肺泡结节病模拟特发性间质性肺炎,无纵隔淋巴结病。

IF 0.8 Q4 RESPIRATORY SYSTEM
Respirology Case Reports Pub Date : 2025-07-16 eCollection Date: 2025-07-01 DOI:10.1002/rcr2.70278
Hiroki Kanasaki, Noriyuki Enomoto, Yuko Tanaka, Suguru Kojima, Keisuke Morikawa, Shogo Nakai, Shusuke Yazawa, Yasutaka Mochizuka, Yusuke Inoue, Hideki Yasui, Hironao Hozumi, Yuzo Suzuki, Masato Karayama, Kazuki Furuhashi, Tomoyuki Fujisawa, Naoki Inui, Sayaka Ishigaki, Naro Ohashi, Yasunori Enomoto, Satoshi Baba, Kazuhiro Tabata, Takeshi Johkoh, Takafumi Suda
{"title":"肺泡结节病模拟特发性间质性肺炎,无纵隔淋巴结病。","authors":"Hiroki Kanasaki, Noriyuki Enomoto, Yuko Tanaka, Suguru Kojima, Keisuke Morikawa, Shogo Nakai, Shusuke Yazawa, Yasutaka Mochizuka, Yusuke Inoue, Hideki Yasui, Hironao Hozumi, Yuzo Suzuki, Masato Karayama, Kazuki Furuhashi, Tomoyuki Fujisawa, Naoki Inui, Sayaka Ishigaki, Naro Ohashi, Yasunori Enomoto, Satoshi Baba, Kazuhiro Tabata, Takeshi Johkoh, Takafumi Suda","doi":"10.1002/rcr2.70278","DOIUrl":null,"url":null,"abstract":"<p><p>We present a case of alveolar sarcoidosis showing lower lobe-predominant areas of airspace consolidation and ground-glass attenuation on HRCT, mimicking idiopathic interstitial pneumonia (IIP) with spontaneous wandering. Mediastinal lymphadenopathy and uveitis were negative. Surgical lung biopsy revealed multiple non-necrotising granulomas. Alveolar sarcoidosis that mimics IIP without mediastinal lymphadenopathy is rare.</p>","PeriodicalId":45846,"journal":{"name":"Respirology Case Reports","volume":"13 7","pages":"e70278"},"PeriodicalIF":0.8000,"publicationDate":"2025-07-16","publicationTypes":"Journal Article","fieldsOfStudy":null,"isOpenAccess":false,"openAccessPdf":"https://www.ncbi.nlm.nih.gov/pmc/articles/PMC12266983/pdf/","citationCount":"0","resultStr":"{\"title\":\"Alveolar Sarcoidosis Mimicking Idiopathic Interstitial Pneumonia Without Mediastinal Lymphadenopathy.\",\"authors\":\"Hiroki Kanasaki, Noriyuki Enomoto, Yuko Tanaka, Suguru Kojima, Keisuke Morikawa, Shogo Nakai, Shusuke Yazawa, Yasutaka Mochizuka, Yusuke Inoue, Hideki Yasui, Hironao Hozumi, Yuzo Suzuki, Masato Karayama, Kazuki Furuhashi, Tomoyuki Fujisawa, Naoki Inui, Sayaka Ishigaki, Naro Ohashi, Yasunori Enomoto, Satoshi Baba, Kazuhiro Tabata, Takeshi Johkoh, Takafumi Suda\",\"doi\":\"10.1002/rcr2.70278\",\"DOIUrl\":null,\"url\":null,\"abstract\":\"<p><p>We present a case of alveolar sarcoidosis showing lower lobe-predominant areas of airspace consolidation and ground-glass attenuation on HRCT, mimicking idiopathic interstitial pneumonia (IIP) with spontaneous wandering. Mediastinal lymphadenopathy and uveitis were negative. Surgical lung biopsy revealed multiple non-necrotising granulomas. Alveolar sarcoidosis that mimics IIP without mediastinal lymphadenopathy is rare.</p>\",\"PeriodicalId\":45846,\"journal\":{\"name\":\"Respirology Case Reports\",\"volume\":\"13 7\",\"pages\":\"e70278\"},\"PeriodicalIF\":0.8000,\"publicationDate\":\"2025-07-16\",\"publicationTypes\":\"Journal Article\",\"fieldsOfStudy\":null,\"isOpenAccess\":false,\"openAccessPdf\":\"https://www.ncbi.nlm.nih.gov/pmc/articles/PMC12266983/pdf/\",\"citationCount\":\"0\",\"resultStr\":null,\"platform\":\"Semanticscholar\",\"paperid\":null,\"PeriodicalName\":\"Respirology Case Reports\",\"FirstCategoryId\":\"1085\",\"ListUrlMain\":\"https://doi.org/10.1002/rcr2.70278\",\"RegionNum\":0,\"RegionCategory\":null,\"ArticlePicture\":[],\"TitleCN\":null,\"AbstractTextCN\":null,\"PMCID\":null,\"EPubDate\":\"2025/7/1 0:00:00\",\"PubModel\":\"eCollection\",\"JCR\":\"Q4\",\"JCRName\":\"RESPIRATORY SYSTEM\",\"Score\":null,\"Total\":0}","platform":"Semanticscholar","paperid":null,"PeriodicalName":"Respirology Case Reports","FirstCategoryId":"1085","ListUrlMain":"https://doi.org/10.1002/rcr2.70278","RegionNum":0,"RegionCategory":null,"ArticlePicture":[],"TitleCN":null,"AbstractTextCN":null,"PMCID":null,"EPubDate":"2025/7/1 0:00:00","PubModel":"eCollection","JCR":"Q4","JCRName":"RESPIRATORY SYSTEM","Score":null,"Total":0}
引用次数: 0

摘要

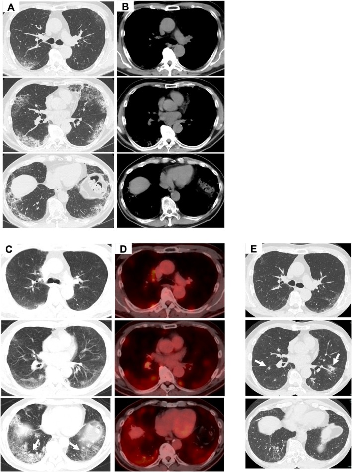
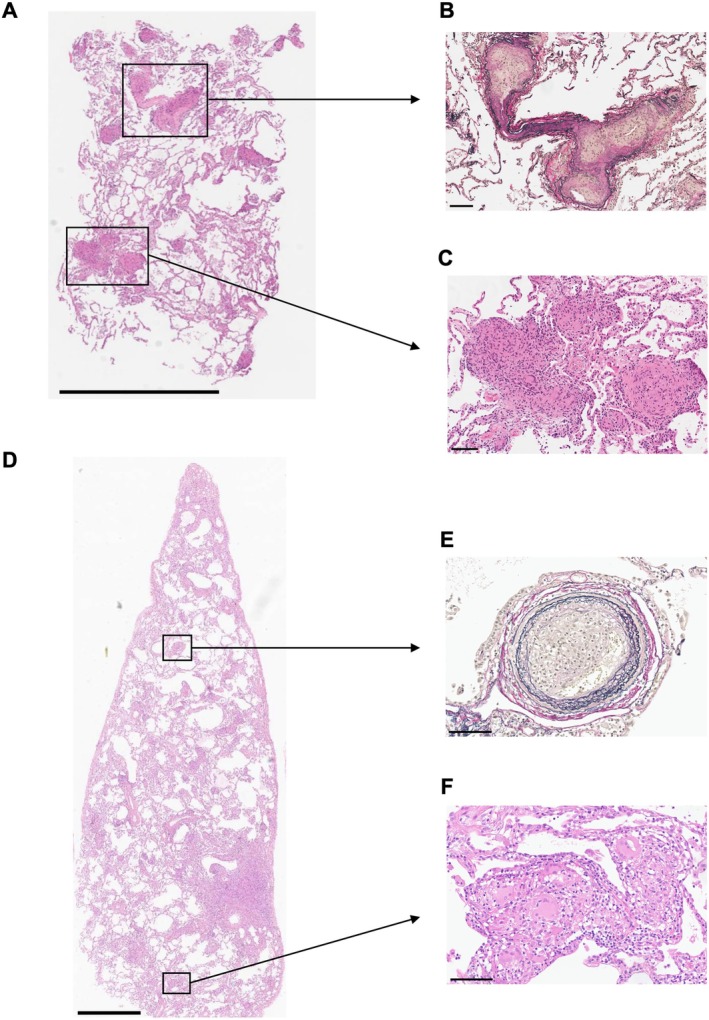
我们报告一个肺泡结节病的病例,在HRCT上显示下叶为主的空域实变和磨玻璃衰减,模拟自发性游荡的特发性间质性肺炎(IIP)。纵隔淋巴结病和葡萄膜炎阴性。手术肺活检显示多发非坏死性肉芽肿。肺泡结节病与IIP相似,但不伴有纵隔淋巴结病变。
本文章由计算机程序翻译,如有差异,请以英文原文为准。

Alveolar Sarcoidosis Mimicking Idiopathic Interstitial Pneumonia Without Mediastinal Lymphadenopathy.

Alveolar Sarcoidosis Mimicking Idiopathic Interstitial Pneumonia Without Mediastinal Lymphadenopathy.

Alveolar Sarcoidosis Mimicking Idiopathic Interstitial Pneumonia Without Mediastinal Lymphadenopathy.

Alveolar Sarcoidosis Mimicking Idiopathic Interstitial Pneumonia Without Mediastinal Lymphadenopathy.

We present a case of alveolar sarcoidosis showing lower lobe-predominant areas of airspace consolidation and ground-glass attenuation on HRCT, mimicking idiopathic interstitial pneumonia (IIP) with spontaneous wandering. Mediastinal lymphadenopathy and uveitis were negative. Surgical lung biopsy revealed multiple non-necrotising granulomas. Alveolar sarcoidosis that mimics IIP without mediastinal lymphadenopathy is rare.

求助全文
通过发布文献求助,成功后即可免费获取论文全文。 去求助
来源期刊
Respirology Case Reports
Respirology Case Reports RESPIRATORY SYSTEM-
CiteScore
1.40
自引率
0.00%
发文量
178
审稿时长
8 weeks
期刊介绍: Respirology Case Reports is an open-access online journal dedicated to the publication of original clinical case reports, case series, clinical images and clinical videos in all fields of respiratory medicine. The Journal encourages the international exchange between clinicians and researchers of experiences in diagnosing and treating uncommon diseases or diseases with unusual presentations. All manuscripts are peer-reviewed through a streamlined process that aims at providing a rapid turnaround time from submission to publication.
×
引用
GB/T 7714-2015
复制
MLA
复制
APA
复制
导出至
BibTeX EndNote RefMan NoteFirst NoteExpress
×
提示
您的信息不完整,为了账户安全,请先补充。
现在去补充
×
提示
您因"违规操作"
具体请查看互助需知
我知道了
×
提示
确定
请完成安全验证×
copy
已复制链接
快去分享给好友吧!
我知道了
右上角分享
点击右上角分享
0
联系我们:info@booksci.cn Book学术提供免费学术资源搜索服务,方便国内外学者检索中英文文献。致力于提供最便捷和优质的服务体验。 Copyright © 2023 布克学术 All rights reserved.
京ICP备2023020795号-1
ghs 京公网安备 11010802042870号
Book学术文献互助
Book学术文献互助群
群 号:604180095
Book学术官方微信