超声引导下结内钳活检和低温活检后的针道播种1例报告。

IF 3.5 2区 医学 Q2 ONCOLOGY
Translational lung cancer research Pub Date : 2025-06-30 Epub Date: 2025-06-26 DOI:10.21037/tlcr-2025-218
Kohei Yamamoto, Tatsuya Imabayashi, Yukari Kano, Toshiyuki Tanaka, Kazuki Jinno, Shunya Tanaka, Sayaka Uda, Tatsuya Yuba, Chieko Takumi
{"title":"超声引导下结内钳活检和低温活检后的针道播种1例报告。","authors":"Kohei Yamamoto, Tatsuya Imabayashi, Yukari Kano, Toshiyuki Tanaka, Kazuki Jinno, Shunya Tanaka, Sayaka Uda, Tatsuya Yuba, Chieko Takumi","doi":"10.21037/tlcr-2025-218","DOIUrl":null,"url":null,"abstract":"<p><strong>Background: </strong>Endobronchial ultrasound (EBUS)-guided transbronchial needle aspiration (EBUS-TBNA) is a standard procedure for diagnosing intrathoracic lymphadenopathy; however, it has limitations in diagnostic yield and sampling adequacy for certain conditions. To address this issue, EBUS-guided intranodal forceps biopsy (EBUS-IFB) and cryobiopsy (EBUS-CRYO) have been performed. Both techniques require the creation of a tract for the insertion of forceps or cryoprobes into the lymph nodes. However, potential adverse events associated with this tract remain unclear. Needle tract seeding (NTS), which is defined as the implantation of tumor cells along the puncture tract, is a rare but clinically significant complication of gastrointestinal procedures. However, its occurrence after bronchoscopy has rarely been reported. This report describes a rare case of NTS following EBUS-IFB and EBUS-CRYO.</p><p><strong>Case description: </strong>An 83-year-old woman with lung adenocarcinoma harboring <i>MET</i> exon 14 skipping mutation presented with right upper lobe nodules and bilateral mediastinal lymphadenopathy. The initial EBUS-TBNA yielded insufficient specimens for molecular testing. Subsequent EBUS-IFB and mediastinal cryobiopsy provided sufficient specimens for definitive diagnosis. Twenty-nine days after the procedure, computed tomography revealed rapid growth of the right upper lobe nodules and a tracheal mass at the biopsy site, consistent with NTS. Despite this complication, the patient demonstrated a marked response to tepotinib therapy, with significant regression of both the lung and tracheal lesions.</p><p><strong>Conclusions: </strong>This case highlights the need for increased awareness of NTS following advanced biopsy techniques. Tumor-related factors such as high malignancy and necrosis, combined with procedural elements, likely contribute to its occurrence. Bronchoscopists should carefully evaluate the procedural approaches and follow-up protocols to mitigate this risk and ensure early detection.</p>","PeriodicalId":23271,"journal":{"name":"Translational lung cancer research","volume":"14 6","pages":"2317-2323"},"PeriodicalIF":3.5000,"publicationDate":"2025-06-30","publicationTypes":"Journal Article","fieldsOfStudy":null,"isOpenAccess":false,"openAccessPdf":"https://www.ncbi.nlm.nih.gov/pmc/articles/PMC12261245/pdf/","citationCount":"0","resultStr":"{\"title\":\"Needle tract seeding after endobronchial ultrasound-guided intranodal forceps biopsy and cryobiopsy: a case report.\",\"authors\":\"Kohei Yamamoto, Tatsuya Imabayashi, Yukari Kano, Toshiyuki Tanaka, Kazuki Jinno, Shunya Tanaka, Sayaka Uda, Tatsuya Yuba, Chieko Takumi\",\"doi\":\"10.21037/tlcr-2025-218\",\"DOIUrl\":null,\"url\":null,\"abstract\":\"<p><strong>Background: </strong>Endobronchial ultrasound (EBUS)-guided transbronchial needle aspiration (EBUS-TBNA) is a standard procedure for diagnosing intrathoracic lymphadenopathy; however, it has limitations in diagnostic yield and sampling adequacy for certain conditions. To address this issue, EBUS-guided intranodal forceps biopsy (EBUS-IFB) and cryobiopsy (EBUS-CRYO) have been performed. Both techniques require the creation of a tract for the insertion of forceps or cryoprobes into the lymph nodes. However, potential adverse events associated with this tract remain unclear. Needle tract seeding (NTS), which is defined as the implantation of tumor cells along the puncture tract, is a rare but clinically significant complication of gastrointestinal procedures. However, its occurrence after bronchoscopy has rarely been reported. This report describes a rare case of NTS following EBUS-IFB and EBUS-CRYO.</p><p><strong>Case description: </strong>An 83-year-old woman with lung adenocarcinoma harboring <i>MET</i> exon 14 skipping mutation presented with right upper lobe nodules and bilateral mediastinal lymphadenopathy. The initial EBUS-TBNA yielded insufficient specimens for molecular testing. Subsequent EBUS-IFB and mediastinal cryobiopsy provided sufficient specimens for definitive diagnosis. Twenty-nine days after the procedure, computed tomography revealed rapid growth of the right upper lobe nodules and a tracheal mass at the biopsy site, consistent with NTS. Despite this complication, the patient demonstrated a marked response to tepotinib therapy, with significant regression of both the lung and tracheal lesions.</p><p><strong>Conclusions: </strong>This case highlights the need for increased awareness of NTS following advanced biopsy techniques. Tumor-related factors such as high malignancy and necrosis, combined with procedural elements, likely contribute to its occurrence. Bronchoscopists should carefully evaluate the procedural approaches and follow-up protocols to mitigate this risk and ensure early detection.</p>\",\"PeriodicalId\":23271,\"journal\":{\"name\":\"Translational lung cancer research\",\"volume\":\"14 6\",\"pages\":\"2317-2323\"},\"PeriodicalIF\":3.5000,\"publicationDate\":\"2025-06-30\",\"publicationTypes\":\"Journal Article\",\"fieldsOfStudy\":null,\"isOpenAccess\":false,\"openAccessPdf\":\"https://www.ncbi.nlm.nih.gov/pmc/articles/PMC12261245/pdf/\",\"citationCount\":\"0\",\"resultStr\":null,\"platform\":\"Semanticscholar\",\"paperid\":null,\"PeriodicalName\":\"Translational lung cancer research\",\"FirstCategoryId\":\"3\",\"ListUrlMain\":\"https://doi.org/10.21037/tlcr-2025-218\",\"RegionNum\":2,\"RegionCategory\":\"医学\",\"ArticlePicture\":[],\"TitleCN\":null,\"AbstractTextCN\":null,\"PMCID\":null,\"EPubDate\":\"2025/6/26 0:00:00\",\"PubModel\":\"Epub\",\"JCR\":\"Q2\",\"JCRName\":\"ONCOLOGY\",\"Score\":null,\"Total\":0}","platform":"Semanticscholar","paperid":null,"PeriodicalName":"Translational lung cancer research","FirstCategoryId":"3","ListUrlMain":"https://doi.org/10.21037/tlcr-2025-218","RegionNum":2,"RegionCategory":"医学","ArticlePicture":[],"TitleCN":null,"AbstractTextCN":null,"PMCID":null,"EPubDate":"2025/6/26 0:00:00","PubModel":"Epub","JCR":"Q2","JCRName":"ONCOLOGY","Score":null,"Total":0}
引用次数: 0

摘要

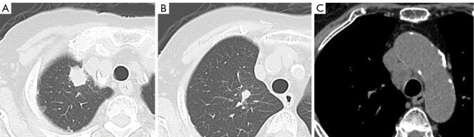
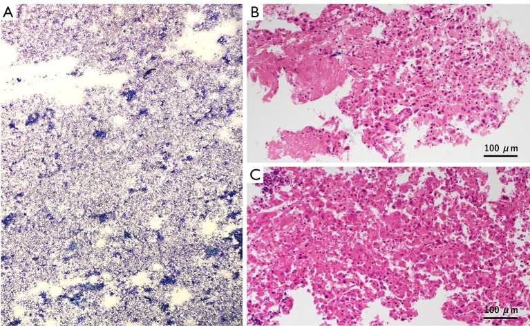
背景:支气管超声(EBUS)引导下经支气管穿刺(EBUS- tbna)是诊断胸内淋巴结病的标准程序;然而,在某些条件下,它在诊断率和抽样充分性方面存在局限性。为了解决这个问题,已经进行了ebus引导的结内钳活检(EBUS-IFB)和冷冻活检(EBUS-CRYO)。这两种技术都需要建立一个通道,以便将镊子或冷冻探针插入淋巴结。然而,与此通道相关的潜在不良事件尚不清楚。针道播种(NTS),定义为沿穿刺道植入肿瘤细胞,是一种罕见但临床上重要的胃肠道手术并发症。然而,支气管镜检查后的发生鲜有报道。本报告描述了一例罕见的EBUS-IFB和EBUS-CRYO后的NTS病例。病例描述:一名83岁女性肺腺癌,携带MET外显子14跳变,表现为右上肺叶结节和双侧纵隔淋巴结病。最初的EBUS-TBNA产生的样本不足以进行分子检测。随后的EBUS-IFB和纵隔冷冻活检为明确诊断提供了足够的标本。手术后29天,计算机断层扫描显示右上肺叶结节快速生长,活检部位有气管肿块,与NTS相符。尽管有这种并发症,患者对替波替尼治疗有明显的反应,肺和气管病变都有明显的消退。结论:该病例强调了在采用先进活检技术后提高对NTS的认识的必要性。肿瘤相关因素,如高恶性和坏死,结合手术因素,可能是其发生的原因。支气管镜医师应仔细评估手术方法和随访方案,以减轻这种风险并确保早期发现。
本文章由计算机程序翻译,如有差异,请以英文原文为准。

Needle tract seeding after endobronchial ultrasound-guided intranodal forceps biopsy and cryobiopsy: a case report.

Needle tract seeding after endobronchial ultrasound-guided intranodal forceps biopsy and cryobiopsy: a case report.

Needle tract seeding after endobronchial ultrasound-guided intranodal forceps biopsy and cryobiopsy: a case report.

Needle tract seeding after endobronchial ultrasound-guided intranodal forceps biopsy and cryobiopsy: a case report.

Background: Endobronchial ultrasound (EBUS)-guided transbronchial needle aspiration (EBUS-TBNA) is a standard procedure for diagnosing intrathoracic lymphadenopathy; however, it has limitations in diagnostic yield and sampling adequacy for certain conditions. To address this issue, EBUS-guided intranodal forceps biopsy (EBUS-IFB) and cryobiopsy (EBUS-CRYO) have been performed. Both techniques require the creation of a tract for the insertion of forceps or cryoprobes into the lymph nodes. However, potential adverse events associated with this tract remain unclear. Needle tract seeding (NTS), which is defined as the implantation of tumor cells along the puncture tract, is a rare but clinically significant complication of gastrointestinal procedures. However, its occurrence after bronchoscopy has rarely been reported. This report describes a rare case of NTS following EBUS-IFB and EBUS-CRYO.

Case description: An 83-year-old woman with lung adenocarcinoma harboring MET exon 14 skipping mutation presented with right upper lobe nodules and bilateral mediastinal lymphadenopathy. The initial EBUS-TBNA yielded insufficient specimens for molecular testing. Subsequent EBUS-IFB and mediastinal cryobiopsy provided sufficient specimens for definitive diagnosis. Twenty-nine days after the procedure, computed tomography revealed rapid growth of the right upper lobe nodules and a tracheal mass at the biopsy site, consistent with NTS. Despite this complication, the patient demonstrated a marked response to tepotinib therapy, with significant regression of both the lung and tracheal lesions.

Conclusions: This case highlights the need for increased awareness of NTS following advanced biopsy techniques. Tumor-related factors such as high malignancy and necrosis, combined with procedural elements, likely contribute to its occurrence. Bronchoscopists should carefully evaluate the procedural approaches and follow-up protocols to mitigate this risk and ensure early detection.

求助全文
通过发布文献求助,成功后即可免费获取论文全文。 去求助
来源期刊
CiteScore
7.20
自引率
2.50%
发文量
137
期刊介绍: Translational Lung Cancer Research(TLCR, Transl Lung Cancer Res, Print ISSN 2218-6751; Online ISSN 2226-4477) is an international, peer-reviewed, open-access journal, which was founded in March 2012. TLCR is indexed by PubMed/PubMed Central and the Chemical Abstracts Service (CAS) Databases. It is published quarterly the first year, and published bimonthly since February 2013. It provides practical up-to-date information on prevention, early detection, diagnosis, and treatment of lung cancer. Specific areas of its interest include, but not limited to, multimodality therapy, markers, imaging, tumor biology, pathology, chemoprevention, and technical advances related to lung cancer.
×
引用
GB/T 7714-2015
复制
MLA
复制
APA
复制
导出至
BibTeX EndNote RefMan NoteFirst NoteExpress
×
提示
您的信息不完整,为了账户安全,请先补充。
现在去补充
×
提示
您因"违规操作"
具体请查看互助需知
我知道了
×
提示
确定
请完成安全验证×
copy
已复制链接
快去分享给好友吧!
我知道了
右上角分享
点击右上角分享
0
联系我们:info@booksci.cn Book学术提供免费学术资源搜索服务,方便国内外学者检索中英文文献。致力于提供最便捷和优质的服务体验。 Copyright © 2023 布克学术 All rights reserved.
京ICP备2023020795号-1
ghs 京公网安备 11010802042870号
Book学术文献互助
Book学术文献互助群
群 号:604180095
Book学术官方微信