敏感性增强磁共振成像检测癫痫患者静脉血管瘤。

IF 1.3 4区 医学 Q4 CLINICAL NEUROLOGY
Khawaja B Waheed, Ali Al Orf, Faisal Al Zahrani, Muhammad Z Ulhassan, Nawaf N Al Jubair, Zechariah J Arulanatham
{"title":"敏感性增强磁共振成像检测癫痫患者静脉血管瘤。","authors":"Khawaja B Waheed, Ali Al Orf, Faisal Al Zahrani, Muhammad Z Ulhassan, Nawaf N Al Jubair, Zechariah J Arulanatham","doi":"10.17712/nsj.2025.3.20240103","DOIUrl":null,"url":null,"abstract":"<p><strong>Objectives: </strong>To evaluate the use of susceptibility-enhanced sequence with conventional magnetic resonance imaging (MRI) of the brain for identification of venous angiomas in epilepsy work up.</p><p><strong>Methods: </strong>A record-based study was performed retrospectively in Radiology department at our Hospital in Eastern region of Saudi Arabia, from Jan. 2019-2024. Adult patients for whom MRI brains were conducted for epilepsy work-up with added SWAN (susceptibility weighted angiography) sequence were considered. Imaging proven cases of space occupying lesions in the brain, post-injury, and post-interventional cases were not taken. A venous angioma (or malformation) was documented when a tuft of veins drained to a larger vein (traversing through cortex or reaching under ependymal layer), appeared low signal structure on SWAN image, and enhanced on contrast-enhanced sequence. Consensus reporting was made by 2 experienced neuroradiologists. The usefulness of the SWAN sequence in the detection of venous malformation determined if the visualized abnormality was found to be related to a focus resulting in abnormal waves on the brain electroencephalography. This observation was compared to the accidently found such malformations that were seen in epileptic patients with normal EEGs (control group). Fisher's Exact test was applied and a <i>P</i>-value of <0.05 was taken as statistically significant for an association.</p><p><strong>Results: </strong>Total number of patients was 114; 65 females (57%) and 49 males (43%), with an average age of 31.4 (range, 15-50). The SWAN found venous angiomas in 34 (29.8%), and 8 were responsible for abnormal electroencephalograms while neither of the 3 accidently detected venous malformations in the control with normal EEGs (<i>p</i>-value=0.001).</p><p><strong>Conclusion: </strong>An added SWAN sequence with conventional MRI brain imaging for patients with seizures can assist to visualize symptomatic venous angiomas leading to focal seizures.</p>","PeriodicalId":19284,"journal":{"name":"Neurosciences","volume":"30 3","pages":"189-192"},"PeriodicalIF":1.3000,"publicationDate":"2025-07-01","publicationTypes":"Journal Article","fieldsOfStudy":null,"isOpenAccess":false,"openAccessPdf":"https://www.ncbi.nlm.nih.gov/pmc/articles/PMC12279342/pdf/","citationCount":"0","resultStr":"{\"title\":\"Detection of venous angiomas on susceptibility enhanced magnetic resonance imaging in patients with seizures.\",\"authors\":\"Khawaja B Waheed, Ali Al Orf, Faisal Al Zahrani, Muhammad Z Ulhassan, Nawaf N Al Jubair, Zechariah J Arulanatham\",\"doi\":\"10.17712/nsj.2025.3.20240103\",\"DOIUrl\":null,\"url\":null,\"abstract\":\"<p><strong>Objectives: </strong>To evaluate the use of susceptibility-enhanced sequence with conventional magnetic resonance imaging (MRI) of the brain for identification of venous angiomas in epilepsy work up.</p><p><strong>Methods: </strong>A record-based study was performed retrospectively in Radiology department at our Hospital in Eastern region of Saudi Arabia, from Jan. 2019-2024. Adult patients for whom MRI brains were conducted for epilepsy work-up with added SWAN (susceptibility weighted angiography) sequence were considered. Imaging proven cases of space occupying lesions in the brain, post-injury, and post-interventional cases were not taken. A venous angioma (or malformation) was documented when a tuft of veins drained to a larger vein (traversing through cortex or reaching under ependymal layer), appeared low signal structure on SWAN image, and enhanced on contrast-enhanced sequence. Consensus reporting was made by 2 experienced neuroradiologists. The usefulness of the SWAN sequence in the detection of venous malformation determined if the visualized abnormality was found to be related to a focus resulting in abnormal waves on the brain electroencephalography. This observation was compared to the accidently found such malformations that were seen in epileptic patients with normal EEGs (control group). Fisher's Exact test was applied and a <i>P</i>-value of <0.05 was taken as statistically significant for an association.</p><p><strong>Results: </strong>Total number of patients was 114; 65 females (57%) and 49 males (43%), with an average age of 31.4 (range, 15-50). The SWAN found venous angiomas in 34 (29.8%), and 8 were responsible for abnormal electroencephalograms while neither of the 3 accidently detected venous malformations in the control with normal EEGs (<i>p</i>-value=0.001).</p><p><strong>Conclusion: </strong>An added SWAN sequence with conventional MRI brain imaging for patients with seizures can assist to visualize symptomatic venous angiomas leading to focal seizures.</p>\",\"PeriodicalId\":19284,\"journal\":{\"name\":\"Neurosciences\",\"volume\":\"30 3\",\"pages\":\"189-192\"},\"PeriodicalIF\":1.3000,\"publicationDate\":\"2025-07-01\",\"publicationTypes\":\"Journal Article\",\"fieldsOfStudy\":null,\"isOpenAccess\":false,\"openAccessPdf\":\"https://www.ncbi.nlm.nih.gov/pmc/articles/PMC12279342/pdf/\",\"citationCount\":\"0\",\"resultStr\":null,\"platform\":\"Semanticscholar\",\"paperid\":null,\"PeriodicalName\":\"Neurosciences\",\"FirstCategoryId\":\"3\",\"ListUrlMain\":\"https://doi.org/10.17712/nsj.2025.3.20240103\",\"RegionNum\":4,\"RegionCategory\":\"医学\",\"ArticlePicture\":[],\"TitleCN\":null,\"AbstractTextCN\":null,\"PMCID\":null,\"EPubDate\":\"\",\"PubModel\":\"\",\"JCR\":\"Q4\",\"JCRName\":\"CLINICAL NEUROLOGY\",\"Score\":null,\"Total\":0}","platform":"Semanticscholar","paperid":null,"PeriodicalName":"Neurosciences","FirstCategoryId":"3","ListUrlMain":"https://doi.org/10.17712/nsj.2025.3.20240103","RegionNum":4,"RegionCategory":"医学","ArticlePicture":[],"TitleCN":null,"AbstractTextCN":null,"PMCID":null,"EPubDate":"","PubModel":"","JCR":"Q4","JCRName":"CLINICAL NEUROLOGY","Score":null,"Total":0}
引用次数: 0

摘要

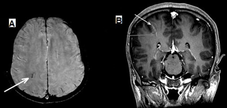
目的:探讨常规脑磁共振成像(MRI)在癫痫发作期静脉血管瘤诊断中的应用价值。方法:对2019年1月-2024年1月在沙特阿拉伯东部地区我院放射科进行回顾性记录研究。考虑对进行脑MRI癫痫检查并添加SWAN(敏感性加权血管造影)序列的成年患者。影像学证实的脑部占位性病变,损伤后和介入后的病例没有采取。静脉血管瘤(或畸形)表现为一簇静脉流向更大的静脉(穿过皮质或到达室管膜层下),在SWAN图像上表现为低信号结构,在增强序列上增强。2名经验丰富的神经放射学家进行了共识报告。SWAN序列在静脉畸形检测中的有用性决定了是否发现可视化异常与导致脑电图异常波的焦点有关。将这一观察结果与在脑电图正常的癫痫患者(对照组)中意外发现的此类畸形进行比较。采用Fisher’s Exact检验,结果的p值为:患者总数为114;女性65人(57%),男性49人(43%),平均年龄31.4岁(15-50岁)。其中34例(29.8%)发现静脉血管瘤,8例脑电图异常,而3例脑电图正常的对照组均未意外发现静脉畸形(p值=0.001)。结论:癫痫发作患者的常规MRI脑成像增加SWAN序列有助于观察导致局灶性癫痫发作的症状性静脉血管瘤。
本文章由计算机程序翻译,如有差异,请以英文原文为准。

Detection of venous angiomas on susceptibility enhanced magnetic resonance imaging in patients with seizures.

Detection of venous angiomas on susceptibility enhanced magnetic resonance imaging in patients with seizures.

Objectives: To evaluate the use of susceptibility-enhanced sequence with conventional magnetic resonance imaging (MRI) of the brain for identification of venous angiomas in epilepsy work up.

Methods: A record-based study was performed retrospectively in Radiology department at our Hospital in Eastern region of Saudi Arabia, from Jan. 2019-2024. Adult patients for whom MRI brains were conducted for epilepsy work-up with added SWAN (susceptibility weighted angiography) sequence were considered. Imaging proven cases of space occupying lesions in the brain, post-injury, and post-interventional cases were not taken. A venous angioma (or malformation) was documented when a tuft of veins drained to a larger vein (traversing through cortex or reaching under ependymal layer), appeared low signal structure on SWAN image, and enhanced on contrast-enhanced sequence. Consensus reporting was made by 2 experienced neuroradiologists. The usefulness of the SWAN sequence in the detection of venous malformation determined if the visualized abnormality was found to be related to a focus resulting in abnormal waves on the brain electroencephalography. This observation was compared to the accidently found such malformations that were seen in epileptic patients with normal EEGs (control group). Fisher's Exact test was applied and a P-value of <0.05 was taken as statistically significant for an association.

Results: Total number of patients was 114; 65 females (57%) and 49 males (43%), with an average age of 31.4 (range, 15-50). The SWAN found venous angiomas in 34 (29.8%), and 8 were responsible for abnormal electroencephalograms while neither of the 3 accidently detected venous malformations in the control with normal EEGs (p-value=0.001).

Conclusion: An added SWAN sequence with conventional MRI brain imaging for patients with seizures can assist to visualize symptomatic venous angiomas leading to focal seizures.

求助全文
通过发布文献求助,成功后即可免费获取论文全文。 去求助
来源期刊
Neurosciences
Neurosciences 医学-临床神经学
CiteScore
1.40
自引率
0.00%
发文量
54
审稿时长
4.5 months
期刊介绍: Neurosciences is an open access, peer-reviewed, quarterly publication. Authors are invited to submit for publication articles reporting original work related to the nervous system, e.g., neurology, neurophysiology, neuroradiology, neurosurgery, neurorehabilitation, neurooncology, neuropsychiatry, and neurogenetics, etc. Basic research withclear clinical implications will also be considered. Review articles of current interest and high standard are welcomed for consideration. Prospective workshould not be backdated. There are also sections for Case Reports, Brief Communication, Correspondence, and medical news items. To promote continuous education, training, and learning, we include Clinical Images and MCQ’s. Highlights of international and regional meetings of interest, and specialized supplements will also be considered. All submissions must conform to the Uniform Requirements.
×
引用
GB/T 7714-2015
复制
MLA
复制
APA
复制
导出至
BibTeX EndNote RefMan NoteFirst NoteExpress
×
提示
您的信息不完整,为了账户安全,请先补充。
现在去补充
×
提示
您因"违规操作"
具体请查看互助需知
我知道了
×
提示
确定
请完成安全验证×
copy
已复制链接
快去分享给好友吧!
我知道了
右上角分享
点击右上角分享
0
联系我们:info@booksci.cn Book学术提供免费学术资源搜索服务,方便国内外学者检索中英文文献。致力于提供最便捷和优质的服务体验。 Copyright © 2023 布克学术 All rights reserved.
京ICP备2023020795号-1
ghs 京公网安备 11010802042870号
Book学术文献互助
Book学术文献互助群
群 号:604180095
Book学术官方微信