弥散峰度与弥散加权磁共振成像鉴别透明细胞肾细胞癌和肾血管平滑肌脂肪瘤的比较研究。

IF 1.7 4区 医学 Q3 RADIOLOGY, NUCLEAR MEDICINE & MEDICAL IMAGING
Diagnostic and interventional radiology Pub Date : 2025-09-08 Epub Date: 2025-07-21 DOI:10.4274/dir.2025.242880
Yarong Lin, Wenrong Zhu, Qingqiang Zhu
{"title":"弥散峰度与弥散加权磁共振成像鉴别透明细胞肾细胞癌和肾血管平滑肌脂肪瘤的比较研究。","authors":"Yarong Lin, Wenrong Zhu, Qingqiang Zhu","doi":"10.4274/dir.2025.242880","DOIUrl":null,"url":null,"abstract":"<p><strong>Purpose: </strong>To quantitatively compare the diagnostic values of conventional diffusion-weighted imaging and diffusion kurtosis imaging (DKI) in differentiating clear cell renal cell carcinoma (ccRCC) and renal angiomyolipoma with minimal fat (RAMF).</p><p><strong>Methods: </strong>Sixty-eight patients with ccRCC and 18 patients with RAMF were retrospectively studied. For DKI and apparent diffusion coefficient (ADC), respiratory-triggered echo-planar imaging sequences were acquired in the axial plane (three <i>b</i>-values: 0, 1000, 2000 s/mm<sup>2</sup>; one <i>b</i>-value: 2000 s/mm<sup>2</sup>). Mean diffusivity (MD), fractional anisotropy (FA), mean kurtosis (MK), kurtosis anisotropy (KA), radial kurtosis (RK), and ADC were evaluated. The diagnostic efficacy of various diffusion parameters in predicting ccRCC and RAMF was compared.</p><p><strong>Results: </strong>The ADC and MD values of ccRCCs were higher than those of RAMFs (<i>P</i> < 0.05), whereas comparable FA, MK, and KA values were observed between ccRCCs and RAMFs (<i>P</i> > 0.05). Moreover, the RK values of RAMFs were higher than those of ccRCCs (<i>P</i> < 0.05). Receiver operating characteristic (ROC) curve analyses showed that MD values had the highest diagnostic efficacy in differentiating ccRCCs from RAMFs. In pairwise comparisons of ROC curves and diagnostic efficacy, DKI parameters demonstrated better diagnostic accuracy than ADC in differentiating between ccRCCs and RAMFs (<i>P</i> < 0.05).</p><p><strong>Conclusion: </strong>DKI analysis demonstrates superior performance than ADC analysis in differentiating ccRCC and RAMF.</p><p><strong>Clinical significance: </strong>DKI technology may serve as an additional non-invasive biomarker for the differential diagnosis of renal tumor types.</p>","PeriodicalId":11341,"journal":{"name":"Diagnostic and interventional radiology","volume":" ","pages":"416-422"},"PeriodicalIF":1.7000,"publicationDate":"2025-09-08","publicationTypes":"Journal Article","fieldsOfStudy":null,"isOpenAccess":false,"openAccessPdf":"https://www.ncbi.nlm.nih.gov/pmc/articles/PMC12417911/pdf/","citationCount":"0","resultStr":"{\"title\":\"Diffusion kurtosis versus diffusion-weighted magnetic resonance imaging in differentiating clear cell renal cell carcinoma and renal angiomyolipoma with minimal fat: a comparative study.\",\"authors\":\"Yarong Lin, Wenrong Zhu, Qingqiang Zhu\",\"doi\":\"10.4274/dir.2025.242880\",\"DOIUrl\":null,\"url\":null,\"abstract\":\"<p><strong>Purpose: </strong>To quantitatively compare the diagnostic values of conventional diffusion-weighted imaging and diffusion kurtosis imaging (DKI) in differentiating clear cell renal cell carcinoma (ccRCC) and renal angiomyolipoma with minimal fat (RAMF).</p><p><strong>Methods: </strong>Sixty-eight patients with ccRCC and 18 patients with RAMF were retrospectively studied. For DKI and apparent diffusion coefficient (ADC), respiratory-triggered echo-planar imaging sequences were acquired in the axial plane (three <i>b</i>-values: 0, 1000, 2000 s/mm<sup>2</sup>; one <i>b</i>-value: 2000 s/mm<sup>2</sup>). Mean diffusivity (MD), fractional anisotropy (FA), mean kurtosis (MK), kurtosis anisotropy (KA), radial kurtosis (RK), and ADC were evaluated. The diagnostic efficacy of various diffusion parameters in predicting ccRCC and RAMF was compared.</p><p><strong>Results: </strong>The ADC and MD values of ccRCCs were higher than those of RAMFs (<i>P</i> < 0.05), whereas comparable FA, MK, and KA values were observed between ccRCCs and RAMFs (<i>P</i> > 0.05). Moreover, the RK values of RAMFs were higher than those of ccRCCs (<i>P</i> < 0.05). Receiver operating characteristic (ROC) curve analyses showed that MD values had the highest diagnostic efficacy in differentiating ccRCCs from RAMFs. In pairwise comparisons of ROC curves and diagnostic efficacy, DKI parameters demonstrated better diagnostic accuracy than ADC in differentiating between ccRCCs and RAMFs (<i>P</i> < 0.05).</p><p><strong>Conclusion: </strong>DKI analysis demonstrates superior performance than ADC analysis in differentiating ccRCC and RAMF.</p><p><strong>Clinical significance: </strong>DKI technology may serve as an additional non-invasive biomarker for the differential diagnosis of renal tumor types.</p>\",\"PeriodicalId\":11341,\"journal\":{\"name\":\"Diagnostic and interventional radiology\",\"volume\":\" \",\"pages\":\"416-422\"},\"PeriodicalIF\":1.7000,\"publicationDate\":\"2025-09-08\",\"publicationTypes\":\"Journal Article\",\"fieldsOfStudy\":null,\"isOpenAccess\":false,\"openAccessPdf\":\"https://www.ncbi.nlm.nih.gov/pmc/articles/PMC12417911/pdf/\",\"citationCount\":\"0\",\"resultStr\":null,\"platform\":\"Semanticscholar\",\"paperid\":null,\"PeriodicalName\":\"Diagnostic and interventional radiology\",\"FirstCategoryId\":\"3\",\"ListUrlMain\":\"https://doi.org/10.4274/dir.2025.242880\",\"RegionNum\":4,\"RegionCategory\":\"医学\",\"ArticlePicture\":[],\"TitleCN\":null,\"AbstractTextCN\":null,\"PMCID\":null,\"EPubDate\":\"2025/7/21 0:00:00\",\"PubModel\":\"Epub\",\"JCR\":\"Q3\",\"JCRName\":\"RADIOLOGY, NUCLEAR MEDICINE & MEDICAL IMAGING\",\"Score\":null,\"Total\":0}","platform":"Semanticscholar","paperid":null,"PeriodicalName":"Diagnostic and interventional radiology","FirstCategoryId":"3","ListUrlMain":"https://doi.org/10.4274/dir.2025.242880","RegionNum":4,"RegionCategory":"医学","ArticlePicture":[],"TitleCN":null,"AbstractTextCN":null,"PMCID":null,"EPubDate":"2025/7/21 0:00:00","PubModel":"Epub","JCR":"Q3","JCRName":"RADIOLOGY, NUCLEAR MEDICINE & MEDICAL IMAGING","Score":null,"Total":0}
引用次数: 0

摘要

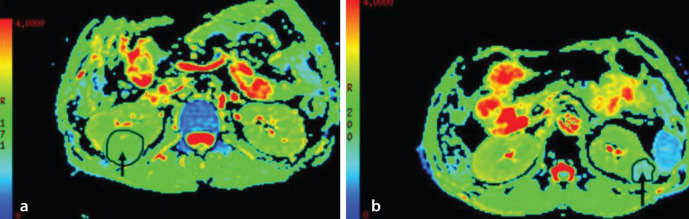
目的:定量比较常规弥散加权成像(diffusion weighted imaging, DKI)与弥散峰度成像(diffusion kurtosis imaging, DKI)在鉴别透明细胞肾细胞癌(ccRCC)与肾血管平滑肌脂肪瘤(RAMF)中的诊断价值。方法:对68例ccRCC和18例RAMF患者进行回顾性分析。对于DKI和表观扩散系数(ADC),在轴向面获得呼吸触发回波平面成像序列(三个b值:0、1000、2000 s/mm2;一个b值:2000s /mm2)。评估平均扩散系数(MD)、分数各向异性(FA)、平均峰度(MK)、峰度各向异性(KA)、径向峰度(RK)和ADC。比较不同扩散参数对ccRCC和RAMF的诊断效果。结果:ccrcc的ADC、MD值高于RAMFs (P < 0.05), FA、MK、KA值与RAMFs相当(P < 0.05)。RAMFs的RK值高于ccrcc (P < 0.05)。受试者工作特征(ROC)曲线分析显示,MD值在鉴别ccrcc和RAMFs方面具有最高的诊断效能。在ROC曲线和诊断效能两两比较中,DKI参数对ccrcc和RAMFs的诊断准确性优于ADC (P < 0.05)。结论:DKI分析在鉴别ccRCC和RAMF方面优于ADC分析。临床意义:DKI技术可作为肾脏肿瘤类型鉴别诊断的另一种非侵入性生物标志物。
本文章由计算机程序翻译,如有差异,请以英文原文为准。

Diffusion kurtosis versus diffusion-weighted magnetic resonance imaging in differentiating clear cell renal cell carcinoma and renal angiomyolipoma with minimal fat: a comparative study.

Diffusion kurtosis versus diffusion-weighted magnetic resonance imaging in differentiating clear cell renal cell carcinoma and renal angiomyolipoma with minimal fat: a comparative study.

Diffusion kurtosis versus diffusion-weighted magnetic resonance imaging in differentiating clear cell renal cell carcinoma and renal angiomyolipoma with minimal fat: a comparative study.

Diffusion kurtosis versus diffusion-weighted magnetic resonance imaging in differentiating clear cell renal cell carcinoma and renal angiomyolipoma with minimal fat: a comparative study.

Purpose: To quantitatively compare the diagnostic values of conventional diffusion-weighted imaging and diffusion kurtosis imaging (DKI) in differentiating clear cell renal cell carcinoma (ccRCC) and renal angiomyolipoma with minimal fat (RAMF).

Methods: Sixty-eight patients with ccRCC and 18 patients with RAMF were retrospectively studied. For DKI and apparent diffusion coefficient (ADC), respiratory-triggered echo-planar imaging sequences were acquired in the axial plane (three b-values: 0, 1000, 2000 s/mm2; one b-value: 2000 s/mm2). Mean diffusivity (MD), fractional anisotropy (FA), mean kurtosis (MK), kurtosis anisotropy (KA), radial kurtosis (RK), and ADC were evaluated. The diagnostic efficacy of various diffusion parameters in predicting ccRCC and RAMF was compared.

Results: The ADC and MD values of ccRCCs were higher than those of RAMFs (P < 0.05), whereas comparable FA, MK, and KA values were observed between ccRCCs and RAMFs (P > 0.05). Moreover, the RK values of RAMFs were higher than those of ccRCCs (P < 0.05). Receiver operating characteristic (ROC) curve analyses showed that MD values had the highest diagnostic efficacy in differentiating ccRCCs from RAMFs. In pairwise comparisons of ROC curves and diagnostic efficacy, DKI parameters demonstrated better diagnostic accuracy than ADC in differentiating between ccRCCs and RAMFs (P < 0.05).

Conclusion: DKI analysis demonstrates superior performance than ADC analysis in differentiating ccRCC and RAMF.

Clinical significance: DKI technology may serve as an additional non-invasive biomarker for the differential diagnosis of renal tumor types.

求助全文
通过发布文献求助,成功后即可免费获取论文全文。 去求助
来源期刊
Diagnostic and interventional radiology
Diagnostic and interventional radiology Medicine-Radiology, Nuclear Medicine and Imaging
自引率
4.80%
发文量
0
期刊介绍: Diagnostic and Interventional Radiology (Diagn Interv Radiol) is the open access, online-only official publication of Turkish Society of Radiology. It is published bimonthly and the journal’s publication language is English. The journal is a medium for original articles, reviews, pictorial essays, technical notes related to all fields of diagnostic and interventional radiology.
×
引用
GB/T 7714-2015
复制
MLA
复制
APA
复制
导出至
BibTeX EndNote RefMan NoteFirst NoteExpress
×
提示
您的信息不完整,为了账户安全,请先补充。
现在去补充
×
提示
您因"违规操作"
具体请查看互助需知
我知道了
×
提示
确定
请完成安全验证×
copy
已复制链接
快去分享给好友吧!
我知道了
右上角分享
点击右上角分享
0
联系我们:info@booksci.cn Book学术提供免费学术资源搜索服务,方便国内外学者检索中英文文献。致力于提供最便捷和优质的服务体验。 Copyright © 2023 布克学术 All rights reserved.
京ICP备2023020795号-1
ghs 京公网安备 11010802042870号
Book学术文献互助
Book学术文献互助群
群 号:604180095
Book学术官方微信