预测慢性乙型肝炎引起的晚期纤维化或肝硬化的肝细胞癌发展:glypican-3、热休克蛋白70、CD34和谷氨酰胺合成酶的作用

IF 2.1 Q4 GASTROENTEROLOGY & HEPATOLOGY
Hepatology Forum Pub Date : 2025-07-07 eCollection Date: 2025-01-01 DOI:10.14744/hf.2025.2025.0002
Yusuf Ozturk, Tugrul Purnak, Halis Simsek, Cenk Sokmensuer
{"title":"预测慢性乙型肝炎引起的晚期纤维化或肝硬化的肝细胞癌发展:glypican-3、热休克蛋白70、CD34和谷氨酰胺合成酶的作用","authors":"Yusuf Ozturk, Tugrul Purnak, Halis Simsek, Cenk Sokmensuer","doi":"10.14744/hf.2025.2025.0002","DOIUrl":null,"url":null,"abstract":"<p><strong>Background and aim: </strong>Numerous studies have demonstrated associations between hepatocellular carcinoma (HCC)-related features and markers such as glypican-3 (GPC3), heat shock protein 70 (HSP70), CD34, and glutamine synthetase (GS). In this study, we aimed to quantify these markers in the tissues of patients with cirrhosis or advanced fibrosis due to chronic hepatitis B (CHB).</p><p><strong>Materials and methods: </strong>A retrospective review was conducted on patients with CHB who developed pathologically confirmed HCC and underwent surgical resection between 2003 and 2013. A total of 24 patients who had paired malignant and surrounding cirrhotic tissue samples were included. Liver tissues were categorized as pre-HCC cirrhotic tissue, peritumoral cirrhotic tissue, and malignant HCC tissue. Non-cirrhotic liver samples from CHB patients served as controls.</p><p><strong>Results: </strong>GPC3 staining was observed to be strong in 80% of HCC tissues and was positive in 70% of cirrhotic tissue surrounding HCC. In cirrhotic tissue 44 months prior to HCC development, 60% of cases were GPC3 positive. In non-cirrhotic chronic viral hepatitis, 20% of cases were GPC3 positive. GPC3, CD34, and GS showed significantly stronger staining in malignant versus control tissue (p<0.05). CD34 showed the highest discriminatory performance for malignant versus cirrhotic tissue (sensitivity=91.7%, specificity=91.7%), while GPC3 had the highest sensitivity (83.4%) in differentiating malignant from non-cirrhotic tissue.</p><p><strong>Conclusion: </strong>GPC3 expression may be a predictive marker for HCC development in patients with CHB-related cirrhosis. CD34 also has considerable accuracy in differentiating HCC from cirrhotic and non-cirrhotic tissues, supporting a role for use in HCC detection.</p>","PeriodicalId":29722,"journal":{"name":"Hepatology Forum","volume":"6 3","pages":"99-104"},"PeriodicalIF":2.1000,"publicationDate":"2025-07-07","publicationTypes":"Journal Article","fieldsOfStudy":null,"isOpenAccess":false,"openAccessPdf":"https://www.ncbi.nlm.nih.gov/pmc/articles/PMC12268765/pdf/","citationCount":"0","resultStr":"{\"title\":\"Predicting hepatocellular carcinoma development in advanced fibrosis or cirrhosis due to chronic hepatitis B: The role of glypican-3, heat shock protein 70, CD34, and glutamine synthetase.\",\"authors\":\"Yusuf Ozturk, Tugrul Purnak, Halis Simsek, Cenk Sokmensuer\",\"doi\":\"10.14744/hf.2025.2025.0002\",\"DOIUrl\":null,\"url\":null,\"abstract\":\"<p><strong>Background and aim: </strong>Numerous studies have demonstrated associations between hepatocellular carcinoma (HCC)-related features and markers such as glypican-3 (GPC3), heat shock protein 70 (HSP70), CD34, and glutamine synthetase (GS). In this study, we aimed to quantify these markers in the tissues of patients with cirrhosis or advanced fibrosis due to chronic hepatitis B (CHB).</p><p><strong>Materials and methods: </strong>A retrospective review was conducted on patients with CHB who developed pathologically confirmed HCC and underwent surgical resection between 2003 and 2013. A total of 24 patients who had paired malignant and surrounding cirrhotic tissue samples were included. Liver tissues were categorized as pre-HCC cirrhotic tissue, peritumoral cirrhotic tissue, and malignant HCC tissue. Non-cirrhotic liver samples from CHB patients served as controls.</p><p><strong>Results: </strong>GPC3 staining was observed to be strong in 80% of HCC tissues and was positive in 70% of cirrhotic tissue surrounding HCC. In cirrhotic tissue 44 months prior to HCC development, 60% of cases were GPC3 positive. In non-cirrhotic chronic viral hepatitis, 20% of cases were GPC3 positive. GPC3, CD34, and GS showed significantly stronger staining in malignant versus control tissue (p<0.05). CD34 showed the highest discriminatory performance for malignant versus cirrhotic tissue (sensitivity=91.7%, specificity=91.7%), while GPC3 had the highest sensitivity (83.4%) in differentiating malignant from non-cirrhotic tissue.</p><p><strong>Conclusion: </strong>GPC3 expression may be a predictive marker for HCC development in patients with CHB-related cirrhosis. CD34 also has considerable accuracy in differentiating HCC from cirrhotic and non-cirrhotic tissues, supporting a role for use in HCC detection.</p>\",\"PeriodicalId\":29722,\"journal\":{\"name\":\"Hepatology Forum\",\"volume\":\"6 3\",\"pages\":\"99-104\"},\"PeriodicalIF\":2.1000,\"publicationDate\":\"2025-07-07\",\"publicationTypes\":\"Journal Article\",\"fieldsOfStudy\":null,\"isOpenAccess\":false,\"openAccessPdf\":\"https://www.ncbi.nlm.nih.gov/pmc/articles/PMC12268765/pdf/\",\"citationCount\":\"0\",\"resultStr\":null,\"platform\":\"Semanticscholar\",\"paperid\":null,\"PeriodicalName\":\"Hepatology Forum\",\"FirstCategoryId\":\"1085\",\"ListUrlMain\":\"https://doi.org/10.14744/hf.2025.2025.0002\",\"RegionNum\":0,\"RegionCategory\":null,\"ArticlePicture\":[],\"TitleCN\":null,\"AbstractTextCN\":null,\"PMCID\":null,\"EPubDate\":\"2025/1/1 0:00:00\",\"PubModel\":\"eCollection\",\"JCR\":\"Q4\",\"JCRName\":\"GASTROENTEROLOGY & HEPATOLOGY\",\"Score\":null,\"Total\":0}","platform":"Semanticscholar","paperid":null,"PeriodicalName":"Hepatology Forum","FirstCategoryId":"1085","ListUrlMain":"https://doi.org/10.14744/hf.2025.2025.0002","RegionNum":0,"RegionCategory":null,"ArticlePicture":[],"TitleCN":null,"AbstractTextCN":null,"PMCID":null,"EPubDate":"2025/1/1 0:00:00","PubModel":"eCollection","JCR":"Q4","JCRName":"GASTROENTEROLOGY & HEPATOLOGY","Score":null,"Total":0}
引用次数: 0

摘要

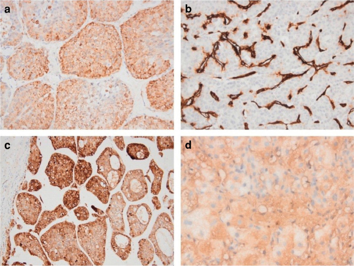
背景与目的:大量研究已经证实肝细胞癌(HCC)相关特征与标志物如glypcan -3 (GPC3)、热休克蛋白70 (HSP70)、CD34和谷氨酰胺合成酶(GS)之间存在关联。在这项研究中,我们旨在量化慢性乙型肝炎(CHB)肝硬化或晚期纤维化患者组织中的这些标志物。材料与方法:回顾性分析2003年至2013年CHB病理证实为HCC并行手术切除的患者。共纳入了24例配对恶性和周围肝硬化组织样本的患者。肝组织分为HCC前肝硬化组织、肿瘤周围肝硬化组织和恶性HCC组织。CHB患者的非肝硬化肝脏样本作为对照。结果:GPC3染色在80%的HCC组织中呈强染色,在70%的HCC周围肝硬化组织中呈阳性。在肝癌发生前44个月的肝硬化组织中,60%的病例为GPC3阳性。在非肝硬化慢性病毒性肝炎中,20%的病例GPC3阳性。GPC3、CD34和GS在恶性组织中的染色明显强于对照组织(结论:GPC3表达可能是慢性乙型肝炎相关肝硬化患者HCC发展的预测指标。CD34在区分HCC与肝硬化和非肝硬化组织方面也具有相当的准确性,支持其在HCC检测中的作用。
本文章由计算机程序翻译,如有差异,请以英文原文为准。

Predicting hepatocellular carcinoma development in advanced fibrosis or cirrhosis due to chronic hepatitis B: The role of glypican-3, heat shock protein 70, CD34, and glutamine synthetase.

Predicting hepatocellular carcinoma development in advanced fibrosis or cirrhosis due to chronic hepatitis B: The role of glypican-3, heat shock protein 70, CD34, and glutamine synthetase.

Predicting hepatocellular carcinoma development in advanced fibrosis or cirrhosis due to chronic hepatitis B: The role of glypican-3, heat shock protein 70, CD34, and glutamine synthetase.

Background and aim: Numerous studies have demonstrated associations between hepatocellular carcinoma (HCC)-related features and markers such as glypican-3 (GPC3), heat shock protein 70 (HSP70), CD34, and glutamine synthetase (GS). In this study, we aimed to quantify these markers in the tissues of patients with cirrhosis or advanced fibrosis due to chronic hepatitis B (CHB).

Materials and methods: A retrospective review was conducted on patients with CHB who developed pathologically confirmed HCC and underwent surgical resection between 2003 and 2013. A total of 24 patients who had paired malignant and surrounding cirrhotic tissue samples were included. Liver tissues were categorized as pre-HCC cirrhotic tissue, peritumoral cirrhotic tissue, and malignant HCC tissue. Non-cirrhotic liver samples from CHB patients served as controls.

Results: GPC3 staining was observed to be strong in 80% of HCC tissues and was positive in 70% of cirrhotic tissue surrounding HCC. In cirrhotic tissue 44 months prior to HCC development, 60% of cases were GPC3 positive. In non-cirrhotic chronic viral hepatitis, 20% of cases were GPC3 positive. GPC3, CD34, and GS showed significantly stronger staining in malignant versus control tissue (p<0.05). CD34 showed the highest discriminatory performance for malignant versus cirrhotic tissue (sensitivity=91.7%, specificity=91.7%), while GPC3 had the highest sensitivity (83.4%) in differentiating malignant from non-cirrhotic tissue.

Conclusion: GPC3 expression may be a predictive marker for HCC development in patients with CHB-related cirrhosis. CD34 also has considerable accuracy in differentiating HCC from cirrhotic and non-cirrhotic tissues, supporting a role for use in HCC detection.

求助全文
通过发布文献求助,成功后即可免费获取论文全文。 去求助
来源期刊
CiteScore
1.90
自引率
12.50%
发文量
0
×
引用
GB/T 7714-2015
复制
MLA
复制
APA
复制
导出至
BibTeX EndNote RefMan NoteFirst NoteExpress
×
提示
您的信息不完整,为了账户安全,请先补充。
现在去补充
×
提示
您因"违规操作"
具体请查看互助需知
我知道了
×
提示
确定
请完成安全验证×
copy
已复制链接
快去分享给好友吧!
我知道了
右上角分享
点击右上角分享
0
联系我们:info@booksci.cn Book学术提供免费学术资源搜索服务,方便国内外学者检索中英文文献。致力于提供最便捷和优质的服务体验。 Copyright © 2023 布克学术 All rights reserved.
京ICP备2023020795号-1
ghs 京公网安备 11010802042870号
Book学术文献互助
Book学术文献互助群
群 号:604180095
Book学术官方微信