致死性COVID-19患者的衰老和肺免疫反应失调

IF 5.6 2区 医学 Q1 GERIATRICS & GERONTOLOGY
Natália de Souza Xavier Costa, Jôse Mara de Brito, Carla Froio, Gabriel Ribeiro Júnior, Ana Carolina Alves Lamounier, Leila Antonangelo, Caroline Silvério Faria, Juliana Tiyaki Ito, Fernanda Degobbi Tenorio Quirino Dos Santos Lopes, Renata Aparecida de Almeida Monteiro, Amaro Nunes Duarte-Neto, Paulo Hilário Nascimento Saldiva, Luiz Fernando Ferraz da Silva, Marisa Dolhnikoff, Thais Mauad
{"title":"致死性COVID-19患者的衰老和肺免疫反应失调","authors":"Natália de Souza Xavier Costa, Jôse Mara de Brito, Carla Froio, Gabriel Ribeiro Júnior, Ana Carolina Alves Lamounier, Leila Antonangelo, Caroline Silvério Faria, Juliana Tiyaki Ito, Fernanda Degobbi Tenorio Quirino Dos Santos Lopes, Renata Aparecida de Almeida Monteiro, Amaro Nunes Duarte-Neto, Paulo Hilário Nascimento Saldiva, Luiz Fernando Ferraz da Silva, Marisa Dolhnikoff, Thais Mauad","doi":"10.1186/s12979-025-00525-9","DOIUrl":null,"url":null,"abstract":"<p><p>Elderly individuals were disproportionally affected during the COVID-19 pandemic, and more than 80% of the global COVID-19-related deaths between 2020 and 2021 occurred among people aged 60 years or older. Several cellular modifications in aged cells may lead to systemic inflammation and fibrotic responses. Age or exogenous insults induce cellular senescence, further increasing the release of pro-inflammatory mediators, leading to the condition known as inflammaging, that can contribute to disease severity. Older individuals presented signs of systemic hyperinflammation in severe COVID-19, but few studies analyzed the influence of age on lung tissue responses in cases of severe COVID-19. We hypothesized that age related alterations regarding innate/acquired immunity and cellular senescence in lung tissue of individuals without lung diseases could predispose to viral infection. We also aimed to identify how the aged lung responded to severe COVID-19 infection. We studied lung tissues from 19 individuals that died from non-pulmonary causes and 28 adult individuals who died from COVID-19 between March and May of 2020, divided according to their age (> or < 60 years). Tissue sections were stained, via immunohistochemistry, and 19 markers among immune cells, COVID-19 receptors, cytokines and senescence were analyzed in the lung parenchyma of both groups. In the COVID-19 group, the Luminex multiplex assay technique was used to detect a panel of 25 cytokines/chemokines. In control lungs, aged individuals had a lower TLR7 expression, without differences in other markers. Older patients had a shorter time between onset of symptoms and death, with a significant negative correlation with age. Unlike the adult younger group, older COVID - 19 patients presented significant differences in relation to their age matched controls in the expression of CD8 + T cells, IFN-α2, TLR7, pSTAT-3, p21 and p53. They also presented higher protein expression that IFN-α2 and TGF-beta than the adult COVID-19 group, with a trend to decreased CD20 + cell density in the lungs. Taken together, our data show age adversely affects the lung expression of key proteins related to COVID-19 susceptibility and severity, by perpetuating inflammation and increasing pro-fibrotic responses.</p>","PeriodicalId":51289,"journal":{"name":"Immunity & Ageing","volume":"22 1","pages":"32"},"PeriodicalIF":5.6000,"publicationDate":"2025-07-17","publicationTypes":"Journal Article","fieldsOfStudy":null,"isOpenAccess":false,"openAccessPdf":"https://www.ncbi.nlm.nih.gov/pmc/articles/PMC12269165/pdf/","citationCount":"0","resultStr":"{\"title\":\"Ageing and dysregulated lung immune responses in fatal COVID-19.\",\"authors\":\"Natália de Souza Xavier Costa, Jôse Mara de Brito, Carla Froio, Gabriel Ribeiro Júnior, Ana Carolina Alves Lamounier, Leila Antonangelo, Caroline Silvério Faria, Juliana Tiyaki Ito, Fernanda Degobbi Tenorio Quirino Dos Santos Lopes, Renata Aparecida de Almeida Monteiro, Amaro Nunes Duarte-Neto, Paulo Hilário Nascimento Saldiva, Luiz Fernando Ferraz da Silva, Marisa Dolhnikoff, Thais Mauad\",\"doi\":\"10.1186/s12979-025-00525-9\",\"DOIUrl\":null,\"url\":null,\"abstract\":\"<p><p>Elderly individuals were disproportionally affected during the COVID-19 pandemic, and more than 80% of the global COVID-19-related deaths between 2020 and 2021 occurred among people aged 60 years or older. Several cellular modifications in aged cells may lead to systemic inflammation and fibrotic responses. Age or exogenous insults induce cellular senescence, further increasing the release of pro-inflammatory mediators, leading to the condition known as inflammaging, that can contribute to disease severity. Older individuals presented signs of systemic hyperinflammation in severe COVID-19, but few studies analyzed the influence of age on lung tissue responses in cases of severe COVID-19. We hypothesized that age related alterations regarding innate/acquired immunity and cellular senescence in lung tissue of individuals without lung diseases could predispose to viral infection. We also aimed to identify how the aged lung responded to severe COVID-19 infection. We studied lung tissues from 19 individuals that died from non-pulmonary causes and 28 adult individuals who died from COVID-19 between March and May of 2020, divided according to their age (> or < 60 years). Tissue sections were stained, via immunohistochemistry, and 19 markers among immune cells, COVID-19 receptors, cytokines and senescence were analyzed in the lung parenchyma of both groups. In the COVID-19 group, the Luminex multiplex assay technique was used to detect a panel of 25 cytokines/chemokines. In control lungs, aged individuals had a lower TLR7 expression, without differences in other markers. Older patients had a shorter time between onset of symptoms and death, with a significant negative correlation with age. Unlike the adult younger group, older COVID - 19 patients presented significant differences in relation to their age matched controls in the expression of CD8 + T cells, IFN-α2, TLR7, pSTAT-3, p21 and p53. They also presented higher protein expression that IFN-α2 and TGF-beta than the adult COVID-19 group, with a trend to decreased CD20 + cell density in the lungs. Taken together, our data show age adversely affects the lung expression of key proteins related to COVID-19 susceptibility and severity, by perpetuating inflammation and increasing pro-fibrotic responses.</p>\",\"PeriodicalId\":51289,\"journal\":{\"name\":\"Immunity & Ageing\",\"volume\":\"22 1\",\"pages\":\"32\"},\"PeriodicalIF\":5.6000,\"publicationDate\":\"2025-07-17\",\"publicationTypes\":\"Journal Article\",\"fieldsOfStudy\":null,\"isOpenAccess\":false,\"openAccessPdf\":\"https://www.ncbi.nlm.nih.gov/pmc/articles/PMC12269165/pdf/\",\"citationCount\":\"0\",\"resultStr\":null,\"platform\":\"Semanticscholar\",\"paperid\":null,\"PeriodicalName\":\"Immunity & Ageing\",\"FirstCategoryId\":\"3\",\"ListUrlMain\":\"https://doi.org/10.1186/s12979-025-00525-9\",\"RegionNum\":2,\"RegionCategory\":\"医学\",\"ArticlePicture\":[],\"TitleCN\":null,\"AbstractTextCN\":null,\"PMCID\":null,\"EPubDate\":\"\",\"PubModel\":\"\",\"JCR\":\"Q1\",\"JCRName\":\"GERIATRICS & GERONTOLOGY\",\"Score\":null,\"Total\":0}","platform":"Semanticscholar","paperid":null,"PeriodicalName":"Immunity & Ageing","FirstCategoryId":"3","ListUrlMain":"https://doi.org/10.1186/s12979-025-00525-9","RegionNum":2,"RegionCategory":"医学","ArticlePicture":[],"TitleCN":null,"AbstractTextCN":null,"PMCID":null,"EPubDate":"","PubModel":"","JCR":"Q1","JCRName":"GERIATRICS & GERONTOLOGY","Score":null,"Total":0}
引用次数: 0

摘要

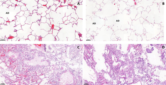
在2019冠状病毒病大流行期间,老年人受到的影响不成比例,2020年至2021年期间,全球与COVID-19相关的死亡人数中,80%以上发生在60岁及以上的人群中。衰老细胞中的一些细胞修饰可能导致全身炎症和纤维化反应。年龄或外源性损伤诱导细胞衰老,进一步增加促炎介质的释放,导致炎症,这可能有助于疾病的严重程度。老年人在重症COVID-19中表现出全身性高炎症的迹象,但很少有研究分析年龄对重症COVID-19病例中肺组织反应的影响。我们假设,在没有肺部疾病的个体中,与年龄相关的先天/获得性免疫和肺组织细胞衰老的改变可能易导致病毒感染。我们还旨在确定老年肺部如何应对严重的COVID-19感染。我们研究了2020年3月至5月期间19名死于非肺部原因的人和28名死于COVID-19的成年人的肺组织,并根据他们的年龄(60岁或60岁)进行了划分
本文章由计算机程序翻译,如有差异,请以英文原文为准。

Ageing and dysregulated lung immune responses in fatal COVID-19.

Ageing and dysregulated lung immune responses in fatal COVID-19.

Ageing and dysregulated lung immune responses in fatal COVID-19.

Ageing and dysregulated lung immune responses in fatal COVID-19.

Elderly individuals were disproportionally affected during the COVID-19 pandemic, and more than 80% of the global COVID-19-related deaths between 2020 and 2021 occurred among people aged 60 years or older. Several cellular modifications in aged cells may lead to systemic inflammation and fibrotic responses. Age or exogenous insults induce cellular senescence, further increasing the release of pro-inflammatory mediators, leading to the condition known as inflammaging, that can contribute to disease severity. Older individuals presented signs of systemic hyperinflammation in severe COVID-19, but few studies analyzed the influence of age on lung tissue responses in cases of severe COVID-19. We hypothesized that age related alterations regarding innate/acquired immunity and cellular senescence in lung tissue of individuals without lung diseases could predispose to viral infection. We also aimed to identify how the aged lung responded to severe COVID-19 infection. We studied lung tissues from 19 individuals that died from non-pulmonary causes and 28 adult individuals who died from COVID-19 between March and May of 2020, divided according to their age (> or < 60 years). Tissue sections were stained, via immunohistochemistry, and 19 markers among immune cells, COVID-19 receptors, cytokines and senescence were analyzed in the lung parenchyma of both groups. In the COVID-19 group, the Luminex multiplex assay technique was used to detect a panel of 25 cytokines/chemokines. In control lungs, aged individuals had a lower TLR7 expression, without differences in other markers. Older patients had a shorter time between onset of symptoms and death, with a significant negative correlation with age. Unlike the adult younger group, older COVID - 19 patients presented significant differences in relation to their age matched controls in the expression of CD8 + T cells, IFN-α2, TLR7, pSTAT-3, p21 and p53. They also presented higher protein expression that IFN-α2 and TGF-beta than the adult COVID-19 group, with a trend to decreased CD20 + cell density in the lungs. Taken together, our data show age adversely affects the lung expression of key proteins related to COVID-19 susceptibility and severity, by perpetuating inflammation and increasing pro-fibrotic responses.

求助全文
通过发布文献求助,成功后即可免费获取论文全文。 去求助
来源期刊
Immunity & Ageing
Immunity & Ageing GERIATRICS & GERONTOLOGY-IMMUNOLOGY
CiteScore
10.20
自引率
3.80%
发文量
55
期刊介绍: Immunity & Ageing is a specialist open access journal that was first published in 2004. The journal focuses on the impact of ageing on immune systems, the influence of aged immune systems on organismal well-being and longevity, age-associated diseases with immune etiology, and potential immune interventions to increase health span. All articles published in Immunity & Ageing are indexed in the following databases: Biological Abstracts, BIOSIS, CAS, Citebase, DOAJ, Embase, Google Scholar, Journal Citation Reports/Science Edition, OAIster, PubMed, PubMed Central, Science Citation Index Expanded, SCImago, Scopus, SOCOLAR, and Zetoc.
×
引用
GB/T 7714-2015
复制
MLA
复制
APA
复制
导出至
BibTeX EndNote RefMan NoteFirst NoteExpress
×
提示
您的信息不完整,为了账户安全,请先补充。
现在去补充
×
提示
您因"违规操作"
具体请查看互助需知
我知道了
×
提示
确定
请完成安全验证×
copy
已复制链接
快去分享给好友吧!
我知道了
右上角分享
点击右上角分享
0
联系我们:info@booksci.cn Book学术提供免费学术资源搜索服务,方便国内外学者检索中英文文献。致力于提供最便捷和优质的服务体验。 Copyright © 2023 布克学术 All rights reserved.
京ICP备2023020795号-1
ghs 京公网安备 11010802042870号
Book学术文献互助
Book学术文献互助群
群 号:604180095
Book学术官方微信