COVID-19致胆管病1例报告

IF 0.6 Q4 GASTROENTEROLOGY & HEPATOLOGY
Case Reports in Gastroenterology Pub Date : 2025-07-16 eCollection Date: 2025-01-01 DOI:10.1159/000546723
Bassem Al Hariri, Muhammad Sharif, Lujain Al-Emadi, Richard Shamoon, Memon Noor Illahi, Nabil S Mahmood, Muayad Kasim Khalid
{"title":"COVID-19致胆管病1例报告","authors":"Bassem Al Hariri, Muhammad Sharif, Lujain Al-Emadi, Richard Shamoon, Memon Noor Illahi, Nabil S Mahmood, Muayad Kasim Khalid","doi":"10.1159/000546723","DOIUrl":null,"url":null,"abstract":"<p><strong>Introduction: </strong>COVID-19, although primarily a respiratory illness, has been linked to complications in multiple organ systems, including the liver. Proposed mechanisms for liver injury include direct viral cytopathic effects, systemic inflammation, hypoxia, and drug-induced liver injury (DILI). Moreover, post-COVID cholangiopathy is an emerging entity with features that may overlap with autoimmune phenomena.</p><p><strong>Case presentation: </strong>A 60-year-old male patient with multiple comorbidities presented with fever, chills, and cough for 1 day. In the emergency department, he tested positive for COVID-19 by PCR and his chest X-ray revealed features suggestive of pulmonary edema. The patient was intubated and admitted to the Medical Intensive Care Unit (MICU) for management of COVID-19 pneumonia with pulmonary edema. During hospitalization, he developed cardiac complications that required targeted management. Approximately 1 week after admission, his liver enzymes began to rise. Although drug-DILI was initially suspected and hepatotoxic medications were discontinued with the initiation of ursodeoxycholic acid (UDCA), the liver function tests (LFTs) remained elevated. Subsequent magnetic resonance cholangiopancreatography revealed periportal inflammation with intrahepatic biliary dilatation and stricturing, findings consistent with COVID-19 induced cholangiopathy. The UDCA dosage was doubled, resulting in gradual biochemical improvement; however, the patient ultimately discharged against medical advice.</p><p><strong>Conclusion: </strong>COVID-19-induced cholangiopathy is a rare but serious liver complication. Effective management requires a multidisciplinary team. Ongoing research is needed to better understand long-term liver effects and improve care strategies.</p>","PeriodicalId":9614,"journal":{"name":"Case Reports in Gastroenterology","volume":"19 1","pages":"519-526"},"PeriodicalIF":0.6000,"publicationDate":"2025-07-16","publicationTypes":"Journal Article","fieldsOfStudy":null,"isOpenAccess":false,"openAccessPdf":"https://www.ncbi.nlm.nih.gov/pmc/articles/PMC12266703/pdf/","citationCount":"0","resultStr":"{\"title\":\"COVID-19 Induced Cholangiopathy: A Case Report.\",\"authors\":\"Bassem Al Hariri, Muhammad Sharif, Lujain Al-Emadi, Richard Shamoon, Memon Noor Illahi, Nabil S Mahmood, Muayad Kasim Khalid\",\"doi\":\"10.1159/000546723\",\"DOIUrl\":null,\"url\":null,\"abstract\":\"<p><strong>Introduction: </strong>COVID-19, although primarily a respiratory illness, has been linked to complications in multiple organ systems, including the liver. Proposed mechanisms for liver injury include direct viral cytopathic effects, systemic inflammation, hypoxia, and drug-induced liver injury (DILI). Moreover, post-COVID cholangiopathy is an emerging entity with features that may overlap with autoimmune phenomena.</p><p><strong>Case presentation: </strong>A 60-year-old male patient with multiple comorbidities presented with fever, chills, and cough for 1 day. In the emergency department, he tested positive for COVID-19 by PCR and his chest X-ray revealed features suggestive of pulmonary edema. The patient was intubated and admitted to the Medical Intensive Care Unit (MICU) for management of COVID-19 pneumonia with pulmonary edema. During hospitalization, he developed cardiac complications that required targeted management. Approximately 1 week after admission, his liver enzymes began to rise. Although drug-DILI was initially suspected and hepatotoxic medications were discontinued with the initiation of ursodeoxycholic acid (UDCA), the liver function tests (LFTs) remained elevated. Subsequent magnetic resonance cholangiopancreatography revealed periportal inflammation with intrahepatic biliary dilatation and stricturing, findings consistent with COVID-19 induced cholangiopathy. The UDCA dosage was doubled, resulting in gradual biochemical improvement; however, the patient ultimately discharged against medical advice.</p><p><strong>Conclusion: </strong>COVID-19-induced cholangiopathy is a rare but serious liver complication. Effective management requires a multidisciplinary team. Ongoing research is needed to better understand long-term liver effects and improve care strategies.</p>\",\"PeriodicalId\":9614,\"journal\":{\"name\":\"Case Reports in Gastroenterology\",\"volume\":\"19 1\",\"pages\":\"519-526\"},\"PeriodicalIF\":0.6000,\"publicationDate\":\"2025-07-16\",\"publicationTypes\":\"Journal Article\",\"fieldsOfStudy\":null,\"isOpenAccess\":false,\"openAccessPdf\":\"https://www.ncbi.nlm.nih.gov/pmc/articles/PMC12266703/pdf/\",\"citationCount\":\"0\",\"resultStr\":null,\"platform\":\"Semanticscholar\",\"paperid\":null,\"PeriodicalName\":\"Case Reports in Gastroenterology\",\"FirstCategoryId\":\"1085\",\"ListUrlMain\":\"https://doi.org/10.1159/000546723\",\"RegionNum\":0,\"RegionCategory\":null,\"ArticlePicture\":[],\"TitleCN\":null,\"AbstractTextCN\":null,\"PMCID\":null,\"EPubDate\":\"2025/1/1 0:00:00\",\"PubModel\":\"eCollection\",\"JCR\":\"Q4\",\"JCRName\":\"GASTROENTEROLOGY & HEPATOLOGY\",\"Score\":null,\"Total\":0}","platform":"Semanticscholar","paperid":null,"PeriodicalName":"Case Reports in Gastroenterology","FirstCategoryId":"1085","ListUrlMain":"https://doi.org/10.1159/000546723","RegionNum":0,"RegionCategory":null,"ArticlePicture":[],"TitleCN":null,"AbstractTextCN":null,"PMCID":null,"EPubDate":"2025/1/1 0:00:00","PubModel":"eCollection","JCR":"Q4","JCRName":"GASTROENTEROLOGY & HEPATOLOGY","Score":null,"Total":0}
引用次数: 0

摘要

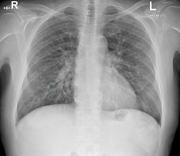
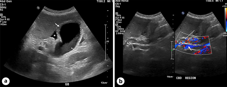
导言:COVID-19虽然主要是一种呼吸道疾病,但与包括肝脏在内的多个器官系统的并发症有关。提出的肝损伤机制包括直接的病毒细胞病变作用、全身性炎症、缺氧和药物性肝损伤(DILI)。此外,后covid胆管病是一种新兴的实体,其特征可能与自身免疫性现象重叠。病例介绍:60岁男性患者,有多种合并症,表现为发热、发冷、咳嗽1天。在急诊室,他的PCR检测结果为COVID-19阳性,胸部x光片显示肺水肿的特征。患者插管后住进医疗重症监护室(MICU)治疗COVID-19肺炎合并肺水肿。在住院期间,他出现了心脏并发症,需要有针对性的治疗。入院后约1周,他的肝酶开始升高。虽然最初怀疑是药物- dili,并且在开始使用熊去氧胆酸(UDCA)后停止了肝毒性药物,但肝功能测试(LFTs)仍然升高。随后的磁共振胆管造影显示门静脉周围炎症伴肝内胆道扩张和狭窄,与COVID-19诱导的胆管病一致。UDCA用量加倍,生化逐渐改善;然而,病人最终不顾医嘱出院了。结论:新型冠状病毒感染的胆管病是一种罕见但严重的肝脏并发症。有效的管理需要一个多学科的团队。为了更好地了解对肝脏的长期影响和改善护理策略,需要进行持续的研究。
本文章由计算机程序翻译,如有差异,请以英文原文为准。

COVID-19 Induced Cholangiopathy: A Case Report.

COVID-19 Induced Cholangiopathy: A Case Report.

COVID-19 Induced Cholangiopathy: A Case Report.

COVID-19 Induced Cholangiopathy: A Case Report.

Introduction: COVID-19, although primarily a respiratory illness, has been linked to complications in multiple organ systems, including the liver. Proposed mechanisms for liver injury include direct viral cytopathic effects, systemic inflammation, hypoxia, and drug-induced liver injury (DILI). Moreover, post-COVID cholangiopathy is an emerging entity with features that may overlap with autoimmune phenomena.

Case presentation: A 60-year-old male patient with multiple comorbidities presented with fever, chills, and cough for 1 day. In the emergency department, he tested positive for COVID-19 by PCR and his chest X-ray revealed features suggestive of pulmonary edema. The patient was intubated and admitted to the Medical Intensive Care Unit (MICU) for management of COVID-19 pneumonia with pulmonary edema. During hospitalization, he developed cardiac complications that required targeted management. Approximately 1 week after admission, his liver enzymes began to rise. Although drug-DILI was initially suspected and hepatotoxic medications were discontinued with the initiation of ursodeoxycholic acid (UDCA), the liver function tests (LFTs) remained elevated. Subsequent magnetic resonance cholangiopancreatography revealed periportal inflammation with intrahepatic biliary dilatation and stricturing, findings consistent with COVID-19 induced cholangiopathy. The UDCA dosage was doubled, resulting in gradual biochemical improvement; however, the patient ultimately discharged against medical advice.

Conclusion: COVID-19-induced cholangiopathy is a rare but serious liver complication. Effective management requires a multidisciplinary team. Ongoing research is needed to better understand long-term liver effects and improve care strategies.

求助全文
通过发布文献求助,成功后即可免费获取论文全文。 去求助
来源期刊
Case Reports in Gastroenterology
Case Reports in Gastroenterology Medicine-Gastroenterology
CiteScore
1.10
自引率
0.00%
发文量
99
审稿时长
7 weeks
期刊介绍:
×
引用
GB/T 7714-2015
复制
MLA
复制
APA
复制
导出至
BibTeX EndNote RefMan NoteFirst NoteExpress
×
提示
您的信息不完整,为了账户安全,请先补充。
现在去补充
×
提示
您因"违规操作"
具体请查看互助需知
我知道了
×
提示
确定
请完成安全验证×
copy
已复制链接
快去分享给好友吧!
我知道了
右上角分享
点击右上角分享
0
联系我们:info@booksci.cn Book学术提供免费学术资源搜索服务,方便国内外学者检索中英文文献。致力于提供最便捷和优质的服务体验。 Copyright © 2023 布克学术 All rights reserved.
京ICP备2023020795号-1
ghs 京公网安备 11010802042870号
Book学术文献互助
Book学术文献互助群
群 号:604180095
Book学术官方微信