COVID-19患者计算机断层扫描模式与疫苗接种状况的关系

Q3 Medicine
Radiologia Brasileira Pub Date : 2025-07-17 eCollection Date: 2025-01-01 DOI:10.1590/0100-3984.2025.0004
Laís Rodrigues Bertoche, Waldinei Mercês Rodrigues, Caroline von Abel de Sousa, Vitor Maltoni Damasio, Hélder Jorge Andrade Gomes, Eduardo Vieira Ponte
{"title":"COVID-19患者计算机断层扫描模式与疫苗接种状况的关系","authors":"Laís Rodrigues Bertoche, Waldinei Mercês Rodrigues, Caroline von Abel de Sousa, Vitor Maltoni Damasio, Hélder Jorge Andrade Gomes, Eduardo Vieira Ponte","doi":"10.1590/0100-3984.2025.0004","DOIUrl":null,"url":null,"abstract":"<p><strong>Objective: </strong>To evaluate the frequency of the typical computed tomography (CT) pattern in individuals with coronavirus 2019 (COVID-19), comparing those who were vaccinated with those who were unvaccinated.</p><p><strong>Materials and methods: </strong>This was a retrospective study of the medical records of patients with clinical suspicion of COVID-19 between August 2021 and February 2022. The vaccination status was classified as absent/incomplete (0 or 1 dose) or complete (2 or more doses). The pattern seen on the first chest CT was defined as typical, atypical, indeterminate, or normal, the last three patterns being combined to form what was designated the non-typical group.</p><p><strong>Results: </strong>Binary logistic regression analysis showed that individuals with a complete vaccination status were less likely to present with the typical CT pattern than were those with an absent/incomplete vaccination status (adjusted OR = 0.19, 95% CI: 0.06-0.60).</p><p><strong>Conclusion: </strong>This information is important because it demonstrates that the frequency of the CT pattern considered typical of COVID-19 is currently lower than it was before the vaccines became available. Therefore, the typical CT pattern is no longer expected.</p>","PeriodicalId":20842,"journal":{"name":"Radiologia Brasileira","volume":"58 ","pages":"e20250004"},"PeriodicalIF":0.0000,"publicationDate":"2025-07-17","publicationTypes":"Journal Article","fieldsOfStudy":null,"isOpenAccess":false,"openAccessPdf":"https://www.ncbi.nlm.nih.gov/pmc/articles/PMC12274022/pdf/","citationCount":"0","resultStr":"{\"title\":\"Relationship between the computed tomography pattern and vaccination status in individuals with COVID-19.\",\"authors\":\"Laís Rodrigues Bertoche, Waldinei Mercês Rodrigues, Caroline von Abel de Sousa, Vitor Maltoni Damasio, Hélder Jorge Andrade Gomes, Eduardo Vieira Ponte\",\"doi\":\"10.1590/0100-3984.2025.0004\",\"DOIUrl\":null,\"url\":null,\"abstract\":\"<p><strong>Objective: </strong>To evaluate the frequency of the typical computed tomography (CT) pattern in individuals with coronavirus 2019 (COVID-19), comparing those who were vaccinated with those who were unvaccinated.</p><p><strong>Materials and methods: </strong>This was a retrospective study of the medical records of patients with clinical suspicion of COVID-19 between August 2021 and February 2022. The vaccination status was classified as absent/incomplete (0 or 1 dose) or complete (2 or more doses). The pattern seen on the first chest CT was defined as typical, atypical, indeterminate, or normal, the last three patterns being combined to form what was designated the non-typical group.</p><p><strong>Results: </strong>Binary logistic regression analysis showed that individuals with a complete vaccination status were less likely to present with the typical CT pattern than were those with an absent/incomplete vaccination status (adjusted OR = 0.19, 95% CI: 0.06-0.60).</p><p><strong>Conclusion: </strong>This information is important because it demonstrates that the frequency of the CT pattern considered typical of COVID-19 is currently lower than it was before the vaccines became available. Therefore, the typical CT pattern is no longer expected.</p>\",\"PeriodicalId\":20842,\"journal\":{\"name\":\"Radiologia Brasileira\",\"volume\":\"58 \",\"pages\":\"e20250004\"},\"PeriodicalIF\":0.0000,\"publicationDate\":\"2025-07-17\",\"publicationTypes\":\"Journal Article\",\"fieldsOfStudy\":null,\"isOpenAccess\":false,\"openAccessPdf\":\"https://www.ncbi.nlm.nih.gov/pmc/articles/PMC12274022/pdf/\",\"citationCount\":\"0\",\"resultStr\":null,\"platform\":\"Semanticscholar\",\"paperid\":null,\"PeriodicalName\":\"Radiologia Brasileira\",\"FirstCategoryId\":\"1085\",\"ListUrlMain\":\"https://doi.org/10.1590/0100-3984.2025.0004\",\"RegionNum\":0,\"RegionCategory\":null,\"ArticlePicture\":[],\"TitleCN\":null,\"AbstractTextCN\":null,\"PMCID\":null,\"EPubDate\":\"2025/1/1 0:00:00\",\"PubModel\":\"eCollection\",\"JCR\":\"Q3\",\"JCRName\":\"Medicine\",\"Score\":null,\"Total\":0}","platform":"Semanticscholar","paperid":null,"PeriodicalName":"Radiologia Brasileira","FirstCategoryId":"1085","ListUrlMain":"https://doi.org/10.1590/0100-3984.2025.0004","RegionNum":0,"RegionCategory":null,"ArticlePicture":[],"TitleCN":null,"AbstractTextCN":null,"PMCID":null,"EPubDate":"2025/1/1 0:00:00","PubModel":"eCollection","JCR":"Q3","JCRName":"Medicine","Score":null,"Total":0}
引用次数: 0

摘要

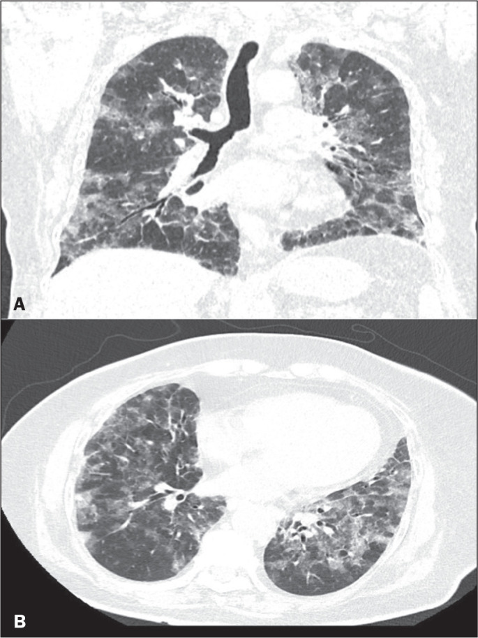
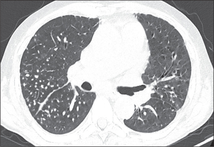
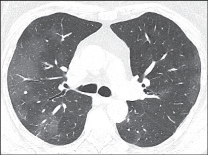
目的:评估2019冠状病毒(COVID-19)感染者典型CT扫描频率,并比较接种疫苗和未接种疫苗的人群。材料与方法:对2021年8月至2022年2月期间临床疑似COVID-19患者的病历进行回顾性研究。疫苗接种状态分为未接种/未接种(0或1剂)或已接种(2剂或更多剂)。在第一次胸部CT上所见的模式被定义为典型、非典型、不确定或正常,后三种模式被合并为非典型组。结果:二元logistic回归分析显示,完全接种疫苗的个体呈现典型CT模式的可能性低于未接种或不完全接种疫苗的个体(调整后OR = 0.19, 95% CI: 0.06-0.60)。结论:这一信息很重要,因为它表明,目前被认为是COVID-19典型的CT模式的频率低于疫苗可用之前的频率。因此,不再期望典型的CT表现。
本文章由计算机程序翻译,如有差异,请以英文原文为准。

Relationship between the computed tomography pattern and vaccination status in individuals with COVID-19.

Relationship between the computed tomography pattern and vaccination status in individuals with COVID-19.

Relationship between the computed tomography pattern and vaccination status in individuals with COVID-19.

Relationship between the computed tomography pattern and vaccination status in individuals with COVID-19.

Objective: To evaluate the frequency of the typical computed tomography (CT) pattern in individuals with coronavirus 2019 (COVID-19), comparing those who were vaccinated with those who were unvaccinated.

Materials and methods: This was a retrospective study of the medical records of patients with clinical suspicion of COVID-19 between August 2021 and February 2022. The vaccination status was classified as absent/incomplete (0 or 1 dose) or complete (2 or more doses). The pattern seen on the first chest CT was defined as typical, atypical, indeterminate, or normal, the last three patterns being combined to form what was designated the non-typical group.

Results: Binary logistic regression analysis showed that individuals with a complete vaccination status were less likely to present with the typical CT pattern than were those with an absent/incomplete vaccination status (adjusted OR = 0.19, 95% CI: 0.06-0.60).

Conclusion: This information is important because it demonstrates that the frequency of the CT pattern considered typical of COVID-19 is currently lower than it was before the vaccines became available. Therefore, the typical CT pattern is no longer expected.

求助全文
通过发布文献求助,成功后即可免费获取论文全文。 去求助
来源期刊
Radiologia Brasileira
Radiologia Brasileira Medicine-Radiology, Nuclear Medicine and Imaging
CiteScore
2.60
自引率
0.00%
发文量
75
审稿时长
28 weeks
×
引用
GB/T 7714-2015
复制
MLA
复制
APA
复制
导出至
BibTeX EndNote RefMan NoteFirst NoteExpress
×
提示
您的信息不完整,为了账户安全,请先补充。
现在去补充
×
提示
您因"违规操作"
具体请查看互助需知
我知道了
×
提示
确定
请完成安全验证×
copy
已复制链接
快去分享给好友吧!
我知道了
右上角分享
点击右上角分享
0
联系我们:info@booksci.cn Book学术提供免费学术资源搜索服务,方便国内外学者检索中英文文献。致力于提供最便捷和优质的服务体验。 Copyright © 2023 布克学术 All rights reserved.
京ICP备2023020795号-1
ghs 京公网安备 11010802042870号
Book学术文献互助
Book学术文献互助群
群 号:604180095
Book学术官方微信