新辅助地诺单抗治疗伴有病理性骨折的β -连环蛋白阳性骨巨细胞瘤的骨外病变显像。

IF 0.7 Q4 ONCOLOGY
Case Reports in Oncology Pub Date : 2025-06-16 eCollection Date: 2025-01-01 DOI:10.1159/000546985
Itaru Ogawa, Yoichi Kaneuchi, Michiyuki Hakozaki, Shunsuke Sato, Takeo Suzuki, Shoki Yamada, Osamu Hasegawa, Takuya Nikaido, Yoshihiro Matsumoto
{"title":"新辅助地诺单抗治疗伴有病理性骨折的β -连环蛋白阳性骨巨细胞瘤的骨外病变显像。","authors":"Itaru Ogawa, Yoichi Kaneuchi, Michiyuki Hakozaki, Shunsuke Sato, Takeo Suzuki, Shoki Yamada, Osamu Hasegawa, Takuya Nikaido, Yoshihiro Matsumoto","doi":"10.1159/000546985","DOIUrl":null,"url":null,"abstract":"<p><strong>Introduction: </strong>Giant cell tumors of bone (GCTBs) are locally aggressive tumors that can induce pathological fractures. Previous reports suggest that denosumab induces intratumoral ossification in β-catenin positive GCTB. However, its effect on the complete resection of GCTB with extraskeletal lesions remains unclear.</p><p><strong>Case presentation: </strong>A 45-year-old woman with a pathological fracture of the left distal femur was diagnosed with GCTB based on the biopsy findings, which revealed both H3.3 G34W and nuclear β-catenin positivity. Eight courses of neoadjuvant denosumab therapy were administered to visualize the extraskeletal lesions; subsequently, en bloc resection with megaprosthetic reconstruction was successfully performed. Pathological examination revealed intratumoral ossification without osteoclastic giant cells. Two years after the surgery, no evidence of local recurrence was recorded.</p><p><strong>Conclusion: </strong>Neoadjuvant denosumab therapy is an effective approach for managing β-catenin positive GCTB with pathological fractures as it promotes intratumoral ossification and facilitates complete resection of GCTB, including extraskeletal lesions.</p>","PeriodicalId":9625,"journal":{"name":"Case Reports in Oncology","volume":"18 1","pages":"972-978"},"PeriodicalIF":0.7000,"publicationDate":"2025-06-16","publicationTypes":"Journal Article","fieldsOfStudy":null,"isOpenAccess":false,"openAccessPdf":"https://www.ncbi.nlm.nih.gov/pmc/articles/PMC12266702/pdf/","citationCount":"0","resultStr":"{\"title\":\"Beta-Catenin Positive Giant Cell Tumor of Bone with Pathological Fracture Treated with Neoadjuvant Denosumab Therapy for Visualizing Extraskeletal Lesions.\",\"authors\":\"Itaru Ogawa, Yoichi Kaneuchi, Michiyuki Hakozaki, Shunsuke Sato, Takeo Suzuki, Shoki Yamada, Osamu Hasegawa, Takuya Nikaido, Yoshihiro Matsumoto\",\"doi\":\"10.1159/000546985\",\"DOIUrl\":null,\"url\":null,\"abstract\":\"<p><strong>Introduction: </strong>Giant cell tumors of bone (GCTBs) are locally aggressive tumors that can induce pathological fractures. Previous reports suggest that denosumab induces intratumoral ossification in β-catenin positive GCTB. However, its effect on the complete resection of GCTB with extraskeletal lesions remains unclear.</p><p><strong>Case presentation: </strong>A 45-year-old woman with a pathological fracture of the left distal femur was diagnosed with GCTB based on the biopsy findings, which revealed both H3.3 G34W and nuclear β-catenin positivity. Eight courses of neoadjuvant denosumab therapy were administered to visualize the extraskeletal lesions; subsequently, en bloc resection with megaprosthetic reconstruction was successfully performed. Pathological examination revealed intratumoral ossification without osteoclastic giant cells. Two years after the surgery, no evidence of local recurrence was recorded.</p><p><strong>Conclusion: </strong>Neoadjuvant denosumab therapy is an effective approach for managing β-catenin positive GCTB with pathological fractures as it promotes intratumoral ossification and facilitates complete resection of GCTB, including extraskeletal lesions.</p>\",\"PeriodicalId\":9625,\"journal\":{\"name\":\"Case Reports in Oncology\",\"volume\":\"18 1\",\"pages\":\"972-978\"},\"PeriodicalIF\":0.7000,\"publicationDate\":\"2025-06-16\",\"publicationTypes\":\"Journal Article\",\"fieldsOfStudy\":null,\"isOpenAccess\":false,\"openAccessPdf\":\"https://www.ncbi.nlm.nih.gov/pmc/articles/PMC12266702/pdf/\",\"citationCount\":\"0\",\"resultStr\":null,\"platform\":\"Semanticscholar\",\"paperid\":null,\"PeriodicalName\":\"Case Reports in Oncology\",\"FirstCategoryId\":\"1085\",\"ListUrlMain\":\"https://doi.org/10.1159/000546985\",\"RegionNum\":0,\"RegionCategory\":null,\"ArticlePicture\":[],\"TitleCN\":null,\"AbstractTextCN\":null,\"PMCID\":null,\"EPubDate\":\"2025/1/1 0:00:00\",\"PubModel\":\"eCollection\",\"JCR\":\"Q4\",\"JCRName\":\"ONCOLOGY\",\"Score\":null,\"Total\":0}","platform":"Semanticscholar","paperid":null,"PeriodicalName":"Case Reports in Oncology","FirstCategoryId":"1085","ListUrlMain":"https://doi.org/10.1159/000546985","RegionNum":0,"RegionCategory":null,"ArticlePicture":[],"TitleCN":null,"AbstractTextCN":null,"PMCID":null,"EPubDate":"2025/1/1 0:00:00","PubModel":"eCollection","JCR":"Q4","JCRName":"ONCOLOGY","Score":null,"Total":0}
引用次数: 0

摘要

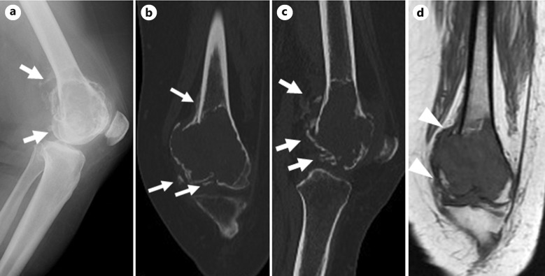
骨巨细胞瘤(GCTBs)是一种局部侵袭性肿瘤,可引起病理性骨折。先前的报道表明,denosumab可诱导β-catenin阳性GCTB的瘤内骨化。然而,其对骨外病变GCTB完全切除的影响尚不清楚。病例介绍:45岁女性,左侧股骨远端病理性骨折,活检结果显示H3.3 G34W和核β-catenin阳性,诊断为GCTB。采用新辅助地诺单抗治疗8个疗程,观察骨骼外病变;随后,成功地进行了整体切除和大型假体重建。病理检查显示瘤内骨化,无破骨巨细胞。术后2年未见局部复发。结论:新辅助地诺单抗治疗是治疗β-catenin阳性GCTB伴病理性骨折的有效方法,可促进肿瘤内骨化,促进GCTB包括骨外病变的完全切除。
本文章由计算机程序翻译,如有差异,请以英文原文为准。

Beta-Catenin Positive Giant Cell Tumor of Bone with Pathological Fracture Treated with Neoadjuvant Denosumab Therapy for Visualizing Extraskeletal Lesions.

Beta-Catenin Positive Giant Cell Tumor of Bone with Pathological Fracture Treated with Neoadjuvant Denosumab Therapy for Visualizing Extraskeletal Lesions.

Beta-Catenin Positive Giant Cell Tumor of Bone with Pathological Fracture Treated with Neoadjuvant Denosumab Therapy for Visualizing Extraskeletal Lesions.

Beta-Catenin Positive Giant Cell Tumor of Bone with Pathological Fracture Treated with Neoadjuvant Denosumab Therapy for Visualizing Extraskeletal Lesions.

Introduction: Giant cell tumors of bone (GCTBs) are locally aggressive tumors that can induce pathological fractures. Previous reports suggest that denosumab induces intratumoral ossification in β-catenin positive GCTB. However, its effect on the complete resection of GCTB with extraskeletal lesions remains unclear.

Case presentation: A 45-year-old woman with a pathological fracture of the left distal femur was diagnosed with GCTB based on the biopsy findings, which revealed both H3.3 G34W and nuclear β-catenin positivity. Eight courses of neoadjuvant denosumab therapy were administered to visualize the extraskeletal lesions; subsequently, en bloc resection with megaprosthetic reconstruction was successfully performed. Pathological examination revealed intratumoral ossification without osteoclastic giant cells. Two years after the surgery, no evidence of local recurrence was recorded.

Conclusion: Neoadjuvant denosumab therapy is an effective approach for managing β-catenin positive GCTB with pathological fractures as it promotes intratumoral ossification and facilitates complete resection of GCTB, including extraskeletal lesions.

求助全文
通过发布文献求助,成功后即可免费获取论文全文。 去求助
来源期刊
CiteScore
1.40
自引率
12.50%
发文量
151
审稿时长
7 weeks
×
引用
GB/T 7714-2015
复制
MLA
复制
APA
复制
导出至
BibTeX EndNote RefMan NoteFirst NoteExpress
×
提示
您的信息不完整,为了账户安全,请先补充。
现在去补充
×
提示
您因"违规操作"
具体请查看互助需知
我知道了
×
提示
确定
请完成安全验证×
copy
已复制链接
快去分享给好友吧!
我知道了
右上角分享
点击右上角分享
0
联系我们:info@booksci.cn Book学术提供免费学术资源搜索服务,方便国内外学者检索中英文文献。致力于提供最便捷和优质的服务体验。 Copyright © 2023 布克学术 All rights reserved.
京ICP备2023020795号-1
ghs 京公网安备 11010802042870号
Book学术文献互助
Book学术文献互助群
群 号:604180095
Book学术官方微信