羟基磷灰石石膏puger木薯淀粉支架增强牙槽骨成骨标志物表达的体内研究。

IF 1 Q3 DENTISTRY, ORAL SURGERY & MEDICINE
The Journal of Indian Prosthodontic Society Pub Date : 2025-07-01 Epub Date: 2025-07-16 DOI:10.4103/jips.jips_97_25
Amiyatun Naini, Dessy Rachmawati, Zainul Cholid, Ardhianing Hardita, Afif Surya Adena, Siti Khaerunnisa
{"title":"羟基磷灰石石膏puger木薯淀粉支架增强牙槽骨成骨标志物表达的体内研究。","authors":"Amiyatun Naini, Dessy Rachmawati, Zainul Cholid, Ardhianing Hardita, Afif Surya Adena, Siti Khaerunnisa","doi":"10.4103/jips.jips_97_25","DOIUrl":null,"url":null,"abstract":"<p><strong>Aim: </strong>To evaluate the effects of hydroxyapatite gypsum puger-cassava starch (HAGP-CS) scaffold on the number of osteoblasts and alkaline phosphatase (ALP) and osteocalcin (OCN) expression in the alveolar bone rat model.</p><p><strong>Settings and design: </strong>In vivo study.</p><p><strong>Materials and methods: </strong>Thirty-six Wistar rats were randomly divided into three groups: rat sockets were given a 1 mm × 1 mm × 1 mm HAGP scaffold, rat sockets were given a 1 mm × 1 mm × 1 mm HAGP-CS, and a control group (rat sockets were not given scaffold material). Following lower left molar extraction, scaffold materials were applied to the sockets. Assessments were conducted on days 7th, 14th, and 28th, with osteoblast counts determined via hematoxylin-eosin staining, and ALP and OCN expressions were analyzed using immunohistochemistry (IHC) staining.</p><p><strong>Statistical analysis used: </strong>Two-way analysis of variance and Tukey's test.</p><p><strong>Results: </strong>A significant increase in osteoblast count was observed on day 28 (P = 0.001). In addition, significant differences were noted in ALP expression on day 7 (P = 0.030) and day 28 (P = 0.001), as well as in OCN expression on days 7 and 28 (P = 0.001) across the groups.</p><p><strong>Conclusions: </strong>Administering a HAGP-CS scaffold significantly enhances osteoblast proliferation and increases ALP and OCN expression in the alveolar bone rat model.</p>","PeriodicalId":22669,"journal":{"name":"The Journal of Indian Prosthodontic Society","volume":"25 3","pages":"258-265"},"PeriodicalIF":1.0000,"publicationDate":"2025-07-01","publicationTypes":"Journal Article","fieldsOfStudy":null,"isOpenAccess":false,"openAccessPdf":"https://www.ncbi.nlm.nih.gov/pmc/articles/PMC12370114/pdf/","citationCount":"0","resultStr":"{\"title\":\"Enhanced osteogenic marker expression in alveolar bone via hydroxyapatite gypsum puger cassava starch scaffold: An in vivo study.\",\"authors\":\"Amiyatun Naini, Dessy Rachmawati, Zainul Cholid, Ardhianing Hardita, Afif Surya Adena, Siti Khaerunnisa\",\"doi\":\"10.4103/jips.jips_97_25\",\"DOIUrl\":null,\"url\":null,\"abstract\":\"<p><strong>Aim: </strong>To evaluate the effects of hydroxyapatite gypsum puger-cassava starch (HAGP-CS) scaffold on the number of osteoblasts and alkaline phosphatase (ALP) and osteocalcin (OCN) expression in the alveolar bone rat model.</p><p><strong>Settings and design: </strong>In vivo study.</p><p><strong>Materials and methods: </strong>Thirty-six Wistar rats were randomly divided into three groups: rat sockets were given a 1 mm × 1 mm × 1 mm HAGP scaffold, rat sockets were given a 1 mm × 1 mm × 1 mm HAGP-CS, and a control group (rat sockets were not given scaffold material). Following lower left molar extraction, scaffold materials were applied to the sockets. Assessments were conducted on days 7th, 14th, and 28th, with osteoblast counts determined via hematoxylin-eosin staining, and ALP and OCN expressions were analyzed using immunohistochemistry (IHC) staining.</p><p><strong>Statistical analysis used: </strong>Two-way analysis of variance and Tukey's test.</p><p><strong>Results: </strong>A significant increase in osteoblast count was observed on day 28 (P = 0.001). In addition, significant differences were noted in ALP expression on day 7 (P = 0.030) and day 28 (P = 0.001), as well as in OCN expression on days 7 and 28 (P = 0.001) across the groups.</p><p><strong>Conclusions: </strong>Administering a HAGP-CS scaffold significantly enhances osteoblast proliferation and increases ALP and OCN expression in the alveolar bone rat model.</p>\",\"PeriodicalId\":22669,\"journal\":{\"name\":\"The Journal of Indian Prosthodontic Society\",\"volume\":\"25 3\",\"pages\":\"258-265\"},\"PeriodicalIF\":1.0000,\"publicationDate\":\"2025-07-01\",\"publicationTypes\":\"Journal Article\",\"fieldsOfStudy\":null,\"isOpenAccess\":false,\"openAccessPdf\":\"https://www.ncbi.nlm.nih.gov/pmc/articles/PMC12370114/pdf/\",\"citationCount\":\"0\",\"resultStr\":null,\"platform\":\"Semanticscholar\",\"paperid\":null,\"PeriodicalName\":\"The Journal of Indian Prosthodontic Society\",\"FirstCategoryId\":\"1085\",\"ListUrlMain\":\"https://doi.org/10.4103/jips.jips_97_25\",\"RegionNum\":0,\"RegionCategory\":null,\"ArticlePicture\":[],\"TitleCN\":null,\"AbstractTextCN\":null,\"PMCID\":null,\"EPubDate\":\"2025/7/16 0:00:00\",\"PubModel\":\"Epub\",\"JCR\":\"Q3\",\"JCRName\":\"DENTISTRY, ORAL SURGERY & MEDICINE\",\"Score\":null,\"Total\":0}","platform":"Semanticscholar","paperid":null,"PeriodicalName":"The Journal of Indian Prosthodontic Society","FirstCategoryId":"1085","ListUrlMain":"https://doi.org/10.4103/jips.jips_97_25","RegionNum":0,"RegionCategory":null,"ArticlePicture":[],"TitleCN":null,"AbstractTextCN":null,"PMCID":null,"EPubDate":"2025/7/16 0:00:00","PubModel":"Epub","JCR":"Q3","JCRName":"DENTISTRY, ORAL SURGERY & MEDICINE","Score":null,"Total":0}
引用次数: 0

摘要

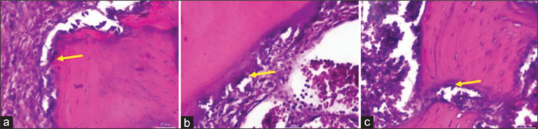
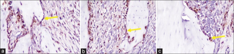
目的:探讨羟基磷灰石石膏-木薯淀粉(HAGP-CS)支架对大鼠牙槽骨模型成骨细胞数量、碱性磷酸酶(ALP)和骨钙素(OCN)表达的影响。设置和设计:体内研究。材料与方法:36只Wistar大鼠随机分为3组:1 mm × 1 mm × 1 mm HAGP支架,1 mm × 1 mm HAGP- cs, 1 mm × 1 mm HAGP- cs,对照组(不给予支架材料)。拔除左下磨牙后,将支架材料应用于牙槽。评估于第7、14、28天进行,苏木精-伊红染色检测成骨细胞计数,免疫组化(IHC)染色分析ALP和OCN表达。采用的统计分析:双向方差分析和Tukey检验。结果:第28天成骨细胞计数明显增加(P = 0.001)。此外,各组间第7天ALP表达量(P = 0.030)和第28天(P = 0.001)以及第7天和第28天OCN表达量(P = 0.001)均有显著差异。结论:在牙槽骨大鼠模型中,HAGP-CS支架可显著促进成骨细胞增殖,增加ALP和OCN的表达。
本文章由计算机程序翻译,如有差异,请以英文原文为准。

Enhanced osteogenic marker expression in alveolar bone via hydroxyapatite gypsum puger cassava starch scaffold: An in vivo study.

Enhanced osteogenic marker expression in alveolar bone via hydroxyapatite gypsum puger cassava starch scaffold: An in vivo study.

Enhanced osteogenic marker expression in alveolar bone via hydroxyapatite gypsum puger cassava starch scaffold: An in vivo study.

Enhanced osteogenic marker expression in alveolar bone via hydroxyapatite gypsum puger cassava starch scaffold: An in vivo study.

Aim: To evaluate the effects of hydroxyapatite gypsum puger-cassava starch (HAGP-CS) scaffold on the number of osteoblasts and alkaline phosphatase (ALP) and osteocalcin (OCN) expression in the alveolar bone rat model.

Settings and design: In vivo study.

Materials and methods: Thirty-six Wistar rats were randomly divided into three groups: rat sockets were given a 1 mm × 1 mm × 1 mm HAGP scaffold, rat sockets were given a 1 mm × 1 mm × 1 mm HAGP-CS, and a control group (rat sockets were not given scaffold material). Following lower left molar extraction, scaffold materials were applied to the sockets. Assessments were conducted on days 7th, 14th, and 28th, with osteoblast counts determined via hematoxylin-eosin staining, and ALP and OCN expressions were analyzed using immunohistochemistry (IHC) staining.

Statistical analysis used: Two-way analysis of variance and Tukey's test.

Results: A significant increase in osteoblast count was observed on day 28 (P = 0.001). In addition, significant differences were noted in ALP expression on day 7 (P = 0.030) and day 28 (P = 0.001), as well as in OCN expression on days 7 and 28 (P = 0.001) across the groups.

Conclusions: Administering a HAGP-CS scaffold significantly enhances osteoblast proliferation and increases ALP and OCN expression in the alveolar bone rat model.

求助全文
通过发布文献求助,成功后即可免费获取论文全文。 去求助
来源期刊
The Journal of Indian Prosthodontic Society
The Journal of Indian Prosthodontic Society DENTISTRY, ORAL SURGERY & MEDICINE-
CiteScore
2.20
自引率
8.30%
发文量
26
审稿时长
20 weeks
×
引用
GB/T 7714-2015
复制
MLA
复制
APA
复制
导出至
BibTeX EndNote RefMan NoteFirst NoteExpress
×
提示
您的信息不完整,为了账户安全,请先补充。
现在去补充
×
提示
您因"违规操作"
具体请查看互助需知
我知道了
×
提示
确定
请完成安全验证×
copy
已复制链接
快去分享给好友吧!
我知道了
右上角分享
点击右上角分享
0
联系我们:info@booksci.cn Book学术提供免费学术资源搜索服务,方便国内外学者检索中英文文献。致力于提供最便捷和优质的服务体验。 Copyright © 2023 布克学术 All rights reserved.
京ICP备2023020795号-1
ghs 京公网安备 11010802042870号
Book学术文献互助
Book学术文献互助群
群 号:604180095
Book学术官方微信