在接受纳武单抗和伊匹单抗治疗转移性黑色素瘤的患者中,高钙血症是免疫相关的不良事件:一个病例报告。

IF 0.6 Q4 ONCOLOGY
Case Reports in Oncological Medicine Pub Date : 2025-07-10 eCollection Date: 2025-01-01 DOI:10.1155/crom/8600200
Sam Plessers, Jeroen Mebis, Nina De Moor, Tim Wessels, Daisy Luyten, Annelies Requilé
{"title":"在接受纳武单抗和伊匹单抗治疗转移性黑色素瘤的患者中,高钙血症是免疫相关的不良事件:一个病例报告。","authors":"Sam Plessers, Jeroen Mebis, Nina De Moor, Tim Wessels, Daisy Luyten, Annelies Requilé","doi":"10.1155/crom/8600200","DOIUrl":null,"url":null,"abstract":"<p><p>Hypercalcemia of malignancy is a well-known phenomenon in cancer patients, often associated with poor prognosis. The discovery of immune checkpoint inhibitors has revolutionised cancer therapy by improving prognosis in numerous different cancer types. Unfortunately, immune-related adverse events frequently arise, particularly with dual checkpoint inhibition. We present a case of severe hypercalcemia in a 65-year-old woman undergoing treatment for metastasised malignant melanoma. Eleven weeks after initiating ipilimumab-nivolumab, the patient developed severe hypercalcemia, along with inflammation and hepatitis. This was initially presumed to be due to hypercalcemia of malignancy, given the clinical examination, imaging findings and laboratory values potentially consistent with progressive disease. The hypercalcemia responded well to bisphosphonates, intravenous saline and methylprednisolone. Interestingly, fluorodeoxyglucose-positron emission tomography/computed tomography (FDG-PET/CT) performed shortly after hospital discharge showed a complete metabolic remission, thereby making hypercalcemia of malignancy unlikely. Review of her medical history, imaging and laboratory revealed several features consistent with a sarcoid-like reaction. We hypothesise that this reaction led to elevated 1-alpha hydroxylase, thereby facilitating calcitriol-mediated hypercalcemia. In this report, we summarise previously published case reports on immune checkpoint inhibitor-induced hypercalcemia and discuss the various mechanisms that cause hypercalcemia in this rare immune-related adverse event. Immune checkpoint inhibitors can induce production of parathyroid hormone-related protein (PTHrP), calcitriol, and may cause hypocortisolaemia, all of which can disrupt calcium homeostasis. Through this case, we contribute to the growing body of evidence regarding hypercalcemia as an immune-related adverse event and aim to raise awareness among clinicians of this potential complication. Early recognition is critical for this life-threatening condition, as it can be refractory to conventional therapies and may necessitate corticosteroid therapy.</p>","PeriodicalId":9636,"journal":{"name":"Case Reports in Oncological Medicine","volume":"2025 ","pages":"8600200"},"PeriodicalIF":0.6000,"publicationDate":"2025-07-10","publicationTypes":"Journal Article","fieldsOfStudy":null,"isOpenAccess":false,"openAccessPdf":"https://www.ncbi.nlm.nih.gov/pmc/articles/PMC12271711/pdf/","citationCount":"0","resultStr":"{\"title\":\"Hypercalcemia as an Immune-Related Adverse Event in a Patient Receiving Nivolumab and Ipilimumab for Metastatic Melanoma: A Case Report.\",\"authors\":\"Sam Plessers, Jeroen Mebis, Nina De Moor, Tim Wessels, Daisy Luyten, Annelies Requilé\",\"doi\":\"10.1155/crom/8600200\",\"DOIUrl\":null,\"url\":null,\"abstract\":\"<p><p>Hypercalcemia of malignancy is a well-known phenomenon in cancer patients, often associated with poor prognosis. The discovery of immune checkpoint inhibitors has revolutionised cancer therapy by improving prognosis in numerous different cancer types. Unfortunately, immune-related adverse events frequently arise, particularly with dual checkpoint inhibition. We present a case of severe hypercalcemia in a 65-year-old woman undergoing treatment for metastasised malignant melanoma. Eleven weeks after initiating ipilimumab-nivolumab, the patient developed severe hypercalcemia, along with inflammation and hepatitis. This was initially presumed to be due to hypercalcemia of malignancy, given the clinical examination, imaging findings and laboratory values potentially consistent with progressive disease. The hypercalcemia responded well to bisphosphonates, intravenous saline and methylprednisolone. Interestingly, fluorodeoxyglucose-positron emission tomography/computed tomography (FDG-PET/CT) performed shortly after hospital discharge showed a complete metabolic remission, thereby making hypercalcemia of malignancy unlikely. Review of her medical history, imaging and laboratory revealed several features consistent with a sarcoid-like reaction. We hypothesise that this reaction led to elevated 1-alpha hydroxylase, thereby facilitating calcitriol-mediated hypercalcemia. In this report, we summarise previously published case reports on immune checkpoint inhibitor-induced hypercalcemia and discuss the various mechanisms that cause hypercalcemia in this rare immune-related adverse event. Immune checkpoint inhibitors can induce production of parathyroid hormone-related protein (PTHrP), calcitriol, and may cause hypocortisolaemia, all of which can disrupt calcium homeostasis. Through this case, we contribute to the growing body of evidence regarding hypercalcemia as an immune-related adverse event and aim to raise awareness among clinicians of this potential complication. Early recognition is critical for this life-threatening condition, as it can be refractory to conventional therapies and may necessitate corticosteroid therapy.</p>\",\"PeriodicalId\":9636,\"journal\":{\"name\":\"Case Reports in Oncological Medicine\",\"volume\":\"2025 \",\"pages\":\"8600200\"},\"PeriodicalIF\":0.6000,\"publicationDate\":\"2025-07-10\",\"publicationTypes\":\"Journal Article\",\"fieldsOfStudy\":null,\"isOpenAccess\":false,\"openAccessPdf\":\"https://www.ncbi.nlm.nih.gov/pmc/articles/PMC12271711/pdf/\",\"citationCount\":\"0\",\"resultStr\":null,\"platform\":\"Semanticscholar\",\"paperid\":null,\"PeriodicalName\":\"Case Reports in Oncological Medicine\",\"FirstCategoryId\":\"1085\",\"ListUrlMain\":\"https://doi.org/10.1155/crom/8600200\",\"RegionNum\":0,\"RegionCategory\":null,\"ArticlePicture\":[],\"TitleCN\":null,\"AbstractTextCN\":null,\"PMCID\":null,\"EPubDate\":\"2025/1/1 0:00:00\",\"PubModel\":\"eCollection\",\"JCR\":\"Q4\",\"JCRName\":\"ONCOLOGY\",\"Score\":null,\"Total\":0}","platform":"Semanticscholar","paperid":null,"PeriodicalName":"Case Reports in Oncological Medicine","FirstCategoryId":"1085","ListUrlMain":"https://doi.org/10.1155/crom/8600200","RegionNum":0,"RegionCategory":null,"ArticlePicture":[],"TitleCN":null,"AbstractTextCN":null,"PMCID":null,"EPubDate":"2025/1/1 0:00:00","PubModel":"eCollection","JCR":"Q4","JCRName":"ONCOLOGY","Score":null,"Total":0}
引用次数: 0

摘要

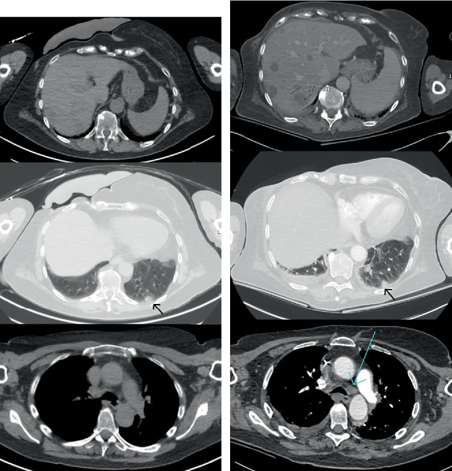
恶性肿瘤高钙血症是一种众所周知的癌症患者现象,往往与预后不良有关。免疫检查点抑制剂的发现通过改善许多不同癌症类型的预后,彻底改变了癌症治疗。不幸的是,免疫相关的不良事件经常发生,特别是双检查点抑制。我们提出一个病例严重高钙血症在一个65岁的妇女接受治疗转移性恶性黑色素瘤。在开始使用ipilimumab-nivolumab 11周后,患者出现严重的高钙血症,同时伴有炎症和肝炎。鉴于临床检查、影像学表现和实验室值可能与进行性疾病相一致,最初推测这是由于恶性肿瘤的高钙血症。高钙血症对双膦酸盐、静脉生理盐水和甲基强的松龙反应良好。有趣的是,出院后不久进行的氟脱氧葡萄糖-正电子发射断层扫描/计算机断层扫描(FDG-PET/CT)显示代谢完全缓解,因此不太可能出现恶性高钙血症。回顾病史、影像学和实验室检查,发现几个与结节样反应相符的特征。我们假设该反应导致1- α羟化酶升高,从而促进骨化三醇介导的高钙血症。在这篇报告中,我们总结了以前发表的关于免疫检查点抑制剂诱导的高钙血症的病例报告,并讨论了在这种罕见的免疫相关不良事件中引起高钙血症的各种机制。免疫检查点抑制剂可以诱导甲状旁腺激素相关蛋白(PTHrP)、骨化三醇的产生,并可能导致低皮质醇血症,所有这些都可以破坏钙稳态。通过这个病例,我们提供了越来越多的证据,证明高钙血症是一种免疫相关的不良事件,并旨在提高临床医生对这种潜在并发症的认识。早期识别对这种危及生命的疾病至关重要,因为它对常规治疗是难治性的,可能需要皮质类固醇治疗。
本文章由计算机程序翻译,如有差异,请以英文原文为准。

Hypercalcemia as an Immune-Related Adverse Event in a Patient Receiving Nivolumab and Ipilimumab for Metastatic Melanoma: A Case Report.

Hypercalcemia as an Immune-Related Adverse Event in a Patient Receiving Nivolumab and Ipilimumab for Metastatic Melanoma: A Case Report.

Hypercalcemia as an Immune-Related Adverse Event in a Patient Receiving Nivolumab and Ipilimumab for Metastatic Melanoma: A Case Report.

Hypercalcemia of malignancy is a well-known phenomenon in cancer patients, often associated with poor prognosis. The discovery of immune checkpoint inhibitors has revolutionised cancer therapy by improving prognosis in numerous different cancer types. Unfortunately, immune-related adverse events frequently arise, particularly with dual checkpoint inhibition. We present a case of severe hypercalcemia in a 65-year-old woman undergoing treatment for metastasised malignant melanoma. Eleven weeks after initiating ipilimumab-nivolumab, the patient developed severe hypercalcemia, along with inflammation and hepatitis. This was initially presumed to be due to hypercalcemia of malignancy, given the clinical examination, imaging findings and laboratory values potentially consistent with progressive disease. The hypercalcemia responded well to bisphosphonates, intravenous saline and methylprednisolone. Interestingly, fluorodeoxyglucose-positron emission tomography/computed tomography (FDG-PET/CT) performed shortly after hospital discharge showed a complete metabolic remission, thereby making hypercalcemia of malignancy unlikely. Review of her medical history, imaging and laboratory revealed several features consistent with a sarcoid-like reaction. We hypothesise that this reaction led to elevated 1-alpha hydroxylase, thereby facilitating calcitriol-mediated hypercalcemia. In this report, we summarise previously published case reports on immune checkpoint inhibitor-induced hypercalcemia and discuss the various mechanisms that cause hypercalcemia in this rare immune-related adverse event. Immune checkpoint inhibitors can induce production of parathyroid hormone-related protein (PTHrP), calcitriol, and may cause hypocortisolaemia, all of which can disrupt calcium homeostasis. Through this case, we contribute to the growing body of evidence regarding hypercalcemia as an immune-related adverse event and aim to raise awareness among clinicians of this potential complication. Early recognition is critical for this life-threatening condition, as it can be refractory to conventional therapies and may necessitate corticosteroid therapy.

求助全文
通过发布文献求助,成功后即可免费获取论文全文。 去求助
来源期刊
自引率
0.00%
发文量
11
审稿时长
16 weeks
期刊介绍: Case Reports in Oncological Medicine is a peer-reviewed, Open Access journal that publishes case reports and case series related to breast cancer, lung cancer, gastrointestinal cancer, skin cancer, head and neck cancer, paediatric oncology, neurooncology as well as genitourinary cancer.
×
引用
GB/T 7714-2015
复制
MLA
复制
APA
复制
导出至
BibTeX EndNote RefMan NoteFirst NoteExpress
×
提示
您的信息不完整,为了账户安全,请先补充。
现在去补充
×
提示
您因"违规操作"
具体请查看互助需知
我知道了
×
提示
确定
请完成安全验证×
copy
已复制链接
快去分享给好友吧!
我知道了
右上角分享
点击右上角分享
0
联系我们:info@booksci.cn Book学术提供免费学术资源搜索服务,方便国内外学者检索中英文文献。致力于提供最便捷和优质的服务体验。 Copyright © 2023 布克学术 All rights reserved.
京ICP备2023020795号-1
ghs 京公网安备 11010802042870号
Book学术文献互助
Book学术文献互助群
群 号:604180095
Book学术官方微信