腹膜前反射在直肠癌治疗中的临床价值分析。

IF 4.2 3区 医学 Q2 GASTROENTEROLOGY & HEPATOLOGY
Gastroenterology Report Pub Date : 2025-07-16 eCollection Date: 2025-01-01 DOI:10.1093/gastro/goaf064
Huaqing Zhang, Guole Lin, Bin Wu, Huizhong Qiu, Junyang Lu, Xiyu Sun, Beizhan Niu, Lai Xu, Guannan Zhang, Zhen Sun, Kexuan Li, Yi Xiao
{"title":"腹膜前反射在直肠癌治疗中的临床价值分析。","authors":"Huaqing Zhang, Guole Lin, Bin Wu, Huizhong Qiu, Junyang Lu, Xiyu Sun, Beizhan Niu, Lai Xu, Guannan Zhang, Zhen Sun, Kexuan Li, Yi Xiao","doi":"10.1093/gastro/goaf064","DOIUrl":null,"url":null,"abstract":"<p><strong>Background: </strong>Tumor location affects rectal cancer management, but no consensus exists on criteria. The anterior peritoneal reflection (aPR), an anatomical landmark, shows potential for defining tumor location but requires clinical validation. This study evaluated the utility of aPR in guiding neoadjuvant chemoradiotherapy (nCRT) decisions and predicting lateral lymph node (LLN)/distant metastasis patterns.</p><p><strong>Methods: </strong>This single-center retrospective cohort analyzed data from Peking Union Medical College Hospital (Beijing, China) between January 2016 and August 2022. Magnetic resonance imaging (MRI)-measured aPR parameters were pathologically validated. Patients were stratified by aPR-based definition and tumor height (10 cm). Kaplan-Meier survival curves, log-rank tests, and Cox regression were used for prognostic analysis.</p><p><strong>Results: </strong>Among 588 patients (439 tumors ≥5 cm from the anal verge), MRI identified aPR with an accuracy of 95.4%. For tumors ≥5 cm, aPR-defined middle-to-low rectal cancer showed lower 3-year disease-free survival (DFS) rate than the upper rectal cancer (<i>P </i>= 0.010), while their 3-year overall survival (OS) rates were comparable. Conversely, 10-cm-defined classification showed no DFS or OS differences (both <i>P </i>> 0.2). Cox regression confirmed aPR-defined classification as an independent DFS predictor (HR = 3.19, <i>P </i>= 0.014), while 10-cm classification was non-predictive. nCRT with tumor regression grade (TRG) 0-1 trended toward improved DFS compared with direct surgery (HR = 0.56, <i>P </i>= 0.072). The independent protective effect of nCRT with TRG 0-1 for DFS was exclusive to the aPR-defined middle-to-low rectal cancer subgroup (HR = 0.45, <i>P </i>= 0.026) and not observed in the 10-cm subgroup. aPR-defined classification was independently associated with LLNs on MRI and postoperative pulmonary metastasis.</p><p><strong>Conclusion: </strong>aPR may guide nCRT decision-making and predict LLN metastasis and postoperative distant organ metastasis.</p>","PeriodicalId":54275,"journal":{"name":"Gastroenterology Report","volume":"13 ","pages":"goaf064"},"PeriodicalIF":4.2000,"publicationDate":"2025-07-16","publicationTypes":"Journal Article","fieldsOfStudy":null,"isOpenAccess":false,"openAccessPdf":"https://www.ncbi.nlm.nih.gov/pmc/articles/PMC12267148/pdf/","citationCount":"0","resultStr":"{\"title\":\"Analysis of the clinical value of anterior peritoneal reflection for the management of rectal cancer.\",\"authors\":\"Huaqing Zhang, Guole Lin, Bin Wu, Huizhong Qiu, Junyang Lu, Xiyu Sun, Beizhan Niu, Lai Xu, Guannan Zhang, Zhen Sun, Kexuan Li, Yi Xiao\",\"doi\":\"10.1093/gastro/goaf064\",\"DOIUrl\":null,\"url\":null,\"abstract\":\"<p><strong>Background: </strong>Tumor location affects rectal cancer management, but no consensus exists on criteria. The anterior peritoneal reflection (aPR), an anatomical landmark, shows potential for defining tumor location but requires clinical validation. This study evaluated the utility of aPR in guiding neoadjuvant chemoradiotherapy (nCRT) decisions and predicting lateral lymph node (LLN)/distant metastasis patterns.</p><p><strong>Methods: </strong>This single-center retrospective cohort analyzed data from Peking Union Medical College Hospital (Beijing, China) between January 2016 and August 2022. Magnetic resonance imaging (MRI)-measured aPR parameters were pathologically validated. Patients were stratified by aPR-based definition and tumor height (10 cm). Kaplan-Meier survival curves, log-rank tests, and Cox regression were used for prognostic analysis.</p><p><strong>Results: </strong>Among 588 patients (439 tumors ≥5 cm from the anal verge), MRI identified aPR with an accuracy of 95.4%. For tumors ≥5 cm, aPR-defined middle-to-low rectal cancer showed lower 3-year disease-free survival (DFS) rate than the upper rectal cancer (<i>P </i>= 0.010), while their 3-year overall survival (OS) rates were comparable. Conversely, 10-cm-defined classification showed no DFS or OS differences (both <i>P </i>> 0.2). Cox regression confirmed aPR-defined classification as an independent DFS predictor (HR = 3.19, <i>P </i>= 0.014), while 10-cm classification was non-predictive. nCRT with tumor regression grade (TRG) 0-1 trended toward improved DFS compared with direct surgery (HR = 0.56, <i>P </i>= 0.072). The independent protective effect of nCRT with TRG 0-1 for DFS was exclusive to the aPR-defined middle-to-low rectal cancer subgroup (HR = 0.45, <i>P </i>= 0.026) and not observed in the 10-cm subgroup. aPR-defined classification was independently associated with LLNs on MRI and postoperative pulmonary metastasis.</p><p><strong>Conclusion: </strong>aPR may guide nCRT decision-making and predict LLN metastasis and postoperative distant organ metastasis.</p>\",\"PeriodicalId\":54275,\"journal\":{\"name\":\"Gastroenterology Report\",\"volume\":\"13 \",\"pages\":\"goaf064\"},\"PeriodicalIF\":4.2000,\"publicationDate\":\"2025-07-16\",\"publicationTypes\":\"Journal Article\",\"fieldsOfStudy\":null,\"isOpenAccess\":false,\"openAccessPdf\":\"https://www.ncbi.nlm.nih.gov/pmc/articles/PMC12267148/pdf/\",\"citationCount\":\"0\",\"resultStr\":null,\"platform\":\"Semanticscholar\",\"paperid\":null,\"PeriodicalName\":\"Gastroenterology Report\",\"FirstCategoryId\":\"3\",\"ListUrlMain\":\"https://doi.org/10.1093/gastro/goaf064\",\"RegionNum\":3,\"RegionCategory\":\"医学\",\"ArticlePicture\":[],\"TitleCN\":null,\"AbstractTextCN\":null,\"PMCID\":null,\"EPubDate\":\"2025/1/1 0:00:00\",\"PubModel\":\"eCollection\",\"JCR\":\"Q2\",\"JCRName\":\"GASTROENTEROLOGY & HEPATOLOGY\",\"Score\":null,\"Total\":0}","platform":"Semanticscholar","paperid":null,"PeriodicalName":"Gastroenterology Report","FirstCategoryId":"3","ListUrlMain":"https://doi.org/10.1093/gastro/goaf064","RegionNum":3,"RegionCategory":"医学","ArticlePicture":[],"TitleCN":null,"AbstractTextCN":null,"PMCID":null,"EPubDate":"2025/1/1 0:00:00","PubModel":"eCollection","JCR":"Q2","JCRName":"GASTROENTEROLOGY & HEPATOLOGY","Score":null,"Total":0}
引用次数: 0

摘要

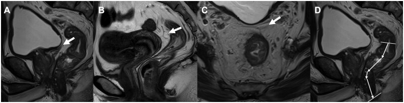
背景:肿瘤位置影响直肠癌的治疗,但在标准上尚无共识。腹膜前反射(aPR)是一个解剖学上的里程碑,显示了确定肿瘤位置的潜力,但需要临床验证。本研究评估了aPR在指导新辅助放化疗(nCRT)决策和预测侧淋巴结(LLN)/远处转移模式方面的效用。方法:该单中心回顾性队列分析2016年1月至2022年8月北京协和医院的数据。磁共振成像(MRI)测量的aPR参数进行病理验证。根据apr定义和肿瘤高度(10 cm)对患者进行分层。预后分析采用Kaplan-Meier生存曲线、log-rank检验和Cox回归。结果:588例患者中(439例肿瘤距肛门边缘≥5 cm), MRI识别aPR的准确率为95.4%。对于≥5 cm的肿瘤,apr定义的中低位直肠癌的3年无病生存(DFS)率低于上低位直肠癌(P = 0.010),而它们的3年总生存(OS)率相当。相反,10厘米定义的分类没有显示DFS或OS差异(P均为0.0.2)。Cox回归证实apr定义的分类是独立的DFS预测因子(HR = 3.19, P = 0.014),而10-cm分类无预测作用。与直接手术相比,肿瘤消退等级(TRG)为0-1的nCRT有改善DFS的趋势(HR = 0.56, P = 0.072)。TRG 0-1的nCRT对DFS的独立保护作用仅存在于apr定义的中低位直肠癌亚组(HR = 0.45, P = 0.026),而在10 cm亚组中未观察到。apr定义的分类与MRI上的lln和术后肺转移独立相关。结论:aPR可指导nCRT决策,预测LLN转移及术后远端器官转移。
本文章由计算机程序翻译,如有差异,请以英文原文为准。

Analysis of the clinical value of anterior peritoneal reflection for the management of rectal cancer.

Analysis of the clinical value of anterior peritoneal reflection for the management of rectal cancer.

Analysis of the clinical value of anterior peritoneal reflection for the management of rectal cancer.

Analysis of the clinical value of anterior peritoneal reflection for the management of rectal cancer.

Background: Tumor location affects rectal cancer management, but no consensus exists on criteria. The anterior peritoneal reflection (aPR), an anatomical landmark, shows potential for defining tumor location but requires clinical validation. This study evaluated the utility of aPR in guiding neoadjuvant chemoradiotherapy (nCRT) decisions and predicting lateral lymph node (LLN)/distant metastasis patterns.

Methods: This single-center retrospective cohort analyzed data from Peking Union Medical College Hospital (Beijing, China) between January 2016 and August 2022. Magnetic resonance imaging (MRI)-measured aPR parameters were pathologically validated. Patients were stratified by aPR-based definition and tumor height (10 cm). Kaplan-Meier survival curves, log-rank tests, and Cox regression were used for prognostic analysis.

Results: Among 588 patients (439 tumors ≥5 cm from the anal verge), MRI identified aPR with an accuracy of 95.4%. For tumors ≥5 cm, aPR-defined middle-to-low rectal cancer showed lower 3-year disease-free survival (DFS) rate than the upper rectal cancer (P = 0.010), while their 3-year overall survival (OS) rates were comparable. Conversely, 10-cm-defined classification showed no DFS or OS differences (both P > 0.2). Cox regression confirmed aPR-defined classification as an independent DFS predictor (HR = 3.19, P = 0.014), while 10-cm classification was non-predictive. nCRT with tumor regression grade (TRG) 0-1 trended toward improved DFS compared with direct surgery (HR = 0.56, P = 0.072). The independent protective effect of nCRT with TRG 0-1 for DFS was exclusive to the aPR-defined middle-to-low rectal cancer subgroup (HR = 0.45, P = 0.026) and not observed in the 10-cm subgroup. aPR-defined classification was independently associated with LLNs on MRI and postoperative pulmonary metastasis.

Conclusion: aPR may guide nCRT decision-making and predict LLN metastasis and postoperative distant organ metastasis.

求助全文
通过发布文献求助,成功后即可免费获取论文全文。 去求助
来源期刊
Gastroenterology Report
Gastroenterology Report Medicine-Gastroenterology
CiteScore
4.60
自引率
2.80%
发文量
63
审稿时长
8 weeks
期刊介绍: Gastroenterology Report is an international fully open access (OA) online only journal, covering all areas related to gastrointestinal sciences, including studies of the alimentary tract, liver, biliary, pancreas, enteral nutrition and related fields. The journal aims to publish high quality research articles on both basic and clinical gastroenterology, authoritative reviews that bring together new advances in the field, as well as commentaries and highlight pieces that provide expert analysis of topical issues.
×
引用
GB/T 7714-2015
复制
MLA
复制
APA
复制
导出至
BibTeX EndNote RefMan NoteFirst NoteExpress
×
提示
您的信息不完整,为了账户安全,请先补充。
现在去补充
×
提示
您因"违规操作"
具体请查看互助需知
我知道了
×
提示
确定
请完成安全验证×
copy
已复制链接
快去分享给好友吧!
我知道了
右上角分享
点击右上角分享
0
联系我们:info@booksci.cn Book学术提供免费学术资源搜索服务,方便国内外学者检索中英文文献。致力于提供最便捷和优质的服务体验。 Copyright © 2023 布克学术 All rights reserved.
京ICP备2023020795号-1
ghs 京公网安备 11010802042870号
Book学术文献互助
Book学术文献互助群
群 号:604180095
Book学术官方微信