骨肉瘤患者膝关节侵犯的诊断:直接和间接MRI表现的价值。

IF 1 4区 医学 Q2 MEDICINE, GENERAL & INTERNAL
Turkish Journal of Medical Sciences Pub Date : 2025-06-10 eCollection Date: 2025-01-01 DOI:10.55730/1300-0144.6009
İpek Tamsel, Hüseyin Kaya, Orkhan Aghamirzayev, Oğuz Dimdork, Başak Doğanavşargil, Mehmet Argin, Dündar Sabah
{"title":"骨肉瘤患者膝关节侵犯的诊断:直接和间接MRI表现的价值。","authors":"İpek Tamsel, Hüseyin Kaya, Orkhan Aghamirzayev, Oğuz Dimdork, Başak Doğanavşargil, Mehmet Argin, Dündar Sabah","doi":"10.55730/1300-0144.6009","DOIUrl":null,"url":null,"abstract":"<p><strong>Background/aim: </strong>Osteosarcoma is the most common primary malignant bone tumor in adolescents, and the evaluation of joint invasion with MRI is important for treatment planning. This study aimed to investigate the diagnostic value of MRI findings (direct and indirect) for joint invasion in patients diagnosed with osteosarcoma of the knee region.</p><p><strong>Materials and methods: </strong>The MRI evaluations of 50 knee osteosarcoma patients who underwent surgical resection between 2006 and 2018 were reviewed retrospectively by two radiologists and an orthopedic oncologist. The presence of intrasynovial tumor tissue, intra-articular destruction of cartilage or bone, and invasion of the capsular and cruciate ligament insertions were evaluated as direct findings in the diagnosis of joint invasion on MRI. Indirect findings included tumor size, adjacent epiphyseal bone signal changes- bone marrow infiltration and edema, synovial contrast enhancement, and joint effusion. These findings were scored separately on a 5-point Likert scale and statistically compared with histopathologic results.</p><p><strong>Results: </strong>The mean age of the patients was 22 years and the gender distribution was 21 females and 29 males. The best predictors for joint invasion were direct visualization of capsular insertion invasion (p < 0.05) and destruction of intraarticular bone (p < 0.05). MRI findings with statistically significant sensitivity and specificity: intrasynovial tumor tissue specificity 76%, sensitivity 58%; intra-articular cartilage destruction specificity 84%, sensitivity 56%; intra-articular bone destruction sensitivity 84%, specificity 48%; capsular insertion invasion sensitivity 92%, specificity 48%. Synovial effusion and contrast enhancement were the most sensitive indirect signs but lacked specificity.</p><p><strong>Conclusion: </strong>Joint invasion by osteosarcoma can reliably be assessed on preoperative MR images with high sensitivity and specificity. Particularly direct visualization of intrasynovial tumor tissue, capsular insertion invasion, and destruction of intraarticular bone and cartilage, a combination of highly specific direct signs was valuable, while indirect signs were less predictive and specific.</p>","PeriodicalId":23361,"journal":{"name":"Turkish Journal of Medical Sciences","volume":"55 3","pages":"622-631"},"PeriodicalIF":1.0000,"publicationDate":"2025-06-10","publicationTypes":"Journal Article","fieldsOfStudy":null,"isOpenAccess":false,"openAccessPdf":"https://www.ncbi.nlm.nih.gov/pmc/articles/PMC12270321/pdf/","citationCount":"0","resultStr":"{\"title\":\"Diagnosis of knee joint invasion in patients with osteosarcoma: the value of direct and indirect MRI findings.\",\"authors\":\"İpek Tamsel, Hüseyin Kaya, Orkhan Aghamirzayev, Oğuz Dimdork, Başak Doğanavşargil, Mehmet Argin, Dündar Sabah\",\"doi\":\"10.55730/1300-0144.6009\",\"DOIUrl\":null,\"url\":null,\"abstract\":\"<p><strong>Background/aim: </strong>Osteosarcoma is the most common primary malignant bone tumor in adolescents, and the evaluation of joint invasion with MRI is important for treatment planning. This study aimed to investigate the diagnostic value of MRI findings (direct and indirect) for joint invasion in patients diagnosed with osteosarcoma of the knee region.</p><p><strong>Materials and methods: </strong>The MRI evaluations of 50 knee osteosarcoma patients who underwent surgical resection between 2006 and 2018 were reviewed retrospectively by two radiologists and an orthopedic oncologist. The presence of intrasynovial tumor tissue, intra-articular destruction of cartilage or bone, and invasion of the capsular and cruciate ligament insertions were evaluated as direct findings in the diagnosis of joint invasion on MRI. Indirect findings included tumor size, adjacent epiphyseal bone signal changes- bone marrow infiltration and edema, synovial contrast enhancement, and joint effusion. These findings were scored separately on a 5-point Likert scale and statistically compared with histopathologic results.</p><p><strong>Results: </strong>The mean age of the patients was 22 years and the gender distribution was 21 females and 29 males. The best predictors for joint invasion were direct visualization of capsular insertion invasion (p < 0.05) and destruction of intraarticular bone (p < 0.05). MRI findings with statistically significant sensitivity and specificity: intrasynovial tumor tissue specificity 76%, sensitivity 58%; intra-articular cartilage destruction specificity 84%, sensitivity 56%; intra-articular bone destruction sensitivity 84%, specificity 48%; capsular insertion invasion sensitivity 92%, specificity 48%. Synovial effusion and contrast enhancement were the most sensitive indirect signs but lacked specificity.</p><p><strong>Conclusion: </strong>Joint invasion by osteosarcoma can reliably be assessed on preoperative MR images with high sensitivity and specificity. Particularly direct visualization of intrasynovial tumor tissue, capsular insertion invasion, and destruction of intraarticular bone and cartilage, a combination of highly specific direct signs was valuable, while indirect signs were less predictive and specific.</p>\",\"PeriodicalId\":23361,\"journal\":{\"name\":\"Turkish Journal of Medical Sciences\",\"volume\":\"55 3\",\"pages\":\"622-631\"},\"PeriodicalIF\":1.0000,\"publicationDate\":\"2025-06-10\",\"publicationTypes\":\"Journal Article\",\"fieldsOfStudy\":null,\"isOpenAccess\":false,\"openAccessPdf\":\"https://www.ncbi.nlm.nih.gov/pmc/articles/PMC12270321/pdf/\",\"citationCount\":\"0\",\"resultStr\":null,\"platform\":\"Semanticscholar\",\"paperid\":null,\"PeriodicalName\":\"Turkish Journal of Medical Sciences\",\"FirstCategoryId\":\"3\",\"ListUrlMain\":\"https://doi.org/10.55730/1300-0144.6009\",\"RegionNum\":4,\"RegionCategory\":\"医学\",\"ArticlePicture\":[],\"TitleCN\":null,\"AbstractTextCN\":null,\"PMCID\":null,\"EPubDate\":\"2025/1/1 0:00:00\",\"PubModel\":\"eCollection\",\"JCR\":\"Q2\",\"JCRName\":\"MEDICINE, GENERAL & INTERNAL\",\"Score\":null,\"Total\":0}","platform":"Semanticscholar","paperid":null,"PeriodicalName":"Turkish Journal of Medical Sciences","FirstCategoryId":"3","ListUrlMain":"https://doi.org/10.55730/1300-0144.6009","RegionNum":4,"RegionCategory":"医学","ArticlePicture":[],"TitleCN":null,"AbstractTextCN":null,"PMCID":null,"EPubDate":"2025/1/1 0:00:00","PubModel":"eCollection","JCR":"Q2","JCRName":"MEDICINE, GENERAL & INTERNAL","Score":null,"Total":0}
引用次数: 0

摘要

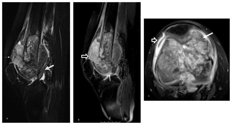
背景/目的:骨肉瘤是青少年最常见的原发性骨恶性肿瘤,MRI对关节侵犯的评估对制定治疗方案具有重要意义。本研究旨在探讨MRI表现(直接和间接)对膝关节区骨肉瘤患者关节侵犯的诊断价值。材料与方法:由2名放射科医生和1名骨科肿瘤科医生对2006年至2018年接受手术切除的50例膝关节骨肉瘤患者的MRI评估进行回顾性分析。滑膜内肿瘤组织的存在,关节内软骨或骨的破坏,关节囊和交叉韧带插入的侵犯被评估为MRI诊断关节侵犯的直接发现。间接表现包括肿瘤大小、邻近骨骺信号改变——骨髓浸润和水肿、滑膜造影剂增强和关节积液。这些结果分别以5分Likert量表评分,并与组织病理学结果进行统计比较。结果:患者平均年龄22岁,性别分布为女性21例,男性29例。关节侵犯的最佳预测指标为直接可见关节囊插入侵犯(p < 0.05)和关节内骨破坏(p < 0.05)。MRI表现具有统计学意义的敏感性和特异性:囊内肿瘤组织特异性76%,敏感性58%;关节内软骨破坏特异性84%,敏感性56%;关节内骨破坏敏感性84%,特异性48%;囊内侵入敏感性92%,特异性48%。滑膜积液和对比增强是最敏感的间接征象,但缺乏特异性。结论:术前MR图像可可靠地评估骨肉瘤对关节的侵袭,具有较高的敏感性和特异性。特别是直接可视化滑膜内肿瘤组织、囊膜插入侵犯、关节内骨和软骨破坏,高度特异性的直接征象组合是有价值的,而间接征象的预测性和特异性较低。
本文章由计算机程序翻译,如有差异,请以英文原文为准。

Diagnosis of knee joint invasion in patients with osteosarcoma: the value of direct and indirect MRI findings.

Diagnosis of knee joint invasion in patients with osteosarcoma: the value of direct and indirect MRI findings.

Diagnosis of knee joint invasion in patients with osteosarcoma: the value of direct and indirect MRI findings.

Diagnosis of knee joint invasion in patients with osteosarcoma: the value of direct and indirect MRI findings.

Background/aim: Osteosarcoma is the most common primary malignant bone tumor in adolescents, and the evaluation of joint invasion with MRI is important for treatment planning. This study aimed to investigate the diagnostic value of MRI findings (direct and indirect) for joint invasion in patients diagnosed with osteosarcoma of the knee region.

Materials and methods: The MRI evaluations of 50 knee osteosarcoma patients who underwent surgical resection between 2006 and 2018 were reviewed retrospectively by two radiologists and an orthopedic oncologist. The presence of intrasynovial tumor tissue, intra-articular destruction of cartilage or bone, and invasion of the capsular and cruciate ligament insertions were evaluated as direct findings in the diagnosis of joint invasion on MRI. Indirect findings included tumor size, adjacent epiphyseal bone signal changes- bone marrow infiltration and edema, synovial contrast enhancement, and joint effusion. These findings were scored separately on a 5-point Likert scale and statistically compared with histopathologic results.

Results: The mean age of the patients was 22 years and the gender distribution was 21 females and 29 males. The best predictors for joint invasion were direct visualization of capsular insertion invasion (p < 0.05) and destruction of intraarticular bone (p < 0.05). MRI findings with statistically significant sensitivity and specificity: intrasynovial tumor tissue specificity 76%, sensitivity 58%; intra-articular cartilage destruction specificity 84%, sensitivity 56%; intra-articular bone destruction sensitivity 84%, specificity 48%; capsular insertion invasion sensitivity 92%, specificity 48%. Synovial effusion and contrast enhancement were the most sensitive indirect signs but lacked specificity.

Conclusion: Joint invasion by osteosarcoma can reliably be assessed on preoperative MR images with high sensitivity and specificity. Particularly direct visualization of intrasynovial tumor tissue, capsular insertion invasion, and destruction of intraarticular bone and cartilage, a combination of highly specific direct signs was valuable, while indirect signs were less predictive and specific.

求助全文
通过发布文献求助,成功后即可免费获取论文全文。 去求助
来源期刊
Turkish Journal of Medical Sciences
Turkish Journal of Medical Sciences 医学-医学:内科
CiteScore
4.60
自引率
4.30%
发文量
143
审稿时长
3-8 weeks
期刊介绍: Turkish Journal of Medical sciences is a peer-reviewed comprehensive resource that provides critical up-to-date information on the broad spectrum of general medical sciences. The Journal intended to publish original medical scientific papers regarding the priority based on the prominence, significance, and timeliness of the findings. However since the audience of the Journal is not limited to any subspeciality in a wide variety of medical disciplines, the papers focusing on the technical  details of a given medical  subspeciality may not be evaluated for publication.
×
引用
GB/T 7714-2015
复制
MLA
复制
APA
复制
导出至
BibTeX EndNote RefMan NoteFirst NoteExpress
×
提示
您的信息不完整,为了账户安全,请先补充。
现在去补充
×
提示
您因"违规操作"
具体请查看互助需知
我知道了
×
提示
确定
请完成安全验证×
copy
已复制链接
快去分享给好友吧!
我知道了
右上角分享
点击右上角分享
0
联系我们:info@booksci.cn Book学术提供免费学术资源搜索服务,方便国内外学者检索中英文文献。致力于提供最便捷和优质的服务体验。 Copyright © 2023 布克学术 All rights reserved.
京ICP备2023020795号-1
ghs 京公网安备 11010802042870号
Book学术文献互助
Book学术文献互助群
群 号:604180095
Book学术官方微信