黄斑裂孔手术中上颞倒内限制膜技术的比较:手术效果及术后定位的作用。

IF 1.8 4区 医学 Q2 OPHTHALMOLOGY
Indian Journal of Ophthalmology Pub Date : 2025-09-01 Epub Date: 2025-07-18 DOI:10.4103/IJO.IJO_741_25
Emre Avcı, Ece Özal, Serhat Ermiş, Murat Karapapak, Sadık A Özal
{"title":"黄斑裂孔手术中上颞倒内限制膜技术的比较:手术效果及术后定位的作用。","authors":"Emre Avcı, Ece Özal, Serhat Ermiş, Murat Karapapak, Sadık A Özal","doi":"10.4103/IJO.IJO_741_25","DOIUrl":null,"url":null,"abstract":"<p><strong>Purpose: </strong>To compare the anatomical and functional outcomes of macular hole (MH) cases treated with superior and temporal inverted internal limiting membrane (ILM) flap surgery under general anesthesia and to assess the impact of postoperative positioning on surgical success.</p><p><strong>Methods: </strong>This retrospective study included 25 patients with superior and 19 with temporal inverted ILM flap surgery. BCVA was evaluated preoperatively and at 1, 3, and 6 months, with MH parameters and closure patterns (U, V, and W) assessed at 6 months. Postoperatively, superior flap patients were positioned upright for 5 days, while temporal flap patients were positioned prone.</p><p><strong>Results: </strong>Among 44 patients, one in the superior group and two in the temporal group required a second surgery, with a primary success rate of 93%. MH diameters were similar between groups ( P > 0.05), but the superior group had a smaller postoperative ELM defect ( P < 0.05). Visual acuity was similar preoperatively and up to 3 months ( P > 0.05), but the superior group showed better outcomes at 6 months ( P < 0.05).</p><p><strong>Conclusion: </strong>Results of our study indicate that the superior inverted ILM flap under general anesthesia is non-inferior to the temporal flap, with better patient compliance in the sitting position postoperatively.</p>","PeriodicalId":13329,"journal":{"name":"Indian Journal of Ophthalmology","volume":" ","pages":"1338-1343"},"PeriodicalIF":1.8000,"publicationDate":"2025-09-01","publicationTypes":"Journal Article","fieldsOfStudy":null,"isOpenAccess":false,"openAccessPdf":"https://www.ncbi.nlm.nih.gov/pmc/articles/PMC12448499/pdf/","citationCount":"0","resultStr":"{\"title\":\"Comparison of superior and temporal inverted internal limiting membrane techniques in macular hole surgery: Surgical outcomes and the role of postoperative positioning.\",\"authors\":\"Emre Avcı, Ece Özal, Serhat Ermiş, Murat Karapapak, Sadık A Özal\",\"doi\":\"10.4103/IJO.IJO_741_25\",\"DOIUrl\":null,\"url\":null,\"abstract\":\"<p><strong>Purpose: </strong>To compare the anatomical and functional outcomes of macular hole (MH) cases treated with superior and temporal inverted internal limiting membrane (ILM) flap surgery under general anesthesia and to assess the impact of postoperative positioning on surgical success.</p><p><strong>Methods: </strong>This retrospective study included 25 patients with superior and 19 with temporal inverted ILM flap surgery. BCVA was evaluated preoperatively and at 1, 3, and 6 months, with MH parameters and closure patterns (U, V, and W) assessed at 6 months. Postoperatively, superior flap patients were positioned upright for 5 days, while temporal flap patients were positioned prone.</p><p><strong>Results: </strong>Among 44 patients, one in the superior group and two in the temporal group required a second surgery, with a primary success rate of 93%. MH diameters were similar between groups ( P > 0.05), but the superior group had a smaller postoperative ELM defect ( P < 0.05). Visual acuity was similar preoperatively and up to 3 months ( P > 0.05), but the superior group showed better outcomes at 6 months ( P < 0.05).</p><p><strong>Conclusion: </strong>Results of our study indicate that the superior inverted ILM flap under general anesthesia is non-inferior to the temporal flap, with better patient compliance in the sitting position postoperatively.</p>\",\"PeriodicalId\":13329,\"journal\":{\"name\":\"Indian Journal of Ophthalmology\",\"volume\":\" \",\"pages\":\"1338-1343\"},\"PeriodicalIF\":1.8000,\"publicationDate\":\"2025-09-01\",\"publicationTypes\":\"Journal Article\",\"fieldsOfStudy\":null,\"isOpenAccess\":false,\"openAccessPdf\":\"https://www.ncbi.nlm.nih.gov/pmc/articles/PMC12448499/pdf/\",\"citationCount\":\"0\",\"resultStr\":null,\"platform\":\"Semanticscholar\",\"paperid\":null,\"PeriodicalName\":\"Indian Journal of Ophthalmology\",\"FirstCategoryId\":\"3\",\"ListUrlMain\":\"https://doi.org/10.4103/IJO.IJO_741_25\",\"RegionNum\":4,\"RegionCategory\":\"医学\",\"ArticlePicture\":[],\"TitleCN\":null,\"AbstractTextCN\":null,\"PMCID\":null,\"EPubDate\":\"2025/7/18 0:00:00\",\"PubModel\":\"Epub\",\"JCR\":\"Q2\",\"JCRName\":\"OPHTHALMOLOGY\",\"Score\":null,\"Total\":0}","platform":"Semanticscholar","paperid":null,"PeriodicalName":"Indian Journal of Ophthalmology","FirstCategoryId":"3","ListUrlMain":"https://doi.org/10.4103/IJO.IJO_741_25","RegionNum":4,"RegionCategory":"医学","ArticlePicture":[],"TitleCN":null,"AbstractTextCN":null,"PMCID":null,"EPubDate":"2025/7/18 0:00:00","PubModel":"Epub","JCR":"Q2","JCRName":"OPHTHALMOLOGY","Score":null,"Total":0}
引用次数: 0

摘要

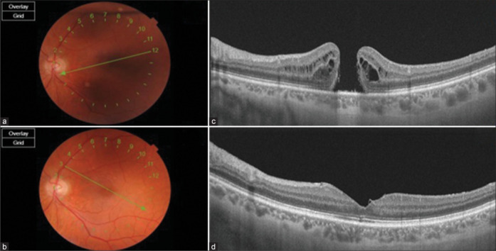
目的:比较全麻下颞部和上颞部倒内限制膜(ILM)皮瓣治疗黄斑裂孔(MH)的解剖和功能结果,并评价术后定位对手术成功的影响。方法:回顾性分析25例上逆行ILM皮瓣手术患者和19例颞部逆行ILM皮瓣手术患者。术前、1、3、6个月评估BCVA, 6个月时评估MH参数和闭合模式(U、V、W)。术后上皮瓣患者直立放置5天,颞瓣患者俯卧放置5天。结果:44例患者中,上部组1例,颞叶组2例需再次手术,一期成功率为93%。两组ELM直径相近(P < 0.05),但优势组术后ELM缺损较小(P < 0.05)。术后3个月视力差异无统计学意义(P < 0.05),术后6个月视力差异有统计学意义(P < 0.05)。结论:我们的研究结果表明全麻下上逆行ILM瓣不低于颞瓣,术后患者坐位依从性较好。
本文章由计算机程序翻译,如有差异,请以英文原文为准。

Comparison of superior and temporal inverted internal limiting membrane techniques in macular hole surgery: Surgical outcomes and the role of postoperative positioning.

Comparison of superior and temporal inverted internal limiting membrane techniques in macular hole surgery: Surgical outcomes and the role of postoperative positioning.

Comparison of superior and temporal inverted internal limiting membrane techniques in macular hole surgery: Surgical outcomes and the role of postoperative positioning.

Comparison of superior and temporal inverted internal limiting membrane techniques in macular hole surgery: Surgical outcomes and the role of postoperative positioning.

Purpose: To compare the anatomical and functional outcomes of macular hole (MH) cases treated with superior and temporal inverted internal limiting membrane (ILM) flap surgery under general anesthesia and to assess the impact of postoperative positioning on surgical success.

Methods: This retrospective study included 25 patients with superior and 19 with temporal inverted ILM flap surgery. BCVA was evaluated preoperatively and at 1, 3, and 6 months, with MH parameters and closure patterns (U, V, and W) assessed at 6 months. Postoperatively, superior flap patients were positioned upright for 5 days, while temporal flap patients were positioned prone.

Results: Among 44 patients, one in the superior group and two in the temporal group required a second surgery, with a primary success rate of 93%. MH diameters were similar between groups ( P > 0.05), but the superior group had a smaller postoperative ELM defect ( P < 0.05). Visual acuity was similar preoperatively and up to 3 months ( P > 0.05), but the superior group showed better outcomes at 6 months ( P < 0.05).

Conclusion: Results of our study indicate that the superior inverted ILM flap under general anesthesia is non-inferior to the temporal flap, with better patient compliance in the sitting position postoperatively.

求助全文
通过发布文献求助,成功后即可免费获取论文全文。 去求助
来源期刊
CiteScore
3.80
自引率
19.40%
发文量
1963
审稿时长
38 weeks
期刊介绍: Indian Journal of Ophthalmology covers clinical, experimental, basic science research and translational research studies related to medical, ethical and social issues in field of ophthalmology and vision science. Articles with clinical interest and implications will be given preference.
×
引用
GB/T 7714-2015
复制
MLA
复制
APA
复制
导出至
BibTeX EndNote RefMan NoteFirst NoteExpress
×
提示
您的信息不完整,为了账户安全,请先补充。
现在去补充
×
提示
您因"违规操作"
具体请查看互助需知
我知道了
×
提示
确定
请完成安全验证×
copy
已复制链接
快去分享给好友吧!
我知道了
右上角分享
点击右上角分享
0
联系我们:info@booksci.cn Book学术提供免费学术资源搜索服务,方便国内外学者检索中英文文献。致力于提供最便捷和优质的服务体验。 Copyright © 2023 布克学术 All rights reserved.
京ICP备2023020795号-1
ghs 京公网安备 11010802042870号
Book学术文献互助
Book学术文献互助群
群 号:604180095
Book学术官方微信