内六角和锥形连接种植体牙基内隐窝细菌定植的比较:一项体内前瞻性研究。

IF 1 Q3 DENTISTRY, ORAL SURGERY & MEDICINE
The Journal of Indian Prosthodontic Society Pub Date : 2025-07-01 Epub Date: 2025-07-16 DOI:10.4103/jips.jips_49_25
Lalit Kumar, Shefali Singla, Jyoti Sharma, Komal Sehgal, Dhananjay Arora, Mili Gupta
{"title":"内六角和锥形连接种植体牙基内隐窝细菌定植的比较:一项体内前瞻性研究。","authors":"Lalit Kumar, Shefali Singla, Jyoti Sharma, Komal Sehgal, Dhananjay Arora, Mili Gupta","doi":"10.4103/jips.jips_49_25","DOIUrl":null,"url":null,"abstract":"<p><strong>Aim: </strong>Microbial assessment of internal recess of two different internal implant connections in an in vivo study.</p><p><strong>Study settings and design: </strong>This randomized, in vivo study included 40 patients requiring mandibular single-tooth implant-supported prostheses, allocated into two equal groups based on implant connection design.</p><p><strong>Materials and methods: </strong>Group Internal Hex (IH) and group Conical Connection (CC) received implants with IH and CC, respectively. On the day of prosthetic loading, peri-implant sulcular fluid (PISF) sample was collected and stored. PISF samples were recollected after 3 months. Subsequently, the screw access hole was exposed, and the abutment screw was removed. Implant-abutment recess was washed with saline, lavage was sent for microbiological assay. The abutment screw and crown were restored. PISF was analyzed for interleukin-6 (IL-6).</p><p><strong>Statistical analysis used: </strong>For nonparametric values Chi square test and for parametric values t-test was used to analyse the data.</p><p><strong>Results: </strong>No implant failure or patient fallout was observed. In Group IH, 17 out of 20 samples were positive for aerobic viz-a-viz 7 samples from Group CC; P = 0.001. For anaerobic bacteria, similar results were obtained with a number of positive samples 19 as compared to 6 in respective groups; P = 0.00002. IL-6 values did not differ significantly from baseline to 3 months in either group.</p><p><strong>Conclusion: </strong>Within the limitations of the study, results show higher bacterial contamination of implant recess in IH than CC. However, the bacterial load had an insignificant contribution to IL-6 levels in PISF of the patients of either group in this time period.</p>","PeriodicalId":22669,"journal":{"name":"The Journal of Indian Prosthodontic Society","volume":"25 3","pages":"229-234"},"PeriodicalIF":1.0000,"publicationDate":"2025-07-01","publicationTypes":"Journal Article","fieldsOfStudy":null,"isOpenAccess":false,"openAccessPdf":"https://www.ncbi.nlm.nih.gov/pmc/articles/PMC12370088/pdf/","citationCount":"0","resultStr":"{\"title\":\"Comparison of bacterial colonization of implant abutment internal recess in internal hex and conical connection implants: An in vivo prospective study.\",\"authors\":\"Lalit Kumar, Shefali Singla, Jyoti Sharma, Komal Sehgal, Dhananjay Arora, Mili Gupta\",\"doi\":\"10.4103/jips.jips_49_25\",\"DOIUrl\":null,\"url\":null,\"abstract\":\"<p><strong>Aim: </strong>Microbial assessment of internal recess of two different internal implant connections in an in vivo study.</p><p><strong>Study settings and design: </strong>This randomized, in vivo study included 40 patients requiring mandibular single-tooth implant-supported prostheses, allocated into two equal groups based on implant connection design.</p><p><strong>Materials and methods: </strong>Group Internal Hex (IH) and group Conical Connection (CC) received implants with IH and CC, respectively. On the day of prosthetic loading, peri-implant sulcular fluid (PISF) sample was collected and stored. PISF samples were recollected after 3 months. Subsequently, the screw access hole was exposed, and the abutment screw was removed. Implant-abutment recess was washed with saline, lavage was sent for microbiological assay. The abutment screw and crown were restored. PISF was analyzed for interleukin-6 (IL-6).</p><p><strong>Statistical analysis used: </strong>For nonparametric values Chi square test and for parametric values t-test was used to analyse the data.</p><p><strong>Results: </strong>No implant failure or patient fallout was observed. In Group IH, 17 out of 20 samples were positive for aerobic viz-a-viz 7 samples from Group CC; P = 0.001. For anaerobic bacteria, similar results were obtained with a number of positive samples 19 as compared to 6 in respective groups; P = 0.00002. IL-6 values did not differ significantly from baseline to 3 months in either group.</p><p><strong>Conclusion: </strong>Within the limitations of the study, results show higher bacterial contamination of implant recess in IH than CC. However, the bacterial load had an insignificant contribution to IL-6 levels in PISF of the patients of either group in this time period.</p>\",\"PeriodicalId\":22669,\"journal\":{\"name\":\"The Journal of Indian Prosthodontic Society\",\"volume\":\"25 3\",\"pages\":\"229-234\"},\"PeriodicalIF\":1.0000,\"publicationDate\":\"2025-07-01\",\"publicationTypes\":\"Journal Article\",\"fieldsOfStudy\":null,\"isOpenAccess\":false,\"openAccessPdf\":\"https://www.ncbi.nlm.nih.gov/pmc/articles/PMC12370088/pdf/\",\"citationCount\":\"0\",\"resultStr\":null,\"platform\":\"Semanticscholar\",\"paperid\":null,\"PeriodicalName\":\"The Journal of Indian Prosthodontic Society\",\"FirstCategoryId\":\"1085\",\"ListUrlMain\":\"https://doi.org/10.4103/jips.jips_49_25\",\"RegionNum\":0,\"RegionCategory\":null,\"ArticlePicture\":[],\"TitleCN\":null,\"AbstractTextCN\":null,\"PMCID\":null,\"EPubDate\":\"2025/7/16 0:00:00\",\"PubModel\":\"Epub\",\"JCR\":\"Q3\",\"JCRName\":\"DENTISTRY, ORAL SURGERY & MEDICINE\",\"Score\":null,\"Total\":0}","platform":"Semanticscholar","paperid":null,"PeriodicalName":"The Journal of Indian Prosthodontic Society","FirstCategoryId":"1085","ListUrlMain":"https://doi.org/10.4103/jips.jips_49_25","RegionNum":0,"RegionCategory":null,"ArticlePicture":[],"TitleCN":null,"AbstractTextCN":null,"PMCID":null,"EPubDate":"2025/7/16 0:00:00","PubModel":"Epub","JCR":"Q3","JCRName":"DENTISTRY, ORAL SURGERY & MEDICINE","Score":null,"Total":0}
引用次数: 0

摘要

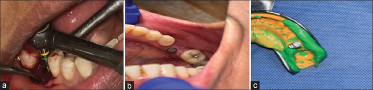
目的:在体内研究两种不同内种植体连接方式内隐窝的微生物评价。研究设置和设计:这项随机的体内研究包括40名需要下颌单牙种植体支持的患者,根据种植体连接设计分为两组。材料和方法:内六角组(IH)和锥形连接组(CC)分别植入IH和CC。在假体加载当天,收集并保存假体周围的管状液(PISF)样本。3个月后采集PISF样品。随后,暴露螺钉通路孔,取出基牙螺钉。用生理盐水冲洗种植体-基牙隐窝,送灌洗液进行微生物测定。修复了基牙螺钉和牙冠。PISF检测白细胞介素-6 (IL-6)。采用统计分析:对非参数值采用卡方检验,对参数值采用t检验。结果:未观察到种植体失败或患者放射性尘埃。在IH组,20个样本中有17个呈有氧阳性,其中CC组有7个样本;P = 0.001。对于厌氧细菌,获得了类似的结果,阳性样品数为19,而在各自的组中为6;P = 0.00002。两组IL-6值从基线到3个月无显著差异。结论:在本研究的限制范围内,结果显示IH患者种植体隐窝的细菌污染高于CC,但细菌负荷对两组患者在这段时间内PISF中IL-6水平的贡献不显著。
本文章由计算机程序翻译,如有差异,请以英文原文为准。

Comparison of bacterial colonization of implant abutment internal recess in internal hex and conical connection implants: An in vivo prospective study.

Comparison of bacterial colonization of implant abutment internal recess in internal hex and conical connection implants: An in vivo prospective study.

Comparison of bacterial colonization of implant abutment internal recess in internal hex and conical connection implants: An in vivo prospective study.

Comparison of bacterial colonization of implant abutment internal recess in internal hex and conical connection implants: An in vivo prospective study.

Aim: Microbial assessment of internal recess of two different internal implant connections in an in vivo study.

Study settings and design: This randomized, in vivo study included 40 patients requiring mandibular single-tooth implant-supported prostheses, allocated into two equal groups based on implant connection design.

Materials and methods: Group Internal Hex (IH) and group Conical Connection (CC) received implants with IH and CC, respectively. On the day of prosthetic loading, peri-implant sulcular fluid (PISF) sample was collected and stored. PISF samples were recollected after 3 months. Subsequently, the screw access hole was exposed, and the abutment screw was removed. Implant-abutment recess was washed with saline, lavage was sent for microbiological assay. The abutment screw and crown were restored. PISF was analyzed for interleukin-6 (IL-6).

Statistical analysis used: For nonparametric values Chi square test and for parametric values t-test was used to analyse the data.

Results: No implant failure or patient fallout was observed. In Group IH, 17 out of 20 samples were positive for aerobic viz-a-viz 7 samples from Group CC; P = 0.001. For anaerobic bacteria, similar results were obtained with a number of positive samples 19 as compared to 6 in respective groups; P = 0.00002. IL-6 values did not differ significantly from baseline to 3 months in either group.

Conclusion: Within the limitations of the study, results show higher bacterial contamination of implant recess in IH than CC. However, the bacterial load had an insignificant contribution to IL-6 levels in PISF of the patients of either group in this time period.

求助全文
通过发布文献求助,成功后即可免费获取论文全文。 去求助
来源期刊
The Journal of Indian Prosthodontic Society
The Journal of Indian Prosthodontic Society DENTISTRY, ORAL SURGERY & MEDICINE-
CiteScore
2.20
自引率
8.30%
发文量
26
审稿时长
20 weeks
×
引用
GB/T 7714-2015
复制
MLA
复制
APA
复制
导出至
BibTeX EndNote RefMan NoteFirst NoteExpress
×
提示
您的信息不完整,为了账户安全,请先补充。
现在去补充
×
提示
您因"违规操作"
具体请查看互助需知
我知道了
×
提示
确定
请完成安全验证×
copy
已复制链接
快去分享给好友吧!
我知道了
右上角分享
点击右上角分享
0
联系我们:info@booksci.cn Book学术提供免费学术资源搜索服务,方便国内外学者检索中英文文献。致力于提供最便捷和优质的服务体验。 Copyright © 2023 布克学术 All rights reserved.
京ICP备2023020795号-1
ghs 京公网安备 11010802042870号
Book学术文献互助
Book学术文献互助群
群 号:604180095
Book学术官方微信