胸椎海绵状血管瘤似硬膜外神经瘤呈沙漏状:1例报告及文献复习。

IF 1 Q4 PUBLIC, ENVIRONMENTAL & OCCUPATIONAL HEALTH
Pan African Medical Journal Pub Date : 2025-03-24 eCollection Date: 2025-01-01 DOI:10.11604/pamj.2025.50.83.40589
Dahmane Elhairech, Mohamed Lmejatti
{"title":"胸椎海绵状血管瘤似硬膜外神经瘤呈沙漏状:1例报告及文献复习。","authors":"Dahmane Elhairech, Mohamed Lmejatti","doi":"10.11604/pamj.2025.50.83.40589","DOIUrl":null,"url":null,"abstract":"<p><p>Epidural cavernous hemangioma is a rare vascular malformation, accounting for 5-12% of all spinal cord vascular malformations. We report a case of low dorsal spinal cord compression at D5-D6 due to a cavernous hemangioma mimicking the clinical and radiological features of an epidural neuroma in an hourglass shape. The clinical presentation was progressive spastic paraplegia over six months in a 41-year-old patient with no significant medical history. Magnetic resonance imaging showed a compressive D5-D6 intradural lesion with T2 hyperintensity, displaying an hourglass appearance suggestive of an epidural neuroma, with a significant extracanal component filling the ipsilateral latero-vertebral space. Histological examination confirmed cavernous hemangioma by immunohistochemistry. The postoperative outcome was favorable following total surgical removal of the lesion.</p>","PeriodicalId":48190,"journal":{"name":"Pan African Medical Journal","volume":"50 ","pages":"83"},"PeriodicalIF":1.0000,"publicationDate":"2025-03-24","publicationTypes":"Journal Article","fieldsOfStudy":null,"isOpenAccess":false,"openAccessPdf":"https://www.ncbi.nlm.nih.gov/pmc/articles/PMC12271871/pdf/","citationCount":"0","resultStr":"{\"title\":\"Thoracic cavernous hemangioma mimicking an epidural neurinoma in an hourglass shape: a case report and review of the literature.\",\"authors\":\"Dahmane Elhairech, Mohamed Lmejatti\",\"doi\":\"10.11604/pamj.2025.50.83.40589\",\"DOIUrl\":null,\"url\":null,\"abstract\":\"<p><p>Epidural cavernous hemangioma is a rare vascular malformation, accounting for 5-12% of all spinal cord vascular malformations. We report a case of low dorsal spinal cord compression at D5-D6 due to a cavernous hemangioma mimicking the clinical and radiological features of an epidural neuroma in an hourglass shape. The clinical presentation was progressive spastic paraplegia over six months in a 41-year-old patient with no significant medical history. Magnetic resonance imaging showed a compressive D5-D6 intradural lesion with T2 hyperintensity, displaying an hourglass appearance suggestive of an epidural neuroma, with a significant extracanal component filling the ipsilateral latero-vertebral space. Histological examination confirmed cavernous hemangioma by immunohistochemistry. The postoperative outcome was favorable following total surgical removal of the lesion.</p>\",\"PeriodicalId\":48190,\"journal\":{\"name\":\"Pan African Medical Journal\",\"volume\":\"50 \",\"pages\":\"83\"},\"PeriodicalIF\":1.0000,\"publicationDate\":\"2025-03-24\",\"publicationTypes\":\"Journal Article\",\"fieldsOfStudy\":null,\"isOpenAccess\":false,\"openAccessPdf\":\"https://www.ncbi.nlm.nih.gov/pmc/articles/PMC12271871/pdf/\",\"citationCount\":\"0\",\"resultStr\":null,\"platform\":\"Semanticscholar\",\"paperid\":null,\"PeriodicalName\":\"Pan African Medical Journal\",\"FirstCategoryId\":\"1085\",\"ListUrlMain\":\"https://doi.org/10.11604/pamj.2025.50.83.40589\",\"RegionNum\":0,\"RegionCategory\":null,\"ArticlePicture\":[],\"TitleCN\":null,\"AbstractTextCN\":null,\"PMCID\":null,\"EPubDate\":\"2025/1/1 0:00:00\",\"PubModel\":\"eCollection\",\"JCR\":\"Q4\",\"JCRName\":\"PUBLIC, ENVIRONMENTAL & OCCUPATIONAL HEALTH\",\"Score\":null,\"Total\":0}","platform":"Semanticscholar","paperid":null,"PeriodicalName":"Pan African Medical Journal","FirstCategoryId":"1085","ListUrlMain":"https://doi.org/10.11604/pamj.2025.50.83.40589","RegionNum":0,"RegionCategory":null,"ArticlePicture":[],"TitleCN":null,"AbstractTextCN":null,"PMCID":null,"EPubDate":"2025/1/1 0:00:00","PubModel":"eCollection","JCR":"Q4","JCRName":"PUBLIC, ENVIRONMENTAL & OCCUPATIONAL HEALTH","Score":null,"Total":0}
引用次数: 0

摘要

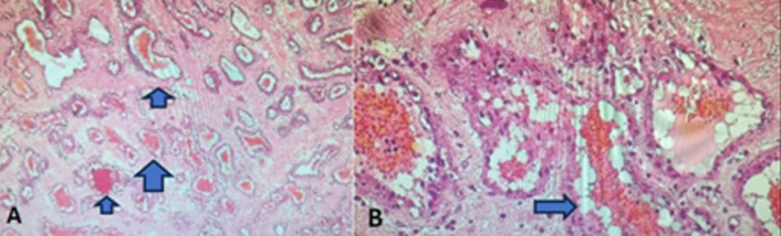
硬膜外海绵状血管瘤是一种罕见的血管畸形,占所有脊髓血管畸形的5-12%。我们报告一例由于海绵状血管瘤模仿沙漏形硬膜外神经瘤的临床和放射学特征而导致的D5-D6低位脊髓压迫。临床表现为进行性痉挛性截瘫超过6个月,患者41岁,无明显病史。磁共振成像显示D5-D6硬膜内压缩病变伴T2高信号,呈沙漏状,提示硬膜外神经瘤,伴显著的肛门外成分填充同侧椎体外侧间隙。免疫组化组织学检查证实为海绵状血管瘤。手术切除病灶后,术后结果良好。
本文章由计算机程序翻译,如有差异,请以英文原文为准。

Thoracic cavernous hemangioma mimicking an epidural neurinoma in an hourglass shape: a case report and review of the literature.

Thoracic cavernous hemangioma mimicking an epidural neurinoma in an hourglass shape: a case report and review of the literature.

Thoracic cavernous hemangioma mimicking an epidural neurinoma in an hourglass shape: a case report and review of the literature.

Thoracic cavernous hemangioma mimicking an epidural neurinoma in an hourglass shape: a case report and review of the literature.

Epidural cavernous hemangioma is a rare vascular malformation, accounting for 5-12% of all spinal cord vascular malformations. We report a case of low dorsal spinal cord compression at D5-D6 due to a cavernous hemangioma mimicking the clinical and radiological features of an epidural neuroma in an hourglass shape. The clinical presentation was progressive spastic paraplegia over six months in a 41-year-old patient with no significant medical history. Magnetic resonance imaging showed a compressive D5-D6 intradural lesion with T2 hyperintensity, displaying an hourglass appearance suggestive of an epidural neuroma, with a significant extracanal component filling the ipsilateral latero-vertebral space. Histological examination confirmed cavernous hemangioma by immunohistochemistry. The postoperative outcome was favorable following total surgical removal of the lesion.

求助全文
通过发布文献求助,成功后即可免费获取论文全文。 去求助
来源期刊
Pan African Medical Journal
Pan African Medical Journal PUBLIC, ENVIRONMENTAL & OCCUPATIONAL HEALTH-
CiteScore
1.80
自引率
0.00%
发文量
691
×
引用
GB/T 7714-2015
复制
MLA
复制
APA
复制
导出至
BibTeX EndNote RefMan NoteFirst NoteExpress
×
提示
您的信息不完整,为了账户安全,请先补充。
现在去补充
×
提示
您因"违规操作"
具体请查看互助需知
我知道了
×
提示
确定
请完成安全验证×
copy
已复制链接
快去分享给好友吧!
我知道了
右上角分享
点击右上角分享
0
联系我们:info@booksci.cn Book学术提供免费学术资源搜索服务,方便国内外学者检索中英文文献。致力于提供最便捷和优质的服务体验。 Copyright © 2023 布克学术 All rights reserved.
京ICP备2023020795号-1
ghs 京公网安备 11010802042870号
Book学术文献互助
Book学术文献互助群
群 号:604180095
Book学术官方微信