科莫多龙(Varanus komodoensis)腭襞唾液腺和下颌毒腺的组织学和组织化学特征。

IF 2 3区 农林科学 Q2 VETERINARY SCIENCES
Maciej Janeczek, Karolina Goździewska-Harłajczuk, Agata Małyszek, Ludwika Hrabska, Joanna Klećkowska-Nawrot
{"title":"科莫多龙(Varanus komodoensis)腭襞唾液腺和下颌毒腺的组织学和组织化学特征。","authors":"Maciej Janeczek, Karolina Goździewska-Harłajczuk, Agata Małyszek, Ludwika Hrabska, Joanna Klećkowska-Nawrot","doi":"10.1007/s11259-025-10825-6","DOIUrl":null,"url":null,"abstract":"<p><p>The Komodo dragon (Varanus komodoensis) is the largest living lizard whose hunting strategy allows it to attack large animals. It inflicts serious damage to its prey with specially developed teeth, called ziphodonts. Although the mandibular venom gland system was previously detected in the Komodo dragon, there is still a lack of its histochemical analysis. Thus, the objective of the current study was a detailed description of the mandibular venom gland of this species. In addition, a histological examination of the salivary glands of the palatine fold was performed. The research material was collected post-mortem from the captive adult female Komodo dragon. Hematoxylin and eosin and Masson-Goldner trichrome staining methods were used for the histological analysis of the glands, while periodic acid-Schiff, alcian blue pH 1.0, alcian blue pH 2.5, alcian blue pH 2.5 PAS and Hale's dialysed iron methods were included for the histochemical study. The venom gland was composed of distinctly marked and very numerous individual lobes surrounded by dense, irregularly structured, highly developed connective tissue that forms the interlobar septa. The salivary glands of the palatine fold were surrounded by a thick connective tissue capsule made of dense, irregularly structured connective tissue. The single ducts of the mandibular venom gland open into the sheaths surrounding the consecutive teeth. The presence of numerous muscle cells in the stroma of the venom gland between its lobes may indicate their participation in the emptying of the vesicles of their secretion.</p>","PeriodicalId":23690,"journal":{"name":"Veterinary Research Communications","volume":"49 5","pages":"260"},"PeriodicalIF":2.0000,"publicationDate":"2025-07-21","publicationTypes":"Journal Article","fieldsOfStudy":null,"isOpenAccess":false,"openAccessPdf":"https://www.ncbi.nlm.nih.gov/pmc/articles/PMC12279577/pdf/","citationCount":"0","resultStr":"{\"title\":\"Histological and histochemical characterisation of the salivary glands of the palatine fold and the mandibular venom gland of the Komodo dragon (Varanus komodoensis).\",\"authors\":\"Maciej Janeczek, Karolina Goździewska-Harłajczuk, Agata Małyszek, Ludwika Hrabska, Joanna Klećkowska-Nawrot\",\"doi\":\"10.1007/s11259-025-10825-6\",\"DOIUrl\":null,\"url\":null,\"abstract\":\"<p><p>The Komodo dragon (Varanus komodoensis) is the largest living lizard whose hunting strategy allows it to attack large animals. It inflicts serious damage to its prey with specially developed teeth, called ziphodonts. Although the mandibular venom gland system was previously detected in the Komodo dragon, there is still a lack of its histochemical analysis. Thus, the objective of the current study was a detailed description of the mandibular venom gland of this species. In addition, a histological examination of the salivary glands of the palatine fold was performed. The research material was collected post-mortem from the captive adult female Komodo dragon. Hematoxylin and eosin and Masson-Goldner trichrome staining methods were used for the histological analysis of the glands, while periodic acid-Schiff, alcian blue pH 1.0, alcian blue pH 2.5, alcian blue pH 2.5 PAS and Hale's dialysed iron methods were included for the histochemical study. The venom gland was composed of distinctly marked and very numerous individual lobes surrounded by dense, irregularly structured, highly developed connective tissue that forms the interlobar septa. The salivary glands of the palatine fold were surrounded by a thick connective tissue capsule made of dense, irregularly structured connective tissue. The single ducts of the mandibular venom gland open into the sheaths surrounding the consecutive teeth. The presence of numerous muscle cells in the stroma of the venom gland between its lobes may indicate their participation in the emptying of the vesicles of their secretion.</p>\",\"PeriodicalId\":23690,\"journal\":{\"name\":\"Veterinary Research Communications\",\"volume\":\"49 5\",\"pages\":\"260\"},\"PeriodicalIF\":2.0000,\"publicationDate\":\"2025-07-21\",\"publicationTypes\":\"Journal Article\",\"fieldsOfStudy\":null,\"isOpenAccess\":false,\"openAccessPdf\":\"https://www.ncbi.nlm.nih.gov/pmc/articles/PMC12279577/pdf/\",\"citationCount\":\"0\",\"resultStr\":null,\"platform\":\"Semanticscholar\",\"paperid\":null,\"PeriodicalName\":\"Veterinary Research Communications\",\"FirstCategoryId\":\"97\",\"ListUrlMain\":\"https://doi.org/10.1007/s11259-025-10825-6\",\"RegionNum\":3,\"RegionCategory\":\"农林科学\",\"ArticlePicture\":[],\"TitleCN\":null,\"AbstractTextCN\":null,\"PMCID\":null,\"EPubDate\":\"\",\"PubModel\":\"\",\"JCR\":\"Q2\",\"JCRName\":\"VETERINARY SCIENCES\",\"Score\":null,\"Total\":0}","platform":"Semanticscholar","paperid":null,"PeriodicalName":"Veterinary Research Communications","FirstCategoryId":"97","ListUrlMain":"https://doi.org/10.1007/s11259-025-10825-6","RegionNum":3,"RegionCategory":"农林科学","ArticlePicture":[],"TitleCN":null,"AbstractTextCN":null,"PMCID":null,"EPubDate":"","PubModel":"","JCR":"Q2","JCRName":"VETERINARY SCIENCES","Score":null,"Total":0}
引用次数: 0

摘要

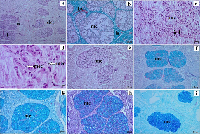
科莫多龙(Varanus komodoensis)是现存最大的蜥蜴,其狩猎策略使其能够攻击大型动物。它用一种特殊发育的牙齿(称为ziphodonts)对猎物造成严重伤害。虽然以前在科莫多龙中检测到下颌蛇毒腺系统,但仍然缺乏其组织化学分析。因此,本研究的目的是详细描述该物种的下颌蛇毒腺。此外,对腭襞的唾液腺进行了组织学检查。研究材料是在捕获的成年雌性科莫多巨蜥死后收集的。采用苏木精、伊红和Masson-Goldner三色染色法对腺体进行组织学分析,采用周期性酸-席夫法、阿利新蓝pH 1.0法、阿利新蓝pH 2.5法、阿利新蓝pH 2.5 PAS法和Hale’s透析铁法进行组织化学研究。毒腺由明显明显的、非常多的单个叶组成,周围是致密的、结构不规则的、高度发达的结缔组织,形成叶间隔。腭襞的唾液腺被致密的、不规则结构的结缔组织组成的厚结缔组织包膜所包围。下颌骨蛇毒腺的单根导管进入连续牙齿周围的鞘。在毒液腺裂片之间的基质中存在大量肌肉细胞,这可能表明它们参与了分泌毒液的囊泡的排空。
本文章由计算机程序翻译,如有差异,请以英文原文为准。

Histological and histochemical characterisation of the salivary glands of the palatine fold and the mandibular venom gland of the Komodo dragon (Varanus komodoensis).

Histological and histochemical characterisation of the salivary glands of the palatine fold and the mandibular venom gland of the Komodo dragon (Varanus komodoensis).

Histological and histochemical characterisation of the salivary glands of the palatine fold and the mandibular venom gland of the Komodo dragon (Varanus komodoensis).

Histological and histochemical characterisation of the salivary glands of the palatine fold and the mandibular venom gland of the Komodo dragon (Varanus komodoensis).

The Komodo dragon (Varanus komodoensis) is the largest living lizard whose hunting strategy allows it to attack large animals. It inflicts serious damage to its prey with specially developed teeth, called ziphodonts. Although the mandibular venom gland system was previously detected in the Komodo dragon, there is still a lack of its histochemical analysis. Thus, the objective of the current study was a detailed description of the mandibular venom gland of this species. In addition, a histological examination of the salivary glands of the palatine fold was performed. The research material was collected post-mortem from the captive adult female Komodo dragon. Hematoxylin and eosin and Masson-Goldner trichrome staining methods were used for the histological analysis of the glands, while periodic acid-Schiff, alcian blue pH 1.0, alcian blue pH 2.5, alcian blue pH 2.5 PAS and Hale's dialysed iron methods were included for the histochemical study. The venom gland was composed of distinctly marked and very numerous individual lobes surrounded by dense, irregularly structured, highly developed connective tissue that forms the interlobar septa. The salivary glands of the palatine fold were surrounded by a thick connective tissue capsule made of dense, irregularly structured connective tissue. The single ducts of the mandibular venom gland open into the sheaths surrounding the consecutive teeth. The presence of numerous muscle cells in the stroma of the venom gland between its lobes may indicate their participation in the emptying of the vesicles of their secretion.

求助全文
通过发布文献求助,成功后即可免费获取论文全文。 去求助
来源期刊
Veterinary Research Communications
Veterinary Research Communications 农林科学-兽医学
CiteScore
2.50
自引率
0.00%
发文量
173
审稿时长
3 months
期刊介绍: Veterinary Research Communications publishes fully refereed research articles and topical reviews on all aspects of the veterinary sciences. Interdisciplinary articles are particularly encouraged, as are well argued reviews, even if they are somewhat controversial. The journal is an appropriate medium in which to publish new methods, newly described diseases and new pathological findings, as these are applied to animals. The material should be of international rather than local interest. As it deliberately seeks a wide coverage, Veterinary Research Communications provides its readers with a means of keeping abreast of current developments in the entire field of veterinary science.
×
引用
GB/T 7714-2015
复制
MLA
复制
APA
复制
导出至
BibTeX EndNote RefMan NoteFirst NoteExpress
×
提示
您的信息不完整,为了账户安全,请先补充。
现在去补充
×
提示
您因"违规操作"
具体请查看互助需知
我知道了
×
提示
确定
请完成安全验证×
copy
已复制链接
快去分享给好友吧!
我知道了
右上角分享
点击右上角分享
0
联系我们:info@booksci.cn Book学术提供免费学术资源搜索服务,方便国内外学者检索中英文文献。致力于提供最便捷和优质的服务体验。 Copyright © 2023 布克学术 All rights reserved.
京ICP备2023020795号-1
ghs 京公网安备 11010802042870号
Book学术文献互助
Book学术文献互助群
群 号:604180095
Book学术官方微信