赞比亚大学教学医院cd103阴性毛细胞白血病1例报告

IF 0.7 Q3 MEDICINE, GENERAL & INTERNAL
Case Reports in Medicine Pub Date : 2025-07-11 eCollection Date: 2025-01-01 DOI:10.1155/carm/7084757
Natasha Mupeta Kaweme, Sahar Mounir Nagib Butress, Inonge Akekelwa, Sumbukeni Francis Kowa, Hamakwa Muluti Mantina, Charles Kapela Mwandama
{"title":"赞比亚大学教学医院cd103阴性毛细胞白血病1例报告","authors":"Natasha Mupeta Kaweme, Sahar Mounir Nagib Butress, Inonge Akekelwa, Sumbukeni Francis Kowa, Hamakwa Muluti Mantina, Charles Kapela Mwandama","doi":"10.1155/carm/7084757","DOIUrl":null,"url":null,"abstract":"<p><p>Hairy cell leukemia (HCL) is among a group of mature lymphoid B-cell disorders characterized by the identification of hairy cells and a unique genetic profile. Detection of CD103 expression on flow cytometry is the key in enumerating the immunologic score for diagnosing HCL. For a disease that is more prevalent in Caucasians and less common in African populations, we report an unusual case of CD103-negative classical HCL in a 43-year-old African male, who presented with refractory anemia, thrombocytopenia, and splenomegaly. In patients with refractory anemia, it is crucial to consider investigating HCL, as this may influence therapeutic decisions and, consequently, overall patient outcomes.</p>","PeriodicalId":9627,"journal":{"name":"Case Reports in Medicine","volume":"2025 ","pages":"7084757"},"PeriodicalIF":0.7000,"publicationDate":"2025-07-11","publicationTypes":"Journal Article","fieldsOfStudy":null,"isOpenAccess":false,"openAccessPdf":"https://www.ncbi.nlm.nih.gov/pmc/articles/PMC12274090/pdf/","citationCount":"0","resultStr":"{\"title\":\"CD103-Negative Hairy Cell Leukemia: A Case Report From University Teaching Hospital, Zambia.\",\"authors\":\"Natasha Mupeta Kaweme, Sahar Mounir Nagib Butress, Inonge Akekelwa, Sumbukeni Francis Kowa, Hamakwa Muluti Mantina, Charles Kapela Mwandama\",\"doi\":\"10.1155/carm/7084757\",\"DOIUrl\":null,\"url\":null,\"abstract\":\"<p><p>Hairy cell leukemia (HCL) is among a group of mature lymphoid B-cell disorders characterized by the identification of hairy cells and a unique genetic profile. Detection of CD103 expression on flow cytometry is the key in enumerating the immunologic score for diagnosing HCL. For a disease that is more prevalent in Caucasians and less common in African populations, we report an unusual case of CD103-negative classical HCL in a 43-year-old African male, who presented with refractory anemia, thrombocytopenia, and splenomegaly. In patients with refractory anemia, it is crucial to consider investigating HCL, as this may influence therapeutic decisions and, consequently, overall patient outcomes.</p>\",\"PeriodicalId\":9627,\"journal\":{\"name\":\"Case Reports in Medicine\",\"volume\":\"2025 \",\"pages\":\"7084757\"},\"PeriodicalIF\":0.7000,\"publicationDate\":\"2025-07-11\",\"publicationTypes\":\"Journal Article\",\"fieldsOfStudy\":null,\"isOpenAccess\":false,\"openAccessPdf\":\"https://www.ncbi.nlm.nih.gov/pmc/articles/PMC12274090/pdf/\",\"citationCount\":\"0\",\"resultStr\":null,\"platform\":\"Semanticscholar\",\"paperid\":null,\"PeriodicalName\":\"Case Reports in Medicine\",\"FirstCategoryId\":\"1085\",\"ListUrlMain\":\"https://doi.org/10.1155/carm/7084757\",\"RegionNum\":0,\"RegionCategory\":null,\"ArticlePicture\":[],\"TitleCN\":null,\"AbstractTextCN\":null,\"PMCID\":null,\"EPubDate\":\"2025/1/1 0:00:00\",\"PubModel\":\"eCollection\",\"JCR\":\"Q3\",\"JCRName\":\"MEDICINE, GENERAL & INTERNAL\",\"Score\":null,\"Total\":0}","platform":"Semanticscholar","paperid":null,"PeriodicalName":"Case Reports in Medicine","FirstCategoryId":"1085","ListUrlMain":"https://doi.org/10.1155/carm/7084757","RegionNum":0,"RegionCategory":null,"ArticlePicture":[],"TitleCN":null,"AbstractTextCN":null,"PMCID":null,"EPubDate":"2025/1/1 0:00:00","PubModel":"eCollection","JCR":"Q3","JCRName":"MEDICINE, GENERAL & INTERNAL","Score":null,"Total":0}
引用次数: 0

摘要

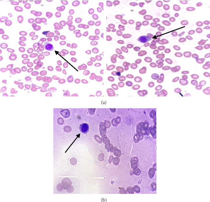
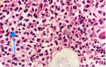
毛细胞白血病(HCL)是一组成熟淋巴样b细胞疾病,其特征是毛细胞的鉴定和独特的遗传谱。流式细胞术检测CD103的表达是计算HCL免疫评分的关键。对于一种在白种人中更为普遍而在非洲人群中较少见的疾病,我们报告了一例罕见的cd103阴性经典HCL病例,患者为43岁的非洲男性,表现为难治性贫血、血小板减少症和脾大。对于难治性贫血患者,考虑调查HCL是至关重要的,因为这可能影响治疗决策,从而影响患者的总体预后。
本文章由计算机程序翻译,如有差异,请以英文原文为准。

CD103-Negative Hairy Cell Leukemia: A Case Report From University Teaching Hospital, Zambia.

CD103-Negative Hairy Cell Leukemia: A Case Report From University Teaching Hospital, Zambia.

CD103-Negative Hairy Cell Leukemia: A Case Report From University Teaching Hospital, Zambia.

Hairy cell leukemia (HCL) is among a group of mature lymphoid B-cell disorders characterized by the identification of hairy cells and a unique genetic profile. Detection of CD103 expression on flow cytometry is the key in enumerating the immunologic score for diagnosing HCL. For a disease that is more prevalent in Caucasians and less common in African populations, we report an unusual case of CD103-negative classical HCL in a 43-year-old African male, who presented with refractory anemia, thrombocytopenia, and splenomegaly. In patients with refractory anemia, it is crucial to consider investigating HCL, as this may influence therapeutic decisions and, consequently, overall patient outcomes.

求助全文
通过发布文献求助,成功后即可免费获取论文全文。 去求助
来源期刊
Case Reports in Medicine
Case Reports in Medicine MEDICINE, GENERAL & INTERNAL-
CiteScore
1.70
自引率
0.00%
发文量
53
审稿时长
13 weeks
×
引用
GB/T 7714-2015
复制
MLA
复制
APA
复制
导出至
BibTeX EndNote RefMan NoteFirst NoteExpress
×
提示
您的信息不完整,为了账户安全,请先补充。
现在去补充
×
提示
您因"违规操作"
具体请查看互助需知
我知道了
×
提示
确定
请完成安全验证×
copy
已复制链接
快去分享给好友吧!
我知道了
右上角分享
点击右上角分享
0
联系我们:info@booksci.cn Book学术提供免费学术资源搜索服务,方便国内外学者检索中英文文献。致力于提供最便捷和优质的服务体验。 Copyright © 2023 布克学术 All rights reserved.
京ICP备2023020795号-1
ghs 京公网安备 11010802042870号
Book学术文献互助
Book学术文献互助群
群 号:604180095
Book学术官方微信