湍流气道的颠簸之旅:但并非总是如此——气管支气管病骨软骨增生一例报告。

IF 0.8 Q3 MEDICINE, GENERAL & INTERNAL
Maneesh Gaddam, Shivendra Tangutoori, Dedeepya Gullapalli, Shyam Ganti, Muhammad Hakim, Ajsza Matela
{"title":"湍流气道的颠簸之旅:但并非总是如此——气管支气管病骨软骨增生一例报告。","authors":"Maneesh Gaddam, Shivendra Tangutoori, Dedeepya Gullapalli, Shyam Ganti, Muhammad Hakim, Ajsza Matela","doi":"10.1177/23247096251357757","DOIUrl":null,"url":null,"abstract":"<p><p>Tracheobronchopathia osteochondroplastica (TPO) is a rare, benign condition characterized by the presence of submucosal cartilaginous and osseous nodules protruding into the anterior and lateral walls of the tracheobronchial lumen, sparing the posterior membranous wall. These nodules are incidentally discovered on imaging and bronchoscopy performed for unrelated respiratory symptoms. The exact etiopathogenesis is unclear, with various hypotheses proposed. The most widely accepted one is that chronic inflammation leads to cartilaginous and osseous metaplasia of the tracheobronchial submucosa. TPO is rare, with the prevalence further underestimated due to the incidental nature of the diagnosis. Clinically, patients may be asymptomatic or can have nonspecific symptoms such as chronic cough, dyspnea, and recurrent respiratory infections. Suspicion of the diagnosis arises upon incidental identification of nodules in the tracheobronchial lumen. Diagnosis is established through bronchoscopic visualization of characteristic nodular lesions sparing the posterior wall and can be confirmed by histopathologic examination showing submucosal cartilage formation and ossification. Management is generally conservative, focusing on symptomatic relief and treatment of infections. Severe cases with significant airway obstruction may warrant advanced bronchoscopic procedures or surgical interventions. Despite its benign nature, TPO can mimic other serious tracheal diseases. Awareness of this condition is essential for accurate diagnosis and appropriate management. We present a case of a 65-year-old asymptomatic chronic smoker who was found to have tracheal nodules on thoracic imaging. Bronchoscopic evaluation was consistent with TPO, with histopathology reaffirming the diagnosis.</p>","PeriodicalId":16198,"journal":{"name":"Journal of investigative medicine high impact case reports","volume":"13 ","pages":"23247096251357757"},"PeriodicalIF":0.8000,"publicationDate":"2025-01-01","publicationTypes":"Journal Article","fieldsOfStudy":null,"isOpenAccess":false,"openAccessPdf":"https://www.ncbi.nlm.nih.gov/pmc/articles/PMC12276411/pdf/","citationCount":"0","resultStr":"{\"title\":\"A Bumpy Ride Through a Turbulent Airway: But Not Always-A Case Report of Tracheobronchopathia Osteochondroplastica.\",\"authors\":\"Maneesh Gaddam, Shivendra Tangutoori, Dedeepya Gullapalli, Shyam Ganti, Muhammad Hakim, Ajsza Matela\",\"doi\":\"10.1177/23247096251357757\",\"DOIUrl\":null,\"url\":null,\"abstract\":\"<p><p>Tracheobronchopathia osteochondroplastica (TPO) is a rare, benign condition characterized by the presence of submucosal cartilaginous and osseous nodules protruding into the anterior and lateral walls of the tracheobronchial lumen, sparing the posterior membranous wall. These nodules are incidentally discovered on imaging and bronchoscopy performed for unrelated respiratory symptoms. The exact etiopathogenesis is unclear, with various hypotheses proposed. The most widely accepted one is that chronic inflammation leads to cartilaginous and osseous metaplasia of the tracheobronchial submucosa. TPO is rare, with the prevalence further underestimated due to the incidental nature of the diagnosis. Clinically, patients may be asymptomatic or can have nonspecific symptoms such as chronic cough, dyspnea, and recurrent respiratory infections. Suspicion of the diagnosis arises upon incidental identification of nodules in the tracheobronchial lumen. Diagnosis is established through bronchoscopic visualization of characteristic nodular lesions sparing the posterior wall and can be confirmed by histopathologic examination showing submucosal cartilage formation and ossification. Management is generally conservative, focusing on symptomatic relief and treatment of infections. Severe cases with significant airway obstruction may warrant advanced bronchoscopic procedures or surgical interventions. Despite its benign nature, TPO can mimic other serious tracheal diseases. Awareness of this condition is essential for accurate diagnosis and appropriate management. We present a case of a 65-year-old asymptomatic chronic smoker who was found to have tracheal nodules on thoracic imaging. Bronchoscopic evaluation was consistent with TPO, with histopathology reaffirming the diagnosis.</p>\",\"PeriodicalId\":16198,\"journal\":{\"name\":\"Journal of investigative medicine high impact case reports\",\"volume\":\"13 \",\"pages\":\"23247096251357757\"},\"PeriodicalIF\":0.8000,\"publicationDate\":\"2025-01-01\",\"publicationTypes\":\"Journal Article\",\"fieldsOfStudy\":null,\"isOpenAccess\":false,\"openAccessPdf\":\"https://www.ncbi.nlm.nih.gov/pmc/articles/PMC12276411/pdf/\",\"citationCount\":\"0\",\"resultStr\":null,\"platform\":\"Semanticscholar\",\"paperid\":null,\"PeriodicalName\":\"Journal of investigative medicine high impact case reports\",\"FirstCategoryId\":\"1085\",\"ListUrlMain\":\"https://doi.org/10.1177/23247096251357757\",\"RegionNum\":0,\"RegionCategory\":null,\"ArticlePicture\":[],\"TitleCN\":null,\"AbstractTextCN\":null,\"PMCID\":null,\"EPubDate\":\"2025/7/17 0:00:00\",\"PubModel\":\"Epub\",\"JCR\":\"Q3\",\"JCRName\":\"MEDICINE, GENERAL & INTERNAL\",\"Score\":null,\"Total\":0}","platform":"Semanticscholar","paperid":null,"PeriodicalName":"Journal of investigative medicine high impact case reports","FirstCategoryId":"1085","ListUrlMain":"https://doi.org/10.1177/23247096251357757","RegionNum":0,"RegionCategory":null,"ArticlePicture":[],"TitleCN":null,"AbstractTextCN":null,"PMCID":null,"EPubDate":"2025/7/17 0:00:00","PubModel":"Epub","JCR":"Q3","JCRName":"MEDICINE, GENERAL & INTERNAL","Score":null,"Total":0}
引用次数: 0

摘要

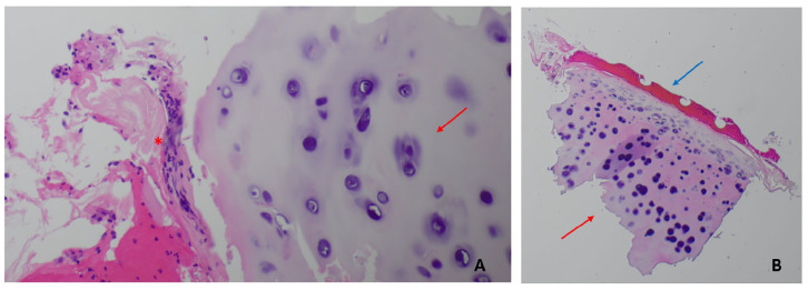
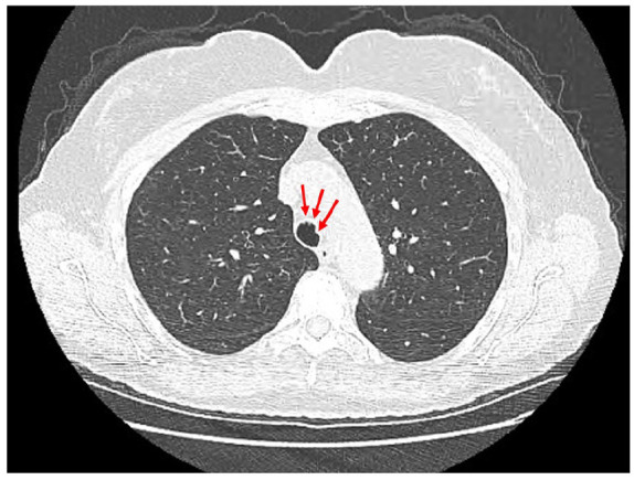
气管支气管骨性软骨病变(TPO)是一种罕见的良性疾病,其特征是存在粘膜下软骨和骨性结节,突出到气管支气管管腔的前壁和侧壁,保留后膜壁。这些结节是偶然发现的影像学和支气管镜检查不相关的呼吸道症状。确切的发病机制尚不清楚,提出了各种假说。最广为接受的说法是慢性炎症导致气管支气管粘膜下层软骨和骨性化生。TPO是罕见的,由于诊断的偶然性,患病率进一步被低估。临床上,患者可能无症状,也可能有非特异性症状,如慢性咳嗽、呼吸困难和反复呼吸道感染。在气管支气管管腔偶然发现结节时,对诊断产生怀疑。诊断是通过支气管镜观察保留后壁的特征性结节病变建立的,可以通过组织病理学检查显示粘膜下软骨形成和骨化来证实。管理一般是保守的,重点是症状缓解和治疗感染。严重的气道阻塞病例可能需要进行先进的支气管镜检查或手术干预。尽管它是良性的,但TPO可以模仿其他严重的气管疾病。了解这种情况对于准确诊断和适当管理至关重要。我们报告一个65岁无症状慢性吸烟者的病例,他在胸部影像学上发现气管结节。支气管镜检查与TPO一致,组织病理学证实了诊断。
本文章由计算机程序翻译,如有差异,请以英文原文为准。

A Bumpy Ride Through a Turbulent Airway: But Not Always-A Case Report of Tracheobronchopathia Osteochondroplastica.

A Bumpy Ride Through a Turbulent Airway: But Not Always-A Case Report of Tracheobronchopathia Osteochondroplastica.

A Bumpy Ride Through a Turbulent Airway: But Not Always-A Case Report of Tracheobronchopathia Osteochondroplastica.

A Bumpy Ride Through a Turbulent Airway: But Not Always-A Case Report of Tracheobronchopathia Osteochondroplastica.

Tracheobronchopathia osteochondroplastica (TPO) is a rare, benign condition characterized by the presence of submucosal cartilaginous and osseous nodules protruding into the anterior and lateral walls of the tracheobronchial lumen, sparing the posterior membranous wall. These nodules are incidentally discovered on imaging and bronchoscopy performed for unrelated respiratory symptoms. The exact etiopathogenesis is unclear, with various hypotheses proposed. The most widely accepted one is that chronic inflammation leads to cartilaginous and osseous metaplasia of the tracheobronchial submucosa. TPO is rare, with the prevalence further underestimated due to the incidental nature of the diagnosis. Clinically, patients may be asymptomatic or can have nonspecific symptoms such as chronic cough, dyspnea, and recurrent respiratory infections. Suspicion of the diagnosis arises upon incidental identification of nodules in the tracheobronchial lumen. Diagnosis is established through bronchoscopic visualization of characteristic nodular lesions sparing the posterior wall and can be confirmed by histopathologic examination showing submucosal cartilage formation and ossification. Management is generally conservative, focusing on symptomatic relief and treatment of infections. Severe cases with significant airway obstruction may warrant advanced bronchoscopic procedures or surgical interventions. Despite its benign nature, TPO can mimic other serious tracheal diseases. Awareness of this condition is essential for accurate diagnosis and appropriate management. We present a case of a 65-year-old asymptomatic chronic smoker who was found to have tracheal nodules on thoracic imaging. Bronchoscopic evaluation was consistent with TPO, with histopathology reaffirming the diagnosis.

求助全文
通过发布文献求助,成功后即可免费获取论文全文。 去求助
来源期刊
CiteScore
1.90
自引率
0.00%
发文量
165
审稿时长
12 weeks
期刊介绍: The AFMR is committed to enhancing the training and career development of our members and to furthering its mission to facilitate the conduct of research to improve medical care. Case reports represent an important avenue for trainees (interns, residents, and fellows) and early-stage faculty to demonstrate productive, scholarly activity.
×
引用
GB/T 7714-2015
复制
MLA
复制
APA
复制
导出至
BibTeX EndNote RefMan NoteFirst NoteExpress
×
提示
您的信息不完整,为了账户安全,请先补充。
现在去补充
×
提示
您因"违规操作"
具体请查看互助需知
我知道了
×
提示
确定
请完成安全验证×
copy
已复制链接
快去分享给好友吧!
我知道了
右上角分享
点击右上角分享
0
联系我们:info@booksci.cn Book学术提供免费学术资源搜索服务,方便国内外学者检索中英文文献。致力于提供最便捷和优质的服务体验。 Copyright © 2023 布克学术 All rights reserved.
京ICP备2023020795号-1
ghs 京公网安备 11010802042870号
Book学术文献互助
Book学术文献互助群
群 号:604180095
Book学术官方微信