肺泡蛋白沉积症的阴暗面。

IF 1.6 Q3 RESPIRATORY SYSTEM
Sara Lettieri, Francesca Mariani, Vincenzo Alfredo Marando, Elena Salvaterra, Angelo Guido Corsico, Ilaria Campo
{"title":"肺泡蛋白沉积症的阴暗面。","authors":"Sara Lettieri, Francesca Mariani, Vincenzo Alfredo Marando, Elena Salvaterra, Angelo Guido Corsico, Ilaria Campo","doi":"10.5826/mrm.2025.1027","DOIUrl":null,"url":null,"abstract":"<p><strong>Background: </strong>Pulmonary alveolar proteinosis (PAP) has an unpredictable clinical course. Although usually benign, an association with pulmonary fibrosis is described in literature, with troubling therapeutic and prognostic implications.</p><p><strong>Clinical case: </strong>We report the case of a patient affected by autoimmune PAP who developed pleuro-parenchymal fibroelastosis (PPFE) after 6 years of disease and underwent bilateral lung transplantation due to end stage respiratory failure.</p><p><strong>Conclusion: </strong>Punctual descriptions of pulmonary fibrosis in PAP are still lacking and no predictors of fibrotic evolution of PAP are known. It is necessary to ensure a strict follow up in order to promptly recognize signs of fibrotic evolution and early refer patients with evolutive disease to lung transplant center. Moreover, an extended genetic analysis by targeted next-generation sequencing could provide high-resolution information that may allow the identification of susceptible patients in a pre-fibrotic stage of disease.</p>","PeriodicalId":51135,"journal":{"name":"Multidisciplinary Respiratory Medicine","volume":"20 ","pages":""},"PeriodicalIF":1.6000,"publicationDate":"2025-07-21","publicationTypes":"Journal Article","fieldsOfStudy":null,"isOpenAccess":false,"openAccessPdf":"https://www.ncbi.nlm.nih.gov/pmc/articles/PMC12320957/pdf/","citationCount":"0","resultStr":"{\"title\":\"The dark side of pulmonary alveolar proteinosis.\",\"authors\":\"Sara Lettieri, Francesca Mariani, Vincenzo Alfredo Marando, Elena Salvaterra, Angelo Guido Corsico, Ilaria Campo\",\"doi\":\"10.5826/mrm.2025.1027\",\"DOIUrl\":null,\"url\":null,\"abstract\":\"<p><strong>Background: </strong>Pulmonary alveolar proteinosis (PAP) has an unpredictable clinical course. Although usually benign, an association with pulmonary fibrosis is described in literature, with troubling therapeutic and prognostic implications.</p><p><strong>Clinical case: </strong>We report the case of a patient affected by autoimmune PAP who developed pleuro-parenchymal fibroelastosis (PPFE) after 6 years of disease and underwent bilateral lung transplantation due to end stage respiratory failure.</p><p><strong>Conclusion: </strong>Punctual descriptions of pulmonary fibrosis in PAP are still lacking and no predictors of fibrotic evolution of PAP are known. It is necessary to ensure a strict follow up in order to promptly recognize signs of fibrotic evolution and early refer patients with evolutive disease to lung transplant center. Moreover, an extended genetic analysis by targeted next-generation sequencing could provide high-resolution information that may allow the identification of susceptible patients in a pre-fibrotic stage of disease.</p>\",\"PeriodicalId\":51135,\"journal\":{\"name\":\"Multidisciplinary Respiratory Medicine\",\"volume\":\"20 \",\"pages\":\"\"},\"PeriodicalIF\":1.6000,\"publicationDate\":\"2025-07-21\",\"publicationTypes\":\"Journal Article\",\"fieldsOfStudy\":null,\"isOpenAccess\":false,\"openAccessPdf\":\"https://www.ncbi.nlm.nih.gov/pmc/articles/PMC12320957/pdf/\",\"citationCount\":\"0\",\"resultStr\":null,\"platform\":\"Semanticscholar\",\"paperid\":null,\"PeriodicalName\":\"Multidisciplinary Respiratory Medicine\",\"FirstCategoryId\":\"1085\",\"ListUrlMain\":\"https://doi.org/10.5826/mrm.2025.1027\",\"RegionNum\":0,\"RegionCategory\":null,\"ArticlePicture\":[],\"TitleCN\":null,\"AbstractTextCN\":null,\"PMCID\":null,\"EPubDate\":\"\",\"PubModel\":\"\",\"JCR\":\"Q3\",\"JCRName\":\"RESPIRATORY SYSTEM\",\"Score\":null,\"Total\":0}","platform":"Semanticscholar","paperid":null,"PeriodicalName":"Multidisciplinary Respiratory Medicine","FirstCategoryId":"1085","ListUrlMain":"https://doi.org/10.5826/mrm.2025.1027","RegionNum":0,"RegionCategory":null,"ArticlePicture":[],"TitleCN":null,"AbstractTextCN":null,"PMCID":null,"EPubDate":"","PubModel":"","JCR":"Q3","JCRName":"RESPIRATORY SYSTEM","Score":null,"Total":0}
引用次数: 0

摘要

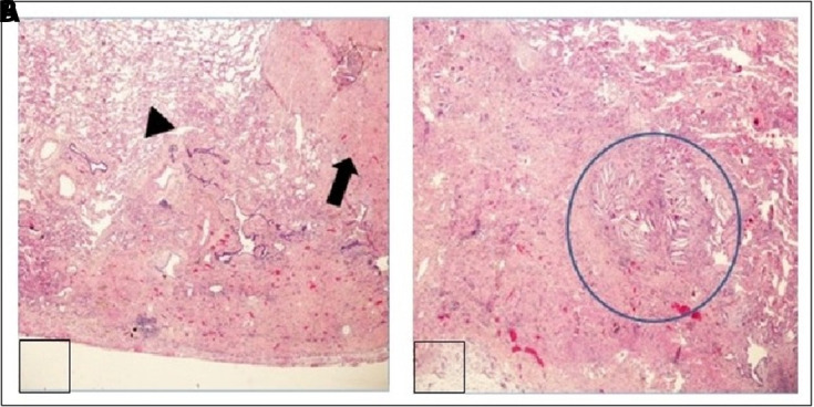
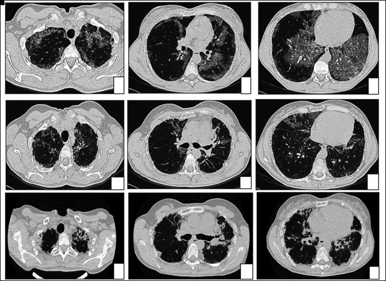
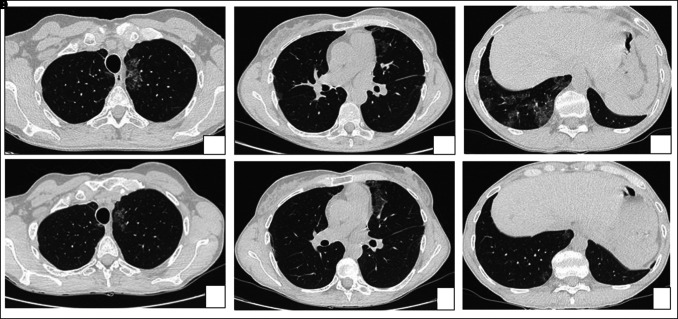
背景:肺泡蛋白沉积症(PAP)具有不可预测的临床病程。虽然通常是良性的,但文献中描述了与肺纤维化的关联,具有令人不安的治疗和预后意义。临床病例:我们报告了一例自身免疫性PAP患者,在患病6年后发生胸膜实质纤维弹性增生(PPFE),并因终末期呼吸衰竭接受双侧肺移植。结论:PAP肺纤维化的及时描述仍然缺乏,并且没有已知的PAP纤维化演变的预测因素。有必要进行严格的随访,以便及时识别纤维化进展的迹象,并尽早将进展性疾病的患者转诊到肺移植中心。此外,通过靶向下一代测序进行的扩展遗传分析可以提供高分辨率信息,从而可以识别处于纤维化前阶段的易感患者。
本文章由计算机程序翻译,如有差异,请以英文原文为准。

The dark side of pulmonary alveolar proteinosis.

The dark side of pulmonary alveolar proteinosis.

The dark side of pulmonary alveolar proteinosis.

The dark side of pulmonary alveolar proteinosis.

Background: Pulmonary alveolar proteinosis (PAP) has an unpredictable clinical course. Although usually benign, an association with pulmonary fibrosis is described in literature, with troubling therapeutic and prognostic implications.

Clinical case: We report the case of a patient affected by autoimmune PAP who developed pleuro-parenchymal fibroelastosis (PPFE) after 6 years of disease and underwent bilateral lung transplantation due to end stage respiratory failure.

Conclusion: Punctual descriptions of pulmonary fibrosis in PAP are still lacking and no predictors of fibrotic evolution of PAP are known. It is necessary to ensure a strict follow up in order to promptly recognize signs of fibrotic evolution and early refer patients with evolutive disease to lung transplant center. Moreover, an extended genetic analysis by targeted next-generation sequencing could provide high-resolution information that may allow the identification of susceptible patients in a pre-fibrotic stage of disease.

求助全文
通过发布文献求助,成功后即可免费获取论文全文。 去求助
来源期刊
CiteScore
4.40
自引率
0.00%
发文量
23
审稿时长
>12 weeks
期刊介绍: Multidisciplinary Respiratory Medicine is the official journal of the Italian Respiratory Society - Società Italiana di Pneumologia (IRS/SIP). The journal publishes on all aspects of respiratory medicine and related fields, with a particular focus on interdisciplinary and translational research. The interdisciplinary nature of the journal provides a unique opportunity for researchers, clinicians and healthcare professionals across specialties to collaborate and exchange information. The journal provides a high visibility platform for the publication and dissemination of top quality original scientific articles, reviews and important position papers documenting clinical and experimental advances.
×
引用
GB/T 7714-2015
复制
MLA
复制
APA
复制
导出至
BibTeX EndNote RefMan NoteFirst NoteExpress
×
提示
您的信息不完整,为了账户安全,请先补充。
现在去补充
×
提示
您因"违规操作"
具体请查看互助需知
我知道了
×
提示
确定
请完成安全验证×
copy
已复制链接
快去分享给好友吧!
我知道了
右上角分享
点击右上角分享
0
联系我们:info@booksci.cn Book学术提供免费学术资源搜索服务,方便国内外学者检索中英文文献。致力于提供最便捷和优质的服务体验。 Copyright © 2023 布克学术 All rights reserved.
京ICP备2023020795号-1
ghs 京公网安备 11010802042870号
Book学术文献互助
Book学术文献互助群
群 号:604180095
Book学术官方微信