导尿管和输尿管支架打结:一种独特的并发症和处理方法。

Case Reports in Urology Pub Date : 2025-07-10 eCollection Date: 2025-01-01 DOI:10.1155/criu/5559138
H Logan, K Lockhart, P Chong
{"title":"导尿管和输尿管支架打结:一种独特的并发症和处理方法。","authors":"H Logan, K Lockhart, P Chong","doi":"10.1155/criu/5559138","DOIUrl":null,"url":null,"abstract":"<p><p><b>Objective:</b> Spontaneous intravesical knotting is a highly infrequent complication of urinary catheters. We present a novel endoscopic treatment approach to managing a spontaneously knotted urinary catheter around a ureteric stent. <b>Subject:</b> A 79-year-old man presented to the Emergency department with confusion and acute renal failure. His background was significant for metastatic castrate-resistant prostate cancer. His associated obstructive uropathy was managed with a long-term right 7-Fr Rüsch ureteric stent, last changed 1 month prior and a long-term 18-Fr indwelling catheter. A CT intravenous pyelogram clearly demonstrated his indwelling catheter knotted around and through the distal intravesical portion of an appropriately positioned right ureteric stent. <b>Results:</b> Following decompression of the left kidney via percutaneous nephrostomy, attempts were made to remove the urinary catheter under fluoroscopy with a variety of wires and introducers. The patient then underwent a general anesthesia, and the knot was successfully removed piecemeal with a Mauermayer stone crusher via 25-Fr access sheath. <b>Conclusion:</b> Endoscopic techniques such as the use of a stone crusher may be beneficial for the removal of difficult and complex catheter knots as demonstrated in this case. Catheter knotting should always be considered if the functioning or attempted removal of the catheter is abnormal and timely referral to a urologist is made.</p>","PeriodicalId":30323,"journal":{"name":"Case Reports in Urology","volume":"2025 ","pages":"5559138"},"PeriodicalIF":0.0000,"publicationDate":"2025-07-10","publicationTypes":"Journal Article","fieldsOfStudy":null,"isOpenAccess":false,"openAccessPdf":"https://www.ncbi.nlm.nih.gov/pmc/articles/PMC12271699/pdf/","citationCount":"0","resultStr":"{\"title\":\"Knotting of a Urinary Catheter and Ureteric Stent: A Unique Complication and Management Solution.\",\"authors\":\"H Logan, K Lockhart, P Chong\",\"doi\":\"10.1155/criu/5559138\",\"DOIUrl\":null,\"url\":null,\"abstract\":\"<p><p><b>Objective:</b> Spontaneous intravesical knotting is a highly infrequent complication of urinary catheters. We present a novel endoscopic treatment approach to managing a spontaneously knotted urinary catheter around a ureteric stent. <b>Subject:</b> A 79-year-old man presented to the Emergency department with confusion and acute renal failure. His background was significant for metastatic castrate-resistant prostate cancer. His associated obstructive uropathy was managed with a long-term right 7-Fr Rüsch ureteric stent, last changed 1 month prior and a long-term 18-Fr indwelling catheter. A CT intravenous pyelogram clearly demonstrated his indwelling catheter knotted around and through the distal intravesical portion of an appropriately positioned right ureteric stent. <b>Results:</b> Following decompression of the left kidney via percutaneous nephrostomy, attempts were made to remove the urinary catheter under fluoroscopy with a variety of wires and introducers. The patient then underwent a general anesthesia, and the knot was successfully removed piecemeal with a Mauermayer stone crusher via 25-Fr access sheath. <b>Conclusion:</b> Endoscopic techniques such as the use of a stone crusher may be beneficial for the removal of difficult and complex catheter knots as demonstrated in this case. Catheter knotting should always be considered if the functioning or attempted removal of the catheter is abnormal and timely referral to a urologist is made.</p>\",\"PeriodicalId\":30323,\"journal\":{\"name\":\"Case Reports in Urology\",\"volume\":\"2025 \",\"pages\":\"5559138\"},\"PeriodicalIF\":0.0000,\"publicationDate\":\"2025-07-10\",\"publicationTypes\":\"Journal Article\",\"fieldsOfStudy\":null,\"isOpenAccess\":false,\"openAccessPdf\":\"https://www.ncbi.nlm.nih.gov/pmc/articles/PMC12271699/pdf/\",\"citationCount\":\"0\",\"resultStr\":null,\"platform\":\"Semanticscholar\",\"paperid\":null,\"PeriodicalName\":\"Case Reports in Urology\",\"FirstCategoryId\":\"1085\",\"ListUrlMain\":\"https://doi.org/10.1155/criu/5559138\",\"RegionNum\":0,\"RegionCategory\":null,\"ArticlePicture\":[],\"TitleCN\":null,\"AbstractTextCN\":null,\"PMCID\":null,\"EPubDate\":\"2025/1/1 0:00:00\",\"PubModel\":\"eCollection\",\"JCR\":\"\",\"JCRName\":\"\",\"Score\":null,\"Total\":0}","platform":"Semanticscholar","paperid":null,"PeriodicalName":"Case Reports in Urology","FirstCategoryId":"1085","ListUrlMain":"https://doi.org/10.1155/criu/5559138","RegionNum":0,"RegionCategory":null,"ArticlePicture":[],"TitleCN":null,"AbstractTextCN":null,"PMCID":null,"EPubDate":"2025/1/1 0:00:00","PubModel":"eCollection","JCR":"","JCRName":"","Score":null,"Total":0}
引用次数: 0

摘要

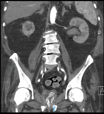
目的:膀胱内自发打结是一种罕见的导尿管并发症。我们提出了一种新的内窥镜治疗方法来处理输尿管支架周围自发打结的导尿管。主题:一名79岁男性因意识不清和急性肾衰竭来到急诊科。他的背景是转移性去势抵抗性前列腺癌。他的相关梗阻性尿路病变通过长期右侧7-Fr r输尿管支架治疗,最后一次更换是在1个月前,并长期18-Fr留置导尿管。CT静脉肾盂造影清楚地显示他的留置导管缠结并穿过右输尿管支架的远端膀胱部分。结果:经皮肾造口术对左肾进行减压后,在透视下尝试用各种导线和导尿管拔出尿管。患者随后接受全身麻醉,并用Mauermayer石粉碎机通过25-Fr通路鞘成功地将结部分去除。结论:内窥镜技术,如使用石粉碎机可能有利于去除困难和复杂的导管结,正如本病例所示。导管打结应始终考虑,如果功能或试图去除导管是异常的,并及时转诊到泌尿科医生。
本文章由计算机程序翻译,如有差异,请以英文原文为准。

Knotting of a Urinary Catheter and Ureteric Stent: A Unique Complication and Management Solution.

Knotting of a Urinary Catheter and Ureteric Stent: A Unique Complication and Management Solution.

Knotting of a Urinary Catheter and Ureteric Stent: A Unique Complication and Management Solution.

Knotting of a Urinary Catheter and Ureteric Stent: A Unique Complication and Management Solution.

Objective: Spontaneous intravesical knotting is a highly infrequent complication of urinary catheters. We present a novel endoscopic treatment approach to managing a spontaneously knotted urinary catheter around a ureteric stent. Subject: A 79-year-old man presented to the Emergency department with confusion and acute renal failure. His background was significant for metastatic castrate-resistant prostate cancer. His associated obstructive uropathy was managed with a long-term right 7-Fr Rüsch ureteric stent, last changed 1 month prior and a long-term 18-Fr indwelling catheter. A CT intravenous pyelogram clearly demonstrated his indwelling catheter knotted around and through the distal intravesical portion of an appropriately positioned right ureteric stent. Results: Following decompression of the left kidney via percutaneous nephrostomy, attempts were made to remove the urinary catheter under fluoroscopy with a variety of wires and introducers. The patient then underwent a general anesthesia, and the knot was successfully removed piecemeal with a Mauermayer stone crusher via 25-Fr access sheath. Conclusion: Endoscopic techniques such as the use of a stone crusher may be beneficial for the removal of difficult and complex catheter knots as demonstrated in this case. Catheter knotting should always be considered if the functioning or attempted removal of the catheter is abnormal and timely referral to a urologist is made.

求助全文
通过发布文献求助,成功后即可免费获取论文全文。 去求助
来源期刊
自引率
0.00%
发文量
28
审稿时长
13 weeks
×
引用
GB/T 7714-2015
复制
MLA
复制
APA
复制
导出至
BibTeX EndNote RefMan NoteFirst NoteExpress
×
提示
您的信息不完整,为了账户安全,请先补充。
现在去补充
×
提示
您因"违规操作"
具体请查看互助需知
我知道了
×
提示
确定
请完成安全验证×
copy
已复制链接
快去分享给好友吧!
我知道了
右上角分享
点击右上角分享
0
联系我们:info@booksci.cn Book学术提供免费学术资源搜索服务,方便国内外学者检索中英文文献。致力于提供最便捷和优质的服务体验。 Copyright © 2023 布克学术 All rights reserved.
京ICP备2023020795号-1
ghs 京公网安备 11010802042870号
Book学术文献互助
Book学术文献互助群
群 号:604180095
Book学术官方微信