":null,"PMCID":null,"EPubDate":"2025/1/1 0:00:00","PubModel":"eCollection","JCR":"Q3","JCRName":"ONCOLOGY","Score":null,"Total":0}
引用次数: 0

摘要

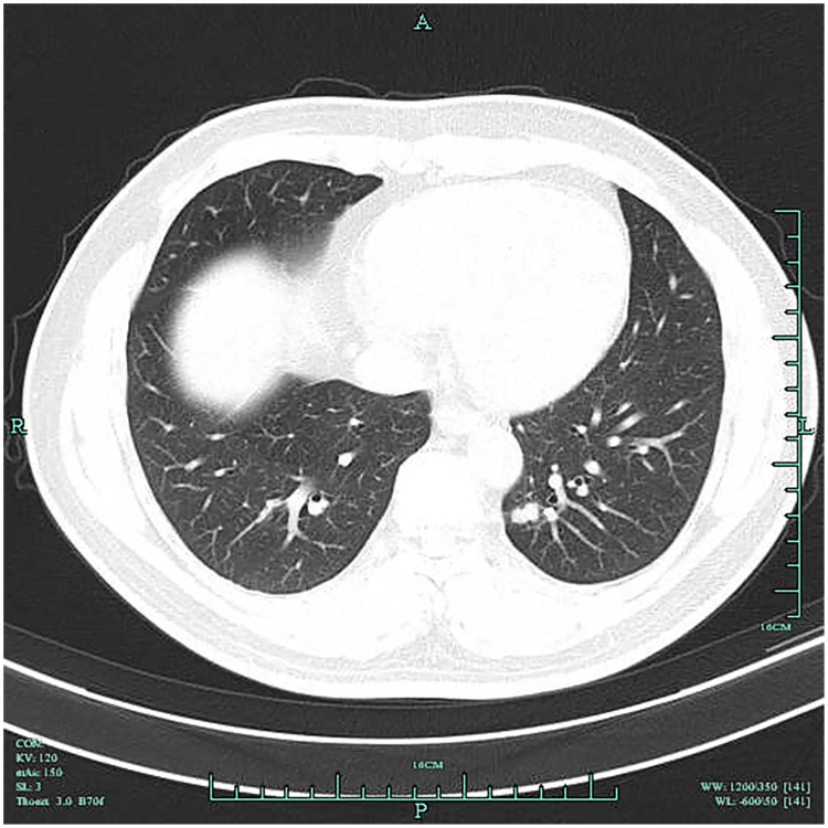
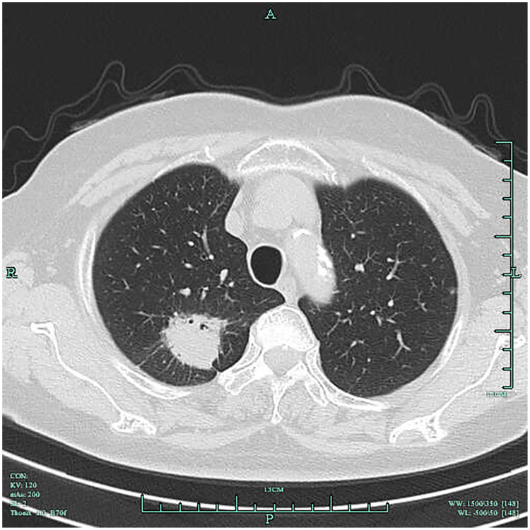
目的:早期发现肺癌对改善预后至关重要,但目前的筛查方法如低剂量螺旋CT和血清CEA均存在诊断局限性。本研究旨在分析低剂量螺旋CT联合血清CEA在早期肺癌鉴别诊断中的临床价值。材料与方法:本回顾性研究选取2022年4月至2023年10月在我院诊断为早期肺癌的患者62例为病例组,同期诊断为肺部良性病变的患者50例为对照组。低剂量螺旋CT数据与血清CEA水平进行比较。采用ROC曲线评价低剂量螺旋CT单独、血清CEA单独及两者联合鉴别早期肺癌的疗效。结果:低剂量螺旋CT对早期肺癌的诊断敏感性为77.42%,特异性为94.00%,AUC为0.8571 (95% CI: 0.7832 ~ 0.9310)。病例组血清CEA水平明显高于对照组(p结论:早期肺癌患者低剂量螺旋CT征象改变明显,且血清CEA水平较肺部良性病变明显升高。在早期肺癌的鉴别中可考虑低剂量螺旋CT联合血清CEA,可显著提高阳性检出率,同时保持假阳性率的最小上升。
本文章由计算机程序翻译,如有差异,请以英文原文为准。

Clinical Value of Low-Dose Spiral CT Combined with Serum CEA in the Differential Diagnosis of Early Lung Cancer.

Clinical Value of Low-Dose Spiral CT Combined with Serum CEA in the Differential Diagnosis of Early Lung Cancer.

Clinical Value of Low-Dose Spiral CT Combined with Serum CEA in the Differential Diagnosis of Early Lung Cancer.

Clinical Value of Low-Dose Spiral CT Combined with Serum CEA in the Differential Diagnosis of Early Lung Cancer.

Purpose: Early detection of lung cancer is critical to improving prognosis, yet current screening methods such as low-dose spiral CT and serum CEA each have diagnostic limitations. This study aims to analyze the clinical value of low-dose spiral CT combined with serum CEA in the differential diagnosis of early lung cancer.

Materials and methods: In this retrospective study, 62 patients diagnosed with early lung cancer in our hospital from April 2022 to October 2023 were selected as the case group, and 50 patients diagnosed with benign pulmonary lesions during the same period were selected as the control group. Data from low-dose spiral CT and serum CEA levels were compared. The efficacy of low-dose spiral CT alone, serum CEA alone, and the combination of both in discriminating early lung cancer was assessed using ROC curves.

Results: Low-dose spiral CT showed a sensitivity of 77.42%, a specificity of 94.00%, and an AUC of 0.8571 (95% CI: 0.7832-0.9310) in detecting early lung cancer. Serum CEA levels were significantly higher in the case group compared to the control group (P<0.05). Serum CEA yielded an AUC of 0.8661 (95% CI: 0.7964-0.9359) in distinguishing early lung cancer (P<0.0001). Low-dose spiral CT combined with serum CEA detection achieved an AUC of 0.9137 (95% CI: 0.8624-0.9650), significantly increasing the early lung cancer detection rate from 82.26% to 95.16% (P<0.05).

Conclusion: Patients with early lung cancer show distinct alterations in low-dose spiral CT signs, and their serum CEA levels demonstrate a notable increase compared with those with benign pulmonary lesions. The combination of low-dose spiral CT with serum CEA can be considered in the discrimination of early lung cancer, which can markedly enhance the positive detection rate while maintaining a minimal rise in false-positive rates.

求助全文
通过发布文献求助,成功后即可免费获取论文全文。 去求助
来源期刊
Cancer Management and Research
Cancer Management and Research Medicine-Oncology
CiteScore
7.40
自引率
0.00%
发文量
448
审稿时长
16 weeks
期刊介绍: Cancer Management and Research is an international, peer reviewed, open access journal focusing on cancer research and the optimal use of preventative and integrated treatment interventions to achieve improved outcomes, enhanced survival, and quality of life for cancer patients. Specific topics covered in the journal include: ◦Epidemiology, detection and screening ◦Cellular research and biomarkers ◦Identification of biotargets and agents with novel mechanisms of action ◦Optimal clinical use of existing anticancer agents, including combination therapies ◦Radiation and surgery ◦Palliative care ◦Patient adherence, quality of life, satisfaction The journal welcomes submitted papers covering original research, basic science, clinical & epidemiological studies, reviews & evaluations, guidelines, expert opinion and commentary, and case series that shed novel insights on a disease or disease subtype.
×
引用
GB/T 7714-2015
复制
MLA
复制
APA
复制
导出至
BibTeX EndNote RefMan NoteFirst NoteExpress
×
提示
您的信息不完整,为了账户安全,请先补充。
现在去补充
×
提示
您因"违规操作"
具体请查看互助需知
我知道了
×
提示
确定
请完成安全验证×
copy
已复制链接
快去分享给好友吧!
我知道了
右上角分享
点击右上角分享
0
联系我们:info@booksci.cn Book学术提供免费学术资源搜索服务,方便国内外学者检索中英文文献。致力于提供最便捷和优质的服务体验。 Copyright © 2023 布克学术 All rights reserved.
京ICP备2023020795号-1
ghs 京公网安备 11010802042870号
Book学术文献互助
Book学术文献互助群
群 号:604180095
Book学术官方微信