蜂胶减轻镉中毒雌性白化大鼠脑垂体和生殖系统的组织病理学改变。

IF 2 Q2 AGRICULTURE, DAIRY & ANIMAL SCIENCE
Veterinary World Pub Date : 2025-06-01 Epub Date: 2025-06-10 DOI:10.14202/vetworld.2025.1466-1478
Abdulla A Albishtue, Aqeel Mohsin Al-Mahmmodi, Hasan A Almamoori, Mustafa Ali Alahmer
{"title":"蜂胶减轻镉中毒雌性白化大鼠脑垂体和生殖系统的组织病理学改变。","authors":"Abdulla A Albishtue, Aqeel Mohsin Al-Mahmmodi, Hasan A Almamoori, Mustafa Ali Alahmer","doi":"10.14202/vetworld.2025.1466-1478","DOIUrl":null,"url":null,"abstract":"<p><strong>Background and aim: </strong>Cadmium (Cd) is a pervasive environmental toxin that disrupts endocrine function and induces oxidative damage in reproductive organs. Propolis (PRO), a resinous substance produced by bees, has garnered attention for its antioxidant and estrogenic properties. This study investigated the protective potential of PRO on the pituitary-ovarian-uterine axis in female rats subjected to Cd-induced toxicity.</p><p><strong>Materials and methods: </strong>Thirty adult female albino rats were randomized into five groups (n = 6/group): Control (C), Cd-only (T0), and Cd plus PRO at 150, 300, and 500 mg/kg body weight (BW) (T1-T3, respectively). Cadmium chloride was administered orally at 5 mg/kg for 4 weeks. PRO was co-administered daily through gavage. At the proestrus stage, animals were euthanized for tissue collection. Vaginal cytology was used to confirm estrous stage. Histopathological examination of the ovary, uterus, and pituitary gland was performed using H&E staining. Serum estradiol (E2) and superoxide dismutase (SOD) activity were assessed to evaluate hormonal and oxidative responses. Morphometric measurements were statistically analyzed through one-way analysis of variance with Tukey's <i>post hoc</i> test.</p><p><strong>Results: </strong>Cd exposure (T0) led to prolonged estrous cycles, ovarian atresia, uterine degeneration, and significant disruption of pituitary architecture, accompanied by reduced E2 and SOD levels (p < 0.05). PRO administration dose-dependently ameliorated these alterations. The highest PRO dose (T3) restored the histological architecture of all target organs to near-normal levels, significantly increased ovarian and uterine weight ratios, and elevated both E2 and SOD activity. Histomorphometric analysis confirmed increased follicle survival, thickened ovarian surface epithelium, and elevated interstitial cell counts. Pituitary endocrine cell counts and uterine gland numbers were also significantly higher in PRO-treated groups, particularly T3.</p><p><strong>Conclusion: </strong>PRO supplementation at 500 mg/kg BW significantly attenuates Cd-induced reproductive and endocrine toxicity in female rats by restoring histological integrity and enhancing antioxidant and estrogenic responses. These findings suggest PRO as a promising candidate for mitigating heavy metal-induced reproductive dysfunction.</p>","PeriodicalId":23587,"journal":{"name":"Veterinary World","volume":"18 6","pages":"1466-1478"},"PeriodicalIF":2.0000,"publicationDate":"2025-06-01","publicationTypes":"Journal Article","fieldsOfStudy":null,"isOpenAccess":false,"openAccessPdf":"https://www.ncbi.nlm.nih.gov/pmc/articles/PMC12273156/pdf/","citationCount":"0","resultStr":"{\"title\":\"Propolis mitigates histopathological alterations in the pituitary gland and reproductive system of female albino rats subjected to cadmium toxicity.\",\"authors\":\"Abdulla A Albishtue, Aqeel Mohsin Al-Mahmmodi, Hasan A Almamoori, Mustafa Ali Alahmer\",\"doi\":\"10.14202/vetworld.2025.1466-1478\",\"DOIUrl\":null,\"url\":null,\"abstract\":\"<p><strong>Background and aim: </strong>Cadmium (Cd) is a pervasive environmental toxin that disrupts endocrine function and induces oxidative damage in reproductive organs. Propolis (PRO), a resinous substance produced by bees, has garnered attention for its antioxidant and estrogenic properties. This study investigated the protective potential of PRO on the pituitary-ovarian-uterine axis in female rats subjected to Cd-induced toxicity.</p><p><strong>Materials and methods: </strong>Thirty adult female albino rats were randomized into five groups (n = 6/group): Control (C), Cd-only (T0), and Cd plus PRO at 150, 300, and 500 mg/kg body weight (BW) (T1-T3, respectively). Cadmium chloride was administered orally at 5 mg/kg for 4 weeks. PRO was co-administered daily through gavage. At the proestrus stage, animals were euthanized for tissue collection. Vaginal cytology was used to confirm estrous stage. Histopathological examination of the ovary, uterus, and pituitary gland was performed using H&E staining. Serum estradiol (E2) and superoxide dismutase (SOD) activity were assessed to evaluate hormonal and oxidative responses. Morphometric measurements were statistically analyzed through one-way analysis of variance with Tukey's <i>post hoc</i> test.</p><p><strong>Results: </strong>Cd exposure (T0) led to prolonged estrous cycles, ovarian atresia, uterine degeneration, and significant disruption of pituitary architecture, accompanied by reduced E2 and SOD levels (p < 0.05). PRO administration dose-dependently ameliorated these alterations. The highest PRO dose (T3) restored the histological architecture of all target organs to near-normal levels, significantly increased ovarian and uterine weight ratios, and elevated both E2 and SOD activity. Histomorphometric analysis confirmed increased follicle survival, thickened ovarian surface epithelium, and elevated interstitial cell counts. Pituitary endocrine cell counts and uterine gland numbers were also significantly higher in PRO-treated groups, particularly T3.</p><p><strong>Conclusion: </strong>PRO supplementation at 500 mg/kg BW significantly attenuates Cd-induced reproductive and endocrine toxicity in female rats by restoring histological integrity and enhancing antioxidant and estrogenic responses. These findings suggest PRO as a promising candidate for mitigating heavy metal-induced reproductive dysfunction.</p>\",\"PeriodicalId\":23587,\"journal\":{\"name\":\"Veterinary World\",\"volume\":\"18 6\",\"pages\":\"1466-1478\"},\"PeriodicalIF\":2.0000,\"publicationDate\":\"2025-06-01\",\"publicationTypes\":\"Journal Article\",\"fieldsOfStudy\":null,\"isOpenAccess\":false,\"openAccessPdf\":\"https://www.ncbi.nlm.nih.gov/pmc/articles/PMC12273156/pdf/\",\"citationCount\":\"0\",\"resultStr\":null,\"platform\":\"Semanticscholar\",\"paperid\":null,\"PeriodicalName\":\"Veterinary World\",\"FirstCategoryId\":\"1085\",\"ListUrlMain\":\"https://doi.org/10.14202/vetworld.2025.1466-1478\",\"RegionNum\":0,\"RegionCategory\":null,\"ArticlePicture\":[],\"TitleCN\":null,\"AbstractTextCN\":null,\"PMCID\":null,\"EPubDate\":\"2025/6/10 0:00:00\",\"PubModel\":\"Epub\",\"JCR\":\"Q2\",\"JCRName\":\"AGRICULTURE, DAIRY & ANIMAL SCIENCE\",\"Score\":null,\"Total\":0}","platform":"Semanticscholar","paperid":null,"PeriodicalName":"Veterinary World","FirstCategoryId":"1085","ListUrlMain":"https://doi.org/10.14202/vetworld.2025.1466-1478","RegionNum":0,"RegionCategory":null,"ArticlePicture":[],"TitleCN":null,"AbstractTextCN":null,"PMCID":null,"EPubDate":"2025/6/10 0:00:00","PubModel":"Epub","JCR":"Q2","JCRName":"AGRICULTURE, DAIRY & ANIMAL SCIENCE","Score":null,"Total":0}
引用次数: 0

摘要

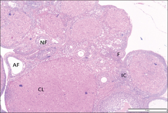
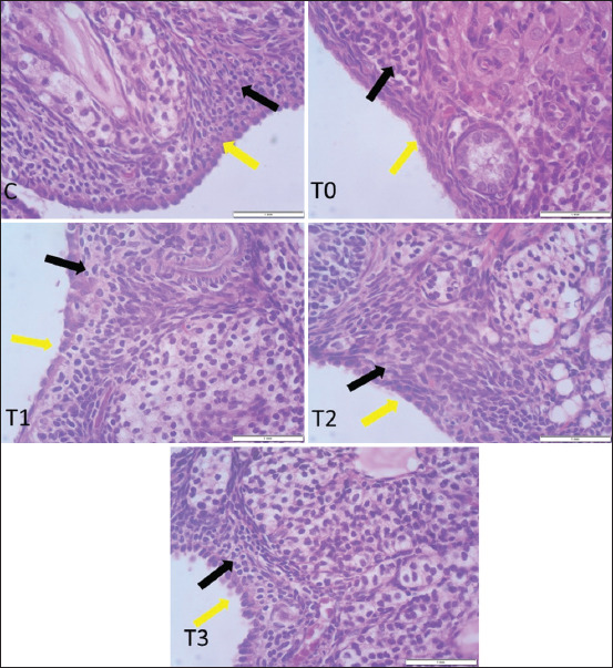
背景与目的:镉(Cd)是一种普遍存在的环境毒素,可破坏内分泌功能,引起生殖器官的氧化损伤。蜂胶(PRO)是一种由蜜蜂产生的树脂状物质,因其抗氧化和雌激素特性而受到关注。本研究探讨了PRO对cd中毒雌性大鼠垂体-卵巢-子宫轴的保护作用。材料与方法:将30只成年雌性白化大鼠随机分为5组(n = 6/组):对照组(C)、纯Cd组(T0)和Cd + PRO组(T1-T3),剂量分别为150、300和500 mg/kg体重(BW)。以5 mg/kg剂量口服氯化镉4周。每日灌胃给予PRO。在发情前期,对动物实施安乐死以收集组织。阴道细胞学检查确定发情期。采用H&E染色对卵巢、子宫和垂体进行组织病理学检查。测定血清雌二醇(E2)和超氧化物歧化酶(SOD)活性以评价激素和氧化反应。形态计量学测量通过单向方差分析和Tukey事后检验进行统计学分析。结果:Cd暴露(T0)导致发情周期延长,卵巢闭锁,子宫变性,垂体结构明显破坏,E2和SOD水平降低(p < 0.05)。PRO给药剂量依赖性地改善了这些改变。最高PRO剂量(T3)使所有靶器官的组织结构恢复到接近正常水平,卵巢和子宫重量比显著增加,E2和SOD活性均升高。组织形态学分析证实卵泡存活率增加,卵巢表面上皮增厚,间质细胞计数升高。垂体内分泌细胞计数和子宫腺数量在pro治疗组显著升高,尤其是T3组。结论:添加500 mg/kg BW的PRO可通过恢复组织完整性、增强抗氧化和雌激素反应,显著减轻cd诱导的雌性大鼠生殖和内分泌毒性。这些发现表明PRO是减轻重金属诱导的生殖功能障碍的有希望的候选者。
本文章由计算机程序翻译,如有差异,请以英文原文为准。

Propolis mitigates histopathological alterations in the pituitary gland and reproductive system of female albino rats subjected to cadmium toxicity.

Propolis mitigates histopathological alterations in the pituitary gland and reproductive system of female albino rats subjected to cadmium toxicity.

Propolis mitigates histopathological alterations in the pituitary gland and reproductive system of female albino rats subjected to cadmium toxicity.

Propolis mitigates histopathological alterations in the pituitary gland and reproductive system of female albino rats subjected to cadmium toxicity.

Background and aim: Cadmium (Cd) is a pervasive environmental toxin that disrupts endocrine function and induces oxidative damage in reproductive organs. Propolis (PRO), a resinous substance produced by bees, has garnered attention for its antioxidant and estrogenic properties. This study investigated the protective potential of PRO on the pituitary-ovarian-uterine axis in female rats subjected to Cd-induced toxicity.

Materials and methods: Thirty adult female albino rats were randomized into five groups (n = 6/group): Control (C), Cd-only (T0), and Cd plus PRO at 150, 300, and 500 mg/kg body weight (BW) (T1-T3, respectively). Cadmium chloride was administered orally at 5 mg/kg for 4 weeks. PRO was co-administered daily through gavage. At the proestrus stage, animals were euthanized for tissue collection. Vaginal cytology was used to confirm estrous stage. Histopathological examination of the ovary, uterus, and pituitary gland was performed using H&E staining. Serum estradiol (E2) and superoxide dismutase (SOD) activity were assessed to evaluate hormonal and oxidative responses. Morphometric measurements were statistically analyzed through one-way analysis of variance with Tukey's post hoc test.

Results: Cd exposure (T0) led to prolonged estrous cycles, ovarian atresia, uterine degeneration, and significant disruption of pituitary architecture, accompanied by reduced E2 and SOD levels (p < 0.05). PRO administration dose-dependently ameliorated these alterations. The highest PRO dose (T3) restored the histological architecture of all target organs to near-normal levels, significantly increased ovarian and uterine weight ratios, and elevated both E2 and SOD activity. Histomorphometric analysis confirmed increased follicle survival, thickened ovarian surface epithelium, and elevated interstitial cell counts. Pituitary endocrine cell counts and uterine gland numbers were also significantly higher in PRO-treated groups, particularly T3.

Conclusion: PRO supplementation at 500 mg/kg BW significantly attenuates Cd-induced reproductive and endocrine toxicity in female rats by restoring histological integrity and enhancing antioxidant and estrogenic responses. These findings suggest PRO as a promising candidate for mitigating heavy metal-induced reproductive dysfunction.

求助全文
通过发布文献求助,成功后即可免费获取论文全文。 去求助
来源期刊
Veterinary World
Veterinary World Multiple-
CiteScore
3.60
自引率
12.50%
发文量
317
审稿时长
16 weeks
期刊介绍: Veterinary World publishes high quality papers focusing on Veterinary and Animal Science. The fields of study are bacteriology, parasitology, pathology, virology, immunology, mycology, public health, biotechnology, meat science, fish diseases, nutrition, gynecology, genetics, wildlife, laboratory animals, animal models of human infections, prion diseases and epidemiology. Studies on zoonotic and emerging infections are highly appreciated. Review articles are highly appreciated. All articles published by Veterinary World are made freely and permanently accessible online. All articles to Veterinary World are posted online immediately as they are ready for publication.
×
引用
GB/T 7714-2015
复制
MLA
复制
APA
复制
导出至
BibTeX EndNote RefMan NoteFirst NoteExpress
×
提示
您的信息不完整,为了账户安全,请先补充。
现在去补充
×
提示
您因"违规操作"
具体请查看互助需知
我知道了
×
提示
确定
请完成安全验证×
copy
已复制链接
快去分享给好友吧!
我知道了
右上角分享
点击右上角分享
0
联系我们:info@booksci.cn Book学术提供免费学术资源搜索服务,方便国内外学者检索中英文文献。致力于提供最便捷和优质的服务体验。 Copyright © 2023 布克学术 All rights reserved.
京ICP备2023020795号-1
ghs 京公网安备 11010802042870号
Book学术文献互助
Book学术文献互助群
群 号:604180095
Book学术官方微信