微创手术治疗巨大嗜铬细胞瘤的不典型表现。

IF 0.8 Q3 MEDICINE, GENERAL & INTERNAL
Vania Rodriguez, Ramya Sridhar, Alex Manzano, Aliaa Al Sabbagh, Lydia Howard, Paul Baker, Preetika Mauyra
{"title":"微创手术治疗巨大嗜铬细胞瘤的不典型表现。","authors":"Vania Rodriguez, Ramya Sridhar, Alex Manzano, Aliaa Al Sabbagh, Lydia Howard, Paul Baker, Preetika Mauyra","doi":"10.1177/23247096251358668","DOIUrl":null,"url":null,"abstract":"<p><p>Giant pheochromocytomas are rare tumors, typically exceeding 7 cm in size. Most are noncatecholamine secreting due to tumor necrosis and connective tissue content. Their presentation can range from classic hyperadrenergic symptoms to vague gastrointestinal complaints. Larger tumors are associated with higher risks of metastasis, mortality, and perioperative complications. Our case presents a 31-year-old female who presented with the chief complaint of vomiting, associated with intermittent palpitations and elevated blood pressure, with subsequent imaging revealing an 8.7 cm right adrenal mass. Complete resection of the mass showed a 10 × 7 × 3.9 cm mass that occupied the entire adrenal medulla, consistent with a giant pheochromocytoma. This case contributes to the evidence supporting a minimally invasive approach as well as individualized management of giant pheochromocytomas. Furthermore, it emphasizes the importance of a high clinical suspicion in the context of vague symptoms.</p>","PeriodicalId":16198,"journal":{"name":"Journal of investigative medicine high impact case reports","volume":"13 ","pages":"23247096251358668"},"PeriodicalIF":0.8000,"publicationDate":"2025-01-01","publicationTypes":"Journal Article","fieldsOfStudy":null,"isOpenAccess":false,"openAccessPdf":"https://www.ncbi.nlm.nih.gov/pmc/articles/PMC12276520/pdf/","citationCount":"0","resultStr":"{\"title\":\"Atypical Presentation of Giant Pheochromocytoma Managed With Minimally Invasive Surgery.\",\"authors\":\"Vania Rodriguez, Ramya Sridhar, Alex Manzano, Aliaa Al Sabbagh, Lydia Howard, Paul Baker, Preetika Mauyra\",\"doi\":\"10.1177/23247096251358668\",\"DOIUrl\":null,\"url\":null,\"abstract\":\"<p><p>Giant pheochromocytomas are rare tumors, typically exceeding 7 cm in size. Most are noncatecholamine secreting due to tumor necrosis and connective tissue content. Their presentation can range from classic hyperadrenergic symptoms to vague gastrointestinal complaints. Larger tumors are associated with higher risks of metastasis, mortality, and perioperative complications. Our case presents a 31-year-old female who presented with the chief complaint of vomiting, associated with intermittent palpitations and elevated blood pressure, with subsequent imaging revealing an 8.7 cm right adrenal mass. Complete resection of the mass showed a 10 × 7 × 3.9 cm mass that occupied the entire adrenal medulla, consistent with a giant pheochromocytoma. This case contributes to the evidence supporting a minimally invasive approach as well as individualized management of giant pheochromocytomas. Furthermore, it emphasizes the importance of a high clinical suspicion in the context of vague symptoms.</p>\",\"PeriodicalId\":16198,\"journal\":{\"name\":\"Journal of investigative medicine high impact case reports\",\"volume\":\"13 \",\"pages\":\"23247096251358668\"},\"PeriodicalIF\":0.8000,\"publicationDate\":\"2025-01-01\",\"publicationTypes\":\"Journal Article\",\"fieldsOfStudy\":null,\"isOpenAccess\":false,\"openAccessPdf\":\"https://www.ncbi.nlm.nih.gov/pmc/articles/PMC12276520/pdf/\",\"citationCount\":\"0\",\"resultStr\":null,\"platform\":\"Semanticscholar\",\"paperid\":null,\"PeriodicalName\":\"Journal of investigative medicine high impact case reports\",\"FirstCategoryId\":\"1085\",\"ListUrlMain\":\"https://doi.org/10.1177/23247096251358668\",\"RegionNum\":0,\"RegionCategory\":null,\"ArticlePicture\":[],\"TitleCN\":null,\"AbstractTextCN\":null,\"PMCID\":null,\"EPubDate\":\"2025/7/18 0:00:00\",\"PubModel\":\"Epub\",\"JCR\":\"Q3\",\"JCRName\":\"MEDICINE, GENERAL & INTERNAL\",\"Score\":null,\"Total\":0}","platform":"Semanticscholar","paperid":null,"PeriodicalName":"Journal of investigative medicine high impact case reports","FirstCategoryId":"1085","ListUrlMain":"https://doi.org/10.1177/23247096251358668","RegionNum":0,"RegionCategory":null,"ArticlePicture":[],"TitleCN":null,"AbstractTextCN":null,"PMCID":null,"EPubDate":"2025/7/18 0:00:00","PubModel":"Epub","JCR":"Q3","JCRName":"MEDICINE, GENERAL & INTERNAL","Score":null,"Total":0}
引用次数: 0

摘要

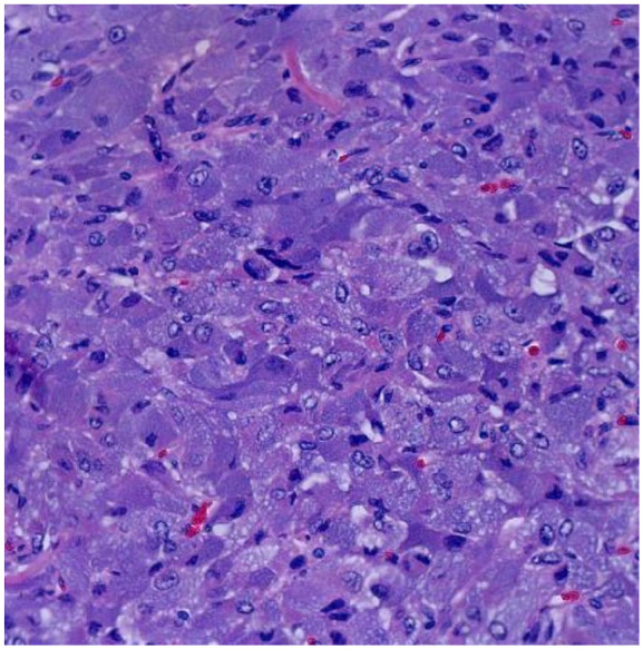
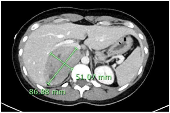
巨大嗜铬细胞瘤是一种罕见的肿瘤,通常超过7厘米。大部分是非儿茶酚胺因肿瘤坏死和结缔组织内容物而分泌。其表现可以从典型的肾上腺素能亢进症状到模糊的胃肠道不适。较大的肿瘤有较高的转移风险、死亡率和围手术期并发症。我们的病例是一位31岁女性,主诉为呕吐,伴有间歇性心悸和血压升高,随后影像学显示右侧肾上腺肿块8.7 cm。完全切除肿物显示一个10 × 7 × 3.9 cm的肿物,占据整个肾上腺髓质,符合巨大嗜铬细胞瘤。本病例为支持微创方法和个体化治疗巨嗜铬细胞瘤提供了证据。此外,它强调了在症状模糊的情况下高度临床怀疑的重要性。
本文章由计算机程序翻译,如有差异,请以英文原文为准。

Atypical Presentation of Giant Pheochromocytoma Managed With Minimally Invasive Surgery.

Atypical Presentation of Giant Pheochromocytoma Managed With Minimally Invasive Surgery.

Atypical Presentation of Giant Pheochromocytoma Managed With Minimally Invasive Surgery.

Atypical Presentation of Giant Pheochromocytoma Managed With Minimally Invasive Surgery.

Giant pheochromocytomas are rare tumors, typically exceeding 7 cm in size. Most are noncatecholamine secreting due to tumor necrosis and connective tissue content. Their presentation can range from classic hyperadrenergic symptoms to vague gastrointestinal complaints. Larger tumors are associated with higher risks of metastasis, mortality, and perioperative complications. Our case presents a 31-year-old female who presented with the chief complaint of vomiting, associated with intermittent palpitations and elevated blood pressure, with subsequent imaging revealing an 8.7 cm right adrenal mass. Complete resection of the mass showed a 10 × 7 × 3.9 cm mass that occupied the entire adrenal medulla, consistent with a giant pheochromocytoma. This case contributes to the evidence supporting a minimally invasive approach as well as individualized management of giant pheochromocytomas. Furthermore, it emphasizes the importance of a high clinical suspicion in the context of vague symptoms.

求助全文
通过发布文献求助,成功后即可免费获取论文全文。 去求助
来源期刊
CiteScore
1.90
自引率
0.00%
发文量
165
审稿时长
12 weeks
期刊介绍: The AFMR is committed to enhancing the training and career development of our members and to furthering its mission to facilitate the conduct of research to improve medical care. Case reports represent an important avenue for trainees (interns, residents, and fellows) and early-stage faculty to demonstrate productive, scholarly activity.
×
引用
GB/T 7714-2015
复制
MLA
复制
APA
复制
导出至
BibTeX EndNote RefMan NoteFirst NoteExpress
×
提示
您的信息不完整,为了账户安全,请先补充。
现在去补充
×
提示
您因"违规操作"
具体请查看互助需知
我知道了
×
提示
确定
请完成安全验证×
copy
已复制链接
快去分享给好友吧!
我知道了
右上角分享
点击右上角分享
0
联系我们:info@booksci.cn Book学术提供免费学术资源搜索服务,方便国内外学者检索中英文文献。致力于提供最便捷和优质的服务体验。 Copyright © 2023 布克学术 All rights reserved.
京ICP备2023020795号-1
ghs 京公网安备 11010802042870号
Book学术文献互助
Book学术文献互助群
群 号:604180095
Book学术官方微信