原发性醛固酮增多症患者双侧肾上腺静脉取样成功,单侧肾上腺切除术效果更好。

IF 1.7 3区 医学 Q4 ANDROLOGY
Translational andrology and urology Pub Date : 2025-06-30 Epub Date: 2025-06-19 DOI:10.21037/tau-2025-89
Zhipeng Sun, Baoan Hong, Yuxuan Wang, Xuezhou Zhang, Wei Wang, Qi Miao, Mingchuan Li, Yuxuan Bo, Ning Zhang
{"title":"原发性醛固酮增多症患者双侧肾上腺静脉取样成功,单侧肾上腺切除术效果更好。","authors":"Zhipeng Sun, Baoan Hong, Yuxuan Wang, Xuezhou Zhang, Wei Wang, Qi Miao, Mingchuan Li, Yuxuan Bo, Ning Zhang","doi":"10.21037/tau-2025-89","DOIUrl":null,"url":null,"abstract":"<p><strong>Background: </strong>Adrenal vein sampling (AVS) is the gold standard for diagnosing the dominant side in patients with primary aldosteronism (PA). <i>CYP11B2</i> encodes aldosterone synthase. The aim of this study was to investigate the prognosis of dominant-side adrenalectomy in patients with PA identified by AVS in the context of aldosterone synthase expression in the postoperative pathology of those patients.</p><p><strong>Methods: </strong>This retrospective study included 73 PA patients who underwent AVS followed by unilateral adrenalectomy. Patients were categorized into AVS bilateral success group, AVS unilateral success group, and AVS bilateral failure group based on their AVS status. Immunohistochemistry (IHC) for CYP11B2 was combined with postoperative pathology in these patients, and the clinical and biochemical prognosis of these patients was assessed 6 months after adrenalectomy.</p><p><strong>Results: </strong>Between September 2023 and September 2024, 73 patients underwent unilateral adrenalectomy guided by AVS at our institution, with CYP11B2 IHC successfully performed in 63 cases. Among these, 21 patients (33.33%) achieved bilateral AVS success, 20 (31.75%) demonstrated unilateral AVS success, and 22 (34.92%) exhibited bilateral AVS failure. Pathological analysis of the bilateral AVS success group revealed aldosterone-producing adenoma (APA) in 12 cases, aldosterone-producing micronodule (APM) in 1, multiple-aldosterone-producing micronodules/nodules (MAPM/MAPN) in 2, aldosterone-producing diffuse hyperplasia (APDH) in 1, APA with MAPM in 3, and APA with APDH in 2. In this group, complete and partial clinical success rates were 47.62% (10/21) and 52.38% (11/21), respectively, while biochemical success rates reached 95.24% (20/21) for complete and 4.76% (1/21) for partial success. The unilateral AVS success cohort included APA (n=8), aldosterone-producing nodule (APN) (n=2), MAPM/MAPN (n=3), APA with MAPM (n=4), APA with APDH (n=2), and 1 CYP11B2 IHC-negative lesion, with clinical success rates of 40.00% (8/20) complete and 60.00% (12/20) partial, alongside 90.00% (18/20) complete and 10.00% (2/20) partial biochemical success. The bilateral AVS failure group comprised APA (n=8), MAPM/MAPN (n=1), APA with MAPM (n=5), APA with APDH (n=2), and 6 CYP11B2 IHC-negative lesions, demonstrating 36.36% (8/22) complete, 50.00% (11/22) partial, and 13.64% (3/22) no clinical success, with biochemical outcomes of 72.73% (16/22) complete, 18.18% (4/22) partial, and 9.09% (2/22) no success. Notably, bilateral AVS success correlated with significantly superior biochemical outcomes compared to bilateral failure (P=0.045).</p><p><strong>Conclusions: </strong>Adrenalectomy guided by AVS yields better outcomes in patients with PA when AVS is successful on both sides compared to those with bilateral AVS failure. The source of excess aldosterone secretion on the dominant side identified by AVS is not necessarily an APA/APN. It may also include MAPM/MAPN, diffuse adrenal cortical hyperplasia, and various complex combined conditions. In patients with bilateral AVS failure, adrenal specimens more frequently exhibit negative immunohistochemical staining for CYP11B2.</p>","PeriodicalId":23270,"journal":{"name":"Translational andrology and urology","volume":"14 6","pages":"1503-1519"},"PeriodicalIF":1.7000,"publicationDate":"2025-06-30","publicationTypes":"Journal Article","fieldsOfStudy":null,"isOpenAccess":false,"openAccessPdf":"https://www.ncbi.nlm.nih.gov/pmc/articles/PMC12271940/pdf/","citationCount":"0","resultStr":"{\"title\":\"Primary aldosteronism patients with bilateral adrenal vein sampling success achieve better outcomes through unilateral adrenalectomy.\",\"authors\":\"Zhipeng Sun, Baoan Hong, Yuxuan Wang, Xuezhou Zhang, Wei Wang, Qi Miao, Mingchuan Li, Yuxuan Bo, Ning Zhang\",\"doi\":\"10.21037/tau-2025-89\",\"DOIUrl\":null,\"url\":null,\"abstract\":\"<p><strong>Background: </strong>Adrenal vein sampling (AVS) is the gold standard for diagnosing the dominant side in patients with primary aldosteronism (PA). <i>CYP11B2</i> encodes aldosterone synthase. The aim of this study was to investigate the prognosis of dominant-side adrenalectomy in patients with PA identified by AVS in the context of aldosterone synthase expression in the postoperative pathology of those patients.</p><p><strong>Methods: </strong>This retrospective study included 73 PA patients who underwent AVS followed by unilateral adrenalectomy. Patients were categorized into AVS bilateral success group, AVS unilateral success group, and AVS bilateral failure group based on their AVS status. Immunohistochemistry (IHC) for CYP11B2 was combined with postoperative pathology in these patients, and the clinical and biochemical prognosis of these patients was assessed 6 months after adrenalectomy.</p><p><strong>Results: </strong>Between September 2023 and September 2024, 73 patients underwent unilateral adrenalectomy guided by AVS at our institution, with CYP11B2 IHC successfully performed in 63 cases. Among these, 21 patients (33.33%) achieved bilateral AVS success, 20 (31.75%) demonstrated unilateral AVS success, and 22 (34.92%) exhibited bilateral AVS failure. Pathological analysis of the bilateral AVS success group revealed aldosterone-producing adenoma (APA) in 12 cases, aldosterone-producing micronodule (APM) in 1, multiple-aldosterone-producing micronodules/nodules (MAPM/MAPN) in 2, aldosterone-producing diffuse hyperplasia (APDH) in 1, APA with MAPM in 3, and APA with APDH in 2. In this group, complete and partial clinical success rates were 47.62% (10/21) and 52.38% (11/21), respectively, while biochemical success rates reached 95.24% (20/21) for complete and 4.76% (1/21) for partial success. The unilateral AVS success cohort included APA (n=8), aldosterone-producing nodule (APN) (n=2), MAPM/MAPN (n=3), APA with MAPM (n=4), APA with APDH (n=2), and 1 CYP11B2 IHC-negative lesion, with clinical success rates of 40.00% (8/20) complete and 60.00% (12/20) partial, alongside 90.00% (18/20) complete and 10.00% (2/20) partial biochemical success. The bilateral AVS failure group comprised APA (n=8), MAPM/MAPN (n=1), APA with MAPM (n=5), APA with APDH (n=2), and 6 CYP11B2 IHC-negative lesions, demonstrating 36.36% (8/22) complete, 50.00% (11/22) partial, and 13.64% (3/22) no clinical success, with biochemical outcomes of 72.73% (16/22) complete, 18.18% (4/22) partial, and 9.09% (2/22) no success. Notably, bilateral AVS success correlated with significantly superior biochemical outcomes compared to bilateral failure (P=0.045).</p><p><strong>Conclusions: </strong>Adrenalectomy guided by AVS yields better outcomes in patients with PA when AVS is successful on both sides compared to those with bilateral AVS failure. The source of excess aldosterone secretion on the dominant side identified by AVS is not necessarily an APA/APN. It may also include MAPM/MAPN, diffuse adrenal cortical hyperplasia, and various complex combined conditions. In patients with bilateral AVS failure, adrenal specimens more frequently exhibit negative immunohistochemical staining for CYP11B2.</p>\",\"PeriodicalId\":23270,\"journal\":{\"name\":\"Translational andrology and urology\",\"volume\":\"14 6\",\"pages\":\"1503-1519\"},\"PeriodicalIF\":1.7000,\"publicationDate\":\"2025-06-30\",\"publicationTypes\":\"Journal Article\",\"fieldsOfStudy\":null,\"isOpenAccess\":false,\"openAccessPdf\":\"https://www.ncbi.nlm.nih.gov/pmc/articles/PMC12271940/pdf/\",\"citationCount\":\"0\",\"resultStr\":null,\"platform\":\"Semanticscholar\",\"paperid\":null,\"PeriodicalName\":\"Translational andrology and urology\",\"FirstCategoryId\":\"3\",\"ListUrlMain\":\"https://doi.org/10.21037/tau-2025-89\",\"RegionNum\":3,\"RegionCategory\":\"医学\",\"ArticlePicture\":[],\"TitleCN\":null,\"AbstractTextCN\":null,\"PMCID\":null,\"EPubDate\":\"2025/6/19 0:00:00\",\"PubModel\":\"Epub\",\"JCR\":\"Q4\",\"JCRName\":\"ANDROLOGY\",\"Score\":null,\"Total\":0}","platform":"Semanticscholar","paperid":null,"PeriodicalName":"Translational andrology and urology","FirstCategoryId":"3","ListUrlMain":"https://doi.org/10.21037/tau-2025-89","RegionNum":3,"RegionCategory":"医学","ArticlePicture":[],"TitleCN":null,"AbstractTextCN":null,"PMCID":null,"EPubDate":"2025/6/19 0:00:00","PubModel":"Epub","JCR":"Q4","JCRName":"ANDROLOGY","Score":null,"Total":0}
引用次数: 0

摘要

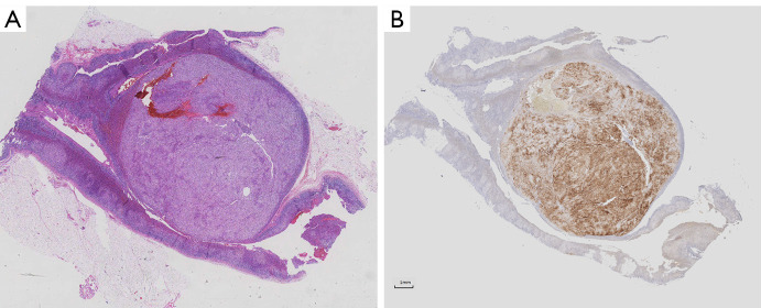
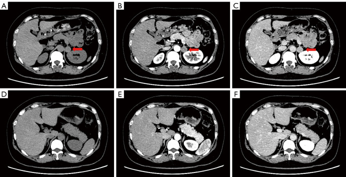
背景:肾上腺静脉取样(AVS)是诊断原发性醛固酮增多症(PA)患者优势侧的金标准。CYP11B2编码醛固酮合成酶。本研究的目的是通过AVS检测PA患者术后病理中醛固酮合酶的表达,探讨优势侧肾上腺切除术的预后。方法:回顾性研究73例PA患者行AVS后单侧肾上腺切除术。根据AVS状态将患者分为双侧AVS成功组、单侧AVS成功组和双侧AVS失败组。结合患者的免疫组化(IHC)检测CYP11B2并结合术后病理,评估患者在肾上腺切除术后6个月的临床及生化预后。结果:2023年9月至2024年9月,我院73例患者行AVS引导下单侧肾上腺切除术,63例患者成功行CYP11B2免疫组化。其中,双侧AVS成功21例(33.33%),单侧AVS成功20例(31.75%),双侧AVS失败22例(34.92%)。双侧AVS成功组病理分析显示:醛固酮生成腺瘤(APA) 12例,醛固酮生成微结节(APM) 1例,多发醛固酮生成微结节/结节(MAPM/MAPN) 2例,醛固酮生成弥漫性增生(APDH) 1例,APA合并MAPM 3例,APA合并APDH 2例。本组临床完全和部分成功率分别为47.62%(10/21)和52.38%(11/21),生化完全和部分成功率分别为95.24%(20/21)和4.76%(1/21)。单侧AVS成功队列包括APA (n=8)、醛酮生成结节(APN) (n=2)、MAPM/MAPN (n=3)、APA合并MAPM (n=4)、APA合并APDH (n=2)和1个CYP11B2 ihc阴性病变,临床成功率为40.00%(8/20)完全和60.00%(12/20)部分,90.00%(18/20)完全和10.00%(2/20)部分生化成功。双侧AVS失败组包括APA (n=8)、MAPM/MAPN (n=1)、APA合并MAPM (n=5)、APA合并APDH (n=2)、CYP11B2 ihc阴性病变6个,临床无成功36.36%(8/22)、50.00%(11/22)、13.64%(3/22),生化结果为72.73%(16/22)完全、18.18%(4/22)部分、9.09%(2/22)无成功。值得注意的是,与双侧AVS失败相比,双侧AVS成功与显著优于双侧的生化结果相关(P=0.045)。结论:与双侧AVS失败的患者相比,双侧AVS成功的PA患者在AVS引导下的肾上腺切除术效果更好。AVS鉴定的优势侧过量醛固酮分泌的来源不一定是APA/APN。它也可能包括MAPM/MAPN、弥漫性肾上腺皮质增生和各种复杂的联合病症。在双侧AVS功能衰竭的患者中,肾上腺标本的CYP11B2免疫组化染色更常见为阴性。
本文章由计算机程序翻译,如有差异,请以英文原文为准。

Primary aldosteronism patients with bilateral adrenal vein sampling success achieve better outcomes through unilateral adrenalectomy.

Primary aldosteronism patients with bilateral adrenal vein sampling success achieve better outcomes through unilateral adrenalectomy.

Primary aldosteronism patients with bilateral adrenal vein sampling success achieve better outcomes through unilateral adrenalectomy.

Primary aldosteronism patients with bilateral adrenal vein sampling success achieve better outcomes through unilateral adrenalectomy.

Background: Adrenal vein sampling (AVS) is the gold standard for diagnosing the dominant side in patients with primary aldosteronism (PA). CYP11B2 encodes aldosterone synthase. The aim of this study was to investigate the prognosis of dominant-side adrenalectomy in patients with PA identified by AVS in the context of aldosterone synthase expression in the postoperative pathology of those patients.

Methods: This retrospective study included 73 PA patients who underwent AVS followed by unilateral adrenalectomy. Patients were categorized into AVS bilateral success group, AVS unilateral success group, and AVS bilateral failure group based on their AVS status. Immunohistochemistry (IHC) for CYP11B2 was combined with postoperative pathology in these patients, and the clinical and biochemical prognosis of these patients was assessed 6 months after adrenalectomy.

Results: Between September 2023 and September 2024, 73 patients underwent unilateral adrenalectomy guided by AVS at our institution, with CYP11B2 IHC successfully performed in 63 cases. Among these, 21 patients (33.33%) achieved bilateral AVS success, 20 (31.75%) demonstrated unilateral AVS success, and 22 (34.92%) exhibited bilateral AVS failure. Pathological analysis of the bilateral AVS success group revealed aldosterone-producing adenoma (APA) in 12 cases, aldosterone-producing micronodule (APM) in 1, multiple-aldosterone-producing micronodules/nodules (MAPM/MAPN) in 2, aldosterone-producing diffuse hyperplasia (APDH) in 1, APA with MAPM in 3, and APA with APDH in 2. In this group, complete and partial clinical success rates were 47.62% (10/21) and 52.38% (11/21), respectively, while biochemical success rates reached 95.24% (20/21) for complete and 4.76% (1/21) for partial success. The unilateral AVS success cohort included APA (n=8), aldosterone-producing nodule (APN) (n=2), MAPM/MAPN (n=3), APA with MAPM (n=4), APA with APDH (n=2), and 1 CYP11B2 IHC-negative lesion, with clinical success rates of 40.00% (8/20) complete and 60.00% (12/20) partial, alongside 90.00% (18/20) complete and 10.00% (2/20) partial biochemical success. The bilateral AVS failure group comprised APA (n=8), MAPM/MAPN (n=1), APA with MAPM (n=5), APA with APDH (n=2), and 6 CYP11B2 IHC-negative lesions, demonstrating 36.36% (8/22) complete, 50.00% (11/22) partial, and 13.64% (3/22) no clinical success, with biochemical outcomes of 72.73% (16/22) complete, 18.18% (4/22) partial, and 9.09% (2/22) no success. Notably, bilateral AVS success correlated with significantly superior biochemical outcomes compared to bilateral failure (P=0.045).

Conclusions: Adrenalectomy guided by AVS yields better outcomes in patients with PA when AVS is successful on both sides compared to those with bilateral AVS failure. The source of excess aldosterone secretion on the dominant side identified by AVS is not necessarily an APA/APN. It may also include MAPM/MAPN, diffuse adrenal cortical hyperplasia, and various complex combined conditions. In patients with bilateral AVS failure, adrenal specimens more frequently exhibit negative immunohistochemical staining for CYP11B2.

求助全文
通过发布文献求助,成功后即可免费获取论文全文。 去求助
来源期刊
CiteScore
4.10
自引率
5.00%
发文量
80
期刊介绍: ranslational Andrology and Urology (Print ISSN 2223-4683; Online ISSN 2223-4691; Transl Androl Urol; TAU) is an open access, peer-reviewed, bi-monthly journal (quarterly published from Mar.2012 - Dec. 2014). The main focus of the journal is to describe new findings in the field of translational research of Andrology and Urology, provides current and practical information on basic research and clinical investigations of Andrology and Urology. Specific areas of interest include, but not limited to, molecular study, pathology, biology and technical advances related to andrology and urology. Topics cover range from evaluation, prevention, diagnosis, therapy, prognosis, rehabilitation and future challenges to urology and andrology. Contributions pertinent to urology and andrology are also included from related fields such as public health, basic sciences, education, sociology, and nursing.
×
引用
GB/T 7714-2015
复制
MLA
复制
APA
复制
导出至
BibTeX EndNote RefMan NoteFirst NoteExpress
×
提示
您的信息不完整,为了账户安全,请先补充。
现在去补充
×
提示
您因"违规操作"
具体请查看互助需知
我知道了
×
提示
确定
请完成安全验证×
copy
已复制链接
快去分享给好友吧!
我知道了
右上角分享
点击右上角分享
0
联系我们:info@booksci.cn Book学术提供免费学术资源搜索服务,方便国内外学者检索中英文文献。致力于提供最便捷和优质的服务体验。 Copyright © 2023 布克学术 All rights reserved.
京ICP备2023020795号-1
ghs 京公网安备 11010802042870号
Book学术文献互助
Book学术文献互助群
群 号:604180095
Book学术官方微信