解决顽固性高血压根治性肾细胞癌切除术后:一个病例报告从索马里在资源限制设置。

IF 2.6 4区 医学 Q3 ONCOLOGY
Cancer Management and Research Pub Date : 2025-07-12 eCollection Date: 2025-01-01 DOI:10.2147/CMAR.S530092
Rahmo Mohamed Ali, Abdullahi Abdirahman Omar, Ismail A Ali
{"title":"解决顽固性高血压根治性肾细胞癌切除术后:一个病例报告从索马里在资源限制设置。","authors":"Rahmo Mohamed Ali, Abdullahi Abdirahman Omar, Ismail A Ali","doi":"10.2147/CMAR.S530092","DOIUrl":null,"url":null,"abstract":"<p><strong>Introduction: </strong>Renal cell carcinoma (RCC) is among the most prevalent kidney malignancies and is characterized by a variety of histological subtypes, with clear cell RCC being the most common subtype. Hypertension may occur as a paraneoplastic manifestation, although the resolution of refractory hypertension following radical nephrectomy remains an uncommon event. To our knowledge, this is the first documented case from a resource-limited setting in which refractory hypertension resolved completely following radical nephrectomy for RCC, underscoring unique diagnostic and therapeutic challenges in such environments.</p><p><strong>Case presentation: </strong>A 56-year-old male presented with severe uncontrolled hypertension accompanied by persistent headaches and palpitations and was unresponsive to standard anti-hypertensive therapy. Clinical examination revealed a palpable mass in the right flank. Abdominal computed tomography revealed a large, heterogeneous mass (approximately 10 cm) occupying the hepatorenal space, which was initially suggestive of pheochromocytoma. Due to limited diagnostic resources, confirmatory biochemical testing was unavailable. The patient underwent radical nephrectomy and histopathology confirmed clear cell RCC (WHO/ISUP grade 2). The patient's hypertension resolved completely postoperatively, with subsequent follow-ups demonstrating stable blood pressure and no metastatic disease.</p><p><strong>Conclusion: </strong>This case emphasizes an uncommon presentation of refractory hypertension linked directly to RCC that resolved after radical nephrectomy. This case underscores the importance of considering RCC as a differential diagnosis for refractory hypertension, particularly in resource-limited settings where advanced diagnostics and recent surgical are unavailable.</p>","PeriodicalId":9479,"journal":{"name":"Cancer Management and Research","volume":"17 ","pages":"1369-1375"},"PeriodicalIF":2.6000,"publicationDate":"2025-07-12","publicationTypes":"Journal Article","fieldsOfStudy":null,"isOpenAccess":false,"openAccessPdf":"https://www.ncbi.nlm.nih.gov/pmc/articles/PMC12267830/pdf/","citationCount":"0","resultStr":"{\"title\":\"Resolution of Refractory Hypertension Following Radical Nephrectomy for Renal Cell Carcinoma: A Case Report from Somalia in Resource Limit Setting.\",\"authors\":\"Rahmo Mohamed Ali, Abdullahi Abdirahman Omar, Ismail A Ali\",\"doi\":\"10.2147/CMAR.S530092\",\"DOIUrl\":null,\"url\":null,\"abstract\":\"<p><strong>Introduction: </strong>Renal cell carcinoma (RCC) is among the most prevalent kidney malignancies and is characterized by a variety of histological subtypes, with clear cell RCC being the most common subtype. Hypertension may occur as a paraneoplastic manifestation, although the resolution of refractory hypertension following radical nephrectomy remains an uncommon event. To our knowledge, this is the first documented case from a resource-limited setting in which refractory hypertension resolved completely following radical nephrectomy for RCC, underscoring unique diagnostic and therapeutic challenges in such environments.</p><p><strong>Case presentation: </strong>A 56-year-old male presented with severe uncontrolled hypertension accompanied by persistent headaches and palpitations and was unresponsive to standard anti-hypertensive therapy. Clinical examination revealed a palpable mass in the right flank. Abdominal computed tomography revealed a large, heterogeneous mass (approximately 10 cm) occupying the hepatorenal space, which was initially suggestive of pheochromocytoma. Due to limited diagnostic resources, confirmatory biochemical testing was unavailable. The patient underwent radical nephrectomy and histopathology confirmed clear cell RCC (WHO/ISUP grade 2). The patient's hypertension resolved completely postoperatively, with subsequent follow-ups demonstrating stable blood pressure and no metastatic disease.</p><p><strong>Conclusion: </strong>This case emphasizes an uncommon presentation of refractory hypertension linked directly to RCC that resolved after radical nephrectomy. This case underscores the importance of considering RCC as a differential diagnosis for refractory hypertension, particularly in resource-limited settings where advanced diagnostics and recent surgical are unavailable.</p>\",\"PeriodicalId\":9479,\"journal\":{\"name\":\"Cancer Management and Research\",\"volume\":\"17 \",\"pages\":\"1369-1375\"},\"PeriodicalIF\":2.6000,\"publicationDate\":\"2025-07-12\",\"publicationTypes\":\"Journal Article\",\"fieldsOfStudy\":null,\"isOpenAccess\":false,\"openAccessPdf\":\"https://www.ncbi.nlm.nih.gov/pmc/articles/PMC12267830/pdf/\",\"citationCount\":\"0\",\"resultStr\":null,\"platform\":\"Semanticscholar\",\"paperid\":null,\"PeriodicalName\":\"Cancer Management and Research\",\"FirstCategoryId\":\"3\",\"ListUrlMain\":\"https://doi.org/10.2147/CMAR.S530092\",\"RegionNum\":4,\"RegionCategory\":\"医学\",\"ArticlePicture\":[],\"TitleCN\":null,\"AbstractTextCN\":null,\"PMCID\":null,\"EPubDate\":\"2025/1/1 0:00:00\",\"PubModel\":\"eCollection\",\"JCR\":\"Q3\",\"JCRName\":\"ONCOLOGY\",\"Score\":null,\"Total\":0}","platform":"Semanticscholar","paperid":null,"PeriodicalName":"Cancer Management and Research","FirstCategoryId":"3","ListUrlMain":"https://doi.org/10.2147/CMAR.S530092","RegionNum":4,"RegionCategory":"医学","ArticlePicture":[],"TitleCN":null,"AbstractTextCN":null,"PMCID":null,"EPubDate":"2025/1/1 0:00:00","PubModel":"eCollection","JCR":"Q3","JCRName":"ONCOLOGY","Score":null,"Total":0}
引用次数: 0

摘要

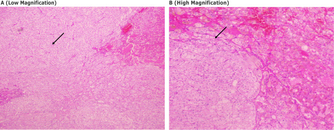
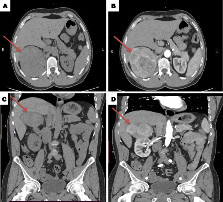
肾细胞癌(RCC)是最常见的肾脏恶性肿瘤之一,具有多种组织学亚型,透明细胞癌是最常见的亚型。虽然顽固性高血压在根治性肾切除术后的解决仍然是一个罕见的事件,但高血压可能作为副肿瘤表现出现。据我们所知,这是首例在资源有限的环境下,顽固性高血压在根治性肾切除术后完全治愈的病例,强调了在这种环境下独特的诊断和治疗挑战。病例介绍:一名56岁男性,患有严重未控制的高血压,伴有持续性头痛和心悸,对标准降压治疗无反应。临床检查发现右侧可触及肿块。腹部计算机断层扫描显示一个巨大的非均匀肿块(约10厘米)占据肝肾间隙,最初提示嗜铬细胞瘤。由于诊断资源有限,无法进行确证性生化检测。患者行根治性肾切除术,组织病理学证实为透明细胞肾细胞癌(WHO/ISUP分级2级)。患者的高血压在术后完全缓解,随后的随访显示血压稳定,无转移性疾病。结论:这个病例强调了一个罕见的顽固性高血压的表现,直接与肾细胞癌相关,在根治性肾切除术后得到解决。该病例强调了将RCC作为难治性高血压鉴别诊断的重要性,特别是在资源有限、无法获得先进诊断和近期手术的地区。
本文章由计算机程序翻译,如有差异,请以英文原文为准。

Resolution of Refractory Hypertension Following Radical Nephrectomy for Renal Cell Carcinoma: A Case Report from Somalia in Resource Limit Setting.

Resolution of Refractory Hypertension Following Radical Nephrectomy for Renal Cell Carcinoma: A Case Report from Somalia in Resource Limit Setting.

Resolution of Refractory Hypertension Following Radical Nephrectomy for Renal Cell Carcinoma: A Case Report from Somalia in Resource Limit Setting.

Introduction: Renal cell carcinoma (RCC) is among the most prevalent kidney malignancies and is characterized by a variety of histological subtypes, with clear cell RCC being the most common subtype. Hypertension may occur as a paraneoplastic manifestation, although the resolution of refractory hypertension following radical nephrectomy remains an uncommon event. To our knowledge, this is the first documented case from a resource-limited setting in which refractory hypertension resolved completely following radical nephrectomy for RCC, underscoring unique diagnostic and therapeutic challenges in such environments.

Case presentation: A 56-year-old male presented with severe uncontrolled hypertension accompanied by persistent headaches and palpitations and was unresponsive to standard anti-hypertensive therapy. Clinical examination revealed a palpable mass in the right flank. Abdominal computed tomography revealed a large, heterogeneous mass (approximately 10 cm) occupying the hepatorenal space, which was initially suggestive of pheochromocytoma. Due to limited diagnostic resources, confirmatory biochemical testing was unavailable. The patient underwent radical nephrectomy and histopathology confirmed clear cell RCC (WHO/ISUP grade 2). The patient's hypertension resolved completely postoperatively, with subsequent follow-ups demonstrating stable blood pressure and no metastatic disease.

Conclusion: This case emphasizes an uncommon presentation of refractory hypertension linked directly to RCC that resolved after radical nephrectomy. This case underscores the importance of considering RCC as a differential diagnosis for refractory hypertension, particularly in resource-limited settings where advanced diagnostics and recent surgical are unavailable.

求助全文
通过发布文献求助,成功后即可免费获取论文全文。 去求助
来源期刊
Cancer Management and Research
Cancer Management and Research Medicine-Oncology
CiteScore
7.40
自引率
0.00%
发文量
448
审稿时长
16 weeks
期刊介绍: Cancer Management and Research is an international, peer reviewed, open access journal focusing on cancer research and the optimal use of preventative and integrated treatment interventions to achieve improved outcomes, enhanced survival, and quality of life for cancer patients. Specific topics covered in the journal include: ◦Epidemiology, detection and screening ◦Cellular research and biomarkers ◦Identification of biotargets and agents with novel mechanisms of action ◦Optimal clinical use of existing anticancer agents, including combination therapies ◦Radiation and surgery ◦Palliative care ◦Patient adherence, quality of life, satisfaction The journal welcomes submitted papers covering original research, basic science, clinical & epidemiological studies, reviews & evaluations, guidelines, expert opinion and commentary, and case series that shed novel insights on a disease or disease subtype.
×
引用
GB/T 7714-2015
复制
MLA
复制
APA
复制
导出至
BibTeX EndNote RefMan NoteFirst NoteExpress
×
提示
您的信息不完整,为了账户安全,请先补充。
现在去补充
×
提示
您因"违规操作"
具体请查看互助需知
我知道了
×
提示
确定
请完成安全验证×
copy
已复制链接
快去分享给好友吧!
我知道了
右上角分享
点击右上角分享
0
联系我们:info@booksci.cn Book学术提供免费学术资源搜索服务,方便国内外学者检索中英文文献。致力于提供最便捷和优质的服务体验。 Copyright © 2023 布克学术 All rights reserved.
京ICP备2023020795号-1
ghs 京公网安备 11010802042870号
Book学术文献互助
Book学术文献互助群
群 号:604180095
Book学术官方微信