热消融治疗小细胞肺癌肝转移的安全性和有效性。

IF 3.5 2区 医学 Q2 ONCOLOGY
Translational lung cancer research Pub Date : 2025-06-30 Epub Date: 2025-06-19 DOI:10.21037/tlcr-2025-112
Shunn Theingi, Ashara Mitchell, Elena N Petre, Etay Ziv, Constantinos T Sofocleous, Stephen B Solomon, Erica S Alexander
{"title":"热消融治疗小细胞肺癌肝转移的安全性和有效性。","authors":"Shunn Theingi, Ashara Mitchell, Elena N Petre, Etay Ziv, Constantinos T Sofocleous, Stephen B Solomon, Erica S Alexander","doi":"10.21037/tlcr-2025-112","DOIUrl":null,"url":null,"abstract":"<p><p>Small cell lung cancer (SCLC) is a high-grade neuroendocrine carcinoma associated with early development of distant metastases, which portends a worse prognosis. The median survival of metastatic SCLC with standard treatment is only 9-11 months, with a 5-year survival of 1-2%. Patients with SCLC are often initially responsive to systemic therapies, but once they develop resistance to them, locoregional therapies like thermal ablation should be investigated for possible improvements in morbidity and mortality. This brief retrospective report evaluates six patients with SCLC liver metastases (LMs), treated in 11 thermal ablation sessions (radiofrequency ablation or microwave ablation). Technical success was achieved in all treatments (100%). After the first ablation, 3/7 ablated tumors had residual disease. Survival outcomes were determined using the Kaplan-Meier method. Median local tumor progression-free survival (LTPFS) was 2.9 [95% confidence interval (CI): 0.5-3.9] months. Median assisted LTPFS, defined as tumor control with subsequent retreatment, was 25.9 (95% CI: 8.3-not reported) months. Median overall survival (OS) was 14.3 months. There was one adverse event (1/11) of grade 1, according to the Common Terminology Criteria for Adverse Events version 5.0, fatigue within a month of ablation, which self-resolved. The results suggest that thermal ablation is safe for SCLC LMs. Although LTPFS was very modest, the long duration of assisted LTPFS and OS in this small, retrospective study suggests that thermal ablation may be a promising treatment option.</p>","PeriodicalId":23271,"journal":{"name":"Translational lung cancer research","volume":"14 6","pages":"2309-2316"},"PeriodicalIF":3.5000,"publicationDate":"2025-06-30","publicationTypes":"Journal Article","fieldsOfStudy":null,"isOpenAccess":false,"openAccessPdf":"https://www.ncbi.nlm.nih.gov/pmc/articles/PMC12261360/pdf/","citationCount":"0","resultStr":"{\"title\":\"Safety and efficacy of thermal ablation for small cell lung cancer liver metastases.\",\"authors\":\"Shunn Theingi, Ashara Mitchell, Elena N Petre, Etay Ziv, Constantinos T Sofocleous, Stephen B Solomon, Erica S Alexander\",\"doi\":\"10.21037/tlcr-2025-112\",\"DOIUrl\":null,\"url\":null,\"abstract\":\"<p><p>Small cell lung cancer (SCLC) is a high-grade neuroendocrine carcinoma associated with early development of distant metastases, which portends a worse prognosis. The median survival of metastatic SCLC with standard treatment is only 9-11 months, with a 5-year survival of 1-2%. Patients with SCLC are often initially responsive to systemic therapies, but once they develop resistance to them, locoregional therapies like thermal ablation should be investigated for possible improvements in morbidity and mortality. This brief retrospective report evaluates six patients with SCLC liver metastases (LMs), treated in 11 thermal ablation sessions (radiofrequency ablation or microwave ablation). Technical success was achieved in all treatments (100%). After the first ablation, 3/7 ablated tumors had residual disease. Survival outcomes were determined using the Kaplan-Meier method. Median local tumor progression-free survival (LTPFS) was 2.9 [95% confidence interval (CI): 0.5-3.9] months. Median assisted LTPFS, defined as tumor control with subsequent retreatment, was 25.9 (95% CI: 8.3-not reported) months. Median overall survival (OS) was 14.3 months. There was one adverse event (1/11) of grade 1, according to the Common Terminology Criteria for Adverse Events version 5.0, fatigue within a month of ablation, which self-resolved. The results suggest that thermal ablation is safe for SCLC LMs. Although LTPFS was very modest, the long duration of assisted LTPFS and OS in this small, retrospective study suggests that thermal ablation may be a promising treatment option.</p>\",\"PeriodicalId\":23271,\"journal\":{\"name\":\"Translational lung cancer research\",\"volume\":\"14 6\",\"pages\":\"2309-2316\"},\"PeriodicalIF\":3.5000,\"publicationDate\":\"2025-06-30\",\"publicationTypes\":\"Journal Article\",\"fieldsOfStudy\":null,\"isOpenAccess\":false,\"openAccessPdf\":\"https://www.ncbi.nlm.nih.gov/pmc/articles/PMC12261360/pdf/\",\"citationCount\":\"0\",\"resultStr\":null,\"platform\":\"Semanticscholar\",\"paperid\":null,\"PeriodicalName\":\"Translational lung cancer research\",\"FirstCategoryId\":\"3\",\"ListUrlMain\":\"https://doi.org/10.21037/tlcr-2025-112\",\"RegionNum\":2,\"RegionCategory\":\"医学\",\"ArticlePicture\":[],\"TitleCN\":null,\"AbstractTextCN\":null,\"PMCID\":null,\"EPubDate\":\"2025/6/19 0:00:00\",\"PubModel\":\"Epub\",\"JCR\":\"Q2\",\"JCRName\":\"ONCOLOGY\",\"Score\":null,\"Total\":0}","platform":"Semanticscholar","paperid":null,"PeriodicalName":"Translational lung cancer research","FirstCategoryId":"3","ListUrlMain":"https://doi.org/10.21037/tlcr-2025-112","RegionNum":2,"RegionCategory":"医学","ArticlePicture":[],"TitleCN":null,"AbstractTextCN":null,"PMCID":null,"EPubDate":"2025/6/19 0:00:00","PubModel":"Epub","JCR":"Q2","JCRName":"ONCOLOGY","Score":null,"Total":0}
引用次数: 0

摘要

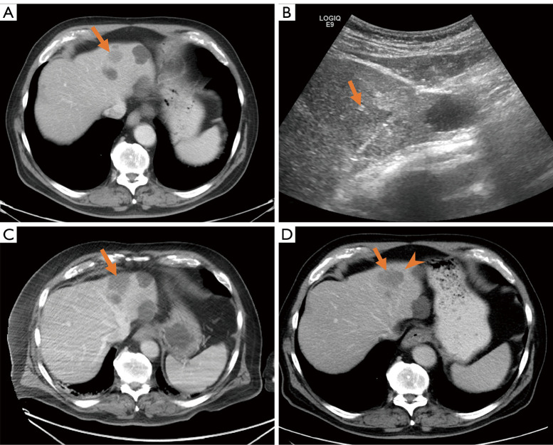
小细胞肺癌(SCLC)是一种高级别神经内分泌癌,与早期远处转移相关,预示着较差的预后。标准治疗的转移性SCLC的中位生存期仅为9-11个月,5年生存率为1-2%。SCLC患者通常最初对全身治疗有反应,但一旦他们产生耐药性,应该研究局部治疗,如热消融,以可能改善发病率和死亡率。这篇简短的回顾性报告评估了6例SCLC肝转移(LMs)患者,他们接受了11次热消融治疗(射频消融或微波消融)。所有处理均取得技术成功(100%)。第一次消融后,3/7的消融肿瘤残留病变。生存结果采用Kaplan-Meier法测定。中位局部肿瘤无进展生存期(LTPFS)为2.9个月[95%可信区间(CI): 0.5-3.9]个月。中位辅助LTPFS,定义为肿瘤控制和随后的再治疗,为25.9个月(95% CI: 8.3-未报道)。中位总生存期(OS)为14.3个月。根据不良事件通用术语标准5.0版,有1例不良事件(1/11)为1级,消融后一个月内出现疲劳,可自行消退。结果提示热消融治疗SCLC LMs是安全的。尽管LTPFS非常温和,但在这项小型回顾性研究中,长时间的辅助LTPFS和OS提示热消融可能是一种有希望的治疗选择。
本文章由计算机程序翻译,如有差异,请以英文原文为准。

Safety and efficacy of thermal ablation for small cell lung cancer liver metastases.

Safety and efficacy of thermal ablation for small cell lung cancer liver metastases.

Safety and efficacy of thermal ablation for small cell lung cancer liver metastases.

Safety and efficacy of thermal ablation for small cell lung cancer liver metastases.

Small cell lung cancer (SCLC) is a high-grade neuroendocrine carcinoma associated with early development of distant metastases, which portends a worse prognosis. The median survival of metastatic SCLC with standard treatment is only 9-11 months, with a 5-year survival of 1-2%. Patients with SCLC are often initially responsive to systemic therapies, but once they develop resistance to them, locoregional therapies like thermal ablation should be investigated for possible improvements in morbidity and mortality. This brief retrospective report evaluates six patients with SCLC liver metastases (LMs), treated in 11 thermal ablation sessions (radiofrequency ablation or microwave ablation). Technical success was achieved in all treatments (100%). After the first ablation, 3/7 ablated tumors had residual disease. Survival outcomes were determined using the Kaplan-Meier method. Median local tumor progression-free survival (LTPFS) was 2.9 [95% confidence interval (CI): 0.5-3.9] months. Median assisted LTPFS, defined as tumor control with subsequent retreatment, was 25.9 (95% CI: 8.3-not reported) months. Median overall survival (OS) was 14.3 months. There was one adverse event (1/11) of grade 1, according to the Common Terminology Criteria for Adverse Events version 5.0, fatigue within a month of ablation, which self-resolved. The results suggest that thermal ablation is safe for SCLC LMs. Although LTPFS was very modest, the long duration of assisted LTPFS and OS in this small, retrospective study suggests that thermal ablation may be a promising treatment option.

求助全文
通过发布文献求助,成功后即可免费获取论文全文。 去求助
来源期刊
CiteScore
7.20
自引率
2.50%
发文量
137
期刊介绍: Translational Lung Cancer Research(TLCR, Transl Lung Cancer Res, Print ISSN 2218-6751; Online ISSN 2226-4477) is an international, peer-reviewed, open-access journal, which was founded in March 2012. TLCR is indexed by PubMed/PubMed Central and the Chemical Abstracts Service (CAS) Databases. It is published quarterly the first year, and published bimonthly since February 2013. It provides practical up-to-date information on prevention, early detection, diagnosis, and treatment of lung cancer. Specific areas of its interest include, but not limited to, multimodality therapy, markers, imaging, tumor biology, pathology, chemoprevention, and technical advances related to lung cancer.
×
引用
GB/T 7714-2015
复制
MLA
复制
APA
复制
导出至
BibTeX EndNote RefMan NoteFirst NoteExpress
×
提示
您的信息不完整,为了账户安全,请先补充。
现在去补充
×
提示
您因"违规操作"
具体请查看互助需知
我知道了
×
提示
确定
请完成安全验证×
copy
已复制链接
快去分享给好友吧!
我知道了
右上角分享
点击右上角分享
0
联系我们:info@booksci.cn Book学术提供免费学术资源搜索服务,方便国内外学者检索中英文文献。致力于提供最便捷和优质的服务体验。 Copyright © 2023 布克学术 All rights reserved.
京ICP备2023020795号-1
ghs 京公网安备 11010802042870号
Book学术文献互助
Book学术文献互助群
群 号:604180095
Book学术官方微信