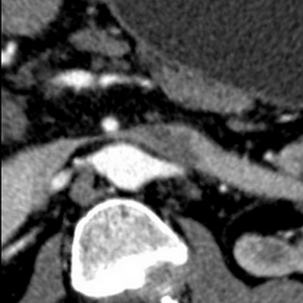
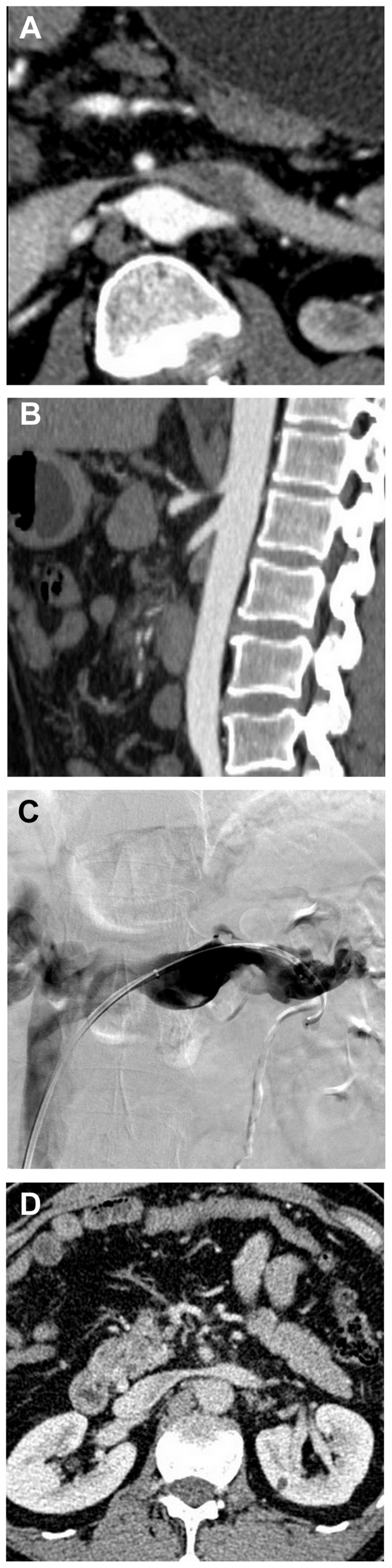
胡桃夹子综合征左肾静脉血栓形成。

IF 2.8 2区 医学 Q2 PERIPHERAL VASCULAR DISEASE
Xin Wei Zhou, Dong Zhe Chai, Hua Yi Zhang
{"title":"胡桃夹子综合征左肾静脉血栓形成。","authors":"Xin Wei Zhou, Dong Zhe Chai, Hua Yi Zhang","doi":"10.1016/j.jvsv.2025.102288","DOIUrl":null,"url":null,"abstract":"","PeriodicalId":17537,"journal":{"name":"Journal of vascular surgery. Venous and lymphatic disorders","volume":" ","pages":"102288"},"PeriodicalIF":2.8000,"publicationDate":"2025-07-16","publicationTypes":"Journal Article","fieldsOfStudy":null,"isOpenAccess":false,"openAccessPdf":"https://www.ncbi.nlm.nih.gov/pmc/articles/PMC12356302/pdf/","citationCount":"0","resultStr":"{\"title\":\"Left renal vein thrombosis with nutcracker syndrome.\",\"authors\":\"Xin Wei Zhou, Dong Zhe Chai, Hua Yi Zhang\",\"doi\":\"10.1016/j.jvsv.2025.102288\",\"DOIUrl\":null,\"url\":null,\"abstract\":\"\",\"PeriodicalId\":17537,\"journal\":{\"name\":\"Journal of vascular surgery. Venous and lymphatic disorders\",\"volume\":\" \",\"pages\":\"102288\"},\"PeriodicalIF\":2.8000,\"publicationDate\":\"2025-07-16\",\"publicationTypes\":\"Journal Article\",\"fieldsOfStudy\":null,\"isOpenAccess\":false,\"openAccessPdf\":\"https://www.ncbi.nlm.nih.gov/pmc/articles/PMC12356302/pdf/\",\"citationCount\":\"0\",\"resultStr\":null,\"platform\":\"Semanticscholar\",\"paperid\":null,\"PeriodicalName\":\"Journal of vascular surgery. Venous and lymphatic disorders\",\"FirstCategoryId\":\"3\",\"ListUrlMain\":\"https://doi.org/10.1016/j.jvsv.2025.102288\",\"RegionNum\":2,\"RegionCategory\":\"医学\",\"ArticlePicture\":[],\"TitleCN\":null,\"AbstractTextCN\":null,\"PMCID\":null,\"EPubDate\":\"\",\"PubModel\":\"\",\"JCR\":\"Q2\",\"JCRName\":\"PERIPHERAL VASCULAR DISEASE\",\"Score\":null,\"Total\":0}","platform":"Semanticscholar","paperid":null,"PeriodicalName":"Journal of vascular surgery. Venous and lymphatic disorders","FirstCategoryId":"3","ListUrlMain":"https://doi.org/10.1016/j.jvsv.2025.102288","RegionNum":2,"RegionCategory":"医学","ArticlePicture":[],"TitleCN":null,"AbstractTextCN":null,"PMCID":null,"EPubDate":"","PubModel":"","JCR":"Q2","JCRName":"PERIPHERAL VASCULAR DISEASE","Score":null,"Total":0}
引用次数: 0

摘要

本文章由计算机程序翻译,如有差异,请以英文原文为准。

Left renal vein thrombosis with nutcracker syndrome.

Left renal vein thrombosis with nutcracker syndrome.

Left renal vein thrombosis with nutcracker syndrome.
求助全文
通过发布文献求助,成功后即可免费获取论文全文。 去求助
来源期刊
Journal of vascular surgery. Venous and lymphatic disorders
Journal of vascular surgery. Venous and lymphatic disorders SURGERYPERIPHERAL VASCULAR DISEASE&n-PERIPHERAL VASCULAR DISEASE
CiteScore
6.30
自引率
18.80%
发文量
328
审稿时长
71 days
期刊介绍: Journal of Vascular Surgery: Venous and Lymphatic Disorders is one of a series of specialist journals launched by the Journal of Vascular Surgery. It aims to be the premier international Journal of medical, endovascular and surgical management of venous and lymphatic disorders. It publishes high quality clinical, research, case reports, techniques, and practice manuscripts related to all aspects of venous and lymphatic disorders, including malformations and wound care, with an emphasis on the practicing clinician. The journal seeks to provide novel and timely information to vascular surgeons, interventionalists, phlebologists, wound care specialists, and allied health professionals who treat patients presenting with vascular and lymphatic disorders. As the official publication of The Society for Vascular Surgery and the American Venous Forum, the Journal will publish, after peer review, selected papers presented at the annual meeting of these organizations and affiliated vascular societies, as well as original articles from members and non-members.
×
引用
GB/T 7714-2015
复制
MLA
复制
APA
复制
导出至
BibTeX EndNote RefMan NoteFirst NoteExpress
×
提示
您的信息不完整,为了账户安全,请先补充。
现在去补充
×
提示
您因"违规操作"
具体请查看互助需知
我知道了
×
提示
确定
请完成安全验证×
copy
已复制链接
快去分享给好友吧!
我知道了
右上角分享
点击右上角分享
0
联系我们:info@booksci.cn Book学术提供免费学术资源搜索服务,方便国内外学者检索中英文文献。致力于提供最便捷和优质的服务体验。 Copyright © 2023 布克学术 All rights reserved.
京ICP备2023020795号-1
ghs 京公网安备 11010802042870号
Book学术文献互助
Book学术文献互助群
群 号:604180095
Book学术官方微信