侧边性缺陷胎儿的超声和遗传特征——亚洲人群产前队列研究。

IF 2.7 2区 医学 Q2 GENETICS & HEREDITY
Prenatal Diagnosis Pub Date : 2025-08-01 Epub Date: 2025-07-16 DOI:10.1002/pd.6857
Wu Yi, Hua Renyi, Chen Yiyao, Wang Xiao, Chen Ping, Wang YanLin, Wang Hui
{"title":"侧边性缺陷胎儿的超声和遗传特征——亚洲人群产前队列研究。","authors":"Wu Yi, Hua Renyi, Chen Yiyao, Wang Xiao, Chen Ping, Wang YanLin, Wang Hui","doi":"10.1002/pd.6857","DOIUrl":null,"url":null,"abstract":"<p><strong>Objective: </strong>To investigate the distribution of laterality defects in fetuses, including situs inversus totalis (SIT) and situs ambiguous (SA), and to explore the potential genetic etiology of these laterality defects.</p><p><strong>Methods: </strong>Detailed fetal echocardiography and extracardiac structural evaluations were performed. Genetic testing, including chromosomal microarray analysis, and trio exome sequencing was conducted to identify potential genetic variants.</p><p><strong>Results: </strong>The incidence of heart malformation was significantly higher in SA fetuses than in SIT group (30/31 vs. 2/36, p < 0.001). The incidence of univentricular heart with single atrium was significantly higher in right isomerism compared with left isomerism (12/19 vs. 3/12, p = 0.029), while the incidence of double outlet right ventricle was significantly higher in left isomerism (5/12 vs. 1/19, p = 0.022). Genetic testing identified variation within candidate genes of cardiac development. Except for CFAP300 c.604delG and KMT2D c.16351T>C, which were rated as \"likely pathogenic\", all other variants were categorized as variants of uncertain significance, with some fetuses having compound heterozygous variations.</p><p><strong>Conclusion: </strong>Fetuses with SA have a significantly higher likelihood of concurrent heart malformations compared with those with SIT. Genetic testing identified potential genetic variants that may play crucial roles in the mechanisms underlying normal fetal visceral positioning. Further studies are needed to explore the clinical significance of these genetic variants and to improve our understanding of the etiology and management of fetal laterality defects.</p>","PeriodicalId":20387,"journal":{"name":"Prenatal Diagnosis","volume":" ","pages":"1200-1208"},"PeriodicalIF":2.7000,"publicationDate":"2025-08-01","publicationTypes":"Journal Article","fieldsOfStudy":null,"isOpenAccess":false,"openAccessPdf":"https://www.ncbi.nlm.nih.gov/pmc/articles/PMC12322240/pdf/","citationCount":"0","resultStr":"{\"title\":\"The Ultrasound and Genetic Characteristics of Fetuses With Laterality Defects-A Prenatal Cohort in Asian Population.\",\"authors\":\"Wu Yi, Hua Renyi, Chen Yiyao, Wang Xiao, Chen Ping, Wang YanLin, Wang Hui\",\"doi\":\"10.1002/pd.6857\",\"DOIUrl\":null,\"url\":null,\"abstract\":\"<p><strong>Objective: </strong>To investigate the distribution of laterality defects in fetuses, including situs inversus totalis (SIT) and situs ambiguous (SA), and to explore the potential genetic etiology of these laterality defects.</p><p><strong>Methods: </strong>Detailed fetal echocardiography and extracardiac structural evaluations were performed. Genetic testing, including chromosomal microarray analysis, and trio exome sequencing was conducted to identify potential genetic variants.</p><p><strong>Results: </strong>The incidence of heart malformation was significantly higher in SA fetuses than in SIT group (30/31 vs. 2/36, p < 0.001). The incidence of univentricular heart with single atrium was significantly higher in right isomerism compared with left isomerism (12/19 vs. 3/12, p = 0.029), while the incidence of double outlet right ventricle was significantly higher in left isomerism (5/12 vs. 1/19, p = 0.022). Genetic testing identified variation within candidate genes of cardiac development. Except for CFAP300 c.604delG and KMT2D c.16351T>C, which were rated as \\\"likely pathogenic\\\", all other variants were categorized as variants of uncertain significance, with some fetuses having compound heterozygous variations.</p><p><strong>Conclusion: </strong>Fetuses with SA have a significantly higher likelihood of concurrent heart malformations compared with those with SIT. Genetic testing identified potential genetic variants that may play crucial roles in the mechanisms underlying normal fetal visceral positioning. Further studies are needed to explore the clinical significance of these genetic variants and to improve our understanding of the etiology and management of fetal laterality defects.</p>\",\"PeriodicalId\":20387,\"journal\":{\"name\":\"Prenatal Diagnosis\",\"volume\":\" \",\"pages\":\"1200-1208\"},\"PeriodicalIF\":2.7000,\"publicationDate\":\"2025-08-01\",\"publicationTypes\":\"Journal Article\",\"fieldsOfStudy\":null,\"isOpenAccess\":false,\"openAccessPdf\":\"https://www.ncbi.nlm.nih.gov/pmc/articles/PMC12322240/pdf/\",\"citationCount\":\"0\",\"resultStr\":null,\"platform\":\"Semanticscholar\",\"paperid\":null,\"PeriodicalName\":\"Prenatal Diagnosis\",\"FirstCategoryId\":\"3\",\"ListUrlMain\":\"https://doi.org/10.1002/pd.6857\",\"RegionNum\":2,\"RegionCategory\":\"医学\",\"ArticlePicture\":[],\"TitleCN\":null,\"AbstractTextCN\":null,\"PMCID\":null,\"EPubDate\":\"2025/7/16 0:00:00\",\"PubModel\":\"Epub\",\"JCR\":\"Q2\",\"JCRName\":\"GENETICS & HEREDITY\",\"Score\":null,\"Total\":0}","platform":"Semanticscholar","paperid":null,"PeriodicalName":"Prenatal Diagnosis","FirstCategoryId":"3","ListUrlMain":"https://doi.org/10.1002/pd.6857","RegionNum":2,"RegionCategory":"医学","ArticlePicture":[],"TitleCN":null,"AbstractTextCN":null,"PMCID":null,"EPubDate":"2025/7/16 0:00:00","PubModel":"Epub","JCR":"Q2","JCRName":"GENETICS & HEREDITY","Score":null,"Total":0}
引用次数: 0

摘要

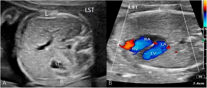
目的:研究胎儿侧侧畸形的分布,包括完全性倒位(SIT)和模糊位(SA),并探讨这些侧侧畸形的潜在遗传原因。方法:进行详细的胎儿超声心动图和心外结构评估。进行基因检测,包括染色体微阵列分析和三重奏外显子组测序,以确定潜在的遗传变异。结果:SA胎儿的心脏畸形发生率明显高于SIT组(30/31 vs 2/36, p C),被评为“可能致病”,其他所有变异被归为意义不确定的变异,部分胎儿有复合杂合变异。结论:与SIT胎儿相比,SA胎儿并发心脏畸形的可能性明显更高。基因检测发现了可能在正常胎儿内脏定位机制中起关键作用的潜在遗传变异。需要进一步的研究来探索这些遗传变异的临床意义,并提高我们对胎儿侧侧畸形的病因和治疗的理解。
本文章由计算机程序翻译,如有差异,请以英文原文为准。

The Ultrasound and Genetic Characteristics of Fetuses With Laterality Defects-A Prenatal Cohort in Asian Population.

The Ultrasound and Genetic Characteristics of Fetuses With Laterality Defects-A Prenatal Cohort in Asian Population.

The Ultrasound and Genetic Characteristics of Fetuses With Laterality Defects-A Prenatal Cohort in Asian Population.

The Ultrasound and Genetic Characteristics of Fetuses With Laterality Defects-A Prenatal Cohort in Asian Population.

Objective: To investigate the distribution of laterality defects in fetuses, including situs inversus totalis (SIT) and situs ambiguous (SA), and to explore the potential genetic etiology of these laterality defects.

Methods: Detailed fetal echocardiography and extracardiac structural evaluations were performed. Genetic testing, including chromosomal microarray analysis, and trio exome sequencing was conducted to identify potential genetic variants.

Results: The incidence of heart malformation was significantly higher in SA fetuses than in SIT group (30/31 vs. 2/36, p < 0.001). The incidence of univentricular heart with single atrium was significantly higher in right isomerism compared with left isomerism (12/19 vs. 3/12, p = 0.029), while the incidence of double outlet right ventricle was significantly higher in left isomerism (5/12 vs. 1/19, p = 0.022). Genetic testing identified variation within candidate genes of cardiac development. Except for CFAP300 c.604delG and KMT2D c.16351T>C, which were rated as "likely pathogenic", all other variants were categorized as variants of uncertain significance, with some fetuses having compound heterozygous variations.

Conclusion: Fetuses with SA have a significantly higher likelihood of concurrent heart malformations compared with those with SIT. Genetic testing identified potential genetic variants that may play crucial roles in the mechanisms underlying normal fetal visceral positioning. Further studies are needed to explore the clinical significance of these genetic variants and to improve our understanding of the etiology and management of fetal laterality defects.

求助全文
通过发布文献求助,成功后即可免费获取论文全文。 去求助
来源期刊
Prenatal Diagnosis
Prenatal Diagnosis 医学-妇产科学
CiteScore
5.80
自引率
13.30%
发文量
204
审稿时长
2 months
期刊介绍: Prenatal Diagnosis welcomes submissions in all aspects of prenatal diagnosis with a particular focus on areas in which molecular biology and genetics interface with prenatal care and therapy, encompassing: all aspects of fetal imaging, including sonography and magnetic resonance imaging; prenatal cytogenetics, including molecular studies and array CGH; prenatal screening studies; fetal cells and cell-free nucleic acids in maternal blood and other fluids; preimplantation genetic diagnosis (PGD); prenatal diagnosis of single gene disorders, including metabolic disorders; fetal therapy; fetal and placental development and pathology; development and evaluation of laboratory services for prenatal diagnosis; psychosocial, legal, ethical and economic aspects of prenatal diagnosis; prenatal genetic counseling
×
引用
GB/T 7714-2015
复制
MLA
复制
APA
复制
导出至
BibTeX EndNote RefMan NoteFirst NoteExpress
×
提示
您的信息不完整,为了账户安全,请先补充。
现在去补充
×
提示
您因"违规操作"
具体请查看互助需知
我知道了
×
提示
确定
请完成安全验证×
copy
已复制链接
快去分享给好友吧!
我知道了
右上角分享
点击右上角分享
0
联系我们:info@booksci.cn Book学术提供免费学术资源搜索服务,方便国内外学者检索中英文文献。致力于提供最便捷和优质的服务体验。 Copyright © 2023 布克学术 All rights reserved.
京ICP备2023020795号-1
ghs 京公网安备 11010802042870号
Book学术文献互助
Book学术文献互助群
群 号:604180095
Book学术官方微信