CD8+肿瘤浸润淋巴细胞在肺腺癌中的意义

IF 2.3 3区 医学 Q3 ONCOLOGY
Kazu Shiomi, Masaaki Ichinoe, Ai Ushiwata, Ryo Nagashio, Shoko Hayashi, Dai Sonoda, Yasuto Kondo, Satoru Tamagawa, Shunsuke Mitsuhashi, Yuka Sugiyama, Masahito Naito, Masashi Mikubo, Masayuki Shirasawa, Yoshiro Nakahara, Takashi Sato, Katsuhiko Naoki, Yoshiki Murakumo, Koji Eshima
{"title":"CD8+肿瘤浸润淋巴细胞在肺腺癌中的意义","authors":"Kazu Shiomi, Masaaki Ichinoe, Ai Ushiwata, Ryo Nagashio, Shoko Hayashi, Dai Sonoda, Yasuto Kondo, Satoru Tamagawa, Shunsuke Mitsuhashi, Yuka Sugiyama, Masahito Naito, Masashi Mikubo, Masayuki Shirasawa, Yoshiro Nakahara, Takashi Sato, Katsuhiko Naoki, Yoshiki Murakumo, Koji Eshima","doi":"10.1111/1759-7714.70135","DOIUrl":null,"url":null,"abstract":"<p><strong>Background: </strong>Despite great expectations regarding the use of tumor-infiltrating lymphocytes (TILs) in predicting the effects of immunotherapies and prognosis, knowledge about TILs remains inadequate for clinical application. We re-evaluated the clinicopathological significance of CD8+ tumor-infiltrating lymphocytes (CD8 + TILs) in lung adenocarcinoma from a novel perspective and through a more objective approach using cell counting software.</p><p><strong>Methods: </strong>Among patients with surgical resection of lung adenocarcinoma in 2011-2017, 156 patients with pathological stage IB-III were immunohistochemically studied to evaluate CD8 + TILs in the tumor stroma. The impact of CD8 + TILs on relapse-free survival was analyzed by Kaplan-Meier survival and multivariate Cox proportional hazards analyses.</p><p><strong>Results: </strong>Our analysis showed that patients with large numbers of CD8 + TILs in the stroma are not a homogeneous population and include subpopulations with a poor prognosis. Furthermore, our study showed important findings about the overall inflammatory status in the tumor microenvironment based on the association between the number of CD8 + TILs and the frequency of vascular invasion. Additionally, CD8 + TILs were shown to potentially be more effective than PD-L1.</p><p><strong>Conclusions: </strong>Our study demonstrated that in lung adenocarcinoma, even among populations with abundant CD8 + TILs in the tumor stroma, there may be a poor prognostic subgroup. Furthermore, we revealed a partial yet important relationship between CD8 + TILs and the tumor microenvironment. A more detailed investigation into the significance of CD8 + TILs may lead to a deeper understanding of the inflammatory status of the tumor microenvironment and ultimately contribute to the identification of appropriate biomarkers for prognostic prediction and assessing the efficacy of immune checkpoint inhibitors.</p>","PeriodicalId":23338,"journal":{"name":"Thoracic Cancer","volume":"16 14","pages":"e70135"},"PeriodicalIF":2.3000,"publicationDate":"2025-07-01","publicationTypes":"Journal Article","fieldsOfStudy":null,"isOpenAccess":false,"openAccessPdf":"https://www.ncbi.nlm.nih.gov/pmc/articles/PMC12270820/pdf/","citationCount":"0","resultStr":"{\"title\":\"Insight Into the Significance of CD8+ Tumor-Infiltrating Lymphocytes in Lung Adenocarcinoma.\",\"authors\":\"Kazu Shiomi, Masaaki Ichinoe, Ai Ushiwata, Ryo Nagashio, Shoko Hayashi, Dai Sonoda, Yasuto Kondo, Satoru Tamagawa, Shunsuke Mitsuhashi, Yuka Sugiyama, Masahito Naito, Masashi Mikubo, Masayuki Shirasawa, Yoshiro Nakahara, Takashi Sato, Katsuhiko Naoki, Yoshiki Murakumo, Koji Eshima\",\"doi\":\"10.1111/1759-7714.70135\",\"DOIUrl\":null,\"url\":null,\"abstract\":\"<p><strong>Background: </strong>Despite great expectations regarding the use of tumor-infiltrating lymphocytes (TILs) in predicting the effects of immunotherapies and prognosis, knowledge about TILs remains inadequate for clinical application. We re-evaluated the clinicopathological significance of CD8+ tumor-infiltrating lymphocytes (CD8 + TILs) in lung adenocarcinoma from a novel perspective and through a more objective approach using cell counting software.</p><p><strong>Methods: </strong>Among patients with surgical resection of lung adenocarcinoma in 2011-2017, 156 patients with pathological stage IB-III were immunohistochemically studied to evaluate CD8 + TILs in the tumor stroma. The impact of CD8 + TILs on relapse-free survival was analyzed by Kaplan-Meier survival and multivariate Cox proportional hazards analyses.</p><p><strong>Results: </strong>Our analysis showed that patients with large numbers of CD8 + TILs in the stroma are not a homogeneous population and include subpopulations with a poor prognosis. Furthermore, our study showed important findings about the overall inflammatory status in the tumor microenvironment based on the association between the number of CD8 + TILs and the frequency of vascular invasion. Additionally, CD8 + TILs were shown to potentially be more effective than PD-L1.</p><p><strong>Conclusions: </strong>Our study demonstrated that in lung adenocarcinoma, even among populations with abundant CD8 + TILs in the tumor stroma, there may be a poor prognostic subgroup. Furthermore, we revealed a partial yet important relationship between CD8 + TILs and the tumor microenvironment. A more detailed investigation into the significance of CD8 + TILs may lead to a deeper understanding of the inflammatory status of the tumor microenvironment and ultimately contribute to the identification of appropriate biomarkers for prognostic prediction and assessing the efficacy of immune checkpoint inhibitors.</p>\",\"PeriodicalId\":23338,\"journal\":{\"name\":\"Thoracic Cancer\",\"volume\":\"16 14\",\"pages\":\"e70135\"},\"PeriodicalIF\":2.3000,\"publicationDate\":\"2025-07-01\",\"publicationTypes\":\"Journal Article\",\"fieldsOfStudy\":null,\"isOpenAccess\":false,\"openAccessPdf\":\"https://www.ncbi.nlm.nih.gov/pmc/articles/PMC12270820/pdf/\",\"citationCount\":\"0\",\"resultStr\":null,\"platform\":\"Semanticscholar\",\"paperid\":null,\"PeriodicalName\":\"Thoracic Cancer\",\"FirstCategoryId\":\"3\",\"ListUrlMain\":\"https://doi.org/10.1111/1759-7714.70135\",\"RegionNum\":3,\"RegionCategory\":\"医学\",\"ArticlePicture\":[],\"TitleCN\":null,\"AbstractTextCN\":null,\"PMCID\":null,\"EPubDate\":\"\",\"PubModel\":\"\",\"JCR\":\"Q3\",\"JCRName\":\"ONCOLOGY\",\"Score\":null,\"Total\":0}","platform":"Semanticscholar","paperid":null,"PeriodicalName":"Thoracic Cancer","FirstCategoryId":"3","ListUrlMain":"https://doi.org/10.1111/1759-7714.70135","RegionNum":3,"RegionCategory":"医学","ArticlePicture":[],"TitleCN":null,"AbstractTextCN":null,"PMCID":null,"EPubDate":"","PubModel":"","JCR":"Q3","JCRName":"ONCOLOGY","Score":null,"Total":0}
引用次数: 0

摘要

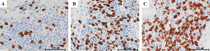
背景:尽管人们对肿瘤浸润淋巴细胞(tumor-浸润淋巴细胞,til)在预测免疫治疗效果和预后方面寄予厚望,但关于til的知识在临床应用方面仍然不足。我们使用细胞计数软件,从一个新的角度和更客观的方法重新评估CD8+肿瘤浸润淋巴细胞(CD8 + TILs)在肺腺癌中的临床病理意义。方法:在2011-2017年手术切除肺腺癌患者中,对156例病理分期为IB-III的患者进行免疫组织化学研究,评估肿瘤间质中CD8 + TILs的水平。采用Kaplan-Meier生存和多变量Cox比例风险分析分析CD8 + TILs对无复发生存的影响。结果:我们的分析显示,基质中大量CD8 + TILs的患者并不是一个均匀的人群,包括预后较差的亚群。此外,我们的研究基于CD8 + TILs数量与血管侵袭频率之间的关系,对肿瘤微环境中的整体炎症状态有重要发现。此外,CD8 + TILs被证明可能比PD-L1更有效。结论:我们的研究表明,在肺腺癌中,即使在肿瘤基质中含有大量CD8 + TILs的人群中,也可能存在预后不良的亚组。此外,我们揭示了CD8 + TILs与肿瘤微环境之间部分但重要的关系。对CD8 + TILs的意义进行更详细的研究可能会导致对肿瘤微环境炎症状态的更深入的了解,并最终有助于识别用于预后预测和评估免疫检查点抑制剂疗效的适当生物标志物。
本文章由计算机程序翻译,如有差异,请以英文原文为准。

Insight Into the Significance of CD8+ Tumor-Infiltrating Lymphocytes in Lung Adenocarcinoma.

Insight Into the Significance of CD8+ Tumor-Infiltrating Lymphocytes in Lung Adenocarcinoma.

Insight Into the Significance of CD8+ Tumor-Infiltrating Lymphocytes in Lung Adenocarcinoma.

Insight Into the Significance of CD8+ Tumor-Infiltrating Lymphocytes in Lung Adenocarcinoma.

Background: Despite great expectations regarding the use of tumor-infiltrating lymphocytes (TILs) in predicting the effects of immunotherapies and prognosis, knowledge about TILs remains inadequate for clinical application. We re-evaluated the clinicopathological significance of CD8+ tumor-infiltrating lymphocytes (CD8 + TILs) in lung adenocarcinoma from a novel perspective and through a more objective approach using cell counting software.

Methods: Among patients with surgical resection of lung adenocarcinoma in 2011-2017, 156 patients with pathological stage IB-III were immunohistochemically studied to evaluate CD8 + TILs in the tumor stroma. The impact of CD8 + TILs on relapse-free survival was analyzed by Kaplan-Meier survival and multivariate Cox proportional hazards analyses.

Results: Our analysis showed that patients with large numbers of CD8 + TILs in the stroma are not a homogeneous population and include subpopulations with a poor prognosis. Furthermore, our study showed important findings about the overall inflammatory status in the tumor microenvironment based on the association between the number of CD8 + TILs and the frequency of vascular invasion. Additionally, CD8 + TILs were shown to potentially be more effective than PD-L1.

Conclusions: Our study demonstrated that in lung adenocarcinoma, even among populations with abundant CD8 + TILs in the tumor stroma, there may be a poor prognostic subgroup. Furthermore, we revealed a partial yet important relationship between CD8 + TILs and the tumor microenvironment. A more detailed investigation into the significance of CD8 + TILs may lead to a deeper understanding of the inflammatory status of the tumor microenvironment and ultimately contribute to the identification of appropriate biomarkers for prognostic prediction and assessing the efficacy of immune checkpoint inhibitors.

求助全文
通过发布文献求助,成功后即可免费获取论文全文。 去求助
来源期刊
Thoracic Cancer
Thoracic Cancer ONCOLOGY-RESPIRATORY SYSTEM
CiteScore
5.20
自引率
3.40%
发文量
439
审稿时长
2 months
期刊介绍: Thoracic Cancer aims to facilitate international collaboration and exchange of comprehensive and cutting-edge information on basic, translational, and applied clinical research in lung cancer, esophageal cancer, mediastinal cancer, breast cancer and other thoracic malignancies. Prevention, treatment and research relevant to Asia-Pacific is a focus area, but submissions from all regions are welcomed. The editors encourage contributions relevant to prevention, general thoracic surgery, medical oncology, radiology, radiation medicine, pathology, basic cancer research, as well as epidemiological and translational studies in thoracic cancer. Thoracic Cancer is the official publication of the Chinese Society of Lung Cancer, International Chinese Society of Thoracic Surgery and is endorsed by the Korean Association for the Study of Lung Cancer and the Hong Kong Cancer Therapy Society. The Journal publishes a range of article types including: Editorials, Invited Reviews, Mini Reviews, Original Articles, Clinical Guidelines, Technological Notes, Imaging in thoracic cancer, Meeting Reports, Case Reports, Letters to the Editor, Commentaries, and Brief Reports.
×
引用
GB/T 7714-2015
复制
MLA
复制
APA
复制
导出至
BibTeX EndNote RefMan NoteFirst NoteExpress
×
提示
您的信息不完整,为了账户安全,请先补充。
现在去补充
×
提示
您因"违规操作"
具体请查看互助需知
我知道了
×
提示
确定
请完成安全验证×
copy
已复制链接
快去分享给好友吧!
我知道了
右上角分享
点击右上角分享
0
联系我们:info@booksci.cn Book学术提供免费学术资源搜索服务,方便国内外学者检索中英文文献。致力于提供最便捷和优质的服务体验。 Copyright © 2023 布克学术 All rights reserved.
京ICP备2023020795号-1
ghs 京公网安备 11010802042870号
Book学术文献互助
Book学术文献互助群
群 号:604180095
Book学术官方微信