儿童系统性红斑狼疮的初始表现为蛋白质丢失性肠病:越南一例罕见病例报告及文献回顾。

IF 2.6 3区 医学
Cong Mai Thanh, Phuoc Nguyen Trong, Nam Nguyen Thanh
{"title":"儿童系统性红斑狼疮的初始表现为蛋白质丢失性肠病:越南一例罕见病例报告及文献回顾。","authors":"Cong Mai Thanh, Phuoc Nguyen Trong, Nam Nguyen Thanh","doi":"10.1177/03946320251358304","DOIUrl":null,"url":null,"abstract":"<p><p>Protein-losing enteropathy (PLE) is a rare but recognized manifestation of systemic lupus erythematosus (SLE). As an initial presentation of SLE, PLE is exceptionally uncommon, particularly in pediatric patients. We report the case of a 15-year-old Vietnamese girl with no significant past medical or family history, who presented with PLE as the initial manifestation of SLE. Clinical features included bilateral eyelid and lower extremity edema, ascites, and hypoalbuminemia, in the absence of nephrotic-range proteinuria, hepatic dysfunction, or malnutrition. Stool α1-antitrypsin concentration was markedly elevated at >231 mg/dL (normal <26.8 mg/dL), supporting the diagnosis of PLE in conjunction with clinical features and therapeutic response. Immunological evaluation revealed positive antinuclear antibody (ANA), anti-double-stranded DNA (anti-dsDNA) antibody, and lupus anticoagulant, hypocomplementemia, along with proteinuria equivalent to >0.5 g/24 h, fulfilling the 2019 EULAR/ACR classification criteria for SLE. The patient also developed cerebral venous sinus thrombosis. Treatment with corticosteroids, hydroxychloroquine, and warfarin resulted in significant clinical improvement. At 7 months of follow-up, she remained clinically stable, with normalized serum albumin levels and resolution of thrombosis. This case highlights the challenges of diagnosing PLE as an initial symptom of SLE in resource-limited settings. Heightened awareness of this rare presentation can facilitate early diagnosis and optimal management, improving patient outcomes.</p>","PeriodicalId":48647,"journal":{"name":"International Journal of Immunopathology and Pharmacology","volume":"39 ","pages":"3946320251358304"},"PeriodicalIF":2.6000,"publicationDate":"2025-01-01","publicationTypes":"Journal Article","fieldsOfStudy":null,"isOpenAccess":false,"openAccessPdf":"https://www.ncbi.nlm.nih.gov/pmc/articles/PMC12277556/pdf/","citationCount":"0","resultStr":"{\"title\":\"Protein-losing enteropathy as initial presentation of pediatric systemic lupus erythematosus: A rare case report from Vietnam and literature review.\",\"authors\":\"Cong Mai Thanh, Phuoc Nguyen Trong, Nam Nguyen Thanh\",\"doi\":\"10.1177/03946320251358304\",\"DOIUrl\":null,\"url\":null,\"abstract\":\"<p><p>Protein-losing enteropathy (PLE) is a rare but recognized manifestation of systemic lupus erythematosus (SLE). As an initial presentation of SLE, PLE is exceptionally uncommon, particularly in pediatric patients. We report the case of a 15-year-old Vietnamese girl with no significant past medical or family history, who presented with PLE as the initial manifestation of SLE. Clinical features included bilateral eyelid and lower extremity edema, ascites, and hypoalbuminemia, in the absence of nephrotic-range proteinuria, hepatic dysfunction, or malnutrition. Stool α1-antitrypsin concentration was markedly elevated at >231 mg/dL (normal <26.8 mg/dL), supporting the diagnosis of PLE in conjunction with clinical features and therapeutic response. Immunological evaluation revealed positive antinuclear antibody (ANA), anti-double-stranded DNA (anti-dsDNA) antibody, and lupus anticoagulant, hypocomplementemia, along with proteinuria equivalent to >0.5 g/24 h, fulfilling the 2019 EULAR/ACR classification criteria for SLE. The patient also developed cerebral venous sinus thrombosis. Treatment with corticosteroids, hydroxychloroquine, and warfarin resulted in significant clinical improvement. At 7 months of follow-up, she remained clinically stable, with normalized serum albumin levels and resolution of thrombosis. This case highlights the challenges of diagnosing PLE as an initial symptom of SLE in resource-limited settings. Heightened awareness of this rare presentation can facilitate early diagnosis and optimal management, improving patient outcomes.</p>\",\"PeriodicalId\":48647,\"journal\":{\"name\":\"International Journal of Immunopathology and Pharmacology\",\"volume\":\"39 \",\"pages\":\"3946320251358304\"},\"PeriodicalIF\":2.6000,\"publicationDate\":\"2025-01-01\",\"publicationTypes\":\"Journal Article\",\"fieldsOfStudy\":null,\"isOpenAccess\":false,\"openAccessPdf\":\"https://www.ncbi.nlm.nih.gov/pmc/articles/PMC12277556/pdf/\",\"citationCount\":\"0\",\"resultStr\":null,\"platform\":\"Semanticscholar\",\"paperid\":null,\"PeriodicalName\":\"International Journal of Immunopathology and Pharmacology\",\"FirstCategoryId\":\"3\",\"ListUrlMain\":\"https://doi.org/10.1177/03946320251358304\",\"RegionNum\":3,\"RegionCategory\":\"医学\",\"ArticlePicture\":[],\"TitleCN\":null,\"AbstractTextCN\":null,\"PMCID\":null,\"EPubDate\":\"2025/7/20 0:00:00\",\"PubModel\":\"Epub\",\"JCR\":\"\",\"JCRName\":\"\",\"Score\":null,\"Total\":0}","platform":"Semanticscholar","paperid":null,"PeriodicalName":"International Journal of Immunopathology and Pharmacology","FirstCategoryId":"3","ListUrlMain":"https://doi.org/10.1177/03946320251358304","RegionNum":3,"RegionCategory":"医学","ArticlePicture":[],"TitleCN":null,"AbstractTextCN":null,"PMCID":null,"EPubDate":"2025/7/20 0:00:00","PubModel":"Epub","JCR":"","JCRName":"","Score":null,"Total":0}
引用次数: 0

摘要

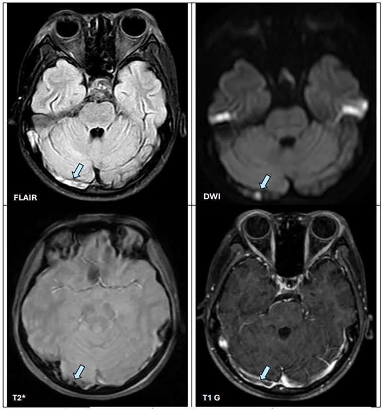
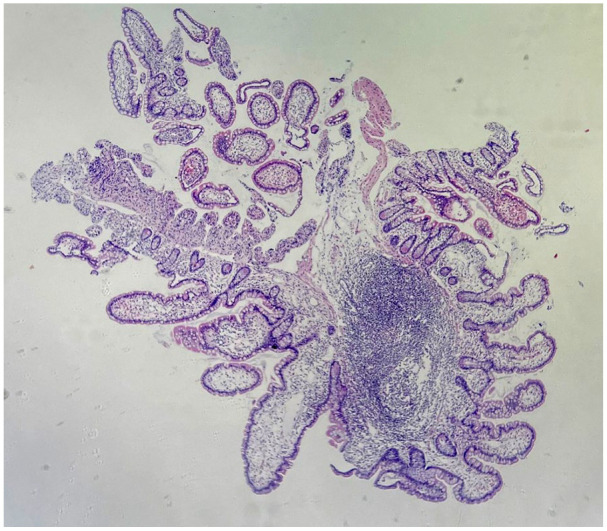
蛋白质丢失性肠病(PLE)是一种罕见但公认的系统性红斑狼疮(SLE)的表现。作为SLE的初始表现,PLE非常罕见,特别是在儿科患者中。我们报告一名15岁的越南女孩,没有明显的既往病史或家族史,她以le作为SLE的初始表现。临床特征包括双眼睑和下肢水肿、腹水和低白蛋白血症,无肾性蛋白尿、肝功能障碍或营养不良。粪便α1-抗胰蛋白酶浓度明显升高,为bb0 231 mg/dL(正常0.5 g/24 h),符合2019年EULAR/ACR SLE分类标准。患者还出现脑静脉窦血栓形成。用皮质类固醇、羟氯喹和华法林治疗可显著改善临床症状。随访7个月,患者临床稳定,血清白蛋白水平正常化,血栓消退。本病例强调了在资源有限的情况下将PLE诊断为SLE的初始症状所面临的挑战。提高对这种罕见表现的认识可以促进早期诊断和最佳管理,改善患者预后。
本文章由计算机程序翻译,如有差异,请以英文原文为准。

Protein-losing enteropathy as initial presentation of pediatric systemic lupus erythematosus: A rare case report from Vietnam and literature review.

Protein-losing enteropathy as initial presentation of pediatric systemic lupus erythematosus: A rare case report from Vietnam and literature review.

Protein-losing enteropathy as initial presentation of pediatric systemic lupus erythematosus: A rare case report from Vietnam and literature review.

Protein-losing enteropathy as initial presentation of pediatric systemic lupus erythematosus: A rare case report from Vietnam and literature review.

Protein-losing enteropathy (PLE) is a rare but recognized manifestation of systemic lupus erythematosus (SLE). As an initial presentation of SLE, PLE is exceptionally uncommon, particularly in pediatric patients. We report the case of a 15-year-old Vietnamese girl with no significant past medical or family history, who presented with PLE as the initial manifestation of SLE. Clinical features included bilateral eyelid and lower extremity edema, ascites, and hypoalbuminemia, in the absence of nephrotic-range proteinuria, hepatic dysfunction, or malnutrition. Stool α1-antitrypsin concentration was markedly elevated at >231 mg/dL (normal <26.8 mg/dL), supporting the diagnosis of PLE in conjunction with clinical features and therapeutic response. Immunological evaluation revealed positive antinuclear antibody (ANA), anti-double-stranded DNA (anti-dsDNA) antibody, and lupus anticoagulant, hypocomplementemia, along with proteinuria equivalent to >0.5 g/24 h, fulfilling the 2019 EULAR/ACR classification criteria for SLE. The patient also developed cerebral venous sinus thrombosis. Treatment with corticosteroids, hydroxychloroquine, and warfarin resulted in significant clinical improvement. At 7 months of follow-up, she remained clinically stable, with normalized serum albumin levels and resolution of thrombosis. This case highlights the challenges of diagnosing PLE as an initial symptom of SLE in resource-limited settings. Heightened awareness of this rare presentation can facilitate early diagnosis and optimal management, improving patient outcomes.

求助全文
通过发布文献求助,成功后即可免费获取论文全文。 去求助
来源期刊
International Journal of Immunopathology and Pharmacology
International Journal of Immunopathology and Pharmacology Immunology and Microbiology-Immunology
自引率
0.00%
发文量
88
期刊介绍: International Journal of Immunopathology and Pharmacology is an Open Access peer-reviewed journal publishing original papers describing research in the fields of immunology, pathology and pharmacology. The intention is that the journal should reflect both the experimental and clinical aspects of immunology as well as advances in the understanding of the pathology and pharmacology of the immune system.
×
引用
GB/T 7714-2015
复制
MLA
复制
APA
复制
导出至
BibTeX EndNote RefMan NoteFirst NoteExpress
×
提示
您的信息不完整,为了账户安全,请先补充。
现在去补充
×
提示
您因"违规操作"
具体请查看互助需知
我知道了
×
提示
确定
请完成安全验证×
copy
已复制链接
快去分享给好友吧!
我知道了
右上角分享
点击右上角分享
0
联系我们:info@booksci.cn Book学术提供免费学术资源搜索服务,方便国内外学者检索中英文文献。致力于提供最便捷和优质的服务体验。 Copyright © 2023 布克学术 All rights reserved.
京ICP备2023020795号-1
ghs 京公网安备 11010802042870号
Book学术文献互助
Book学术文献互助群
群 号:604180095
Book学术官方微信