5岁拉布拉多猎犬的纤维性纵隔炎。

IF 1.7 3区 农林科学 Q2 VETERINARY SCIENCES
Kyle L Granger, Julien Guillaumin, Kurt Williams, Sarah Shropshire, Alex Ohlendorf, Kelly E Hall
{"title":"5岁拉布拉多猎犬的纤维性纵隔炎。","authors":"Kyle L Granger, Julien Guillaumin, Kurt Williams, Sarah Shropshire, Alex Ohlendorf, Kelly E Hall","doi":"10.1002/vms3.70472","DOIUrl":null,"url":null,"abstract":"<p><strong>Background: </strong>Fibrosing mediastinitis (FM) is a rare but serious condition characterized by excessive fibrous tissue proliferation in the mediastinum, often leading to compression of vital structures. Although considered benign, in people, clinical manifestations of FM can range from asymptomatic incidental findings on imaging studies to severe respiratory compromise and hemodynamic instability. While documented in people, FM has not yet been reported in dogs.</p><p><strong>Case presentation: </strong>A 5-year-old male neutered Labrador Retriever presented with progressive respiratory distress, leading to pleural effusion and facial swelling. Thoracic radiographs revealed mediastinal mass-like structures and pleural effusion. Computed tomography demonstrated a mediastinal mass-like structure, enlarged tracheobronchial lymph nodes, multifocal narrowing of lobar bronchi and pulmonary veins and compression of the oesophagus and trachea. The dog was humanely euthanized due to poor response to empiric therapy and the owner's perception of suffering. A post-mortem examination confirmed severe chronic mediastinal inflammation with fibrosis and vasculitis consistent with fibrosing mediastinitis.</p><p><strong>Conclusions: </strong>This report presents a unique case of FM in a dog.</p>","PeriodicalId":23543,"journal":{"name":"Veterinary Medicine and Science","volume":"11 4","pages":"e70472"},"PeriodicalIF":1.7000,"publicationDate":"2025-07-01","publicationTypes":"Journal Article","fieldsOfStudy":null,"isOpenAccess":false,"openAccessPdf":"https://www.ncbi.nlm.nih.gov/pmc/articles/PMC12272489/pdf/","citationCount":"0","resultStr":"{\"title\":\"Fibrosing Mediastinitis in a 5-Year-Old Labrador Retriever.\",\"authors\":\"Kyle L Granger, Julien Guillaumin, Kurt Williams, Sarah Shropshire, Alex Ohlendorf, Kelly E Hall\",\"doi\":\"10.1002/vms3.70472\",\"DOIUrl\":null,\"url\":null,\"abstract\":\"<p><strong>Background: </strong>Fibrosing mediastinitis (FM) is a rare but serious condition characterized by excessive fibrous tissue proliferation in the mediastinum, often leading to compression of vital structures. Although considered benign, in people, clinical manifestations of FM can range from asymptomatic incidental findings on imaging studies to severe respiratory compromise and hemodynamic instability. While documented in people, FM has not yet been reported in dogs.</p><p><strong>Case presentation: </strong>A 5-year-old male neutered Labrador Retriever presented with progressive respiratory distress, leading to pleural effusion and facial swelling. Thoracic radiographs revealed mediastinal mass-like structures and pleural effusion. Computed tomography demonstrated a mediastinal mass-like structure, enlarged tracheobronchial lymph nodes, multifocal narrowing of lobar bronchi and pulmonary veins and compression of the oesophagus and trachea. The dog was humanely euthanized due to poor response to empiric therapy and the owner's perception of suffering. A post-mortem examination confirmed severe chronic mediastinal inflammation with fibrosis and vasculitis consistent with fibrosing mediastinitis.</p><p><strong>Conclusions: </strong>This report presents a unique case of FM in a dog.</p>\",\"PeriodicalId\":23543,\"journal\":{\"name\":\"Veterinary Medicine and Science\",\"volume\":\"11 4\",\"pages\":\"e70472\"},\"PeriodicalIF\":1.7000,\"publicationDate\":\"2025-07-01\",\"publicationTypes\":\"Journal Article\",\"fieldsOfStudy\":null,\"isOpenAccess\":false,\"openAccessPdf\":\"https://www.ncbi.nlm.nih.gov/pmc/articles/PMC12272489/pdf/\",\"citationCount\":\"0\",\"resultStr\":null,\"platform\":\"Semanticscholar\",\"paperid\":null,\"PeriodicalName\":\"Veterinary Medicine and Science\",\"FirstCategoryId\":\"97\",\"ListUrlMain\":\"https://doi.org/10.1002/vms3.70472\",\"RegionNum\":3,\"RegionCategory\":\"农林科学\",\"ArticlePicture\":[],\"TitleCN\":null,\"AbstractTextCN\":null,\"PMCID\":null,\"EPubDate\":\"\",\"PubModel\":\"\",\"JCR\":\"Q2\",\"JCRName\":\"VETERINARY SCIENCES\",\"Score\":null,\"Total\":0}","platform":"Semanticscholar","paperid":null,"PeriodicalName":"Veterinary Medicine and Science","FirstCategoryId":"97","ListUrlMain":"https://doi.org/10.1002/vms3.70472","RegionNum":3,"RegionCategory":"农林科学","ArticlePicture":[],"TitleCN":null,"AbstractTextCN":null,"PMCID":null,"EPubDate":"","PubModel":"","JCR":"Q2","JCRName":"VETERINARY SCIENCES","Score":null,"Total":0}
引用次数: 0

摘要

背景:纤维性纵隔炎(FM)是一种罕见但严重的疾病,其特征是纵隔纤维组织过度增生,常导致重要结构受压。虽然被认为是良性的,但在人类中,FM的临床表现可以从影像学检查的无症状偶然发现到严重的呼吸损害和血流动力学不稳定。虽然在人类中有记录,但在狗身上尚未有FM的报道。病例介绍:一只5岁的雄性绝育拉布拉多猎犬表现为进行性呼吸窘迫,导致胸腔积液和面部肿胀。胸片显示纵隔肿块样结构和胸腔积液。计算机断层显示纵隔肿块样结构,气管支气管淋巴结肿大,大叶支气管和肺静脉多灶性狭窄,食管和气管受压。由于对经验疗法的不良反应和主人对痛苦的感知,狗被人道地安乐死。尸检证实严重的慢性纵隔炎症伴纤维化和血管炎与纤维化性纵隔炎一致。结论:本报告提出了一个独特的FM在狗的情况下。
本文章由计算机程序翻译,如有差异,请以英文原文为准。

Fibrosing Mediastinitis in a 5-Year-Old Labrador Retriever.

Fibrosing Mediastinitis in a 5-Year-Old Labrador Retriever.

Fibrosing Mediastinitis in a 5-Year-Old Labrador Retriever.

Fibrosing Mediastinitis in a 5-Year-Old Labrador Retriever.

Background: Fibrosing mediastinitis (FM) is a rare but serious condition characterized by excessive fibrous tissue proliferation in the mediastinum, often leading to compression of vital structures. Although considered benign, in people, clinical manifestations of FM can range from asymptomatic incidental findings on imaging studies to severe respiratory compromise and hemodynamic instability. While documented in people, FM has not yet been reported in dogs.

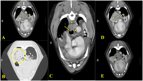
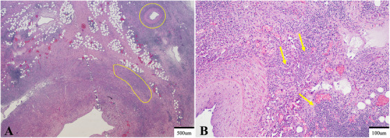
Case presentation: A 5-year-old male neutered Labrador Retriever presented with progressive respiratory distress, leading to pleural effusion and facial swelling. Thoracic radiographs revealed mediastinal mass-like structures and pleural effusion. Computed tomography demonstrated a mediastinal mass-like structure, enlarged tracheobronchial lymph nodes, multifocal narrowing of lobar bronchi and pulmonary veins and compression of the oesophagus and trachea. The dog was humanely euthanized due to poor response to empiric therapy and the owner's perception of suffering. A post-mortem examination confirmed severe chronic mediastinal inflammation with fibrosis and vasculitis consistent with fibrosing mediastinitis.

Conclusions: This report presents a unique case of FM in a dog.

求助全文
通过发布文献求助,成功后即可免费获取论文全文。 去求助
来源期刊
Veterinary Medicine and Science
Veterinary Medicine and Science Veterinary-General Veterinary
CiteScore
3.00
自引率
0.00%
发文量
296
期刊介绍: Veterinary Medicine and Science is the peer-reviewed journal for rapid dissemination of research in all areas of veterinary medicine and science. The journal aims to serve the research community by providing a vehicle for authors wishing to publish interesting and high quality work in both fundamental and clinical veterinary medicine and science. Veterinary Medicine and Science publishes original research articles, systematic reviews, meta-analyses, and research methods papers, along with invited editorials and commentaries. Original research papers must report well-conducted research with conclusions supported by the data presented in the paper. We aim to be a truly global forum for high-quality research in veterinary medicine and science, and believe that the best research should be published and made widely accessible as quickly as possible. Veterinary Medicine and Science publishes papers submitted directly to the journal and those referred from a select group of prestigious journals published by Wiley-Blackwell. Veterinary Medicine and Science is a Wiley Open Access journal, one of a new series of peer-reviewed titles publishing quality research with speed and efficiency. For further information visit the Wiley Open Access website.
×
引用
GB/T 7714-2015
复制
MLA
复制
APA
复制
导出至
BibTeX EndNote RefMan NoteFirst NoteExpress
×
提示
您的信息不完整,为了账户安全,请先补充。
现在去补充
×
提示
您因"违规操作"
具体请查看互助需知
我知道了
×
提示
确定
请完成安全验证×
copy
已复制链接
快去分享给好友吧!
我知道了
右上角分享
点击右上角分享
0
联系我们:info@booksci.cn Book学术提供免费学术资源搜索服务,方便国内外学者检索中英文文献。致力于提供最便捷和优质的服务体验。 Copyright © 2023 布克学术 All rights reserved.
京ICP备2023020795号-1
ghs 京公网安备 11010802042870号
Book学术文献互助
Book学术文献互助群
群 号:604180095
Book学术官方微信