使用超分辨率切片-体积重建增强胎儿MRI诊断食管闭锁。

IF 2.3 3区 医学 Q2 PEDIATRICS
Pediatric Radiology Pub Date : 2025-08-01 Epub Date: 2025-07-19 DOI:10.1007/s00247-025-06309-z
Delaney Loken, Luis F Goncalves, Mittun Patel, Nicholas Rubert
{"title":"使用超分辨率切片-体积重建增强胎儿MRI诊断食管闭锁。","authors":"Delaney Loken, Luis F Goncalves, Mittun Patel, Nicholas Rubert","doi":"10.1007/s00247-025-06309-z","DOIUrl":null,"url":null,"abstract":"<p><strong>Background: </strong>Prenatal diagnosis of esophageal atresia remains challenging, with indirect signs such as polyhydramnios, a small or absent stomach bubble, and a dilated upper esophageal pouch often inconsistently present. Only 10-40% of EA cases are diagnosed prenatally. Fetal MRI can overcome ultrasound limitations; however, constraints like motion can hinder evaluation of the esophagus.</p><p><strong>Methods: </strong>Super-resolution imaging with slice-to-volume reconstruction (SVR) is one approach that can improve image quality. This technique generates high-resolution 3D images from standard fetal MRI slices to enhance diagnostic accuracy.</p><p><strong>Aim: </strong>We present the application of super-resolution imaging with SVR to accurately diagnose EA and assess the presence or absence tracheoesophageal fistulas.</p><p><strong>Conclusion: </strong>This technique demonstrates significant potential for accurately delineating the relevant surgical anatomy, which can improve surgical planning.</p>","PeriodicalId":19755,"journal":{"name":"Pediatric Radiology","volume":" ","pages":"1943-1946"},"PeriodicalIF":2.3000,"publicationDate":"2025-08-01","publicationTypes":"Journal Article","fieldsOfStudy":null,"isOpenAccess":false,"openAccessPdf":"https://www.ncbi.nlm.nih.gov/pmc/articles/PMC12394271/pdf/","citationCount":"0","resultStr":"{\"title\":\"Enhanced fetal MRI diagnosis of esophageal atresia using super-resolution slice-to-volume reconstruction.\",\"authors\":\"Delaney Loken, Luis F Goncalves, Mittun Patel, Nicholas Rubert\",\"doi\":\"10.1007/s00247-025-06309-z\",\"DOIUrl\":null,\"url\":null,\"abstract\":\"<p><strong>Background: </strong>Prenatal diagnosis of esophageal atresia remains challenging, with indirect signs such as polyhydramnios, a small or absent stomach bubble, and a dilated upper esophageal pouch often inconsistently present. Only 10-40% of EA cases are diagnosed prenatally. Fetal MRI can overcome ultrasound limitations; however, constraints like motion can hinder evaluation of the esophagus.</p><p><strong>Methods: </strong>Super-resolution imaging with slice-to-volume reconstruction (SVR) is one approach that can improve image quality. This technique generates high-resolution 3D images from standard fetal MRI slices to enhance diagnostic accuracy.</p><p><strong>Aim: </strong>We present the application of super-resolution imaging with SVR to accurately diagnose EA and assess the presence or absence tracheoesophageal fistulas.</p><p><strong>Conclusion: </strong>This technique demonstrates significant potential for accurately delineating the relevant surgical anatomy, which can improve surgical planning.</p>\",\"PeriodicalId\":19755,\"journal\":{\"name\":\"Pediatric Radiology\",\"volume\":\" \",\"pages\":\"1943-1946\"},\"PeriodicalIF\":2.3000,\"publicationDate\":\"2025-08-01\",\"publicationTypes\":\"Journal Article\",\"fieldsOfStudy\":null,\"isOpenAccess\":false,\"openAccessPdf\":\"https://www.ncbi.nlm.nih.gov/pmc/articles/PMC12394271/pdf/\",\"citationCount\":\"0\",\"resultStr\":null,\"platform\":\"Semanticscholar\",\"paperid\":null,\"PeriodicalName\":\"Pediatric Radiology\",\"FirstCategoryId\":\"3\",\"ListUrlMain\":\"https://doi.org/10.1007/s00247-025-06309-z\",\"RegionNum\":3,\"RegionCategory\":\"医学\",\"ArticlePicture\":[],\"TitleCN\":null,\"AbstractTextCN\":null,\"PMCID\":null,\"EPubDate\":\"2025/7/19 0:00:00\",\"PubModel\":\"Epub\",\"JCR\":\"Q2\",\"JCRName\":\"PEDIATRICS\",\"Score\":null,\"Total\":0}","platform":"Semanticscholar","paperid":null,"PeriodicalName":"Pediatric Radiology","FirstCategoryId":"3","ListUrlMain":"https://doi.org/10.1007/s00247-025-06309-z","RegionNum":3,"RegionCategory":"医学","ArticlePicture":[],"TitleCN":null,"AbstractTextCN":null,"PMCID":null,"EPubDate":"2025/7/19 0:00:00","PubModel":"Epub","JCR":"Q2","JCRName":"PEDIATRICS","Score":null,"Total":0}
引用次数: 0

摘要

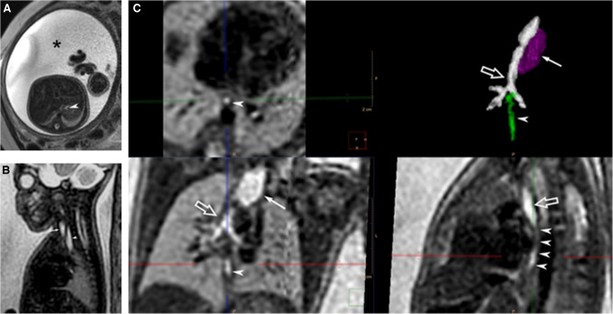
背景:食管闭锁的产前诊断仍然具有挑战性,羊水过多、胃泡小或不存在、食管上袋扩张等间接体征经常不一致地出现。只有10-40%的EA病例是产前诊断出来的。胎儿MRI可以克服超声的限制;然而,运动等限制因素会阻碍对食道的评估。方法:采用切片-体积重构(SVR)技术进行超分辨率成像是提高图像质量的一种方法。该技术从标准的胎儿MRI切片生成高分辨率3D图像,以提高诊断准确性。目的:应用SVR超分辨率成像技术对气管食管瘘进行准确诊断和诊断。结论:该技术在准确描绘相关手术解剖结构方面具有重要潜力,可改善手术计划。
本文章由计算机程序翻译,如有差异,请以英文原文为准。

Enhanced fetal MRI diagnosis of esophageal atresia using super-resolution slice-to-volume reconstruction.

Enhanced fetal MRI diagnosis of esophageal atresia using super-resolution slice-to-volume reconstruction.

Enhanced fetal MRI diagnosis of esophageal atresia using super-resolution slice-to-volume reconstruction.

Background: Prenatal diagnosis of esophageal atresia remains challenging, with indirect signs such as polyhydramnios, a small or absent stomach bubble, and a dilated upper esophageal pouch often inconsistently present. Only 10-40% of EA cases are diagnosed prenatally. Fetal MRI can overcome ultrasound limitations; however, constraints like motion can hinder evaluation of the esophagus.

Methods: Super-resolution imaging with slice-to-volume reconstruction (SVR) is one approach that can improve image quality. This technique generates high-resolution 3D images from standard fetal MRI slices to enhance diagnostic accuracy.

Aim: We present the application of super-resolution imaging with SVR to accurately diagnose EA and assess the presence or absence tracheoesophageal fistulas.

Conclusion: This technique demonstrates significant potential for accurately delineating the relevant surgical anatomy, which can improve surgical planning.

求助全文
通过发布文献求助,成功后即可免费获取论文全文。 去求助
来源期刊
Pediatric Radiology
Pediatric Radiology 医学-核医学
CiteScore
4.40
自引率
17.40%
发文量
300
审稿时长
3-6 weeks
期刊介绍: Official Journal of the European Society of Pediatric Radiology, the Society for Pediatric Radiology and the Asian and Oceanic Society for Pediatric Radiology Pediatric Radiology informs its readers of new findings and progress in all areas of pediatric imaging and in related fields. This is achieved by a blend of original papers, complemented by reviews that set out the present state of knowledge in a particular area of the specialty or summarize specific topics in which discussion has led to clear conclusions. Advances in technology, methodology, apparatus and auxiliary equipment are presented, and modifications of standard techniques are described. Manuscripts submitted for publication must contain a statement to the effect that all human studies have been reviewed by the appropriate ethics committee and have therefore been performed in accordance with the ethical standards laid down in an appropriate version of the 1964 Declaration of Helsinki. It should also be stated clearly in the text that all persons gave their informed consent prior to their inclusion in the study. Details that might disclose the identity of the subjects under study should be omitted.
×
引用
GB/T 7714-2015
复制
MLA
复制
APA
复制
导出至
BibTeX EndNote RefMan NoteFirst NoteExpress
×
提示
您的信息不完整,为了账户安全,请先补充。
现在去补充
×
提示
您因"违规操作"
具体请查看互助需知
我知道了
×
提示
确定
请完成安全验证×
copy
已复制链接
快去分享给好友吧!
我知道了
右上角分享
点击右上角分享
0
联系我们:info@booksci.cn Book学术提供免费学术资源搜索服务,方便国内外学者检索中英文文献。致力于提供最便捷和优质的服务体验。 Copyright © 2023 布克学术 All rights reserved.
京ICP备2023020795号-1
ghs 京公网安备 11010802042870号
Book学术文献互助
Book学术文献互助群
群 号:604180095
Book学术官方微信