腹壁炎性肌成纤维细胞瘤伴间变性淋巴瘤激酶1例及全外显子组测序分析。

IF 0.7 Q4 SURGERY
Surgical Case Reports Pub Date : 2025-01-01 Epub Date: 2025-07-16 DOI:10.70352/scrj.cr.25-0181
Yuya Takahata, Shoichi Hazama, Toshiyuki Fujii, Masahiro Kitahara, Keisuke Hino, Kiwamu Okita, Hiroaki Nagano, Ryouichi Tsunedomi, Hiroshi Hashiyada, Kembu Nakamoto
{"title":"腹壁炎性肌成纤维细胞瘤伴间变性淋巴瘤激酶1例及全外显子组测序分析。","authors":"Yuya Takahata, Shoichi Hazama, Toshiyuki Fujii, Masahiro Kitahara, Keisuke Hino, Kiwamu Okita, Hiroaki Nagano, Ryouichi Tsunedomi, Hiroshi Hashiyada, Kembu Nakamoto","doi":"10.70352/scrj.cr.25-0181","DOIUrl":null,"url":null,"abstract":"<p><strong>Introduction: </strong>Inflammatory myofibroblastic tumors (IMTs) are rare mesenchymal neoplasms characterized by spindle cell proliferation and inflammatory infiltration, but with an unclear etiology. Although IMTs most commonly arise in the lungs, extrapulmonary cases have been documented at various anatomical sites. Approximately 50% of IMTs harbor anaplastic lymphoma kinase (ALK) rearrangements; however, the genetic landscape of ALK-negative cases remains largely unknown. We report a rapidly growing IMT in the right rectus abdominis muscle and present whole-exome sequencing (WES) findings that revealed novel genetic mutations beyond ALK rearrangements.</p><p><strong>Case presentation: </strong>A 38-year-old woman with no significant medical history presented with a rapidly enlarging mass in the right lower abdomen. Computed tomography showed a well-defined tumor on the dorsal side of the right rectus abdominis muscle exhibiting progressive enhancement. Fine-needle biopsy initially suggested the presence of proliferative fasciitis. Owing to rapid tumor growth from 40 to 61 mm within 3 months, laparoscopic surgical resection was performed, including a portion of the posterior sheath and rectus abdominis muscle. Pathological examination confirmed the presence of an IMT and revealed spindle cell proliferation, nuclear atypia, and inflammatory infiltration. Immunohistochemical analysis revealed positivity for smooth muscle actin (SMA) and ALK, partial positivity for desmin, and negativity for cluster of differentiation 34 (CD34) and cytokeratin, compatible with an IMT. WES identified 7 genetic mutations, none of which have been previously reported for IMT in the catalogue of somatic mutations in cancer (COSMIC) database, suggesting novel genetic associations.</p><p><strong>Conclusions: </strong>This case highlights a rare and rapidly growing IMT in the rectus abdominis muscle and underscores the value of molecular analysis in understanding the pathogenesis of IMT. Identification of novel mutations through WES expands the genetic landscape of IMT and may provide insights into tumorigenesis and potential therapeutic targets. Further research is required to explore the clinical implications of these mutations in IMT progression and treatment.</p>","PeriodicalId":22096,"journal":{"name":"Surgical Case Reports","volume":"11 1","pages":""},"PeriodicalIF":0.7000,"publicationDate":"2025-01-01","publicationTypes":"Journal Article","fieldsOfStudy":null,"isOpenAccess":false,"openAccessPdf":"https://www.ncbi.nlm.nih.gov/pmc/articles/PMC12268362/pdf/","citationCount":"0","resultStr":"{\"title\":\"A Case of Inflammatory Myofibroblastic Tumor in the Abdominal Wall with Anaplastic Lymphoma Kinase and Whole Exome Sequencing Analysis.\",\"authors\":\"Yuya Takahata, Shoichi Hazama, Toshiyuki Fujii, Masahiro Kitahara, Keisuke Hino, Kiwamu Okita, Hiroaki Nagano, Ryouichi Tsunedomi, Hiroshi Hashiyada, Kembu Nakamoto\",\"doi\":\"10.70352/scrj.cr.25-0181\",\"DOIUrl\":null,\"url\":null,\"abstract\":\"<p><strong>Introduction: </strong>Inflammatory myofibroblastic tumors (IMTs) are rare mesenchymal neoplasms characterized by spindle cell proliferation and inflammatory infiltration, but with an unclear etiology. Although IMTs most commonly arise in the lungs, extrapulmonary cases have been documented at various anatomical sites. Approximately 50% of IMTs harbor anaplastic lymphoma kinase (ALK) rearrangements; however, the genetic landscape of ALK-negative cases remains largely unknown. We report a rapidly growing IMT in the right rectus abdominis muscle and present whole-exome sequencing (WES) findings that revealed novel genetic mutations beyond ALK rearrangements.</p><p><strong>Case presentation: </strong>A 38-year-old woman with no significant medical history presented with a rapidly enlarging mass in the right lower abdomen. Computed tomography showed a well-defined tumor on the dorsal side of the right rectus abdominis muscle exhibiting progressive enhancement. Fine-needle biopsy initially suggested the presence of proliferative fasciitis. Owing to rapid tumor growth from 40 to 61 mm within 3 months, laparoscopic surgical resection was performed, including a portion of the posterior sheath and rectus abdominis muscle. Pathological examination confirmed the presence of an IMT and revealed spindle cell proliferation, nuclear atypia, and inflammatory infiltration. Immunohistochemical analysis revealed positivity for smooth muscle actin (SMA) and ALK, partial positivity for desmin, and negativity for cluster of differentiation 34 (CD34) and cytokeratin, compatible with an IMT. WES identified 7 genetic mutations, none of which have been previously reported for IMT in the catalogue of somatic mutations in cancer (COSMIC) database, suggesting novel genetic associations.</p><p><strong>Conclusions: </strong>This case highlights a rare and rapidly growing IMT in the rectus abdominis muscle and underscores the value of molecular analysis in understanding the pathogenesis of IMT. Identification of novel mutations through WES expands the genetic landscape of IMT and may provide insights into tumorigenesis and potential therapeutic targets. Further research is required to explore the clinical implications of these mutations in IMT progression and treatment.</p>\",\"PeriodicalId\":22096,\"journal\":{\"name\":\"Surgical Case Reports\",\"volume\":\"11 1\",\"pages\":\"\"},\"PeriodicalIF\":0.7000,\"publicationDate\":\"2025-01-01\",\"publicationTypes\":\"Journal Article\",\"fieldsOfStudy\":null,\"isOpenAccess\":false,\"openAccessPdf\":\"https://www.ncbi.nlm.nih.gov/pmc/articles/PMC12268362/pdf/\",\"citationCount\":\"0\",\"resultStr\":null,\"platform\":\"Semanticscholar\",\"paperid\":null,\"PeriodicalName\":\"Surgical Case Reports\",\"FirstCategoryId\":\"1085\",\"ListUrlMain\":\"https://doi.org/10.70352/scrj.cr.25-0181\",\"RegionNum\":0,\"RegionCategory\":null,\"ArticlePicture\":[],\"TitleCN\":null,\"AbstractTextCN\":null,\"PMCID\":null,\"EPubDate\":\"2025/7/16 0:00:00\",\"PubModel\":\"Epub\",\"JCR\":\"Q4\",\"JCRName\":\"SURGERY\",\"Score\":null,\"Total\":0}","platform":"Semanticscholar","paperid":null,"PeriodicalName":"Surgical Case Reports","FirstCategoryId":"1085","ListUrlMain":"https://doi.org/10.70352/scrj.cr.25-0181","RegionNum":0,"RegionCategory":null,"ArticlePicture":[],"TitleCN":null,"AbstractTextCN":null,"PMCID":null,"EPubDate":"2025/7/16 0:00:00","PubModel":"Epub","JCR":"Q4","JCRName":"SURGERY","Score":null,"Total":0}
引用次数: 0

摘要

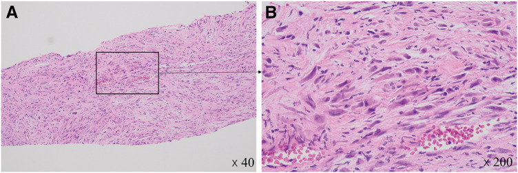
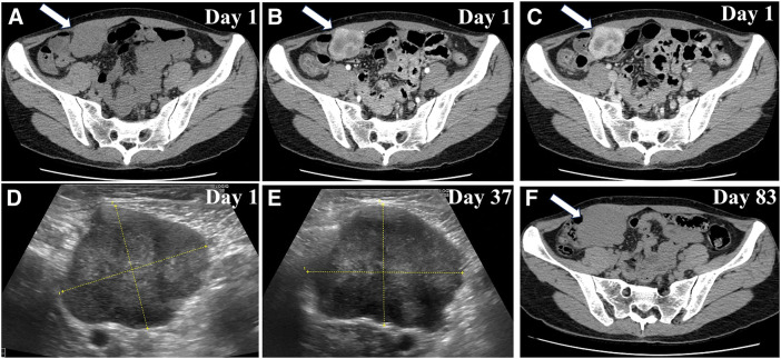
炎症性肌纤维母细胞瘤(IMTs)是一种罕见的间充质肿瘤,以梭形细胞增生和炎症浸润为特征,但病因不明。虽然imt最常见于肺部,但在肺外的不同解剖部位也有记录。大约50%的IMTs存在间变性淋巴瘤激酶(ALK)重排;然而,alk阴性病例的遗传格局在很大程度上仍然未知。我们报告了右腹直肌中快速增长的IMT,并提出了全外显子组测序(WES)结果,揭示了ALK重排之外的新基因突变。病例介绍:38岁女性,无明显病史,右下腹部肿块迅速增大。计算机断层扫描显示右侧腹直肌背侧有一界限明确的肿瘤,呈进行性增强。细针活检最初提示增生性筋膜炎的存在。由于肿瘤在3个月内从40 mm快速生长至61 mm,因此行腹腔镜手术切除,切除部分后鞘和腹直肌。病理检查证实了IMT的存在,并显示梭形细胞增殖,核异型性和炎症浸润。免疫组化分析显示平滑肌肌动蛋白(SMA)和ALK阳性,desmin部分阳性,CD34和细胞角蛋白阴性,与IMT相符。WES鉴定出7个基因突变,这些突变在cosmos数据库中没有报道,提示新的遗传关联。结论:该病例突出了腹直肌中罕见且快速生长的IMT,并强调了分子分析在了解IMT发病机制中的价值。通过WES鉴定新的突变扩展了IMT的遗传图谱,并可能为肿瘤发生和潜在的治疗靶点提供见解。需要进一步的研究来探索这些突变在IMT进展和治疗中的临床意义。
本文章由计算机程序翻译,如有差异,请以英文原文为准。

A Case of Inflammatory Myofibroblastic Tumor in the Abdominal Wall with Anaplastic Lymphoma Kinase and Whole Exome Sequencing Analysis.

A Case of Inflammatory Myofibroblastic Tumor in the Abdominal Wall with Anaplastic Lymphoma Kinase and Whole Exome Sequencing Analysis.

A Case of Inflammatory Myofibroblastic Tumor in the Abdominal Wall with Anaplastic Lymphoma Kinase and Whole Exome Sequencing Analysis.

A Case of Inflammatory Myofibroblastic Tumor in the Abdominal Wall with Anaplastic Lymphoma Kinase and Whole Exome Sequencing Analysis.

Introduction: Inflammatory myofibroblastic tumors (IMTs) are rare mesenchymal neoplasms characterized by spindle cell proliferation and inflammatory infiltration, but with an unclear etiology. Although IMTs most commonly arise in the lungs, extrapulmonary cases have been documented at various anatomical sites. Approximately 50% of IMTs harbor anaplastic lymphoma kinase (ALK) rearrangements; however, the genetic landscape of ALK-negative cases remains largely unknown. We report a rapidly growing IMT in the right rectus abdominis muscle and present whole-exome sequencing (WES) findings that revealed novel genetic mutations beyond ALK rearrangements.

Case presentation: A 38-year-old woman with no significant medical history presented with a rapidly enlarging mass in the right lower abdomen. Computed tomography showed a well-defined tumor on the dorsal side of the right rectus abdominis muscle exhibiting progressive enhancement. Fine-needle biopsy initially suggested the presence of proliferative fasciitis. Owing to rapid tumor growth from 40 to 61 mm within 3 months, laparoscopic surgical resection was performed, including a portion of the posterior sheath and rectus abdominis muscle. Pathological examination confirmed the presence of an IMT and revealed spindle cell proliferation, nuclear atypia, and inflammatory infiltration. Immunohistochemical analysis revealed positivity for smooth muscle actin (SMA) and ALK, partial positivity for desmin, and negativity for cluster of differentiation 34 (CD34) and cytokeratin, compatible with an IMT. WES identified 7 genetic mutations, none of which have been previously reported for IMT in the catalogue of somatic mutations in cancer (COSMIC) database, suggesting novel genetic associations.

Conclusions: This case highlights a rare and rapidly growing IMT in the rectus abdominis muscle and underscores the value of molecular analysis in understanding the pathogenesis of IMT. Identification of novel mutations through WES expands the genetic landscape of IMT and may provide insights into tumorigenesis and potential therapeutic targets. Further research is required to explore the clinical implications of these mutations in IMT progression and treatment.

求助全文
通过发布文献求助,成功后即可免费获取论文全文。 去求助
来源期刊
自引率
0.00%
发文量
218
审稿时长
13 weeks
×
引用
GB/T 7714-2015
复制
MLA
复制
APA
复制
导出至
BibTeX EndNote RefMan NoteFirst NoteExpress
×
提示
您的信息不完整,为了账户安全,请先补充。
现在去补充
×
提示
您因"违规操作"
具体请查看互助需知
我知道了
×
提示
确定
请完成安全验证×
copy
已复制链接
快去分享给好友吧!
我知道了
右上角分享
点击右上角分享
0
联系我们:info@booksci.cn Book学术提供免费学术资源搜索服务,方便国内外学者检索中英文文献。致力于提供最便捷和优质的服务体验。 Copyright © 2023 布克学术 All rights reserved.
京ICP备2023020795号-1
ghs 京公网安备 11010802042870号
Book学术文献互助
Book学术文献互助群
群 号:604180095
Book学术官方微信