急慢性闭角型青光眼晶状体位置及稳定性的超声生物显微成像分析。

IF 0.9
Frontiers in ophthalmology Pub Date : 2025-07-02 eCollection Date: 2025-01-01 DOI:10.3389/fopht.2025.1624876
Zhiying Yu, Xinyu Wang, Haitao Wang, Jing Han, Jing Fu, Licun Wang, Ling Wang
{"title":"急慢性闭角型青光眼晶状体位置及稳定性的超声生物显微成像分析。","authors":"Zhiying Yu, Xinyu Wang, Haitao Wang, Jing Han, Jing Fu, Licun Wang, Ling Wang","doi":"10.3389/fopht.2025.1624876","DOIUrl":null,"url":null,"abstract":"<p><strong>Introduction: </strong>This study aimed to compare the characteristics and differences in lens position and stability in patients with acute and chronic angle-closure glaucoma (ACG) using ultrasound biomicroscopy (UBM) to provide a basis for selecting treatment regimens for primary ACG (PACG).</p><p><strong>Methods: </strong>This prospective study included 82 eyes of patients with PACG, of which, 45 eyes with acute PACG (APACG), 37 with chronic PACG (CPACG). Axial length (AL) and lens thickness (LT) were measured using A-scan ultrasonography. Anterior chamber depth (ACD), pupil diameter (PD), and lens vault (LV) were measured using UBM for each group. Additionally, trabecular-iris angle (TIA), angle opening distance (AOD<sub>500</sub>), iris-lens angle (ILA), and iris-lens contact distance (ILCD) were measured in four quadrants (superior, inferior, nasal, and temporal) with UBM. The corresponding lens position (LP), relative lens position (RLP), and lens thickness/axial length factor (LAF) were calculated. Normally distributed data were compared between the two groups using an independent samples t-test. Data that did not follow a normal distribution were compared using the Mann-Whitney U test. Differences were considered statistically significant when <i>P</i> < 0.05, and they were considered highly statistically significant when <i>P</i> < 0.01.</p><p><strong>Results: </strong>The values for angle-related parameters, including the mean TIA, TIA<sub>max-min</sub>, mean AOD<sub>500</sub>, AOD<sub>500 max-min</sub>, and ACD, were significantly lower in the APACG group than in the CPACG group (all <i>P</i> < 0.05). The LP and RLP values of the APACG group were also lower than those of the CPACG group, but only the difference in LP values being statistically significant (<i>P</i> = 0.038). The LT, LV, LAF, mean ILCD, and ILCD<sub>max-min</sub> values were higher than those of the CPACG group, with the differences reaching statistical significance (all <i>P</i> < 0.05).</p><p><strong>Conclusion: </strong>The APACG eyes had a thicker and more-anteriorly positioned lens than those with CPACG, which results in a shallower anterior chamber and narrower anterior chamber angle. In the APACG group, the lens exhibited nonuniform laxity of the suspensory ligament across the various quadrants, poor stability, and greater susceptibility for anterior displacement or even deviation.</p>","PeriodicalId":73096,"journal":{"name":"Frontiers in ophthalmology","volume":"5 ","pages":"1624876"},"PeriodicalIF":0.9000,"publicationDate":"2025-07-02","publicationTypes":"Journal Article","fieldsOfStudy":null,"isOpenAccess":false,"openAccessPdf":"https://www.ncbi.nlm.nih.gov/pmc/articles/PMC12263399/pdf/","citationCount":"0","resultStr":"{\"title\":\"Ultrasound biomicroscopic imaging analysis of lens position and stability in acute and chronic angle-closure glaucoma.\",\"authors\":\"Zhiying Yu, Xinyu Wang, Haitao Wang, Jing Han, Jing Fu, Licun Wang, Ling Wang\",\"doi\":\"10.3389/fopht.2025.1624876\",\"DOIUrl\":null,\"url\":null,\"abstract\":\"<p><strong>Introduction: </strong>This study aimed to compare the characteristics and differences in lens position and stability in patients with acute and chronic angle-closure glaucoma (ACG) using ultrasound biomicroscopy (UBM) to provide a basis for selecting treatment regimens for primary ACG (PACG).</p><p><strong>Methods: </strong>This prospective study included 82 eyes of patients with PACG, of which, 45 eyes with acute PACG (APACG), 37 with chronic PACG (CPACG). Axial length (AL) and lens thickness (LT) were measured using A-scan ultrasonography. Anterior chamber depth (ACD), pupil diameter (PD), and lens vault (LV) were measured using UBM for each group. Additionally, trabecular-iris angle (TIA), angle opening distance (AOD<sub>500</sub>), iris-lens angle (ILA), and iris-lens contact distance (ILCD) were measured in four quadrants (superior, inferior, nasal, and temporal) with UBM. The corresponding lens position (LP), relative lens position (RLP), and lens thickness/axial length factor (LAF) were calculated. Normally distributed data were compared between the two groups using an independent samples t-test. Data that did not follow a normal distribution were compared using the Mann-Whitney U test. Differences were considered statistically significant when <i>P</i> < 0.05, and they were considered highly statistically significant when <i>P</i> < 0.01.</p><p><strong>Results: </strong>The values for angle-related parameters, including the mean TIA, TIA<sub>max-min</sub>, mean AOD<sub>500</sub>, AOD<sub>500 max-min</sub>, and ACD, were significantly lower in the APACG group than in the CPACG group (all <i>P</i> < 0.05). The LP and RLP values of the APACG group were also lower than those of the CPACG group, but only the difference in LP values being statistically significant (<i>P</i> = 0.038). The LT, LV, LAF, mean ILCD, and ILCD<sub>max-min</sub> values were higher than those of the CPACG group, with the differences reaching statistical significance (all <i>P</i> < 0.05).</p><p><strong>Conclusion: </strong>The APACG eyes had a thicker and more-anteriorly positioned lens than those with CPACG, which results in a shallower anterior chamber and narrower anterior chamber angle. In the APACG group, the lens exhibited nonuniform laxity of the suspensory ligament across the various quadrants, poor stability, and greater susceptibility for anterior displacement or even deviation.</p>\",\"PeriodicalId\":73096,\"journal\":{\"name\":\"Frontiers in ophthalmology\",\"volume\":\"5 \",\"pages\":\"1624876\"},\"PeriodicalIF\":0.9000,\"publicationDate\":\"2025-07-02\",\"publicationTypes\":\"Journal Article\",\"fieldsOfStudy\":null,\"isOpenAccess\":false,\"openAccessPdf\":\"https://www.ncbi.nlm.nih.gov/pmc/articles/PMC12263399/pdf/\",\"citationCount\":\"0\",\"resultStr\":null,\"platform\":\"Semanticscholar\",\"paperid\":null,\"PeriodicalName\":\"Frontiers in ophthalmology\",\"FirstCategoryId\":\"1085\",\"ListUrlMain\":\"https://doi.org/10.3389/fopht.2025.1624876\",\"RegionNum\":0,\"RegionCategory\":null,\"ArticlePicture\":[],\"TitleCN\":null,\"AbstractTextCN\":null,\"PMCID\":null,\"EPubDate\":\"2025/1/1 0:00:00\",\"PubModel\":\"eCollection\",\"JCR\":\"\",\"JCRName\":\"\",\"Score\":null,\"Total\":0}","platform":"Semanticscholar","paperid":null,"PeriodicalName":"Frontiers in ophthalmology","FirstCategoryId":"1085","ListUrlMain":"https://doi.org/10.3389/fopht.2025.1624876","RegionNum":0,"RegionCategory":null,"ArticlePicture":[],"TitleCN":null,"AbstractTextCN":null,"PMCID":null,"EPubDate":"2025/1/1 0:00:00","PubModel":"eCollection","JCR":"","JCRName":"","Score":null,"Total":0}
引用次数: 0

摘要

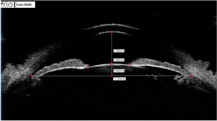
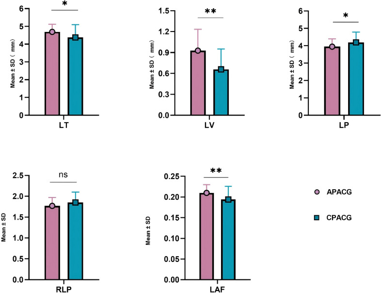
前言:本研究旨在利用超声生物显微镜(UBM)比较急慢性闭角型青光眼(ACG)患者晶状体位置和稳定性的特点及差异,为原发性ACG (PACG)治疗方案的选择提供依据。方法:本前瞻性研究纳入82眼PACG患者,其中急性PACG (APACG) 45眼,慢性PACG (CPACG) 37眼。采用a型超声扫描测量轴向长度(AL)和晶状体厚度(LT)。采用UBM测量各组前房深度(ACD)、瞳孔直径(PD)、晶状体穹窿(LV)。此外,用UBM在四个象限(上、下、鼻、颞)测量小梁-虹膜角(TIA)、角开口距离(AOD500)、虹膜-晶状体角(ILA)和虹膜-晶状体接触距离(ILCD)。计算相应的透镜位置(LP)、相对透镜位置(RLP)和透镜厚度/轴向长度因子(LAF)。正态分布的两组数据采用独立样本t检验比较。不符合正态分布的数据使用Mann-Whitney U检验进行比较。P < 0.05为差异有统计学意义,P < 0.01为高度统计学意义。结果:APACG组的平均TIA、TIAmax-min、平均AOD500、AOD500 max-min、ACD等角度相关参数值均显著低于CPACG组(均P < 0.05)。APACG组的LP和RLP值也低于CPACG组,但只有LP值差异有统计学意义(P = 0.038)。LT、LV、LAF、平均ILCD、ILCDmax-min值均高于CPACG组,差异均有统计学意义(P < 0.05)。结论:与CPACG组相比,APACG组晶状体较CPACG组更厚,晶状体位置更靠前,导致前房较浅,前房角较窄。在APACG组中,晶状体在各个象限上表现出悬韧带不均匀松弛,稳定性差,更容易发生前移位甚至偏离。
本文章由计算机程序翻译,如有差异,请以英文原文为准。

Ultrasound biomicroscopic imaging analysis of lens position and stability in acute and chronic angle-closure glaucoma.

Ultrasound biomicroscopic imaging analysis of lens position and stability in acute and chronic angle-closure glaucoma.

Ultrasound biomicroscopic imaging analysis of lens position and stability in acute and chronic angle-closure glaucoma.

Ultrasound biomicroscopic imaging analysis of lens position and stability in acute and chronic angle-closure glaucoma.

Introduction: This study aimed to compare the characteristics and differences in lens position and stability in patients with acute and chronic angle-closure glaucoma (ACG) using ultrasound biomicroscopy (UBM) to provide a basis for selecting treatment regimens for primary ACG (PACG).

Methods: This prospective study included 82 eyes of patients with PACG, of which, 45 eyes with acute PACG (APACG), 37 with chronic PACG (CPACG). Axial length (AL) and lens thickness (LT) were measured using A-scan ultrasonography. Anterior chamber depth (ACD), pupil diameter (PD), and lens vault (LV) were measured using UBM for each group. Additionally, trabecular-iris angle (TIA), angle opening distance (AOD500), iris-lens angle (ILA), and iris-lens contact distance (ILCD) were measured in four quadrants (superior, inferior, nasal, and temporal) with UBM. The corresponding lens position (LP), relative lens position (RLP), and lens thickness/axial length factor (LAF) were calculated. Normally distributed data were compared between the two groups using an independent samples t-test. Data that did not follow a normal distribution were compared using the Mann-Whitney U test. Differences were considered statistically significant when P < 0.05, and they were considered highly statistically significant when P < 0.01.

Results: The values for angle-related parameters, including the mean TIA, TIAmax-min, mean AOD500, AOD500 max-min, and ACD, were significantly lower in the APACG group than in the CPACG group (all P < 0.05). The LP and RLP values of the APACG group were also lower than those of the CPACG group, but only the difference in LP values being statistically significant (P = 0.038). The LT, LV, LAF, mean ILCD, and ILCDmax-min values were higher than those of the CPACG group, with the differences reaching statistical significance (all P < 0.05).

Conclusion: The APACG eyes had a thicker and more-anteriorly positioned lens than those with CPACG, which results in a shallower anterior chamber and narrower anterior chamber angle. In the APACG group, the lens exhibited nonuniform laxity of the suspensory ligament across the various quadrants, poor stability, and greater susceptibility for anterior displacement or even deviation.

求助全文
通过发布文献求助,成功后即可免费获取论文全文。 去求助
来源期刊
CiteScore
0.50
自引率
0.00%
发文量
0
×
引用
GB/T 7714-2015
复制
MLA
复制
APA
复制
导出至
BibTeX EndNote RefMan NoteFirst NoteExpress
×
提示
您的信息不完整,为了账户安全,请先补充。
现在去补充
×
提示
您因"违规操作"
具体请查看互助需知
我知道了
×
提示
确定
请完成安全验证×
copy
已复制链接
快去分享给好友吧!
我知道了
右上角分享
点击右上角分享
0
联系我们:info@booksci.cn Book学术提供免费学术资源搜索服务,方便国内外学者检索中英文文献。致力于提供最便捷和优质的服务体验。 Copyright © 2023 布克学术 All rights reserved.
京ICP备2023020795号-1
ghs 京公网安备 11010802042870号
Book学术文献互助
Book学术文献互助群
群 号:604180095
Book学术官方微信