自发性颅内低血压并发慢性硬膜下血肿的处理。

IF 2.5 Q3 CLINICAL NEUROLOGY
Brain & spine Pub Date : 2025-07-03 eCollection Date: 2025-01-01 DOI:10.1016/j.bas.2025.104320
Manou Overstijns, Amir El Rahal, Katharina Wolf, Niklas Lützen, Urs Würtemberger, Lucas Becker, Horst Urbach, Daniel Casanova Martinez, Jürgen Beck, Florian Volz
{"title":"自发性颅内低血压并发慢性硬膜下血肿的处理。","authors":"Manou Overstijns, Amir El Rahal, Katharina Wolf, Niklas Lützen, Urs Würtemberger, Lucas Becker, Horst Urbach, Daniel Casanova Martinez, Jürgen Beck, Florian Volz","doi":"10.1016/j.bas.2025.104320","DOIUrl":null,"url":null,"abstract":"<p><strong>Introduction: </strong>There is no accepted algorithm for the management of chronic subdural hematoma (cSDH) caused by spinal CSF leaks in spontaneous intracranial hypotension (SIH).</p><p><strong>Research question: </strong>This study analyses characteristics of cSDH in SIH to establish a practicable management algorithm.</p><p><strong>Material and methods: </strong>This retrospective cohort study included all patients with spinal CSF leak closure from April 2018 to April 2024. Demographics, leak type, treatment modalities, as well as cSDH characteristics, prevalence, and risk factors were analyzed.</p><p><strong>Results: </strong>Among 272 SIH patients, 85 (31 %) concomitantly had cSDH, predominantly bilateral (88 %). Hematoma width ranged from 2 to 30 mm. cSDH prevalence was highest in CSF-venous fistulas (43 %), followed by ventral (31 %) and lateral leaks (22 %). Male sex (OR = 4; p < 0.001) and age >70 years (OR = 6; p = 0.008) were significant risk factors. Surgical evacuation was performed in 23 patients, with symptoms attributable to cSDH in 17/23 patients. The biggest cSDH without surgical treatment was 20 mm. No neurological deterioration occurred during diagnostics or treatment of CSF leaks. After leak closure, no cSDH, regardless of initial size or previous treatment, required additional treatment, and no recurrence occurred in the 3-month follow-up.</p><p><strong>Discussion and conclusion: </strong>Primary localization and targeted treatment of the spinal leak is safe in asymptomatic patients and cSDH ≤10 mm (\"leak first\" strategy). Immediate evacuation of the cSDH is mandatory in symptomatic patients (\"subdural first\" strategy). We consider the CSF leak closure as a causal treatment for cSDH resulting in a markedly low, close to zero, recurrence rate. Prospective validation of these findings is needed.</p>","PeriodicalId":72443,"journal":{"name":"Brain & spine","volume":"5 ","pages":"104320"},"PeriodicalIF":2.5000,"publicationDate":"2025-07-03","publicationTypes":"Journal Article","fieldsOfStudy":null,"isOpenAccess":false,"openAccessPdf":"https://www.ncbi.nlm.nih.gov/pmc/articles/PMC12272930/pdf/","citationCount":"0","resultStr":"{\"title\":\"Management of chronic subdural hematoma in spontaneous intracranial hypotension.\",\"authors\":\"Manou Overstijns, Amir El Rahal, Katharina Wolf, Niklas Lützen, Urs Würtemberger, Lucas Becker, Horst Urbach, Daniel Casanova Martinez, Jürgen Beck, Florian Volz\",\"doi\":\"10.1016/j.bas.2025.104320\",\"DOIUrl\":null,\"url\":null,\"abstract\":\"<p><strong>Introduction: </strong>There is no accepted algorithm for the management of chronic subdural hematoma (cSDH) caused by spinal CSF leaks in spontaneous intracranial hypotension (SIH).</p><p><strong>Research question: </strong>This study analyses characteristics of cSDH in SIH to establish a practicable management algorithm.</p><p><strong>Material and methods: </strong>This retrospective cohort study included all patients with spinal CSF leak closure from April 2018 to April 2024. Demographics, leak type, treatment modalities, as well as cSDH characteristics, prevalence, and risk factors were analyzed.</p><p><strong>Results: </strong>Among 272 SIH patients, 85 (31 %) concomitantly had cSDH, predominantly bilateral (88 %). Hematoma width ranged from 2 to 30 mm. cSDH prevalence was highest in CSF-venous fistulas (43 %), followed by ventral (31 %) and lateral leaks (22 %). Male sex (OR = 4; p < 0.001) and age >70 years (OR = 6; p = 0.008) were significant risk factors. Surgical evacuation was performed in 23 patients, with symptoms attributable to cSDH in 17/23 patients. The biggest cSDH without surgical treatment was 20 mm. No neurological deterioration occurred during diagnostics or treatment of CSF leaks. After leak closure, no cSDH, regardless of initial size or previous treatment, required additional treatment, and no recurrence occurred in the 3-month follow-up.</p><p><strong>Discussion and conclusion: </strong>Primary localization and targeted treatment of the spinal leak is safe in asymptomatic patients and cSDH ≤10 mm (\\\"leak first\\\" strategy). Immediate evacuation of the cSDH is mandatory in symptomatic patients (\\\"subdural first\\\" strategy). We consider the CSF leak closure as a causal treatment for cSDH resulting in a markedly low, close to zero, recurrence rate. Prospective validation of these findings is needed.</p>\",\"PeriodicalId\":72443,\"journal\":{\"name\":\"Brain & spine\",\"volume\":\"5 \",\"pages\":\"104320\"},\"PeriodicalIF\":2.5000,\"publicationDate\":\"2025-07-03\",\"publicationTypes\":\"Journal Article\",\"fieldsOfStudy\":null,\"isOpenAccess\":false,\"openAccessPdf\":\"https://www.ncbi.nlm.nih.gov/pmc/articles/PMC12272930/pdf/\",\"citationCount\":\"0\",\"resultStr\":null,\"platform\":\"Semanticscholar\",\"paperid\":null,\"PeriodicalName\":\"Brain & spine\",\"FirstCategoryId\":\"1085\",\"ListUrlMain\":\"https://doi.org/10.1016/j.bas.2025.104320\",\"RegionNum\":0,\"RegionCategory\":null,\"ArticlePicture\":[],\"TitleCN\":null,\"AbstractTextCN\":null,\"PMCID\":null,\"EPubDate\":\"2025/1/1 0:00:00\",\"PubModel\":\"eCollection\",\"JCR\":\"Q3\",\"JCRName\":\"CLINICAL NEUROLOGY\",\"Score\":null,\"Total\":0}","platform":"Semanticscholar","paperid":null,"PeriodicalName":"Brain & spine","FirstCategoryId":"1085","ListUrlMain":"https://doi.org/10.1016/j.bas.2025.104320","RegionNum":0,"RegionCategory":null,"ArticlePicture":[],"TitleCN":null,"AbstractTextCN":null,"PMCID":null,"EPubDate":"2025/1/1 0:00:00","PubModel":"eCollection","JCR":"Q3","JCRName":"CLINICAL NEUROLOGY","Score":null,"Total":0}
引用次数: 0

摘要

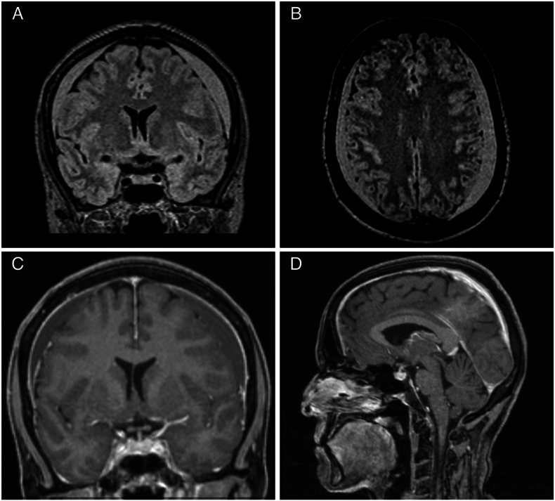
导论:对于自发性颅内低血压(SIH)中由脊髓脊液泄漏引起的慢性硬膜下血肿(cSDH)的治疗,目前还没有公认的算法。研究问题:本研究通过分析SIH中cSDH的特点,建立一套切实可行的管理算法。材料和方法:本回顾性队列研究纳入2018年4月至2024年4月所有脊髓脊液泄漏闭合患者。分析了人口统计学、泄漏类型、治疗方式以及cSDH特征、患病率和危险因素。结果:272例SIH患者中,85例(31%)合并cSDH,以双侧为主(88%)。血肿宽度从2到30毫米不等,cSDH在csf -静脉瘘中发病率最高(43%),其次是腹侧(31%)和外侧漏(22%)。男性(OR = 4;p 70年(OR = 6;P = 0.008)为显著危险因素。23例患者进行了手术撤离,其中17/23患者的症状可归因于cSDH。未手术治疗的最大cSDH为20 mm。在诊断或治疗脑脊液泄漏期间未发生神经功能恶化。堵漏后,没有cSDH,无论初始大小或先前治疗,都需要额外治疗,并且在3个月的随访中没有复发。讨论与结论:对于无症状且cSDH≤10 mm(“渗漏优先”策略)的患者,对脊髓漏进行初步定位和靶向治疗是安全的。有症状的患者必须立即清除cSDH(“硬膜下优先”策略)。我们认为脑脊液泄漏关闭作为cSDH的因果治疗导致复发率明显低,接近于零。需要对这些发现进行前瞻性验证。
本文章由计算机程序翻译,如有差异,请以英文原文为准。

Management of chronic subdural hematoma in spontaneous intracranial hypotension.

Management of chronic subdural hematoma in spontaneous intracranial hypotension.

Management of chronic subdural hematoma in spontaneous intracranial hypotension.

Management of chronic subdural hematoma in spontaneous intracranial hypotension.

Introduction: There is no accepted algorithm for the management of chronic subdural hematoma (cSDH) caused by spinal CSF leaks in spontaneous intracranial hypotension (SIH).

Research question: This study analyses characteristics of cSDH in SIH to establish a practicable management algorithm.

Material and methods: This retrospective cohort study included all patients with spinal CSF leak closure from April 2018 to April 2024. Demographics, leak type, treatment modalities, as well as cSDH characteristics, prevalence, and risk factors were analyzed.

Results: Among 272 SIH patients, 85 (31 %) concomitantly had cSDH, predominantly bilateral (88 %). Hematoma width ranged from 2 to 30 mm. cSDH prevalence was highest in CSF-venous fistulas (43 %), followed by ventral (31 %) and lateral leaks (22 %). Male sex (OR = 4; p < 0.001) and age >70 years (OR = 6; p = 0.008) were significant risk factors. Surgical evacuation was performed in 23 patients, with symptoms attributable to cSDH in 17/23 patients. The biggest cSDH without surgical treatment was 20 mm. No neurological deterioration occurred during diagnostics or treatment of CSF leaks. After leak closure, no cSDH, regardless of initial size or previous treatment, required additional treatment, and no recurrence occurred in the 3-month follow-up.

Discussion and conclusion: Primary localization and targeted treatment of the spinal leak is safe in asymptomatic patients and cSDH ≤10 mm ("leak first" strategy). Immediate evacuation of the cSDH is mandatory in symptomatic patients ("subdural first" strategy). We consider the CSF leak closure as a causal treatment for cSDH resulting in a markedly low, close to zero, recurrence rate. Prospective validation of these findings is needed.

求助全文
通过发布文献求助,成功后即可免费获取论文全文。 去求助
来源期刊
Brain & spine
Brain & spine Surgery
CiteScore
1.10
自引率
0.00%
发文量
0
审稿时长
71 days
×
引用
GB/T 7714-2015
复制
MLA
复制
APA
复制
导出至
BibTeX EndNote RefMan NoteFirst NoteExpress
×
提示
您的信息不完整,为了账户安全,请先补充。
现在去补充
×
提示
您因"违规操作"
具体请查看互助需知
我知道了
×
提示
确定
请完成安全验证×
copy
已复制链接
快去分享给好友吧!
我知道了
右上角分享
点击右上角分享
0
联系我们:info@booksci.cn Book学术提供免费学术资源搜索服务,方便国内外学者检索中英文文献。致力于提供最便捷和优质的服务体验。 Copyright © 2023 布克学术 All rights reserved.
京ICP备2023020795号-1
ghs 京公网安备 11010802042870号
Book学术文献互助
Book学术文献互助群
群 号:604180095
Book学术官方微信
小红书