胸腺瘤无重症肌无力,大小波动与斑秃平行1例。

IF 1.3
Keisuke Fujimoto, Koichiro Kenzaki, Takako Kubo, Toru Sawada, Shoko Norimura, Kazumasa Miura, Akiyoshi Yamamoto
{"title":"胸腺瘤无重症肌无力,大小波动与斑秃平行1例。","authors":"Keisuke Fujimoto, Koichiro Kenzaki, Takako Kubo, Toru Sawada, Shoko Norimura, Kazumasa Miura, Akiyoshi Yamamoto","doi":"10.5761/atcs.cr.25-00082","DOIUrl":null,"url":null,"abstract":"<p><p>Thymomas are commonly associated with autoimmune diseases such as myasthenia gravis (MG), pure red cell aplasia, and hypogammaglobulinemia, while those associated solely with alopecia areata (AA) are extremely rare. A 55-year-old woman with AA underwent chest computed tomography, which revealed a 33-mm anterior mediastinal cystic mass with fluctuating size. She was referred to our department for evaluation of a suspected cystic thymoma. The patient underwent thoracoscopic tumor resection under general anesthesia with isolated lung ventilation in the left lateral decubitus position. The operation lasted 81 minutes with minimal blood loss, and her postoperative course was uneventful. Histopathology confirmed a type B2-dominant thymoma. Notably, the patient's AA improved rapidly after surgery and did not recur for at least 3 years. This case strongly suggests a potential immunological relationship between AA and thymoma, though further research is needed to confirm this relationship.</p>","PeriodicalId":93877,"journal":{"name":"Annals of thoracic and cardiovascular surgery : official journal of the Association of Thoracic and Cardiovascular Surgeons of Asia","volume":"31 1","pages":""},"PeriodicalIF":1.3000,"publicationDate":"2025-01-01","publicationTypes":"Journal Article","fieldsOfStudy":null,"isOpenAccess":false,"openAccessPdf":"https://www.ncbi.nlm.nih.gov/pmc/articles/PMC12266934/pdf/","citationCount":"0","resultStr":"{\"title\":\"Thymoma without Myasthenia Gravis Showing Size Fluctuation in Parallel to Alopecia Areata Activity: A Case Report.\",\"authors\":\"Keisuke Fujimoto, Koichiro Kenzaki, Takako Kubo, Toru Sawada, Shoko Norimura, Kazumasa Miura, Akiyoshi Yamamoto\",\"doi\":\"10.5761/atcs.cr.25-00082\",\"DOIUrl\":null,\"url\":null,\"abstract\":\"<p><p>Thymomas are commonly associated with autoimmune diseases such as myasthenia gravis (MG), pure red cell aplasia, and hypogammaglobulinemia, while those associated solely with alopecia areata (AA) are extremely rare. A 55-year-old woman with AA underwent chest computed tomography, which revealed a 33-mm anterior mediastinal cystic mass with fluctuating size. She was referred to our department for evaluation of a suspected cystic thymoma. The patient underwent thoracoscopic tumor resection under general anesthesia with isolated lung ventilation in the left lateral decubitus position. The operation lasted 81 minutes with minimal blood loss, and her postoperative course was uneventful. Histopathology confirmed a type B2-dominant thymoma. Notably, the patient's AA improved rapidly after surgery and did not recur for at least 3 years. This case strongly suggests a potential immunological relationship between AA and thymoma, though further research is needed to confirm this relationship.</p>\",\"PeriodicalId\":93877,\"journal\":{\"name\":\"Annals of thoracic and cardiovascular surgery : official journal of the Association of Thoracic and Cardiovascular Surgeons of Asia\",\"volume\":\"31 1\",\"pages\":\"\"},\"PeriodicalIF\":1.3000,\"publicationDate\":\"2025-01-01\",\"publicationTypes\":\"Journal Article\",\"fieldsOfStudy\":null,\"isOpenAccess\":false,\"openAccessPdf\":\"https://www.ncbi.nlm.nih.gov/pmc/articles/PMC12266934/pdf/\",\"citationCount\":\"0\",\"resultStr\":null,\"platform\":\"Semanticscholar\",\"paperid\":null,\"PeriodicalName\":\"Annals of thoracic and cardiovascular surgery : official journal of the Association of Thoracic and Cardiovascular Surgeons of Asia\",\"FirstCategoryId\":\"1085\",\"ListUrlMain\":\"https://doi.org/10.5761/atcs.cr.25-00082\",\"RegionNum\":0,\"RegionCategory\":null,\"ArticlePicture\":[],\"TitleCN\":null,\"AbstractTextCN\":null,\"PMCID\":null,\"EPubDate\":\"\",\"PubModel\":\"\",\"JCR\":\"\",\"JCRName\":\"\",\"Score\":null,\"Total\":0}","platform":"Semanticscholar","paperid":null,"PeriodicalName":"Annals of thoracic and cardiovascular surgery : official journal of the Association of Thoracic and Cardiovascular Surgeons of Asia","FirstCategoryId":"1085","ListUrlMain":"https://doi.org/10.5761/atcs.cr.25-00082","RegionNum":0,"RegionCategory":null,"ArticlePicture":[],"TitleCN":null,"AbstractTextCN":null,"PMCID":null,"EPubDate":"","PubModel":"","JCR":"","JCRName":"","Score":null,"Total":0}
引用次数: 0

摘要

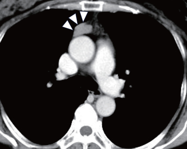
胸腺瘤通常与自身免疫性疾病相关,如重症肌无力(MG)、纯红细胞发育不全和低γ -球蛋白血症,而仅与斑秃(AA)相关的胸腺瘤极为罕见。一名55岁女性AA患者接受胸部计算机断层扫描,发现一个33毫米大小波动的前纵隔囊性肿块。她因疑似囊性胸腺瘤被转介到我科进行评估。患者在全麻下行胸腔镜肿瘤切除术,左侧卧位孤立肺通气。手术持续了81分钟,出血量最小,术后过程平稳。组织病理学证实为b2型胸腺瘤。值得注意的是,患者的AA在手术后迅速改善,至少3年内没有复发。该病例强烈提示AA和胸腺瘤之间存在潜在的免疫学关系,尽管需要进一步的研究来证实这种关系。
本文章由计算机程序翻译,如有差异,请以英文原文为准。

Thymoma without Myasthenia Gravis Showing Size Fluctuation in Parallel to Alopecia Areata Activity: A Case Report.

Thymoma without Myasthenia Gravis Showing Size Fluctuation in Parallel to Alopecia Areata Activity: A Case Report.

Thymoma without Myasthenia Gravis Showing Size Fluctuation in Parallel to Alopecia Areata Activity: A Case Report.

Thymoma without Myasthenia Gravis Showing Size Fluctuation in Parallel to Alopecia Areata Activity: A Case Report.

Thymomas are commonly associated with autoimmune diseases such as myasthenia gravis (MG), pure red cell aplasia, and hypogammaglobulinemia, while those associated solely with alopecia areata (AA) are extremely rare. A 55-year-old woman with AA underwent chest computed tomography, which revealed a 33-mm anterior mediastinal cystic mass with fluctuating size. She was referred to our department for evaluation of a suspected cystic thymoma. The patient underwent thoracoscopic tumor resection under general anesthesia with isolated lung ventilation in the left lateral decubitus position. The operation lasted 81 minutes with minimal blood loss, and her postoperative course was uneventful. Histopathology confirmed a type B2-dominant thymoma. Notably, the patient's AA improved rapidly after surgery and did not recur for at least 3 years. This case strongly suggests a potential immunological relationship between AA and thymoma, though further research is needed to confirm this relationship.

求助全文
通过发布文献求助,成功后即可免费获取论文全文。 去求助
来源期刊
自引率
0.00%
发文量
0
×
引用
GB/T 7714-2015
复制
MLA
复制
APA
复制
导出至
BibTeX EndNote RefMan NoteFirst NoteExpress
×
提示
您的信息不完整,为了账户安全,请先补充。
现在去补充
×
提示
您因"违规操作"
具体请查看互助需知
我知道了
×
提示
确定
请完成安全验证×
copy
已复制链接
快去分享给好友吧!
我知道了
右上角分享
点击右上角分享
0
联系我们:info@booksci.cn Book学术提供免费学术资源搜索服务,方便国内外学者检索中英文文献。致力于提供最便捷和优质的服务体验。 Copyright © 2023 布克学术 All rights reserved.
京ICP备2023020795号-1
ghs 京公网安备 11010802042870号
Book学术文献互助
Book学术文献互助群
群 号:604180095
Book学术官方微信