15只猫胃肠同步小细胞淋巴瘤和胃肠肥大细胞瘤的标准化分类。

IF 2.1 2区 农林科学 Q2 VETERINARY SCIENCES
Journal of Feline Medicine and Surgery Pub Date : 2025-07-01 Epub Date: 2025-07-20 DOI:10.1177/1098612X251341769
Ann E Hohenhaus, Danielle Hudak, Taryn A Donovan, Christof A Bertram, Heather Daverio
{"title":"15只猫胃肠同步小细胞淋巴瘤和胃肠肥大细胞瘤的标准化分类。","authors":"Ann E Hohenhaus, Danielle Hudak, Taryn A Donovan, Christof A Bertram, Heather Daverio","doi":"10.1177/1098612X251341769","DOIUrl":null,"url":null,"abstract":"<p><p>ObjectivesSynchronous primary tumors have been defined as two or more concurrent, yet independent tumors diagnosed within 6 months or less. The primary objective of this study was to investigate the occurrence and clinical findings in cats with synchronous gastrointestinal (GI) small cell lymphoma (SCL) and GI mast cell tumor (MCT) at two referral hospitals. A secondary objective was to classify these tumors as distinct or mixed, and if mixed, categorize them histomorphologically as collision or combined tumors based on standardized definitions informed by literature review.MethodsThe databases of the Schwarzman Animal Medical Center (AMC) and University of Veterinary Medicine in Vienna, Austria (Vetmeduni) were searched between January 2012 and December 2022 for cats with synchronous GI SCL and GI MCT. Clinical findings, treatment and outcome were abstracted from medical records. Biopsy or autopsy reports and, when available, slides and/or histopathology images indicating the presence of a synchronous GI SCL and GI MCT were reviewed by two board-certified pathologists.ResultsA total of 15 cats were diagnosed with synchronous GI SCL and GI MCT, representing 4.3% of 329 cats with GI SCL in the AMC population. This study identified 15 cats with a total of 18 synchronous tumors. Six cats had tumors classified as distinct tumors and six as combined. Three cats had both distinct and combined tumors. Survival in this group of cats was in the range of 8-1189 days.Conclusions and relevanceThis is the first report to classify synchronous tumors in cats as distinct and combined tumors. The results of this study indicate a wide range of survival times for cats with synchronous GI SCL and GI MCT, suggesting that despite the diagnosis of synchronous tumors, the outcome is similar to cats with either GI SCL or GI MCT.</p>","PeriodicalId":15851,"journal":{"name":"Journal of Feline Medicine and Surgery","volume":"27 7","pages":"1098612X251341769"},"PeriodicalIF":2.1000,"publicationDate":"2025-07-01","publicationTypes":"Journal Article","fieldsOfStudy":null,"isOpenAccess":false,"openAccessPdf":"https://www.ncbi.nlm.nih.gov/pmc/articles/PMC12277675/pdf/","citationCount":"0","resultStr":"{\"title\":\"Standardized classification of synchronous gastrointestinal small cell lymphoma and gastrointestinal mast cell tumors in 15 cats.\",\"authors\":\"Ann E Hohenhaus, Danielle Hudak, Taryn A Donovan, Christof A Bertram, Heather Daverio\",\"doi\":\"10.1177/1098612X251341769\",\"DOIUrl\":null,\"url\":null,\"abstract\":\"<p><p>ObjectivesSynchronous primary tumors have been defined as two or more concurrent, yet independent tumors diagnosed within 6 months or less. The primary objective of this study was to investigate the occurrence and clinical findings in cats with synchronous gastrointestinal (GI) small cell lymphoma (SCL) and GI mast cell tumor (MCT) at two referral hospitals. A secondary objective was to classify these tumors as distinct or mixed, and if mixed, categorize them histomorphologically as collision or combined tumors based on standardized definitions informed by literature review.MethodsThe databases of the Schwarzman Animal Medical Center (AMC) and University of Veterinary Medicine in Vienna, Austria (Vetmeduni) were searched between January 2012 and December 2022 for cats with synchronous GI SCL and GI MCT. Clinical findings, treatment and outcome were abstracted from medical records. Biopsy or autopsy reports and, when available, slides and/or histopathology images indicating the presence of a synchronous GI SCL and GI MCT were reviewed by two board-certified pathologists.ResultsA total of 15 cats were diagnosed with synchronous GI SCL and GI MCT, representing 4.3% of 329 cats with GI SCL in the AMC population. This study identified 15 cats with a total of 18 synchronous tumors. Six cats had tumors classified as distinct tumors and six as combined. Three cats had both distinct and combined tumors. Survival in this group of cats was in the range of 8-1189 days.Conclusions and relevanceThis is the first report to classify synchronous tumors in cats as distinct and combined tumors. The results of this study indicate a wide range of survival times for cats with synchronous GI SCL and GI MCT, suggesting that despite the diagnosis of synchronous tumors, the outcome is similar to cats with either GI SCL or GI MCT.</p>\",\"PeriodicalId\":15851,\"journal\":{\"name\":\"Journal of Feline Medicine and Surgery\",\"volume\":\"27 7\",\"pages\":\"1098612X251341769\"},\"PeriodicalIF\":2.1000,\"publicationDate\":\"2025-07-01\",\"publicationTypes\":\"Journal Article\",\"fieldsOfStudy\":null,\"isOpenAccess\":false,\"openAccessPdf\":\"https://www.ncbi.nlm.nih.gov/pmc/articles/PMC12277675/pdf/\",\"citationCount\":\"0\",\"resultStr\":null,\"platform\":\"Semanticscholar\",\"paperid\":null,\"PeriodicalName\":\"Journal of Feline Medicine and Surgery\",\"FirstCategoryId\":\"97\",\"ListUrlMain\":\"https://doi.org/10.1177/1098612X251341769\",\"RegionNum\":2,\"RegionCategory\":\"农林科学\",\"ArticlePicture\":[],\"TitleCN\":null,\"AbstractTextCN\":null,\"PMCID\":null,\"EPubDate\":\"2025/7/20 0:00:00\",\"PubModel\":\"Epub\",\"JCR\":\"Q2\",\"JCRName\":\"VETERINARY SCIENCES\",\"Score\":null,\"Total\":0}","platform":"Semanticscholar","paperid":null,"PeriodicalName":"Journal of Feline Medicine and Surgery","FirstCategoryId":"97","ListUrlMain":"https://doi.org/10.1177/1098612X251341769","RegionNum":2,"RegionCategory":"农林科学","ArticlePicture":[],"TitleCN":null,"AbstractTextCN":null,"PMCID":null,"EPubDate":"2025/7/20 0:00:00","PubModel":"Epub","JCR":"Q2","JCRName":"VETERINARY SCIENCES","Score":null,"Total":0}
引用次数: 0

摘要

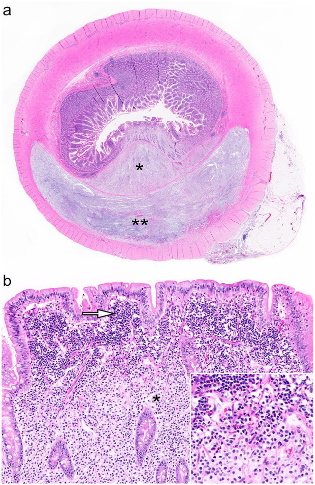
目的:同步原发肿瘤被定义为在6个月或更短时间内诊断出两个或多个并发但独立的肿瘤。本研究的主要目的是调查在两家转诊医院患有同步胃肠道(GI)小细胞淋巴瘤(SCL)和胃肠道肥大细胞瘤(MCT)的猫的发生和临床表现。次要目的是将这些肿瘤分类为单独或混合,如果混合,则根据文献综述的标准化定义在组织学上将其分类为碰撞或合并肿瘤。方法检索2012年1月至2022年12月期间奥地利Schwarzman动物医学中心(AMC)和奥地利维也纳兽医大学(Vetmeduni)数据库中同时发生GI SCL和GI MCT的猫。临床表现、治疗和结果从病历中提取。活检或尸检报告,如果有的话,切片和/或组织病理学图像表明存在同步胃肠道SCL和胃肠道MCT,由两名委员会认证的病理学家审查。结果共有15只猫被诊断为同步GI SCL和GI MCT,占AMC人群中329只GI SCL猫的4.3%。这项研究确定了15只猫共18个同步肿瘤。6只猫的肿瘤被分类为单独的肿瘤,6只被分类为合并的肿瘤。三只猫有不同的和合并的肿瘤。这组猫的生存期在8-1189天之间。结论和相关性这是首次将猫的同步肿瘤分为不同肿瘤和合并肿瘤。本研究的结果表明,患有同步性GI SCL和GI MCT的猫的生存时间范围很广,这表明尽管诊断为同步肿瘤,但结果与患有GI SCL或GI MCT的猫相似。
本文章由计算机程序翻译,如有差异,请以英文原文为准。

Standardized classification of synchronous gastrointestinal small cell lymphoma and gastrointestinal mast cell tumors in 15 cats.

Standardized classification of synchronous gastrointestinal small cell lymphoma and gastrointestinal mast cell tumors in 15 cats.

Standardized classification of synchronous gastrointestinal small cell lymphoma and gastrointestinal mast cell tumors in 15 cats.

Standardized classification of synchronous gastrointestinal small cell lymphoma and gastrointestinal mast cell tumors in 15 cats.

ObjectivesSynchronous primary tumors have been defined as two or more concurrent, yet independent tumors diagnosed within 6 months or less. The primary objective of this study was to investigate the occurrence and clinical findings in cats with synchronous gastrointestinal (GI) small cell lymphoma (SCL) and GI mast cell tumor (MCT) at two referral hospitals. A secondary objective was to classify these tumors as distinct or mixed, and if mixed, categorize them histomorphologically as collision or combined tumors based on standardized definitions informed by literature review.MethodsThe databases of the Schwarzman Animal Medical Center (AMC) and University of Veterinary Medicine in Vienna, Austria (Vetmeduni) were searched between January 2012 and December 2022 for cats with synchronous GI SCL and GI MCT. Clinical findings, treatment and outcome were abstracted from medical records. Biopsy or autopsy reports and, when available, slides and/or histopathology images indicating the presence of a synchronous GI SCL and GI MCT were reviewed by two board-certified pathologists.ResultsA total of 15 cats were diagnosed with synchronous GI SCL and GI MCT, representing 4.3% of 329 cats with GI SCL in the AMC population. This study identified 15 cats with a total of 18 synchronous tumors. Six cats had tumors classified as distinct tumors and six as combined. Three cats had both distinct and combined tumors. Survival in this group of cats was in the range of 8-1189 days.Conclusions and relevanceThis is the first report to classify synchronous tumors in cats as distinct and combined tumors. The results of this study indicate a wide range of survival times for cats with synchronous GI SCL and GI MCT, suggesting that despite the diagnosis of synchronous tumors, the outcome is similar to cats with either GI SCL or GI MCT.

求助全文
通过发布文献求助,成功后即可免费获取论文全文。 去求助
来源期刊
CiteScore
3.90
自引率
17.60%
发文量
254
审稿时长
8-16 weeks
期刊介绍: JFMS is an international, peer-reviewed journal aimed at both practitioners and researchers with an interest in the clinical veterinary healthcare of domestic cats. The journal is published monthly in two formats: ‘Classic’ editions containing high-quality original papers on all aspects of feline medicine and surgery, including basic research relevant to clinical practice; and dedicated ‘Clinical Practice’ editions primarily containing opinionated review articles providing state-of-the-art information for feline clinicians, along with other relevant articles such as consensus guidelines.
×
引用
GB/T 7714-2015
复制
MLA
复制
APA
复制
导出至
BibTeX EndNote RefMan NoteFirst NoteExpress
×
提示
您的信息不完整,为了账户安全,请先补充。
现在去补充
×
提示
您因"违规操作"
具体请查看互助需知
我知道了
×
提示
确定
请完成安全验证×
copy
已复制链接
快去分享给好友吧!
我知道了
右上角分享
点击右上角分享
0
联系我们:info@booksci.cn Book学术提供免费学术资源搜索服务,方便国内外学者检索中英文文献。致力于提供最便捷和优质的服务体验。 Copyright © 2023 布克学术 All rights reserved.
京ICP备2023020795号-1
ghs 京公网安备 11010802042870号
Book学术文献互助
Book学术文献互助群
群 号:604180095
Book学术官方微信