溃疡性结肠炎局部晚期腺鳞癌结肠癌的长期生存:1例报告。

IF 0.7 Q4 ONCOLOGY
Case Reports in Oncology Pub Date : 2025-06-18 eCollection Date: 2025-01-01 DOI:10.1159/000546931
Abdulrahman Alotaibi
{"title":"溃疡性结肠炎局部晚期腺鳞癌结肠癌的长期生存:1例报告。","authors":"Abdulrahman Alotaibi","doi":"10.1159/000546931","DOIUrl":null,"url":null,"abstract":"<p><strong>Introduction: </strong>Adenosquamous carcinoma (ASC) of the colon is an exceedingly rare and aggressive subtype, with limited data available on long-term survival, particularly among patients with ulcerative colitis (UC).</p><p><strong>Case presentation: </strong>We present a 39-year-old male with a 9-year history of UC who experienced severe anemia and hematochezia. Imaging and histopathological analysis confirmed a diagnosis of stage IIIB ASC of the right colon. The patient underwent total colectomy followed by adjuvant chemotherapy (XELOX), ileoanal pouch reconstruction, and stoma closure. After 56 months of follow-up, he remains disease-free with good pouch function.</p><p><strong>Conclusion: </strong>This case underscores the prognosis and the need for further research in UC-ASC subtype.</p>","PeriodicalId":9625,"journal":{"name":"Case Reports in Oncology","volume":"18 1","pages":"988-993"},"PeriodicalIF":0.7000,"publicationDate":"2025-06-18","publicationTypes":"Journal Article","fieldsOfStudy":null,"isOpenAccess":false,"openAccessPdf":"https://www.ncbi.nlm.nih.gov/pmc/articles/PMC12274058/pdf/","citationCount":"0","resultStr":"{\"title\":\"Long-Term Survival for Locally Advanced Adenosquamous Carcinoma Colon Cancer in Ulcerative Colitis: A Case Report.\",\"authors\":\"Abdulrahman Alotaibi\",\"doi\":\"10.1159/000546931\",\"DOIUrl\":null,\"url\":null,\"abstract\":\"<p><strong>Introduction: </strong>Adenosquamous carcinoma (ASC) of the colon is an exceedingly rare and aggressive subtype, with limited data available on long-term survival, particularly among patients with ulcerative colitis (UC).</p><p><strong>Case presentation: </strong>We present a 39-year-old male with a 9-year history of UC who experienced severe anemia and hematochezia. Imaging and histopathological analysis confirmed a diagnosis of stage IIIB ASC of the right colon. The patient underwent total colectomy followed by adjuvant chemotherapy (XELOX), ileoanal pouch reconstruction, and stoma closure. After 56 months of follow-up, he remains disease-free with good pouch function.</p><p><strong>Conclusion: </strong>This case underscores the prognosis and the need for further research in UC-ASC subtype.</p>\",\"PeriodicalId\":9625,\"journal\":{\"name\":\"Case Reports in Oncology\",\"volume\":\"18 1\",\"pages\":\"988-993\"},\"PeriodicalIF\":0.7000,\"publicationDate\":\"2025-06-18\",\"publicationTypes\":\"Journal Article\",\"fieldsOfStudy\":null,\"isOpenAccess\":false,\"openAccessPdf\":\"https://www.ncbi.nlm.nih.gov/pmc/articles/PMC12274058/pdf/\",\"citationCount\":\"0\",\"resultStr\":null,\"platform\":\"Semanticscholar\",\"paperid\":null,\"PeriodicalName\":\"Case Reports in Oncology\",\"FirstCategoryId\":\"1085\",\"ListUrlMain\":\"https://doi.org/10.1159/000546931\",\"RegionNum\":0,\"RegionCategory\":null,\"ArticlePicture\":[],\"TitleCN\":null,\"AbstractTextCN\":null,\"PMCID\":null,\"EPubDate\":\"2025/1/1 0:00:00\",\"PubModel\":\"eCollection\",\"JCR\":\"Q4\",\"JCRName\":\"ONCOLOGY\",\"Score\":null,\"Total\":0}","platform":"Semanticscholar","paperid":null,"PeriodicalName":"Case Reports in Oncology","FirstCategoryId":"1085","ListUrlMain":"https://doi.org/10.1159/000546931","RegionNum":0,"RegionCategory":null,"ArticlePicture":[],"TitleCN":null,"AbstractTextCN":null,"PMCID":null,"EPubDate":"2025/1/1 0:00:00","PubModel":"eCollection","JCR":"Q4","JCRName":"ONCOLOGY","Score":null,"Total":0}
引用次数: 0

摘要

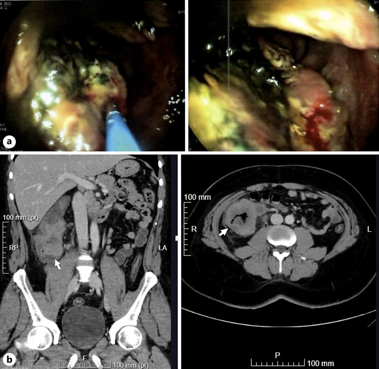
结肠腺鳞癌(ASC)是一种极其罕见且具有侵袭性的亚型,其长期生存数据有限,尤其是溃疡性结肠炎(UC)患者。病例介绍:我们报告一位39岁男性,有9年的UC病史,经历了严重的贫血和便血。影像学和组织病理学分析证实诊断为IIIB期右结肠ASC。患者接受了全结肠切除术,随后进行了辅助化疗(XELOX),回肠袋重建和造口。随访56个月后,患者无病,眼袋功能良好。结论:该病例强调了UC-ASC亚型的预后和进一步研究的必要性。
本文章由计算机程序翻译,如有差异,请以英文原文为准。

Long-Term Survival for Locally Advanced Adenosquamous Carcinoma Colon Cancer in Ulcerative Colitis: A Case Report.

Long-Term Survival for Locally Advanced Adenosquamous Carcinoma Colon Cancer in Ulcerative Colitis: A Case Report.

Long-Term Survival for Locally Advanced Adenosquamous Carcinoma Colon Cancer in Ulcerative Colitis: A Case Report.

Long-Term Survival for Locally Advanced Adenosquamous Carcinoma Colon Cancer in Ulcerative Colitis: A Case Report.

Introduction: Adenosquamous carcinoma (ASC) of the colon is an exceedingly rare and aggressive subtype, with limited data available on long-term survival, particularly among patients with ulcerative colitis (UC).

Case presentation: We present a 39-year-old male with a 9-year history of UC who experienced severe anemia and hematochezia. Imaging and histopathological analysis confirmed a diagnosis of stage IIIB ASC of the right colon. The patient underwent total colectomy followed by adjuvant chemotherapy (XELOX), ileoanal pouch reconstruction, and stoma closure. After 56 months of follow-up, he remains disease-free with good pouch function.

Conclusion: This case underscores the prognosis and the need for further research in UC-ASC subtype.

求助全文
通过发布文献求助,成功后即可免费获取论文全文。 去求助
来源期刊
CiteScore
1.40
自引率
12.50%
发文量
151
审稿时长
7 weeks
×
引用
GB/T 7714-2015
复制
MLA
复制
APA
复制
导出至
BibTeX EndNote RefMan NoteFirst NoteExpress
×
提示
您的信息不完整,为了账户安全,请先补充。
现在去补充
×
提示
您因"违规操作"
具体请查看互助需知
我知道了
×
提示
确定
请完成安全验证×
copy
已复制链接
快去分享给好友吧!
我知道了
右上角分享
点击右上角分享
0
联系我们:info@booksci.cn Book学术提供免费学术资源搜索服务,方便国内外学者检索中英文文献。致力于提供最便捷和优质的服务体验。 Copyright © 2023 布克学术 All rights reserved.
京ICP备2023020795号-1
ghs 京公网安备 11010802042870号
Book学术文献互助
Book学术文献互助群
群 号:604180095
Book学术官方微信