抗程序性死亡1药物(Pembrolizumab)治疗患者的神经免疫相关不良事件:一个病例系列

IF 0.6 Q4 CLINICAL NEUROLOGY
Case Reports in Neurology Pub Date : 2025-06-19 eCollection Date: 2025-01-01 DOI:10.1159/000547004
Sepehr Khosravi, Tara Khoeini, Fateme Rahattalab, Bahram Haghi Ashtiani
{"title":"抗程序性死亡1药物(Pembrolizumab)治疗患者的神经免疫相关不良事件:一个病例系列","authors":"Sepehr Khosravi, Tara Khoeini, Fateme Rahattalab, Bahram Haghi Ashtiani","doi":"10.1159/000547004","DOIUrl":null,"url":null,"abstract":"<p><strong>Background: </strong>This case series highlights the various clinical manifestations of pembrolizumab-induced neurological adverse events, offering insights into the spectrum of immune-related neurological adverse events associated with immune checkpoint inhibitor (ICI) therapy.</p><p><strong>Case presentation: </strong>We present 5 patients who received pembrolizumab as a part of their treatment. They exhibited a variety of clinical manifestations, which included central nervous system involvement and necrotizing myopathy, each responding differently to therapeutic interventions. Among the participants, there were two cases of myopathy, one case of demyelinating polyneuropathy, one individual whose myasthenia gravis had worsened, and 1 patient diagnosed with encephalitis. The patients experienced symptoms with varying degrees of severity, leading to different responses in their clinical treatment, and 1 patient ultimately passed away due to complications.</p><p><strong>Conclusion: </strong>Neurological immune-related adverse effects (n-irAEs) are rare, and their identification poses a challenge due to their complexity and the presence of underlying autoimmune and paraneoplastic disorders. The expected prognosis for n-irAEs is unclear, presenting a range of complete recovery rates and differing mortality outcomes. The increased frequency of ICI usage increases the probability of an immune response, necessitating healthcare professionals to identify new symptoms in immunotherapy patients. Side effects differ from conventional chemotherapy and necessitate different therapeutic approaches.</p>","PeriodicalId":9639,"journal":{"name":"Case Reports in Neurology","volume":"17 1","pages":"94-101"},"PeriodicalIF":0.6000,"publicationDate":"2025-06-19","publicationTypes":"Journal Article","fieldsOfStudy":null,"isOpenAccess":false,"openAccessPdf":"https://www.ncbi.nlm.nih.gov/pmc/articles/PMC12274057/pdf/","citationCount":"0","resultStr":"{\"title\":\"Neurological Immune-Related Adverse Events in Patients Treated with Anti-Programmed Death 1 Agent, Pembrolizumab: A Case Series.\",\"authors\":\"Sepehr Khosravi, Tara Khoeini, Fateme Rahattalab, Bahram Haghi Ashtiani\",\"doi\":\"10.1159/000547004\",\"DOIUrl\":null,\"url\":null,\"abstract\":\"<p><strong>Background: </strong>This case series highlights the various clinical manifestations of pembrolizumab-induced neurological adverse events, offering insights into the spectrum of immune-related neurological adverse events associated with immune checkpoint inhibitor (ICI) therapy.</p><p><strong>Case presentation: </strong>We present 5 patients who received pembrolizumab as a part of their treatment. They exhibited a variety of clinical manifestations, which included central nervous system involvement and necrotizing myopathy, each responding differently to therapeutic interventions. Among the participants, there were two cases of myopathy, one case of demyelinating polyneuropathy, one individual whose myasthenia gravis had worsened, and 1 patient diagnosed with encephalitis. The patients experienced symptoms with varying degrees of severity, leading to different responses in their clinical treatment, and 1 patient ultimately passed away due to complications.</p><p><strong>Conclusion: </strong>Neurological immune-related adverse effects (n-irAEs) are rare, and their identification poses a challenge due to their complexity and the presence of underlying autoimmune and paraneoplastic disorders. The expected prognosis for n-irAEs is unclear, presenting a range of complete recovery rates and differing mortality outcomes. The increased frequency of ICI usage increases the probability of an immune response, necessitating healthcare professionals to identify new symptoms in immunotherapy patients. Side effects differ from conventional chemotherapy and necessitate different therapeutic approaches.</p>\",\"PeriodicalId\":9639,\"journal\":{\"name\":\"Case Reports in Neurology\",\"volume\":\"17 1\",\"pages\":\"94-101\"},\"PeriodicalIF\":0.6000,\"publicationDate\":\"2025-06-19\",\"publicationTypes\":\"Journal Article\",\"fieldsOfStudy\":null,\"isOpenAccess\":false,\"openAccessPdf\":\"https://www.ncbi.nlm.nih.gov/pmc/articles/PMC12274057/pdf/\",\"citationCount\":\"0\",\"resultStr\":null,\"platform\":\"Semanticscholar\",\"paperid\":null,\"PeriodicalName\":\"Case Reports in Neurology\",\"FirstCategoryId\":\"1085\",\"ListUrlMain\":\"https://doi.org/10.1159/000547004\",\"RegionNum\":0,\"RegionCategory\":null,\"ArticlePicture\":[],\"TitleCN\":null,\"AbstractTextCN\":null,\"PMCID\":null,\"EPubDate\":\"2025/1/1 0:00:00\",\"PubModel\":\"eCollection\",\"JCR\":\"Q4\",\"JCRName\":\"CLINICAL NEUROLOGY\",\"Score\":null,\"Total\":0}","platform":"Semanticscholar","paperid":null,"PeriodicalName":"Case Reports in Neurology","FirstCategoryId":"1085","ListUrlMain":"https://doi.org/10.1159/000547004","RegionNum":0,"RegionCategory":null,"ArticlePicture":[],"TitleCN":null,"AbstractTextCN":null,"PMCID":null,"EPubDate":"2025/1/1 0:00:00","PubModel":"eCollection","JCR":"Q4","JCRName":"CLINICAL NEUROLOGY","Score":null,"Total":0}
引用次数: 0

摘要

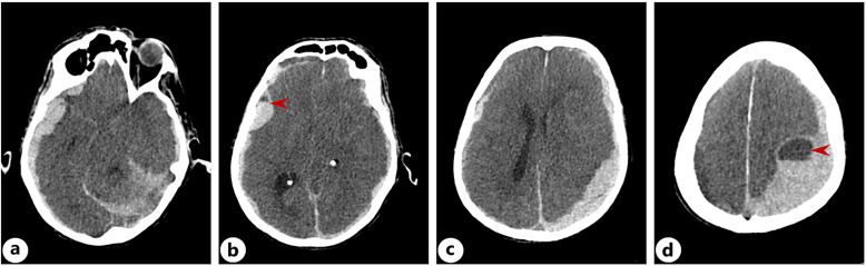
背景:本病例系列强调了派姆单抗诱导的神经系统不良事件的各种临床表现,为与免疫检查点抑制剂(ICI)治疗相关的免疫相关神经系统不良事件提供了见解。病例介绍:我们介绍了5例接受派姆单抗治疗的患者。他们表现出多种临床表现,包括中枢神经系统受累和坏死性肌病,对治疗干预的反应各不相同。参与者中肌病2例,脱髓鞘性多神经病变1例,重症肌无力加重1例,脑炎1例。患者的症状严重程度不同,导致临床治疗反应不同,最终有1例患者因并发症死亡。结论:神经免疫相关不良反应(n-irAEs)是罕见的,由于其复杂性和潜在的自身免疫和副肿瘤疾病的存在,对其识别提出了挑战。n-irAEs的预期预后尚不清楚,呈现出一系列完全恢复率和不同的死亡率结果。ICI使用频率的增加增加了免疫反应的可能性,需要医疗保健专业人员识别免疫治疗患者的新症状。副作用不同于传统的化疗,需要不同的治疗方法。
本文章由计算机程序翻译,如有差异,请以英文原文为准。

Neurological Immune-Related Adverse Events in Patients Treated with Anti-Programmed Death 1 Agent, Pembrolizumab: A Case Series.

Neurological Immune-Related Adverse Events in Patients Treated with Anti-Programmed Death 1 Agent, Pembrolizumab: A Case Series.

Neurological Immune-Related Adverse Events in Patients Treated with Anti-Programmed Death 1 Agent, Pembrolizumab: A Case Series.

Background: This case series highlights the various clinical manifestations of pembrolizumab-induced neurological adverse events, offering insights into the spectrum of immune-related neurological adverse events associated with immune checkpoint inhibitor (ICI) therapy.

Case presentation: We present 5 patients who received pembrolizumab as a part of their treatment. They exhibited a variety of clinical manifestations, which included central nervous system involvement and necrotizing myopathy, each responding differently to therapeutic interventions. Among the participants, there were two cases of myopathy, one case of demyelinating polyneuropathy, one individual whose myasthenia gravis had worsened, and 1 patient diagnosed with encephalitis. The patients experienced symptoms with varying degrees of severity, leading to different responses in their clinical treatment, and 1 patient ultimately passed away due to complications.

Conclusion: Neurological immune-related adverse effects (n-irAEs) are rare, and their identification poses a challenge due to their complexity and the presence of underlying autoimmune and paraneoplastic disorders. The expected prognosis for n-irAEs is unclear, presenting a range of complete recovery rates and differing mortality outcomes. The increased frequency of ICI usage increases the probability of an immune response, necessitating healthcare professionals to identify new symptoms in immunotherapy patients. Side effects differ from conventional chemotherapy and necessitate different therapeutic approaches.

求助全文
通过发布文献求助,成功后即可免费获取论文全文。 去求助
来源期刊
Case Reports in Neurology
Case Reports in Neurology Medicine-Neurology (clinical)
CiteScore
1.50
自引率
0.00%
发文量
67
审稿时长
14 weeks
期刊介绍: This new peer-reviewed online-only journal publishes original case reports covering the entire spectrum of neurology. Clinicians and researchers are given a tool to disseminate their personal experience to a wider public as well as to review interesting cases encountered by colleagues all over the world. To complement the contributions supplementary material is welcomed. The reports are searchable according to the key words supplied by the authors; it will thus be possible to search across the entire growing collection of case reports with universally used terms, further facilitating the retrieval of specific information. Following the open access principle, the entire contents can be retrieved at no charge, guaranteeing easy access to this valuable source of anecdotal information at all times.
×
引用
GB/T 7714-2015
复制
MLA
复制
APA
复制
导出至
BibTeX EndNote RefMan NoteFirst NoteExpress
×
提示
您的信息不完整,为了账户安全,请先补充。
现在去补充
×
提示
您因"违规操作"
具体请查看互助需知
我知道了
×
提示
确定
请完成安全验证×
copy
已复制链接
快去分享给好友吧!
我知道了
右上角分享
点击右上角分享
0
联系我们:info@booksci.cn Book学术提供免费学术资源搜索服务,方便国内外学者检索中英文文献。致力于提供最便捷和优质的服务体验。 Copyright © 2023 布克学术 All rights reserved.
京ICP备2023020795号-1
ghs 京公网安备 11010802042870号
Book学术文献互助
Book学术文献互助群
群 号:604180095
Book学术官方微信